아카이브 요약
이 페이지의 역할
바른영치과의원의 네이버 블로그 원문을 보존한 아카이브 페이지입니다. 바른 치료사례 카테고리의 신당동 치과, 앞니 보철치료시 주의할 점(심미보철, 신경치료) 글을 통해 병원의 한국어 정보 제공 방식과 진료 관련 안내 톤을 확인할 수 있습니다.
원문 검증
필요하면 원문 블로그와 병원 프로필로 바로 이동해 문맥을 다시 확인할 수 있습니다.
출처 아카이브 열기아카이브된 블로그 글
바른영치과의원 · Naver Blog
안녕하세요. 신당동 치과, 바른영치과 대표원장 김태영입니다.^^ 치아를 씌우는 보철 치료 즉, 크라운 치료를 하게 되는 경우는 치아가 파절되거나 충치가 생겨서 치아의 외형을 복원하기 위해 진행하게 됩니다. 물론, 수복 범위가 깊을수록 신경치료의 가능성도 높아지게 됩니다. 오늘은 과거에 씌운 크라운된 치아가 시간이...
게시일
2024년 4월 9일
원문 기준으로 확인된 발행일입니다.
카테고리
바른 치료사례
원문 블로그 카테고리를 정리해 함께 표시합니다.
이미지 수
6
현재 아카이브에 연결된 이미지 수입니다.
아카이브 요약
바른영치과의원의 네이버 블로그 원문을 보존한 아카이브 페이지입니다. 바른 치료사례 카테고리의 신당동 치과, 앞니 보철치료시 주의할 점(심미보철, 신경치료) 글을 통해 병원의 한국어 정보 제공 방식과 진료 관련 안내 톤을 확인할 수 있습니다.
원문 검증
필요하면 원문 블로그와 병원 프로필로 바로 이동해 문맥을 다시 확인할 수 있습니다.
출처 아카이브 열기안녕하세요.
신당동 치과, 바른영치과 대표원장 김태영입니다.^^
치아를 씌우는 보철 치료
즉, 크라운 치료를 하게 되는 경우는
치아가 파절되거나
충치가 생겨서 치아의 외형을 복원하기 위해 진행하게 됩니다.
물론, 수복 범위가 깊을수록 신경치료의 가능성도 높아지게 됩니다.
오늘은 과거에 씌운 크라운된 치아가
시간이 지남에 따라 어떻게 문제가 생길 수 있는지에 대해 알아보겠습니다.
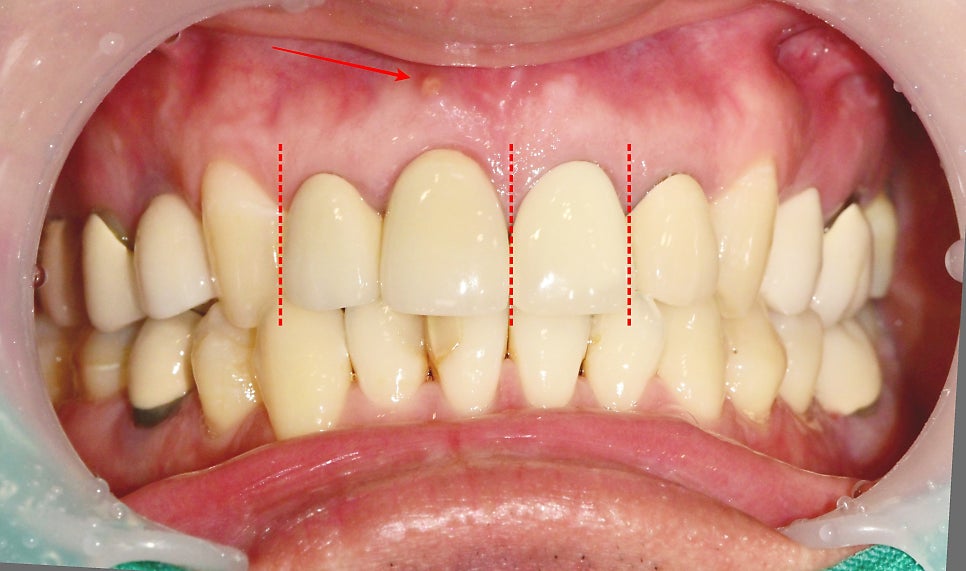
예전에 씌운 치아 부위 잇몸이 불편해요

