아카이브 요약
이 페이지의 역할
바른영치과의원의 네이버 블로그 원문을 보존한 아카이브 페이지입니다. 바른 치료사례 카테고리의 신당동 앞니 변색 치아 크라운치료 바른영치과 심미보철 케이스 글을 통해 병원의 한국어 정보 제공 방식과 진료 관련 안내 톤을 확인할 수 있습니다.
원문 검증
필요하면 원문 블로그와 병원 프로필로 바로 이동해 문맥을 다시 확인할 수 있습니다.
출처 아카이브 열기아카이브된 블로그 글
바른영치과의원 · Naver Blog
신당동 앞니 변색 치아 크라운치료 사례 안녕하세요. 진료한 케이스를 대표원장이 직접 설명해 주는 신당동 치과 바른영치과 대표원장 김태영입니다 과거에 치료한 치아가 왜 검게 보일까요?? 과거에 치료를 받으시고 시간이 한참 지난 후에 치아가 다른 치아에 비해 검게 보이는 것으로 내원해 주시는 환자분들이 계십니다....
게시일
2024년 5월 2일
원문 기준으로 확인된 발행일입니다.
카테고리
바른 치료사례
원문 블로그 카테고리를 정리해 함께 표시합니다.
이미지 수
6
현재 아카이브에 연결된 이미지 수입니다.
아카이브 요약
바른영치과의원의 네이버 블로그 원문을 보존한 아카이브 페이지입니다. 바른 치료사례 카테고리의 신당동 앞니 변색 치아 크라운치료 바른영치과 심미보철 케이스 글을 통해 병원의 한국어 정보 제공 방식과 진료 관련 안내 톤을 확인할 수 있습니다.
원문 검증
필요하면 원문 블로그와 병원 프로필로 바로 이동해 문맥을 다시 확인할 수 있습니다.
출처 아카이브 열기신당동 앞니 변색 치아 크라운치료 사례
안녕하세요.
진료한 케이스를 대표원장이 직접 설명해 주는
신당동 치과 바른영치과 대표원장 김태영입니다
과거에 치료한 치아가 왜 검게 보일까요??
과거에 치료를 받으시고 시간이 한참 지난 후에
치아가 다른 치아에 비해 검게 보이는 것으로
내원해 주시는 환자분들이 계십니다.
대표적인 경우로는 앞니의 신경이 죽은 상태거나
신경치료 후 내부 재료에 의해 변색이 일어나
시간이 지남에 따라 검게 비춰 보이게 됩니다.
앞니 신경치료를 한 후에 경우에 따라서는
보철치료 즉, 크라운을 씌우지 않고 지내시는
경우가 있습니다.
신경치료 후 보철치료를 꼭 해야 하나요??
앞서 말씀드렸듯이 신경치료 후 보철치료를 하지 않는
경우는 앞니 부위에서 몇 가지로 설명드릴 수 있습니다.
치아가 너무 작은 경우
겹쳐있는 치열 때문에 보철을 위한 공간이 부족한 경우
뿌리 염증이 심해 증상을 지켜볼 필요가 있는 경우
위의 경우를 제외하고는 신경치료 후 보철치료를 권해드립니다.
앞니는 힘을 많이 받는 치아가 아니라
보철치료가 필요 없다고 하는 경우가 있지만
신경치료가 된 치아는 파절에 취약하고
변색이 되면 심미적으로 안 좋기 때문에
장기적으로 봤을 때는 크라운을 심미적으로 제작하는 것이
좋다고 생각합니다.
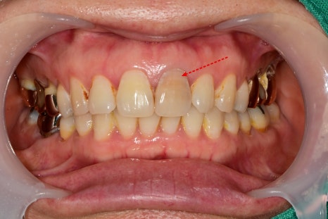
과거에 치료한 치아가 검게 보여요


오래전에 대문니에 신경치료를 받으신 환자분이십니다.
치아 주변 플라그도 쌓여있어 잇몸치료도 필요해 보이십니다.
치료 후 시간이 지남에 따라 내부 재료의 변색과
신경치료를 위해 입구를 만든 부분에
충전해 놓은 재료의 오염에 의해 치아가 검게 보입니다.
엑스레이 상에서 뿌리 쪽 염증은 확인되지 않아
내부 오염된 부위를 깨끗이 제거한 후 새로운 충전재를 충천하고
보철 제작을 하기로 했습니다.
화살표로 표시된 부위는 치아 두께가 얇기 때문에
변색된 부분이 나중에 크라운에 비춰서 어둡게
보일 수 있는 부분이기 때문에 가능하다면
필요시 미백치료 후 보철을 해야 하는 경우도 있습니다.

