아카이브 요약
이 페이지의 역할
바른영치과의원의 네이버 블로그 원문을 보존한 아카이브 페이지입니다. 바른 치료사례 카테고리의 약수역 치과 비염 수술 후 상악동 임플란트 과정 글을 통해 병원의 한국어 정보 제공 방식과 진료 관련 안내 톤을 확인할 수 있습니다.
원문 검증
필요하면 원문 블로그와 병원 프로필로 바로 이동해 문맥을 다시 확인할 수 있습니다.
출처 아카이브 열기아카이브된 블로그 글
바른영치과의원 · Naver Blog
약수역 치과 비염수술 후 상악동 임플란트 안녕하세요 진료 케이스를 대표원장이 직접 설명해 주는 약수역 치과 바른영치과 대표원장 김태영입니다. 치아가 없는 상태의 우리 뼈는 시간이 지속될수록 뼈가 수축이 일어나며 임플란트를 식립하기 위한 충분한 골폭과 높이를 유지할 수 없게 됩니다. 그에 따라 장시간 동안 치아가 없...
게시일
2024년 5월 27일
원문 기준으로 확인된 발행일입니다.
카테고리
바른 치료사례
원문 블로그 카테고리를 정리해 함께 표시합니다.
이미지 수
8
현재 아카이브에 연결된 이미지 수입니다.
아카이브 요약
바른영치과의원의 네이버 블로그 원문을 보존한 아카이브 페이지입니다. 바른 치료사례 카테고리의 약수역 치과 비염 수술 후 상악동 임플란트 과정 글을 통해 병원의 한국어 정보 제공 방식과 진료 관련 안내 톤을 확인할 수 있습니다.
원문 검증
필요하면 원문 블로그와 병원 프로필로 바로 이동해 문맥을 다시 확인할 수 있습니다.
출처 아카이브 열기약수역 치과 비염수술 후 상악동 임플란트
안녕하세요
진료 케이스를 대표원장이 직접 설명해 주는
약수역 치과 바른영치과 대표원장 김태영입니다.
치아가 없는 상태의 우리 뼈는 시간이 지속될수록
뼈가 수축이 일어나며 임플란트를 식립하기 위한
충분한 골폭과 높이를 유지할 수 없게 됩니다.
그에 따라 장시간 동안 치아가 없으신 분들은
위턱뼈 같은 경우는 상악동(=부비동)이라는 공간에
광범위한 치조골 이식술을 필요로 하는 경우가 있습니다.
만성비염이 있는데 임플란트 수술 가능한가요?
결론부터 말씀드리면 수술은 가능합니다.
경증의 비염을 동반한 미세하게 점막의
비후만 관찰되는 경우는 점막만 거상하거나
염증의 크기가 크지 않은 경우는 수술과 동시에
염증을 제거하고 소독한 후 공간을 확보하고
해당 부위에 치조골이식술을 시행하면 됩니다.
하지만 비후된 막의 두께가 너무 두껍거나
내부의 공간이 염증에 의해 꽉 막혀있는 경우는
약으로 조절하거나 이비인후과적인 수술을 통해
염증을 가라앉힌 후에 수술을 진행해야 합니다.

희색선=남아있는 치조골, 빨간원=상악동공간
어금니가 장기간 동안 상실된 상태이셨고
앞니 쪽으로 식사를 주로 하시다 보니
치주가 안 좋은 곳은 동요도가 심한 상태였습니다.
진단을 하기 전에 상악동 공간에 뿌옇게
염증소견이 보였습니다.

CT상에서 회색으로 보이는 공간은
만성비염에 의해 점막의 비후는 물론이고
염증이 차 있는 것을 볼 수 있습니다.
저 해당 공간은 상악동거상술을 통한
치조골 이식술을 해야 하는 공간입니다.
현재 상태에서는 적절하게 점막을 거상할 수 없기 때문에
이비인후과와 협진을 통해 비염수술을 완료 한 후에
위턱뼈의 임플란트 수술을 진행하기로 했습니다.
순차적인 임플란트 수술 시작

비염 제거 수술을 하고 점막이 안정화되는 기간 동안
아래쪽 임플란트를 먼저 수술하고 필요한 치료를
먼저 진행하기로 했습니다.
뼈와 임플란트와 고정이 약해서 수술 기간 동안
임시틀니를 껴야 하지만 기간을 최소화하기 위해
아래쪽 먼저 임플란트를 완성하기로 하고 그에 따른
위쪽은 수술 후 교합을 완성하기로 했습니다.
비교적 동요도가 없고 뿌리가 튼튼한 치아는 최대한
살려서 지내는 방향으로 계획을 잡았습니다.
이비인후과 수술 후 경과


이비인후과에서 비염 수술을 하신 후
3달 정도가 지난 사진입니다.
과거에 상악동을 채우고 있던 희뿌옇던 염증이 사라졌지만
만성 염증에 의해 점막이 부어있습니다만
이 정도는 상악동거상술을 하기에는 방해요소는 아닙니다.
상기 환자는 남아있는 잔존골의 양이 너무 적기 때문에
측면에서 접근하는 측방접근법을 이용하여
치조골 이식술과 동시에 임플란트 수술을 했습니다.
상악의 전체 임플란트 수술