과거 앞니에 한 보철물 주변 잇몸이 불편감으로 내원해 주셨습니다.
치아 보철물은 각기 다른 시기에 제작되었고 1개 혹은 2개 치아가 한 덩어리의 보철물로 이루어져 있습니다.
먼저 화살표를 보시면 잇몸에 동그란 고름 주머니가 생겨있습니다.
과거에 한 보철물의 경계 부위가 시간이 지남에 따라
오염이 되면서 치아 뿌리 쪽에 염증이 생긴 걸로 판단이 됩니다.
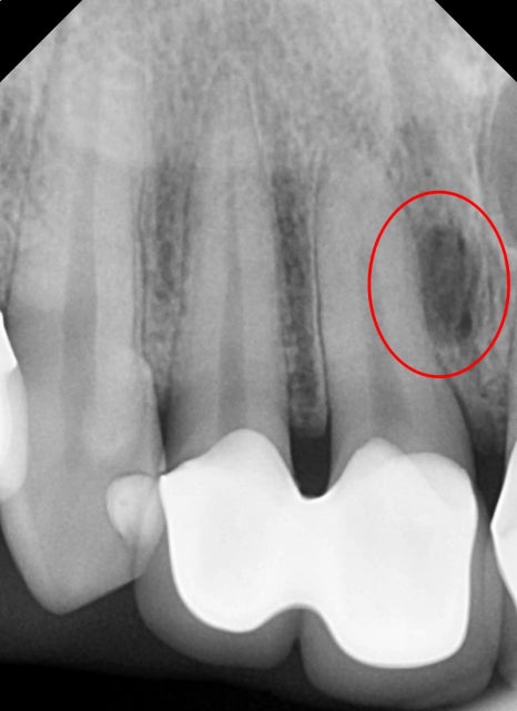
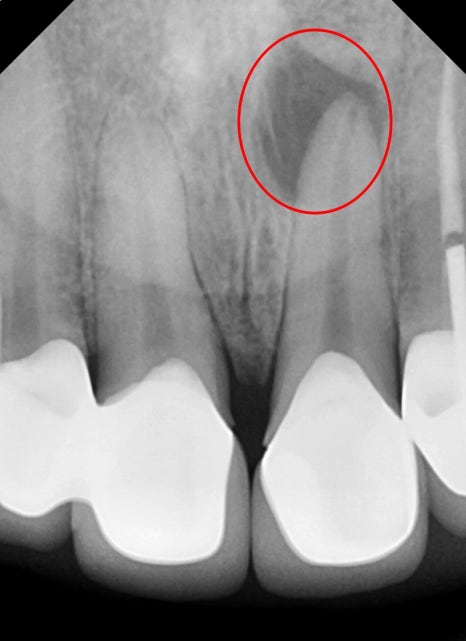
자세히 보기 위해 엑스레이를 찍어보았습니다.
뿌리끝 염증과 측면 쪽 염증 신경치료 후 앞니 보철치료 진행


엑스레이에 선명하게 보일 정도로
이미 안쪽으로 염증이 생긴지 수개월 된것으로 보여집니다.
이런 경우는 과거에 제작한 크라운을 제거하고
안쪽에 깨끗하게 신경치료 후 치아 외형에 맞게
심미보철물을 다시 제작을 해야 합니다.
이때, 2개 치아를 한 덩어리로 묶인 보철물은
어쩔 수 없이 같이 제거하고 하나씩 따로 제작을 합니다.

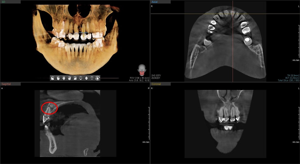
염증이 생긴 곳의 위치가 일반적이지 않아 CT를 찍어보았습니다.
흔들리지는 않지만 뿌리 주변 뼈가 염증반응으로 인해
많이 소실되어 보입니다.
일반적으로 치아 신경에서 온 염증으로 인한 뼈의 소실은
신경치료 후 치유가 되면 다시 건강한 뼈가 채워주게 됩니다.
앞니 보철 제거 후 재평가

과거에 씌운 보철 경계 부위에 오염으로 인해
통증이 생긴 케이스로 통법대로
신경치료 후 심미보철 단계로 넘어가게 됩니다.
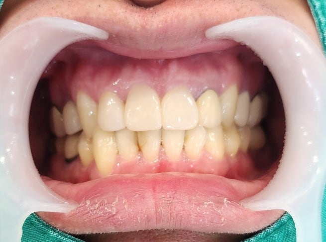
최종 보철물의 형태와 색상

최종 앞니 심미보철 부착 후 사진입니다.
새로운 보철만 바꿨을 뿐인데
기존 치아들까지 부드러운 느낌을 주는 것 같습니다.
주변 치아의 색상을 고려하고
과거의 보철물은 잇몸과의 경계 부위가 자연스럽지 못하고
형태가 투박해 보였습니다.
그 점을 고려하여 치아의 형태를 자연스럽게 제작하려고 노력했습니다.
이번에 치료한 치아 옆의 과거의 보철물도 같이 교체를 했다면
훨씬 자연스러웠을 텐데
일단 큰 불편감 먼저 해소하고 나중에 고민하기로 했습니다.
문제가 생긴 2개의치아는 신경치료
나머지 1개의 치아는 보강 후신경치료 없이 앞니 보철치료를 마무리했습니다.
앞으로는 염증으로 인해 뼈가 소실된 부위가
회복되는지를 지켜보아야 합니다.
크라운치료는 시간이 지남에 따라
보철물 내부의 오염이 생길 수 있기 때문에
보철학회에서는 7~8년의 주기로 보철물을 교체해 줄 것을 권고하기도 합니다.
오늘은 신당동치과
앞니 치료와 함께 보철물 교체를 한 케이스에 대해 알아보았는데요
이 주제에 대해 궁금하셨던 분들에게 도움이 되셨으면 좋겠습니다.
감사합니다.^^
치료 시작 : 2024.03.06
치료 종료 : 2024.02.01
▼ 함께 읽으면 좋은 관련 증례 ▼
바른진료가 바른결과를 만든다고 생각합니다.
걱정하며 내원해 주시는 모든 분이
나가실 때는 안심하고 나가는
믿을 수 있는 치과를 만드는 것이
제가 바라는 치과입니다.
오시는길
중구 동호로179 JYJ빌딩, 2층
약수역 약수시장 방향 6번출구 바로 앞
마을버스5번(약수역)
마을버스12번(남산타운, 약수지구대)
버스정류장(약수하이츠, 신당사회복지관, 가온도서관, 금호터널입구)이용
유유제약에서 금호역방면
본 포스팅은 의료 정보 제공 및 병원 광고를 목적(의료법 제56조 1항)을 준수하여 바른영치과에서 직접 작성한 글입니다.본사진은 동일한 환자분에게 찍은 사진으로서 환자마다 치료방법 및 다른 부작용(통증, 보철물탈락)이 발생할수 있습니다