아카이브 요약
이 페이지의 역할
바른영치과의원의 네이버 블로그 원문을 보존한 아카이브 페이지입니다. 바른 치료사례 카테고리의 동대입구역 주변 치과 라미네이트가 깨지는 이유 글을 통해 병원의 한국어 정보 제공 방식과 진료 관련 안내 톤을 확인할 수 있습니다.
원문 검증
필요하면 원문 블로그와 병원 프로필로 바로 이동해 문맥을 다시 확인할 수 있습니다.
출처 아카이브 열기아카이브된 블로그 글
바른영치과의원 · Naver Blog
동대입구역 치과 라미네이트가 깨지는 이유 안녕하세요. 진료한 케이스를 대표원장이 직접 설명해 주는 바른영치과 대표원장 김태영입니다. 예전에 라미네이트 했는데 깨졌어요 대문니 옆에 양쪽 작은 앞니 2개를 라미네이트를 하셨습니다. 과거 교정을 하시고 닫히지 못한 공간을 라미네이트로 마무리를 하셨다고 하셨습니다. 오...
게시일
2024년 5월 21일
원문 기준으로 확인된 발행일입니다.
카테고리
바른 치료사례
원문 블로그 카테고리를 정리해 함께 표시합니다.
이미지 수
7
현재 아카이브에 연결된 이미지 수입니다.
아카이브 요약
바른영치과의원의 네이버 블로그 원문을 보존한 아카이브 페이지입니다. 바른 치료사례 카테고리의 동대입구역 주변 치과 라미네이트가 깨지는 이유 글을 통해 병원의 한국어 정보 제공 방식과 진료 관련 안내 톤을 확인할 수 있습니다.
원문 검증
필요하면 원문 블로그와 병원 프로필로 바로 이동해 문맥을 다시 확인할 수 있습니다.
출처 아카이브 열기동대입구역 치과 라미네이트가 깨지는 이유
안녕하세요.
진료한 케이스를 대표원장이 직접 설명해 주는
바른영치과 대표원장 김태영입니다.
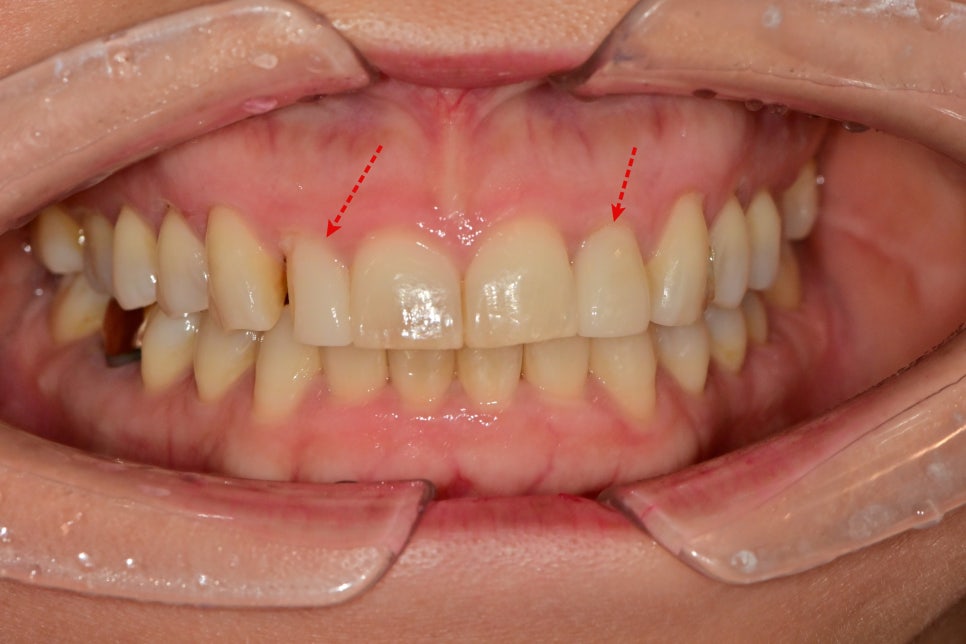
예전에 라미네이트 했는데 깨졌어요

