아카이브 요약
이 페이지의 역할
바른영치과의원의 네이버 블로그 원문을 보존한 아카이브 페이지입니다. 바른 치료사례 카테고리의 신금호역 주변 치과 치아가 빠진 후 시간이 오래 지나면 생기는 문제점 글을 통해 병원의 한국어 정보 제공 방식과 진료 관련 안내 톤을 확인할 수 있습니다.
원문 검증
필요하면 원문 블로그와 병원 프로필로 바로 이동해 문맥을 다시 확인할 수 있습니다.
출처 아카이브 열기아카이브된 블로그 글
바른영치과의원 · Naver Blog
신금호역 치과 치아가 빠진 후 시간이 오래 지나면 생기는 문제점(치료를 바로 해야 하는 이유) 안녕하세요 진료 케이스를 대표원장이 직접 설명해 주는 바른영치과 대표원장 김태영입니다. 저희 치과 처음 오시거나 소개 환자분들 중에서는 치과에 두려움이 있으신 분들이 많이 계십니다. 물론 안 아프게 마취하고, 치료를 진행...
게시일
2024년 6월 12일
원문 기준으로 확인된 발행일입니다.
카테고리
바른 치료사례
원문 블로그 카테고리를 정리해 함께 표시합니다.
이미지 수
7
현재 아카이브에 연결된 이미지 수입니다.
아카이브 요약
바른영치과의원의 네이버 블로그 원문을 보존한 아카이브 페이지입니다. 바른 치료사례 카테고리의 신금호역 주변 치과 치아가 빠진 후 시간이 오래 지나면 생기는 문제점 글을 통해 병원의 한국어 정보 제공 방식과 진료 관련 안내 톤을 확인할 수 있습니다.
원문 검증
필요하면 원문 블로그와 병원 프로필로 바로 이동해 문맥을 다시 확인할 수 있습니다.
출처 아카이브 열기신금호역 치과 치아가 빠진 후 시간이 오래 지나면 생기는 문제점(치료를 바로 해야 하는 이유)
안녕하세요
진료 케이스를 대표원장이 직접 설명해 주는
바른영치과 대표원장 김태영입니다.

저희 치과 처음 오시거나 소개 환자분들 중에서는 치과에 두려움이 있으신 분들이 많이 계십니다.
물론 안 아프게 마취하고, 치료를 진행하는 것도 중요하지만 심리적으로 안정이 된 상태에서 치료를 진행하는 것이
환자분도 편안하게 진료받으시고 결과도 더 잘 나온다고 생각하기 때문에 가끔은 진료시간보다 자세하게 설명하고 기다리는 시간이 더 오래 걸리는 경우도 종종 있습니다.^^
시간이 오래 걸릴지라도 환자분들이 어떤 치료를 받는지에 대해 이해하시고, 예지성있는 치료를 하는 것이 매우 중요하다고 생각합니다.
치아를 빼고 오랜 시간 지나면 어떻게 되나요?
치아가 치주 문제나 깊은 충치로 인해 발치를 해야 하지만 그 이후의 치과 치료가 무서워서 치료를 미루고 계시는 경우가 있습니다.
이런 경우 치아를 발치하고 오랜 시간이 지났을 때 우리 구강 내의 치아에는 어떤 일이 일어나는지에 대해 알아보도록 하겠습니다.
구강내 치아는 위턱과 아래턱에 있는 치아들이 서로를 지탱해 주고, 서로 양옆에서 지지해 주는 역할을 합니다.
이때, 대합치의 상실이나 인접치의 상실이 일어난 후 시간이 흐르게 되면 치아가 정출이 되거나 빈 공간 쪽으로 치아가 쓰러지게 됩니다.
이런 경우 시간이 지나서 치료를 하려고 한다면 상실된 치아 부위뿐만 아니라 위치 변화된 주변 치아까지 치료를 해야 하는 경우가 생깁니다.
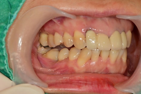
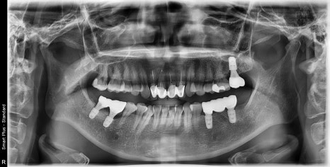
치아의 쓰러짐과 정출