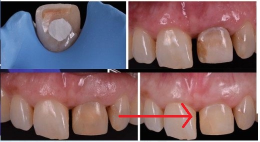
실활치미백
위의 그림은 변색된 치아의 치아미백치료입니다.
(실활치미백)
치아 색 맞추는 단계


어둡게 비추는 부분을 커버하기 위해
여러 색을 대조해 보고 수정을 하는 과정이 필요했습니다.
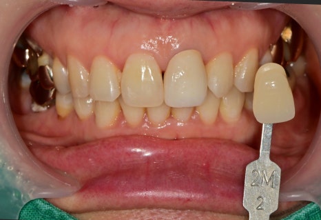
앞니 심미보철을 제작할 경우에는
하나의 치아를 주변 기존 치아에 맞춰서 제작하는 것은
주변 조건을 다 충족시키기 어렵고 분명 한계는 존재합니다.
다행히 주변 치아들의 캐릭터가 평범했기 때문에
좋은 결과물이 나올 수 있었던 것 같습니다.
다른 부위의 기존 보철물들도 치아가 노출되고
오래된 보철물이지만 특별한 증상은 없으셔서
앞으로 정기검진을 통해 오래 쓰시도록
도와드리겠습니다^^
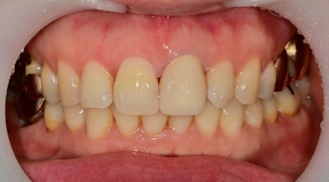
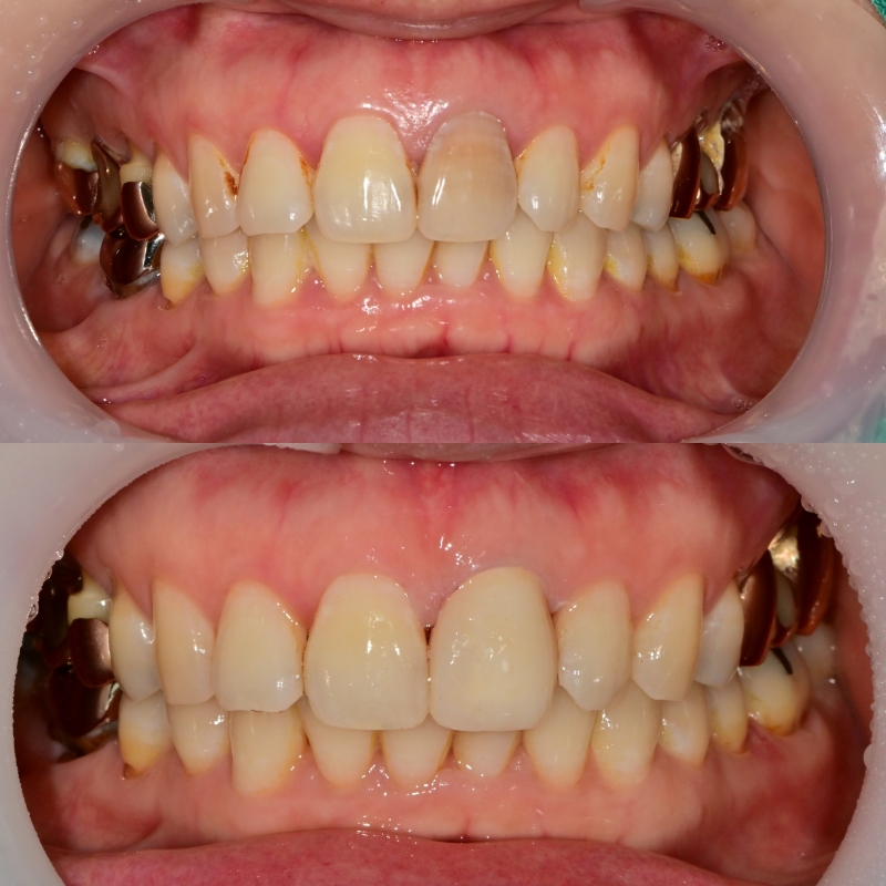
전후 사진 비교

이렇게 앞니의 보철치료는
기능적 뿐만 아니라 심미적인 요인도
작용하기 때문에 치료 결정에는
여러 요인이 작용하는 부분입니다.
오늘은 #신당동치과 신당동 앞니 변색이 왜 생기는지
그런 경우에 어떤 심미보철치료를 하는지에 대해
알아보았는데요.
궁금하신 부분이 해결되셨기를 바라면서
다음에 유익한 포스팅으로 찾아뵙겠습니다.
감사합니다.^^
치료 시작 : 2024.04.08
치료 종료 : 2024.04.29
▼ 함께 읽으면 좋은 관련 증례 ▼
바른진료가 바른결과를 만든다고 생각합니다.
걱정하며 내원해 주시는 모든 분이
나가실 때는 안심하고 나가는
믿을 수 있는 치과를 만드는 것이
제가 바라는 치과입니다.
오시는길
중구 동호로179 JYJ빌딩, 2층
약수역 약수시장 방향 6번출구 바로 앞
마을버스5번(약수역)
마을버스12번(남산타운, 약수지구대)
버스정류장(약수하이츠, 신당사회복지관, 가온도서관, 금호터널입구)이용 유유제약에서 금호역방면
본 포스팅은 의료 정보 제공 및 병원 광고를 목적(의료법 제56조 1항)을 준수하여 바른영치과에서 직접 작성한 글입니다.본사진은 동일한 환자분에게 찍은 사진으로서 환자마다 치료방법 및 다른 부작용(통증, 보철물탈락)이 발생할수 있습니다