아카이브 요약
이 페이지의 역할
바른영치과의원의 네이버 블로그 원문을 보존한 아카이브 페이지입니다. 바른 치료사례 카테고리의 약수역치과 벌어진 앞니(치간이개) 레진을 이용한 치료방법 글을 통해 병원의 한국어 정보 제공 방식과 진료 관련 안내 톤을 확인할 수 있습니다.
원문 검증
필요하면 원문 블로그와 병원 프로필로 바로 이동해 문맥을 다시 확인할 수 있습니다.
출처 아카이브 열기아카이브된 블로그 글
바른영치과의원 · Naver Blog
약수역치과 벌어진 앞니 레진을 이용한 치료 안녕하세요. 진료한 케이스를 대표원장이 직접 설명해 주는 약수역치과 바른영치과 대표원장 김태영입니다. 앞니 사이가 벌어져서 메꾸고 싶어요 환자분들께서 앞니가 공간이 벌어졌는데 그 사이를 채우는 방법에 대해서 많이 묻곤 하십니다. 일반적으로 교정으로 공간을 메꾸는 방법이...
게시일
2024년 5월 8일
원문 기준으로 확인된 발행일입니다.
카테고리
바른 치료사례
원문 블로그 카테고리를 정리해 함께 표시합니다.
이미지 수
6
현재 아카이브에 연결된 이미지 수입니다.
아카이브 요약
바른영치과의원의 네이버 블로그 원문을 보존한 아카이브 페이지입니다. 바른 치료사례 카테고리의 약수역치과 벌어진 앞니(치간이개) 레진을 이용한 치료방법 글을 통해 병원의 한국어 정보 제공 방식과 진료 관련 안내 톤을 확인할 수 있습니다.
원문 검증
필요하면 원문 블로그와 병원 프로필로 바로 이동해 문맥을 다시 확인할 수 있습니다.
출처 아카이브 열기약수역치과 벌어진 앞니 레진을 이용한 치료
안녕하세요.
진료한 케이스를 대표원장이 직접 설명해 주는
약수역치과 바른영치과 대표원장 김태영입니다.
앞니 사이가 벌어져서 메꾸고 싶어요
환자분들께서 앞니가 공간이 벌어졌는데
그 사이를 채우는 방법에 대해서 많이 묻곤 하십니다.
일반적으로 교정으로 공간을 메꾸는 방법이 있지만
교정을 필요로 할 정도의 공간이 아닌 경우는
장치도 붙이고, 시간도 걸리는 교정을 굳이 할 필요는 없습니다.
오늘은 기존 치아를 보존하며 공간도 채울 수 있는 레진에 대해
알아보고, 장단점에 대해서 알아보도록 하겠습니다.
치간이개 (앞니 벌어짐)의 원인?
벌어진 앞니 공간을 치간이개라고 합니다.
원인은 여러 가지가 있지만 대표적으로
일반적으로 턱뼈의 성장이 이루어질 때
턱뼈 크기에 비해 치아의 크기가 상대적으로 작아
공간의 여유가 남는다면 앞니가 벌어지게 됩니다.
반대로 작은 턱뼈에 비해 치아의 크기가 크면
맹출 할 치아의 공간이 부족하게 되어
교정이 필요한 경우도 있습니다,
앞니 쪽 잇몸과 입술이 연결된 부분을 설소대라 합니다.
그림과 같이 설소대 조직이 과하게 발달한 경우
치아가 벌어지게 됩니다.

혀가 앞니를 너무 밀어내는 경우
치주 질환으로 인해 잇몸이 내려앉아 앞으로 돌출된 경우
대합치에 의해 교합력이 바깥으로 지속적으로 작용하는 경우
벌어진 앞니 공간의 레진 치료
레진의 가장 큰 장점은
치아의 삭제가 거의 없이 빈 공간을 채워줄 수 있다는 것이
가장 큰 장점으로 꼽을 수 있습니다.
하지만
모든 경우의 벌어진 공간에 레진 치료를 할 수 있는 것은 아닙니다.
벌어진 공간이 너무 넓은 경우
대합치의 교합의 방해가 있는 경우
치열을 수정할 정도의 위치 변위 정도
위의 경우는 레진 치료보다는 보철에 의해
교합, 치열까지 수정하는 진단이 필요합니다
또한 시간이 지날수록 변색 및 파절에 대한 위험성을
있기 때문에 레진 치료 후 장기적으로
추적 관찰을 해야 합니다.
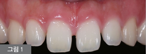
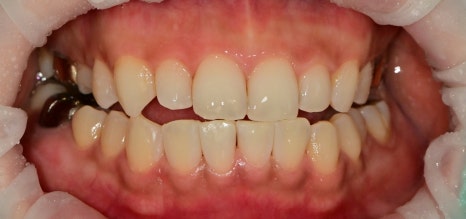
치아 벌어진 곳을 치료할 수 있나요?