치과치료가 두려워서 치료를 미루고 계셨던 환자분께서 가족소개로 내원해 주셨습니다.
아래 어금니가 3개가 발치된 상황에서 오랜 시간 지남에 따라 아래쪽은 어금니가 쓰러져있었고,
위쪽 치아는 아래에서 서포트해주는 치아가 없기 때문에 아래쪽으로 정출되어 있는 상태였습니다.
치아의 쓰러짐과 정출된 정도가 너무 심했기 때문에 임플란트 수술을 위해서 해당 치아들의 발치가 불가피했습니다.
큰 용기를 내주어 내원한 환자분께 현 상황에 대해 자세히 설명드리고, 한쪽씩 나누어 치료를 진행하기로 했습니다.
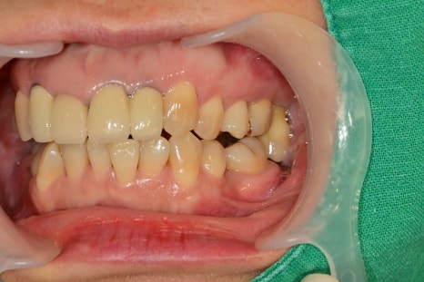
임플란트 수술의 시작

왼쪽 치아 발치 후 임플란트 수술 후 보철까지 완성되었습니다.
다행히 오른쪽은 쓰러져있는 어금니들이 위 어금니를 받쳐주고 있어 교합의 변화가 크지 않아 기존 충치치료만 진행하고, 아래 부위만 임플란트 수술이 진행되었습니다.


치아가 쓰러져있는 공간이 매우 컸기 때문에 임플란트 주변의 빈 공간에 치조골 이식술을 동반하여
임플란트 주변에 뼈를 보강해 주는 작업까지 진행되었습니다.
수술을 나눠서 하고 오른쪽은 왼쪽에 비해 수술 기간이 길어져서 총 치료 기간이 길어질 수밖에 없었지만 환자분께서 잘 따라와 주셔서 잘 마칠 수 있었던 것 같습니다.
결과론적으로만 보면 수술 자체는 그렇게 힘든 수술은 아닙니다.
하지만 조금만 빨리 치료했더라면 자연치아의 발치 없이 최소의 치료 범위로 마무리할 수 있었을 텐데라는 생각이 들기도 합니다.
환자분들은 여러 상황에 의해 당시 치료를 진행할 수 없었지만 오랜 시간이 흐른 후 치료를 결심하는 순간은 치료 기간도 길어지고, 치료 범위도 넓어질 수밖에 없는 경우가 있습니다.
임플란트가 만능이고 영구적인 치료는 아니지만 치아의 상실 부위에 대해 대체할 수 있는 훌륭한 옵션인 것은 분명합니다.
이런 임플란트를 가능한 오래 유지할 수 있게 주기적으로 내원하셔서 치주 질환에 대해서도 예방하는 치료를 받으시고
치과치료가 두려우신 분들은 내원하셔서 스케일링 같은 예방치료를 주기적으로 받으시면서 정기검진을 받으시면 구강건강관리에 큰 도움을 받으실 수 있을 것입니다.
오늘은 #신금호역치과
빠진 치아 부위가 시간이 오래 지나면 일어날 수 있는 상황에 대해 알아보았는데요.
궁금하신 부분이 해소됐기를 바라면서 불편한 점은 내원해 주시면 자세히 도와드리겠습니다
감사합니다^^
▼ 함께 읽으면 좋은 관련 증례
바른진료가 바른결과를 만든다고 생각합니다.
걱정하며 내원해 주시는 모든 분이
나가실 때는 안심하고 나가는
믿을 수 있는 치과를 만드는 것이
제가 바라는 치과입니다.
오시는길
중구 동호로179 JYJ빌딩, 2층
약수역 약수시장 방향 6번출구 바로 앞
마을버스5번(약수역)
마을버스12번(남산타운, 약수지구대)
버스정류장(약수하이츠, 신당사회복지관, 가온도서관, 금호터널입구)이용 유유제약에서 금호역방면
본 포스팅은 의료 정보 제공 및 병원 광고를 목적(의료법 제56조 1항)을 준수하여 바른영치과에서 직접 작성한 글입니다.