아카이브 요약
이 페이지의 역할
바른영치과의원의 네이버 블로그 원문을 보존한 아카이브 페이지입니다. 바른 치료사례 카테고리의 금호동 치과 앞니 임플란트 수술 후 빈 공간 임시로 회복하는 방법 글을 통해 병원의 한국어 정보 제공 방식과 진료 관련 안내 톤을 확인할 수 있습니다.
원문 검증
필요하면 원문 블로그와 병원 프로필로 바로 이동해 문맥을 다시 확인할 수 있습니다.
출처 아카이브 열기아카이브된 블로그 글
바른영치과의원 · Naver Blog
금호동 치과 앞니 발치 임플란트 수술 후 빈 공간 임시로 채우기 안녕하세요 진료케이스를 대표원장이 직접 설명해 주는 금호동 치과 바른영치과 대표원장 김태영입니다. 최근에는 블로그를 보시고 내원해 주시거나 소개 환자분들 중에 앞니가 문제가 생겼는데 치료방법에 대해 궁금해하시며 내원해 주시는 환자층들이 많아지고 있습니...
게시일
2024년 6월 19일
원문 기준으로 확인된 발행일입니다.
카테고리
바른 치료사례
원문 블로그 카테고리를 정리해 함께 표시합니다.
이미지 수
4
현재 아카이브에 연결된 이미지 수입니다.
아카이브 요약
바른영치과의원의 네이버 블로그 원문을 보존한 아카이브 페이지입니다. 바른 치료사례 카테고리의 금호동 치과 앞니 임플란트 수술 후 빈 공간 임시로 회복하는 방법 글을 통해 병원의 한국어 정보 제공 방식과 진료 관련 안내 톤을 확인할 수 있습니다.
원문 검증
필요하면 원문 블로그와 병원 프로필로 바로 이동해 문맥을 다시 확인할 수 있습니다.
출처 아카이브 열기금호동 치과 앞니 발치 임플란트 수술 후 빈 공간 임시로 채우기
안녕하세요
진료케이스를 대표원장이 직접 설명해 주는
금호동 치과 바른영치과 대표원장 김태영입니다.

최근에는 블로그를 보시고 내원해 주시거나 소개 환자분들 중에 앞니가 문제가 생겼는데
치료방법에 대해 궁금해하시며 내원해 주시는 환자층들이 많아지고 있습니다.
예전 소개 글에서도 말씀드렸듯이 앞니는 저작의 기능뿐만 아니라
심미적인 기능 또한 매우 중요하기 때문에 치료 시 고려할 것들이 더 많습니다.
그렇기 때문에 최선의 결과를 내기 위해 앞니의 치료는 진단과정과 준비과정도 길고
내원 횟수와 치료시간이 비교적 길어지는 경우가 있습니다.
앞니를 빼고 임플란트를 하는 경우 빠진 부위 채울 수 있나요?
어금니가 아닌 앞니 부위는 발치 후 몇 달의 시간 동안 빈 공간으로 내버려두는 것이 심미적으로 안 좋기 때문에
빼고 끼는 가철성 장치를 사용하는 경우와 최종 보철전까지 고정되는 고정성의 임시치아를 사용하는 경우가 있습니다.
고정성 장치가 심미적인 면에서 뛰어나지만 항상 가능하지 않고 전제조건이 충족된다면 가능한 장치입니다.
오늘 알아볼 앞니를 치료했던 케이스는 치아가 안 좋아서 발치 후 임플란트 수술을 할 경우
빈 공간에 고정성의 임시치아로 공간을 회복했던 케이스에 대해 말씀드리겠습니다.
임시치아를 이용한 임플란트 수술 후 즉시 고정