아래 앞니가 아래턱 골격에 비해 작은 크기로 인해
벌어진 상태였습니다.
레진이 가능한 케이스인지 판단하기 위해
대합치와의 교합관계도 파악하고
이 정도 공간은 레진으로 우선적으로 치료해 봐도
자연스럽게 치료가 될 케이스라고 봐도 됩니다.
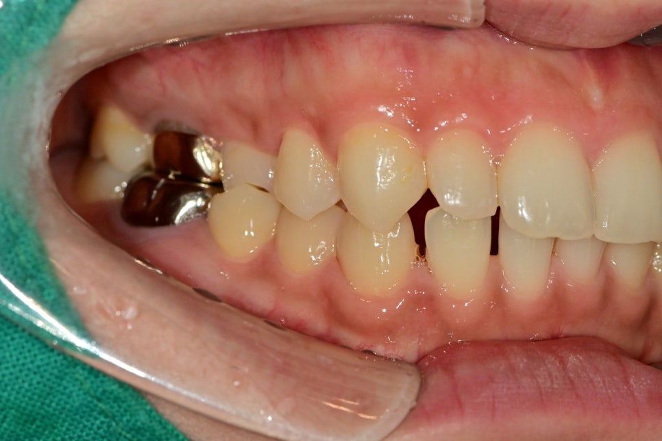
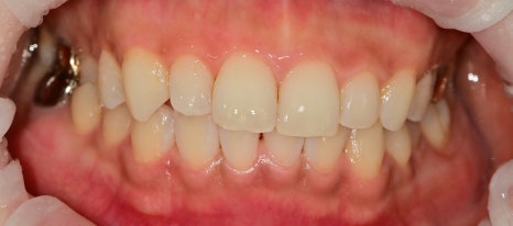
벌어진 앞니(치간이개) 치료는 기존 외형에 맞춰
레진의 형태를 잡는 것을 최우선을 해야 합니다.
그것에 더해서 대합치와의 교합에 걸리지 않게 모양을
잡아줘야 하기 때문에 이상적인 치아 모양과
실제 구강내의 모양이 조금 수정돼야 하는 경우가 있습니다.
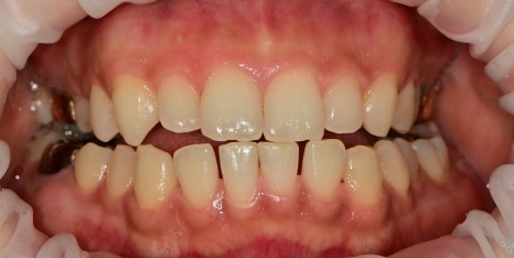
치간이개 레진 치료를 마치며


3개의 공간, 6개의 치아면의 공간을 채우고
교합까지 완성된 증례입니다.
환자분께서는 오랜 시간 동안 치아가 벌어져있었고
없던 치아의 접촉점이 생겼기 때문에
아직은 어색하다고 하시지만 시간이 지나면
없던 일처럼 자연스러워질 것입니다.
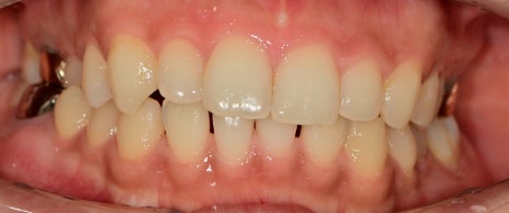
대부분은 대문니가 벌어지는 케이스가 많은데
다수의 치아에서 공간이 생긴 치아들은
각각 치아마다 치아 형태가 미세하게 다르기 때문에
기존 외형을 그대로 이어주며 공간을 유지하기 때문에
교합, 형태, 색상 등을 고려해야 하면 단순하게
충치치료하는 것보다 시간적으로 오래 걸리기 때문에
치료전에는 시간을 넉넉히 잡고 오시는 것을 권유 드립니다^^
레진이라는 재료는 치과에 널리 사용되는 재료입니다.
하지만 유기화합물이기 때문에
시간이 지남에 따라 재료의 교체나 파절, 변색의 가능성은
있기 때문에 추후 관찰 시 재치료 및 보철치료의 가능성은 있습니다.
오늘은 #약수역치과 치아 벌어진 공간(치간이개)을
레진으로 치료한 케이스를 소개해드렸는데요
궁금하신 부분들이 해소됐기를 바라면서
자세한 상담을 바른영치과로 문의 부탁드립니다.
감사합니다^^
치료 시작,종료 : 2024.05.03
▼ 함께 읽으면 좋은 관련 증례 ▼
바른진료가 바른결과를 만든다고 생각합니다.
걱정하며 내원해 주시는 모든 분이
나가실 때는 안심하고 나가는
믿을 수 있는 치과를 만드는 것이
제가 바라는 치과입니다.
오시는길
중구 동호로179 JYJ빌딩, 2층
약수역 약수시장 방향 6번출구 바로 앞
마을버스5번(약수역)
마을버스12번(남산타운, 약수지구대)
버스정류장(약수하이츠, 신당사회복지관, 가온도서관, 금호터널입구)이용 유유제약에서 금호역방면
본 포스팅은 의료 정보 제공 및 병원 광고를 목적(의료법 제56조 1항)을 준수하여 바른영치과에서 직접 작성한 글입니다.
본사진은 동일한 환자분에게 찍은 사진으로서 환자마다 치료방법 및 다른 부작용(통증, 염증, 보철물탈락)이 발생할수 있습니다