위턱뼈의 치아들이 발치를 요하는 정도의
동요도를 갖고 있었고, 주변 뼈들이 얇기 때문에
전체 발치를 결정하고 기존 견고한 뼈 주변에
치조골이식술을 동반한 수술을 진행했습니다.
광범위한 뼈이식을 진행했기 때문에 임시틀니의 기간이
길어지겠지만 다행히 아래쪽은 기다리는 동안 치아머리까지
완성이 된 상태였기 때문에 식사에는 큰 무리가 없었습니다.
약 6개월의 시간이 지난 후 무너졌던 어금니의 교합을 회복시켜줘야 합니다.
기존 교합이 없기 때문에 턱관절을 적응 시키야 하며
교합을 주기적으로 체크하며 임시치아를 사용하며
최종 보철물까지 적응단계를 거쳤습니다.
교합 안정화 후 최종 보철물 제작

불안정했던 턱관절과 교합을 안정화 시킨 후
더 이상 교합의 변화가 일어나지 않을 때
임시보철물 -> 최종보철물로 제작을 진행했습니다.
전체 치료가 완료되었지만
주기적으로 보철물의 체크와 상악동내의 상악동염이 재발하는지를 체크해야 할 것입니다.
전체 임플란트 시 유의할 점

전체 임플란트 시 유의할 점은
처음 수술을 할 경우 적절한 위치에 알맞은 뼈이식을 통해
임플란트의 식립 경로를 체크하는 것이며
두 번째는 보철적으로 교합을 완성 시켜주는 것입니다.
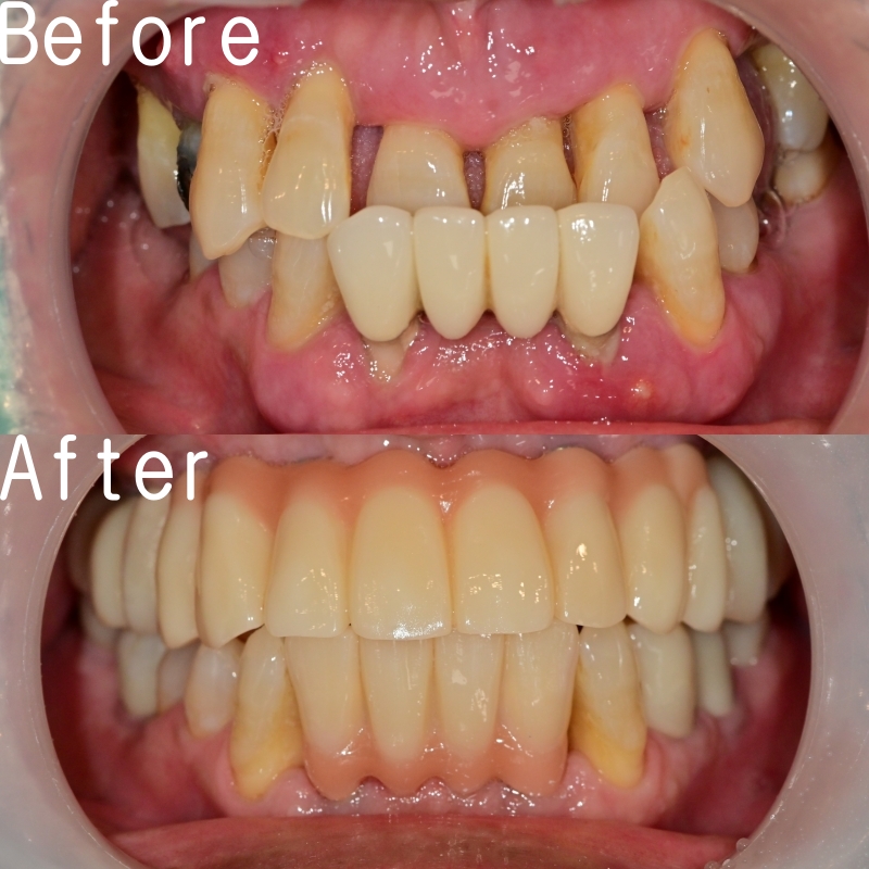
치료 전 / 후 사진을 보게 되면
아래턱이 돌출된 부정교합 케이스로 보철 제작 시
윗니가 아랫니를 덮는 교합으로 제작을 해줘야 합니다.
턱의 돌출 정도와 내려앉은 치조골의 양에 따라서
보철의 디자인으로 충분히 커버를 해줄 수 있습니다.
수십 년간 유지해왔던 교합을 변화시켜 주는 것이기 때문에
처음에는 적응에 불편감을 느끼지만 차츰 적응을 하는 단계에서
환자분의 불편감을 최대한 반영하여 최종 보철물 제작을 했습니다.
오늘은 #약수역치과 심한 만성 상악동염이 있는 경우
이비인후과 수술을 동반한 임플란트 수술 케이스에 대해 알아보았는데요.
궁금하신 부분이 해소되었기를 바라면서
진단은 개인차마다 다를 수 있기 때문에
가까운 치과에 가셔서 진단을 받아보시기 바랍니다.
감사합니다.
치료 시작 : 2022.12.22
치료 종료 : 2023.02.24
▼ 함께 읽으면 좋은 관련 증례 ▼
바른진료가 바른결과를 만든다고 생각합니다.
걱정하며 내원해 주시는 모든 분이
나가실 때는 안심하고 나가는
믿을 수 있는 치과를 만드는 것이
제가 바라는 치과입니다.
오시는길
중구 동호로179 JYJ빌딩, 2층
약수역 약수시장 방향 6번출구 바로 앞
마을버스5번(약수역)
마을버스12번(남산타운, 약수지구대)
버스정류장(약수하이츠, 신당사회복지관, 가온도서관, 금호터널입구)이용 유유제약에서 금호역방면
본 포스팅은 의료 정보 제공 및 병원 광고를 목적(의료법 제56조 1항)을 준수하여 바른영치과에서 직접 작성한 글입니다.