대문니 옆에 양쪽 작은 앞니 2개를
라미네이트를 하셨습니다.
과거 교정을 하시고 닫히지 못한 공간을
라미네이트로 마무리를 하셨다고 하셨습니다.
오래 사용하셨는데 파절된 부위를 보면
옆의 송곳니가 닳아져있는 것을 볼 수 있습니다.
송곳니가 닳게 되면서 그 옆의 치아에 장기간의
교합간섭이 일어나 일부가
파절이 된 것 같습니다.
가장 큰 대문니가 각이 져있는 형태이고 거기에
보철물을 맞추다 보니 디자인이 약간
막혀있고 답답한 느낌이 듭니다.
기존 2개를 재제작하면서 옆의 치아도 같이
제작하면 훨씬 자연스럽지만
환자분께서는 기존 라미네이트만 다시 만들고
미백을 하시는 것을 원하셨기 때문에 그에 따른 진단을 했습니다.
진단모형의 중요성
일반적으로 라미네이트의 장점은
치아의 무삭제 혹은 최소삭제로 제작이 가능하다는 겁니다.
기존 크라운을 제작하는 방식보다는 치아 삭제량이 적고
경우에 따라서는 무삭제로 제작이 가능하지만
무삭제 치료는 항상 가능한 치료가 아니며
가능한 케이스는 한정되어 있습니다.
치아마다 돌출 정도가 다르고 부위에 따라
삭제량도 차이가 있을 수 있기 때문에
치료 전의 진단모형이라는것을 제작해서
치료 후 어떤 치아 형태가 될 것인지 미리 확인하는 것이 좋습니다.

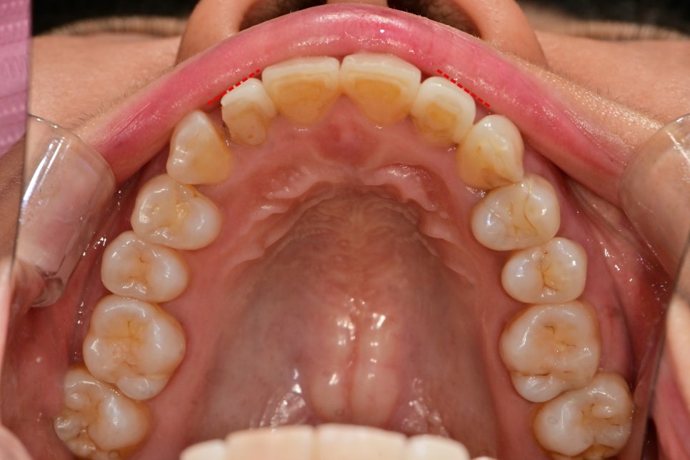
기존라미네이트를 위에서 바라본 사진입니다.
치아의 돌출정도가 다르지만 일률적으로
치아를 다듬고 같은 두께로 제작하다 보니
한쪽의 치아가 더 돌출되어 보이고 이는 입체적으로
부조화를 야기할 수 있습니다.
이런 것을 해소하기 위해 진단모형으로
치아 삭제량을 결정할 수 있습니다.


파절 부위에 교합간섭을 피하기 위해
치아 형태가 제작이 되었습니다.
되도록 기존 대문니의 형태와 이질감 없고
대칭적으로 같은 형태가 나오게 최종 보철물을 제작해야 합니다.
이 진단모형에서는 치아 대칭이 이루어지지 않아
진료실에서 모형 수정을 한 후에 이것을
토대로 치아 삭제량을 결정할 수 있는
인덱스를 제작을 하게 됩니다.
진단모형을 이용한 치아 삭제량 결정

