아카이브 요약
이 페이지의 역할
바른영치과의원의 네이버 블로그 원문을 보존한 아카이브 페이지입니다. 바른 치료사례 카테고리의 금호동 논골사거리 근처 치과에서 영구치 치료를 위한 잇몸성형술 글을 통해 병원의 한국어 정보 제공 방식과 진료 관련 안내 톤을 확인할 수 있습니다.
원문 검증
필요하면 원문 블로그와 병원 프로필로 바로 이동해 문맥을 다시 확인할 수 있습니다.
출처 아카이브 열기아카이브된 블로그 글
바른영치과의원 · Naver Blog
금호동 논골사거리 근처 치과에서 영구치 치료를 위한 잇몸성형술 안녕하세요. 직접 진료한 케이스를 대표원장이 직접 설명해 주는 바른영치과 대표원장 김태영입니다. 치과에서 치료를 위해서 치아 주변 잇몸을 성형해야 하는 경우가 종종 있습니다. 소아에서 맹출 시 잇몸이 치아 일부를 덮는 경우 맹출 시기가 지났지만 맹출 되지...
게시일
2024년 4월 25일
원문 기준으로 확인된 발행일입니다.
카테고리
바른 치료사례
원문 블로그 카테고리를 정리해 함께 표시합니다.
이미지 수
5
현재 아카이브에 연결된 이미지 수입니다.
아카이브 요약
바른영치과의원의 네이버 블로그 원문을 보존한 아카이브 페이지입니다. 바른 치료사례 카테고리의 금호동 논골사거리 근처 치과에서 영구치 치료를 위한 잇몸성형술 글을 통해 병원의 한국어 정보 제공 방식과 진료 관련 안내 톤을 확인할 수 있습니다.
원문 검증
필요하면 원문 블로그와 병원 프로필로 바로 이동해 문맥을 다시 확인할 수 있습니다.
출처 아카이브 열기안녕하세요.
직접 진료한 케이스를 대표원장이 직접 설명해 주는
바른영치과 대표원장 김태영입니다.
치과에서 치료를 위해서 치아 주변 잇몸을 성형해야 하는 경우가 종종 있습니다.
소아에서 맹출 시 잇몸이 치아 일부를 덮는 경우
맹출 시기가 지났지만 맹출 되지 않고 치배에 갇혀있는 경우
충치로 인해 깨진 치아 부위에 잇몸이 차올라 있는 경우
영구치의 맹출 혹은 치열이상으로 이해
장치를 붙이고 교정을 동반한 케이스 같은 경우는
어린이 치과 혹은 교정과에 의뢰를 하여 진행을 해야 하지만
간단하게 치료를 하면서 동시에 조치할 수 있는 케이스들은
일반 치과에서도 가능합니다.
제가 치료를 하면서 소아치과에 의뢰를 하지 않으며
간단하게 치료를 하고 해결할 수 있었던
케이스들에 대해 소개를 시켜드리려 합니다.
소아에서 맹출 시 잇몸이 치아 일부를 덮는 경우

초등학교 고학년 아이였습니다.
가장 마지막 어금니가 맹출은 되었지만
잇몸이 치아 일부를 가리고 있어서 틈으로
음식물이 제거가 안되어 충치가 생긴 상태였습니다.
잇몸이 가려진 채로는 충치치료가 진행될 수가 없기 때문에
해당 끝 부위를 잇몸을 절제하고 주변 성형을 시행했습니다.
잇몸의 회복력이 워낙 좋다 보니
해당 케이스는 중간에 다시 자라난 잇몸을
재성형술을 한 번 더 시행한 케이스입니다.
치료 완료 후 6개월 체크 시 사진에서는 튼튼한 잇몸이
다시 덮지 않고 잘 위치해 있는 것을 볼 수 있었습니다.
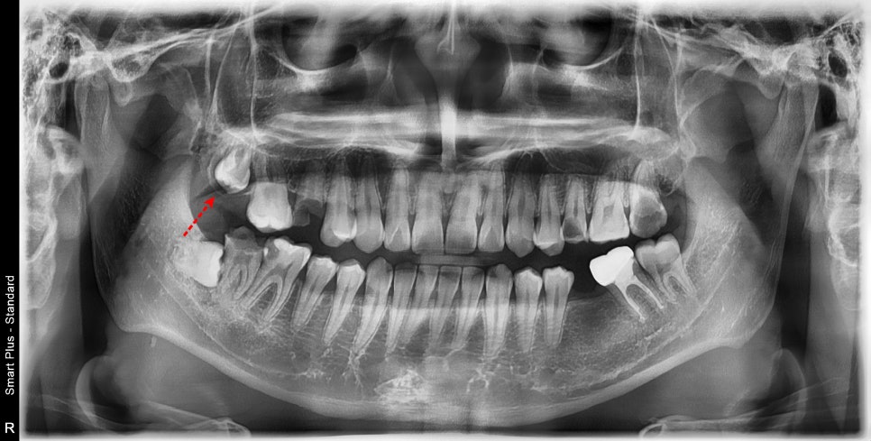
맹출 시기가 지났지만 맹출 되지 않고 치배에 갇혀있는 경우