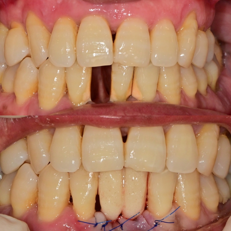
환자분께서 한 개의 치아는 자연 발치된 상태에서 내원해 주셨습니다.
전반적으로 치주가 안 좋은 상태였고, 바로 옆 치아도 발치가 필요한 정도로 좋지 않았습니다.
환자분께서는 앞니 임플란트 수술을 하더라도 빈 공간은 빨리 채우고 싶다고 하셨습니다.
위 경우 임플란트와 주변 뼈의 초기고정이 나쁘지 않았기 때문에 이런 식으로 임시치아를 이용한 즉시 회복이 가능했습니다.
일반적으로 임시치아를 사전제작 후 수술에 들어가지만 시간이 없는 관계로 수술 당일에 진료체어 옆에서 즉시 제작해서 완성했습니다.
고정성의 임시치아의 경우 임플란트가 주변골과 결합이 충분히 되는 (osteointegration) 과정까지 충분히 기다려야 되는 기간 동안 빈 공간과 주변 잇몸의 회복을 용도로 사용되고, 주의할 점은 해당 기간 동안 절대 앞니에 자극을 주거나 식사를 하는 행동을 피해 주셔야 합니다.
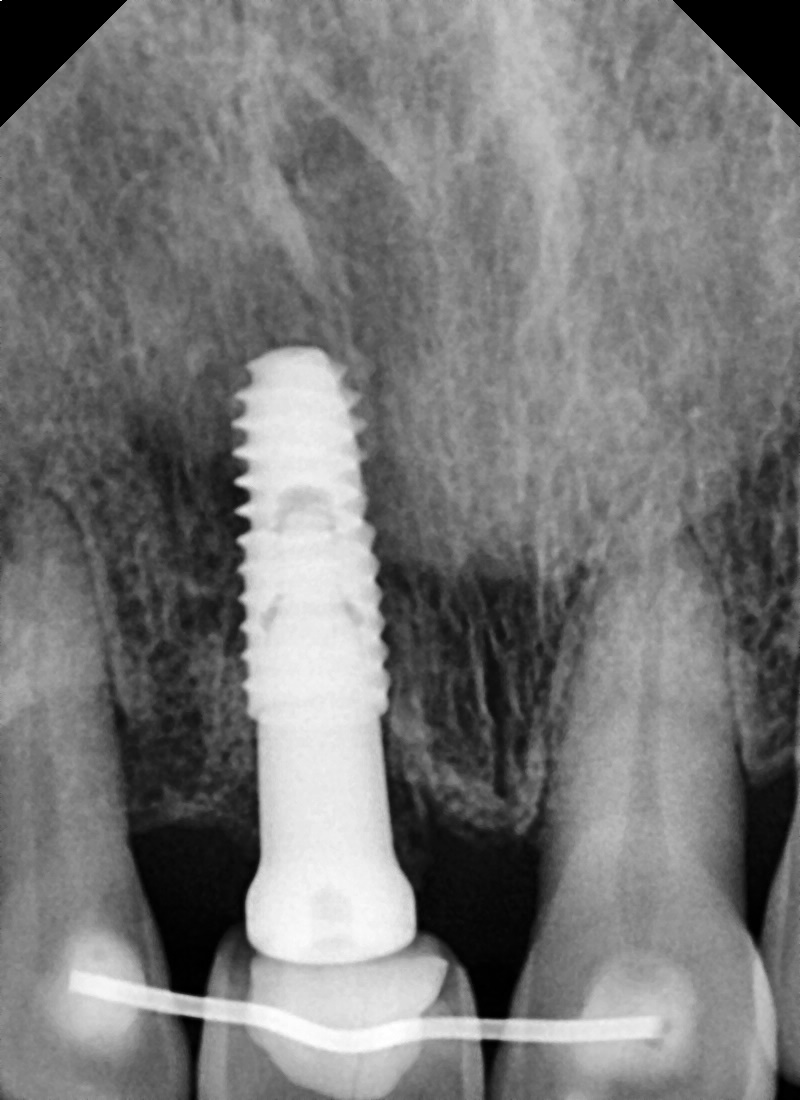
기존 치아를 이용하여 빈 공간 회복

초진 사진에는 기존 치아가 신경치료가 되어 있지만 오랜 시간에 의해 내부가 변색되어 치아가 어둡게 보이는 상태로 지내 오셨습니다.
큰 불편감 없이 지내시다 최근 해당 치아가 치주가 더 안 좋아져서 흔들림을 불편감으로 내원해 주셨습니다.
이미 치아의 동요도가 심해졌기 때문에 해당 부위는 발치 후 임플란트가 필요했습니다.
수술은 통법대로 간단하게 진행하고 맨 앞의 대문니가 없는 상태보다 임시적으로 회복하는 것이 심미적으로 좋다는 판단하에 발치한 치아를 이용하여 빈 공간에 붙여드리기로 했습니다.
기존 발치한 치아를 다듬는 과정에서 신경치료되어 변색된 부위를 다듬었더니 미백을 한 것처럼 임시치아가 환해진 것을 볼 수 있습니다.

엑스레이 사진에서와 같이 발치된 치아를 와이어에 붙여서 양쪽 치아에 2~3달 정도 고정을 시켜주게 됩니다.
임플란트가 식립되어 있는 상방에 발치된 치아를 다듬어 임플란트에 자극을 주지 않게 했습니다.
이런 경우는 이렇게 공간이 크지 않거나 아래 치아에 걸리지 않는 경우 시도해 볼 수 있는 경우입니다.
일반적으로 앞니 부분의 잇몸뼈는 약하기 때문에 임플란트와 주변골과 초기 고정이 약하거나
다수의 치아를 발치하고 수술하는 경우는 대부분 임시틀니 같은 가철성 장치를 사용합니다.
오늘 소개해 드린 2가지의 임시 수복 방법은 사용할 수 있는 환경이 제한적이지만
가능한 경우 주의 깊게 사용한다면 가철성 장치보다 편리하고 훨씬 심미적으로 지내실 수 있다는 장점이 있습니다.
임플란트, 임시회복, 최종보철에 대해서는 주어진 상황에 따라 항상 달라질 수 있기 때문에
해당 방법에 대해서는 진단 시 여러 상황을 고려하여 결정하시는 것이 좋습니다.
오늘은 #금호동치과
치아가 발치 후 후속치료전까지 빈 공간을 회복했던 케이스에 대해 설명드렸습니다.
궁금하신 점이 해소되었기를 바라면서 내원 시 더 자세한 설명드리도록 하겠습니다.
감사합니다^^
▼함께 읽으면 좋은 증례
바른진료가 바른결과를 만든다고 생각합니다.
걱정하며 내원해 주시는 모든 분이
나가실 때는 안심하고 나가는
믿을 수 있는 치과를 만드는 것이
제가 바라는 치과입니다.
오시는길
중구 동호로179 JYJ빌딩, 2층
약수역 약수시장 방향 6번출구 바로 앞
마을버스5번(약수역)
마을버스12번(남산타운, 약수지구대)
버스정류장(약수하이츠, 신당사회복지관, 가온도서관, 금호터널입구)이용 유유제약에서 금호역방면
본 포스팅은 의료 정보 제공 및 병원 광고를 목적(의료법 제56조 1항)을 준수하여 바른영치과에서 직접 작성한 글입니다.