아카이브 요약
이 페이지의 역할
바른영치과의원의 네이버 블로그 원문을 보존한 아카이브 페이지입니다. 바른 치료사례 카테고리의 버티고개역 치과 깨지고 닳은 치아 회복하는 방법 글을 통해 병원의 한국어 정보 제공 방식과 진료 관련 안내 톤을 확인할 수 있습니다.
원문 검증
필요하면 원문 블로그와 병원 프로필로 바로 이동해 문맥을 다시 확인할 수 있습니다.
출처 아카이브 열기아카이브된 블로그 글
바른영치과의원 · Naver Blog
버티고개역 치과 깨지고 닳은 치아 회복 방법 안녕하세요. 진료 케이스를 대표원장이 직접 설명해 주는 바른영치과 대표원장 김태영입니다 간혹 치아가 많이 닳고 깨져있는 치아를 갖고 계시는 분들이 계실 겁니다. 치아의 파절, 마모를 일으키는 원인은 무엇일까요?? 이유는 대부분 질기고 딱딱한 음식을 즐겨 드시는 우리나라...
게시일
2024년 6월 25일
원문 기준으로 확인된 발행일입니다.
카테고리
바른 치료사례
원문 블로그 카테고리를 정리해 함께 표시합니다.
이미지 수
6
현재 아카이브에 연결된 이미지 수입니다.
아카이브 요약
바른영치과의원의 네이버 블로그 원문을 보존한 아카이브 페이지입니다. 바른 치료사례 카테고리의 버티고개역 치과 깨지고 닳은 치아 회복하는 방법 글을 통해 병원의 한국어 정보 제공 방식과 진료 관련 안내 톤을 확인할 수 있습니다.
원문 검증
필요하면 원문 블로그와 병원 프로필로 바로 이동해 문맥을 다시 확인할 수 있습니다.
출처 아카이브 열기버티고개역 치과 깨지고 닳은 치아 회복 방법
안녕하세요.
진료 케이스를 대표원장이 직접 설명해 주는
바른영치과 대표원장 김태영입니다
간혹 치아가 많이 닳고 깨져있는 치아를 갖고 계시는 분들이 계실 겁니다.
치아의 파절, 마모를 일으키는 원인은 무엇일까요??
이유는 대부분 질기고 딱딱한 음식을 즐겨 드시는 우리나라 중장년층에서 많이 관찰됩니다.
식습관이뿐만 아니라 이를 갈거나 턱에 힘을 꽉 주시는 분들, 저작근의 기능이 강하신 분들에게서
앞니부터 어금니까지 파절, 마모를 관찰할 수 있습니다.
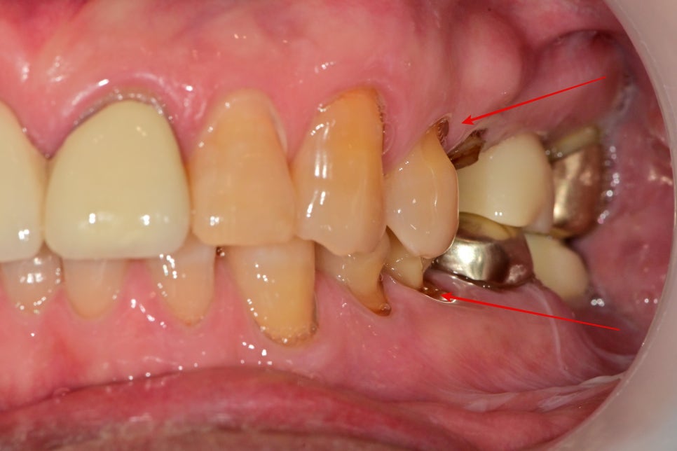
과거에 씌운 치아가 빠졌었고, 치아가 깨져있어요.

왼쪽 위 치아 중 두 번째 작은 어금니의 머리 부분이 파절이 되어있습니다.
과거에 크라운으로 씌워놨지만 검은색으로 보이는 치아의 목부분이 충치가 생기면서 치질이 약해진 상태에서
반복된 과도한 교합력으로 인해 머리 부분이 파절이 된 상태에서 내원해 주셨습니다.
환자분이 과도한 교합력으로 인한 약한 치아 부위가 파절된 것을 어떻게 유추할 수 있을까요?
파절된 치아의 주변 치아들을 보면 짐작할 수 있습니다.
아마 과거에 위, 아래 큰 어금니들은 이미 파절로 인한 크라운치료 또는 발치 및 임플란트 치료가 진행된 상태입니다.
임플란트 보철물이 자연치아보다 큰 저작력을 제공하기 때문에 그에 따라 저작활동을 하며 치아들이 많이 파절, 마모가 되어있는 상태였습니다.

