아카이브 요약
이 페이지의 역할
바른영치과의원의 네이버 블로그 원문을 보존한 아카이브 페이지입니다. 바른 치료사례 카테고리의 신금호 치과 , 틀니를 오래 쓰면 치아에 생기는 문제점 글을 통해 병원의 한국어 정보 제공 방식과 진료 관련 안내 톤을 확인할 수 있습니다.
원문 검증
필요하면 원문 블로그와 병원 프로필로 바로 이동해 문맥을 다시 확인할 수 있습니다.
출처 아카이브 열기아카이브된 블로그 글
바른영치과의원 · Naver Blog
신금호 치과 , 틀니를 오래 쓰면 치아에 생기는 문제점 안녕하세요. 신금호 치과 / 바른영치과 대표원장 김태영입니다. 과거 임플란트를 사용하지 않던 시기에는 씌우는 치료를 할 수 없는 빠진 치아 자리에는 틀니를 제작하곤 했습니다. 물론 요즘도 치료 옵션 중 하나이지만 임플란트가 아주 불가능한 경우이거나 임플란트를 할...
게시일
2024년 4월 17일
원문 기준으로 확인된 발행일입니다.
카테고리
바른 치료사례
원문 블로그 카테고리를 정리해 함께 표시합니다.
이미지 수
5
현재 아카이브에 연결된 이미지 수입니다.
아카이브 요약
바른영치과의원의 네이버 블로그 원문을 보존한 아카이브 페이지입니다. 바른 치료사례 카테고리의 신금호 치과 , 틀니를 오래 쓰면 치아에 생기는 문제점 글을 통해 병원의 한국어 정보 제공 방식과 진료 관련 안내 톤을 확인할 수 있습니다.
원문 검증
필요하면 원문 블로그와 병원 프로필로 바로 이동해 문맥을 다시 확인할 수 있습니다.
출처 아카이브 열기안녕하세요.
신금호 치과 / 바른영치과 대표원장 김태영입니다.
과거 임플란트를 사용하지 않던 시기에는
씌우는 치료를 할 수 없는
빠진 치아 자리에는 틀니를 제작하곤 했습니다.
물론 요즘도 치료 옵션 중 하나이지만
임플란트가 아주 불가능한 경우이거나
임플란트를 할 수 없는 상황에서만 어쩔 수 없이 선택하는 치료방법입니다.
임플란트가 틀니에 비해 월등히
환자분들의 만족감, 안정성, 유지성에서 높기 때문입니다.
오늘은 틀니를 오래 쓰면 생기는 문제점 중에 하나를 소개해 드리려고 합니다.

잇몸에 뭐가 튀어나오고 염증 같아요
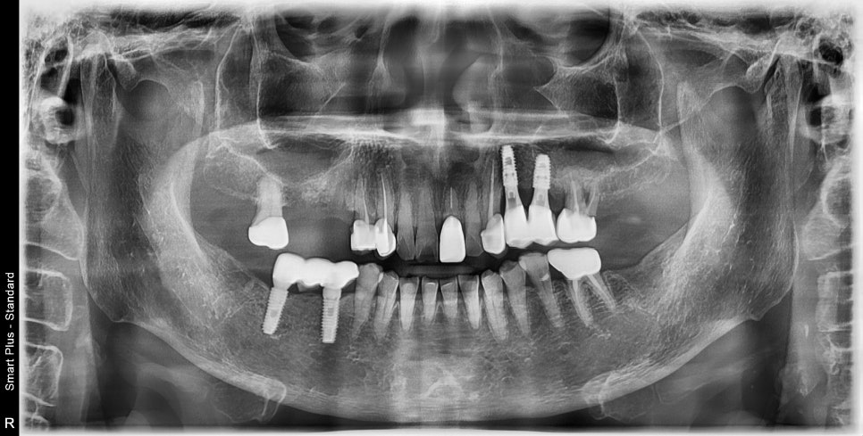
치과 앞을 지나가시다가 우연찮게 내원해 주신 어르신입니다.
치아가 3개가 상실된 상태이셨는데
과거에 임플란트 대신 이 부분에 부분 틀니를 걸어서 사용하고 계셨습니다.
부분틀니를 쓰기 위해서는 주변 치아들에 틀니가 거는 힘이 가해지기 때문에
오래 유지했을 경우 주변 치아에 문제가 생기는 경우가 있습니다.
왜 임플란트 대신 틀니로 치료하셨나요??
란 질문에 뼈가 너무 안 좋아서 임플란트는
안된다고 말씀을 들으셨다고 하셨습니다.
제작 당시의 상태를 정확히 유추할 순 없지만
지금 상황의 뼈 상태라면
뼈이식을 동반한 임플란트를 진행하면 문제점을 해결할 수 있습니다.