기존 라미네이트를 제거한 사진입니다.
제작될 라미네이트 예상 높이와 기존 치아의 높이가 같기 때문에
공간을 충분히 부여하지 못해 파절 위험성이 높아 보입니다.
최소한의 두께를 부여하기 위해 최소삭제를 하고
나머지 부위는 충분한 삭제가 이루어져 있어
삽입으로 정도만 수정하고 제작을 했습니다.
라미네이트 후 미백치료

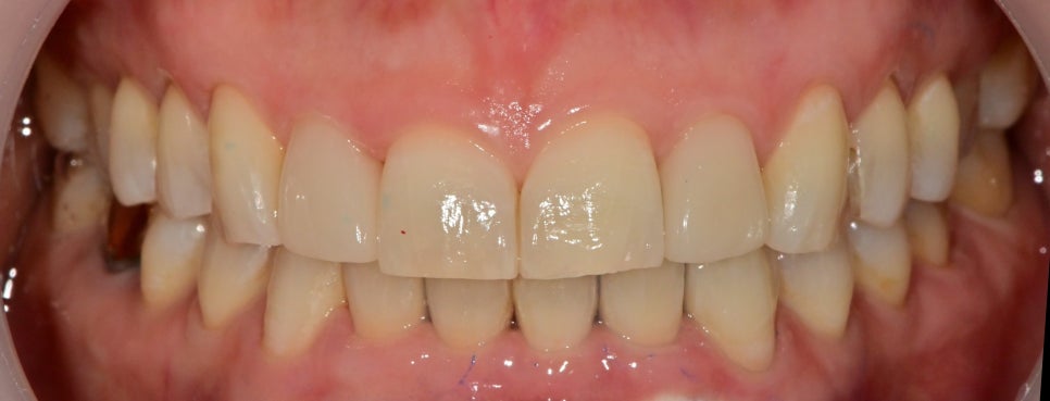
라미네이트 부착 후 원데이 미백직후의 사진입니다.
미백 후 라미네이트와 색상 차이가 날까
걱정하셨었는데 다행히 색상이 잘 나온 것 같습니다.
추후 한두 번의 미백을 하시면 훨씬 자연스러울것 같습니다.
기존 치아들이 각진 형태이기 때문에
라미네이트를 둥근 형태로 만들기에는 한계가 있어
닫힌 공간만 살짝 열어줘 개방감을 주려고 했습니다.
라미네이트의 장, 단점
라미네이트는 치아의 삭제량을 최소로 하며
심미적으로 치료할 수 있는 아주 좋은 치료입니다.
하지만 모든 케이스에서 적용될 수는 없으며
교합, 보철물의 두께에 따라 파절의 위험성도 있고
경우에 따라서는 신경치료를 동반하거나
크라운치료가 적합한 경우도 있습니다.
그렇기 때문에 치열 관계, 환자분의 니즈를
파악하여 진단을 해봐야 하기 때문에
고민을 하고 계신 분들이라면
내원하셔서 진단을 받는 것을 권유 드립니다.
오늘은 #동대입구역치과
깨지는 라미네이트의 재치료에 대해서
알아보았는데요.
궁금하신 부분은 해소가 되었기를 바라면서
자세한 상담문의는 바른영치과로 부탁드립니다.
감사합니다.

▼ 함께 읽으면 좋은 관련 증례 ▼
바른진료가 바른결과를 만든다고 생각합니다.
걱정하며 내원해 주시는 모든 분이
나가실 때는 안심하고 나가는
믿을 수 있는 치과를 만드는 것이
제가 바라는 치과입니다.
오시는길
중구 동호로179 JYJ빌딩, 2층
약수역 약수시장 방향 6번출구 바로 앞
마을버스5번(약수역)
마을버스12번(남산타운, 약수지구대)
버스정류장(약수하이츠, 신당사회복지관, 가온도서관, 금호터널입구)이용 유유제약에서 금호역방면
본 포스팅은 의료 정보 제공 및 병원 광고를 목적(의료법 제56조 1항)을 준수하여 바른영치과에서 직접 작성한 글입니다.