측면에서 관찰된 사진입니다.
치아의 목 부위라고 불리는 치경부의 치아가 많이 깨져 있습니다.
이 또한 과도한 저작력으로 인한 치아 파절로 보입니다.
부러진 치아만 치료해도 괜찮을까요??

환자분께서는 부러진 치아를 가장 불편해하셨습니다.
해당 치아는 발치 후 임플란트를 진행하였고, 약 3개월 정도 주변골과 골유착이 진행될 때까지 기다렸습니다.
임플란트의 보철만 제작하기에는 몇가지 문제점이 있었습니다
첫 번째, 공간이 너무 부족하고,
두 번째, 반대편의 대합 되는 치아들이 이미 파절, 마모로 인한 치아 형태의 변형으로 제대로 된 교합을 형성해 줄 수 없었습니다.
세 번째, 임플란트가 완성되면 대합 되는 치아는 과한 교합력으로 인한 향후 파절 가능성이 높습니다.
이런 이유들로 장기적으로 보았을 때 제대로 된 교합을 형성해 주기 위해 주변 치아들의 보철 치료가 필요했고, 환자분께 상기 이유에 대해 자세히 설명드렸고, 환자분께서는 치료에 대한 필요성에 대해 이해하시고 보철치료를 같이 진행하게 되었습니다.
치아 형태와 교합의 회복

치료 후 엑스레이 사진입니다
하얀색으로 보이는 부분이 보철물로 인해 회복된 치아입니다.
신경치료 없이 치아의 생활력을 유지한 채 치료는 마무리되었습니다.
정기적으로 검사를 하며 지내시면 기존 파절 상태보다 치아의 수명은 늘어날 것입니다.


구강 내 사진입니다. 왼쪽 2개의 사진이 치료한 사진, 오른쪽 2개의 사진이 치료 후 사진입니다.
기존 치아들은 지르코니아 보철물로 회복이 되었고, 보험 임플란트는 교합면의 힘을 지지해 줄 수 있는 메탈 교합면을 선택했습니다.
마모된 치아의 외형을 복원함으로써 위아래 어금니의 균형 잡힌 교합을 완성 시켜줄 수 있어 4개의 어금니에 균일한 교합력을 부여하였습니다.
마모된 치아는 무조건 씌워야 하나요?
일상생활을 하며 마모된 치아를 무조건 크라운을 씌울 필요는 없습니다.
하지만 치아의 형태가 변할 정도의 파절이 진행된 치아
혹은 좌우 모든 어금니에서 마모가 일어나며 교합의 높이를 변화시켜 얼굴의 외형까지 변화시킬 정도의 경우에는
보철치료를 권장합니다.
오늘은 #버티고개치과
심하게 파절 / 마모된 치아의 치료방법에 대해 알아보았는데요
꼭 필요한 상황에 알맞은 치료 계획을 세워 치료를 한다면
자연치아를 오래 사용하며 발치의 시기를 최대한 미룰 수 있다면 좋은 치료 방법이라고 생각합니다.
궁금하신 점이 해소되었기를 바라면서 다음 증례를 갖고 찾아뵙겠습니다
감사합니다^^
▼함께 읽으면 좋은 증례
바른진료가 바른결과를 만든다고 생각합니다.
걱정하며 내원해 주시는 모든 분이
나가실 때는 안심하고 나가는
믿을 수 있는 치과를 만드는 것이
제가 바라는 치과입니다.
오시는길
중구 동호로179 JYJ빌딩, 2층
약수역 약수시장 방향 6번출구 바로 앞
마을버스5번(약수역)
마을버스12번(남산타운, 약수지구대)
버스정류장(약수하이츠, 신당사회복지관, 가온도서관, 금호터널입구)이용 유유제약에서 금호역방면
본 포스팅은 의료 정보 제공 및 병원 광고를 목적(의료법 제56조 1항)을 준수하여 바른영치과에서 직접 작성한 글입니다.