염증이 어느 치아에서 시작되는지 검사를 통해 알아냈습니다.
고리를 거는 힘을 받는 앞 치아 뿌리 쪽에 염증이 생기고
그 염증이 잇몸 바깥으로 염증 주머니를 만들어서 불편감을 일으키고 있었습니다.
틀니의 거는 힘에 의해 앞 치아가 반복적으로
무리한 힘을 견뎌 녀는 과정에서 뿌리의 흡수와 염증반응이 생긴 것입니다.
치료해 주셨던 원장님께서도
치아를 살리기 위해 치근단절제술이라는
뿌리의 문제 부분을 제거하고 뼈이식을 통해 회복을 지켜보자고 하셨고
저 역시 수술하신지 얼마 안 되어 소독하며 지켜보았지만
뼈이식 재료의 염증반응과 치아 통증으로 인해 발치가 불가피했습니다.
이 어르신의 케이스는
임플란트가 훨씬 간단하고
예후성이 좋기 때문에 환자분께서도 틀니는 더 이상 원하지 않으셔서
문제 부위의 발치를 한 후 수술 시기까지 기다리는 동안
반대편 치료를 완료했습니다.
기존 치아상실 부위의 임플란트 식립

기존 염증 부위가 범위가 너무 넓었기 때문에 수술을 위해서는 시간이 필요했습니다.
그 사이 왼쪽 먼저 식사를 하실 수 있게 도와드린 후
반대편 수술이 진행되었습니다.
씹는 게 너무 편해졌어요

수술을 진행하며 부족한 부위의
뼈이식을 추가로 진행하며 나머지 임플란트를 식립했습니다.
아직 염증이 있던 부위의 뼈가 약해져있기 때문에
임플란트와 뼈와 고정력이 생기기 위해서는 좀 더 시간이 필요하다고 말씀드렸습니다.
환자분께서는 아직 한쪽으로 식사를 하지만
틀니 없이 식사하니 너무 편하시다고 말씀해 주셨습니다.
위의 증례처럼 부분틀니를 쓰기 위해서는
주변 치아의 지지가 필요합니다.
그것을 위해서는 주변 치아에 보철치료를 동반해야 하며
틀니가 힘을 받기 위해 주변에 힘을 가하기 때문에
장기간 사용하다 보면
치아에 문제점이 생기는 경우가 있습니다.
임플란트가 만능은 아니지만
주변 치아를 보존하며 치료를 진행할 수 있다는 점에서 가장 큰 장점이라고 생각합니다.
오늘은 신금호 치과에서 틀니를 오래 사용했을 경우
주변 치아에서 나타날 수 있는 문제점 중
하나를 증례와 함께 소개해드렸는데요.
비슷한 고민에 대해 궁금해하시는 분들께
도움이 되셨으면 좋겠습니다.
더 자세한 상담은 바른영치과에 내원해 주시면
도와드리겠습니다.
감사합니다^^
▼ 함께 읽으면 좋은 관련 증례 ▼
바른진료가 바른결과를 만든다고 생각합니다.
걱정하며 내원해 주시는 모든 분이
나가실 때는 안심하고 나가는
믿을 수 있는 치과를 만드는 것이
제가 바라는 치과입니다.
오시는길
중구 동호로179 JYJ빌딩, 2층
약수역 약수시장 방향 6번출구 바로 앞
마을버스5번(약수역)
마을버스12번(남산타운, 약수지구대)
버스정류장(약수하이츠, 신당사회복지관, 가온도서관, 금호터널입구)이용
유유제약에서 금호역방면
본 포스팅은 의료 정보 제공 및 병원 광고를 목적(의료법 제56조 1항)을 준수하여 바른영치과에서 직접 작성한 글입니다.