해당 환자는 성인이 되었지만
알 수 없는 이유로 영구치가 치배에 아직 갇혀있었고
뿌리의 성장이 제대로 이루어지지 않았습니다.
치아의 맹출을 유도해 줄 수 있는 치료가 필요했습니다.
맹출 유도를 하기 위해서는 먼저 잇몸에 길을 내어주고
치아머리에 남아있는 얇은 껍질을 걷어내 주어
치아가 저항 없이 내려오도록 해주는 것이 우선이었습니다.
어릴 적 치배가 영향을 받지 않은 치아라면 해당 치료만으로도 해당 영구치는
정상적으로 맹출이 될 것입니다.

길을 내어주고 3달이 지났습니다.
그동안 안 좋은 치아들을 치료하고 있었습니다.
엑스레이 상으로도 치아는 맹출 되고 있는 것을 볼 수 있습니다.
뿌리도 조금 성장한 것으로 보입니다.
해당 치아는 강한 고정력을 가하지 않고
치근이 성장하며 맹출 되기를 지켜봐야 할 것입니다.
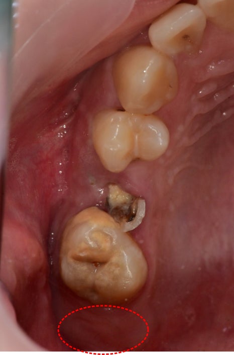
충치로 인해 깨진 치아 부위에 잇몸이 차올라 있는 경우

마지막으로 소아에서 일어나는 케이스는 아니지만
충치가 생긴지 오래되고 치아가 깨진 치아에서
자주 볼 수 있는 현상으로
해당 부위의 충치가 심해서 치아가 깨져있는 부분으로
잇몸이 차올라서 치아머리 부분을 확보할 수 없었습니다.
주변 플라그에 의해 일시적으로 비대해져 있는 잇몸은
스케일링 후 회복이 되면 정상 높이로 회복이 되지만
잇몸이 증식된 경우 충치치료를 하고
증식되어 있는 부분의 잇몸을 절제해야지만
크라운치료시 제대로 된 적합을 만들 수가 있습니다.
오늘은 충치 치료 및 치아 맹출을 고려할 때
잇몸을 절제 성형하는 것에 대해 알아보았는데요
치료를 하며 간단하게 조치해 주는 것만으로
치아의 유지관리에 상당한 도움을 줄 수 있습니다.
금호동 논골사거리 근처 치과에 대한 궁금증이
조금이나마 해소되셨기를 바라겠습니다.
감사합니다^^
▼ 함께 읽으면 좋은 관련 증례 ▼
바른진료가 바른결과를 만든다고 생각합니다.
걱정하며 내원해 주시는 모든 분이
나가실 때는 안심하고 나가는
믿을 수 있는 치과를 만드는 것이
제가 바라는 치과입니다.
오시는길
중구 동호로179 JYJ빌딩, 2층
약수역 약수시장 방향 6번출구 바로 앞
마을버스5번(약수역)
마을버스12번(남산타운, 약수지구대)
버스정류장(약수하이츠, 신당사회복지관, 가온도서관, 금호터널입구)이용
유유제약에서 금호역방면
본 포스팅은 의료 정보 제공 및 병원 광고를 목적(의료법 제56조 1항)을 준수하여 바른영치과에서 직접 작성한 글입니다.