아카이브 요약
이 페이지의 역할
바른영치과의원의 네이버 블로그 원문을 보존한 아카이브 페이지입니다. 바른 치료사례 카테고리의 동대입구 주변 치과 앞니 깨졌을 때 치아삭제 없이 치료 글을 통해 병원의 한국어 정보 제공 방식과 진료 관련 안내 톤을 확인할 수 있습니다.
원문 검증
필요하면 원문 블로그와 병원 프로필로 바로 이동해 문맥을 다시 확인할 수 있습니다.
출처 아카이브 열기아카이브된 블로그 글
바른영치과의원 · Naver Blog
동대입구역 주변 치과 앞니 깨졌을 때 치아삭제 없이 치료 안녕하세요 진료한 케이스를 대표원장이 직접 설명해 주는 바른영치과 대표원장 김태영입니다. 치과에서 환자분들을 만나다 보면 보철물이 떨어져서 오시는 분들 치아가 파절돼서 오신 분들을 종종 뵐 수가 있습니다. 보철물 같은 경우 기존 치아가 건강하고 보철물이...
게시일
2024년 7월 2일
원문 기준으로 확인된 발행일입니다.
카테고리
바른 치료사례
원문 블로그 카테고리를 정리해 함께 표시합니다.
이미지 수
3
현재 아카이브에 연결된 이미지 수입니다.
아카이브 요약
바른영치과의원의 네이버 블로그 원문을 보존한 아카이브 페이지입니다. 바른 치료사례 카테고리의 동대입구 주변 치과 앞니 깨졌을 때 치아삭제 없이 치료 글을 통해 병원의 한국어 정보 제공 방식과 진료 관련 안내 톤을 확인할 수 있습니다.
원문 검증
필요하면 원문 블로그와 병원 프로필로 바로 이동해 문맥을 다시 확인할 수 있습니다.
출처 아카이브 열기동대입구역 주변 치과 앞니 깨졌을 때 치아삭제 없이 치료
안녕하세요
진료한 케이스를 대표원장이 직접 설명해 주는
바른영치과 대표원장 김태영입니다.

치과에서 환자분들을 만나다 보면 보철물이 떨어져서 오시는 분들
치아가 파절돼서 오신 분들을 종종 뵐 수가 있습니다.
보철물 같은 경우 기존 치아가 건강하고 보철물이 잘 맞으면
다시 붙여서 다시 기능을 하는 경우가 있습니다만
치아가 깨지는 경우는 바로 치료를 하지 않으면
그 주변이 점점 파절 범위가 넓어질 위험성이 있습니다.
치아가 깨지는 이유는 너무 다양하지만 일반적으로
운동기구에 부딪혀 치아가 깨지는 경우
식사하시다가 단단한 재료를 씹어서 깨지는 경우
넘어지셔서 치아가 깨지는 경우 등등
여러 가지 경우가 있습니다.
주변에 초중고, 대학교가 있다 보니 운동하거나 학교생활하시다가
다쳐서 급하게 오는 학생분들도 자주 있습니다.
오늘은 이렇게 앞니가 파절되었을 때 크라운이나 라미네이트같은 보철치료를
하지 않고 간단하게 치료했던 케이스에 대해 설명드리도록 하겠습니다.
운동하다가 앞니가 깨졌어요

어느 날 병원 마감 전 급하게 내원해 주셨던 환자분입니다.
앞니 정중앙이 깨져있었고, 통증이나 다른 증상은 없는 상태였습니다.
깨진 주변 치아의 상태도 건전했고, 범위가 크지 않았기 때문에 반대편 앞니와의 교합을 신경 쓰면서
대칭되는 치아와 색상과 형태를 최대한 똑같이 만들었습니다.
순간적으로 충격을 받은 치아는 처음엔 괜찮을 수 있지만
한 달 정도 시간이 흐르면서 신경이 서서히 괴사되는 경우가 있어서 치료 후 치아색이 어두워진다면
치수 괴사를 의심할만하기 때문에 체크가 꼭 필요합니다.
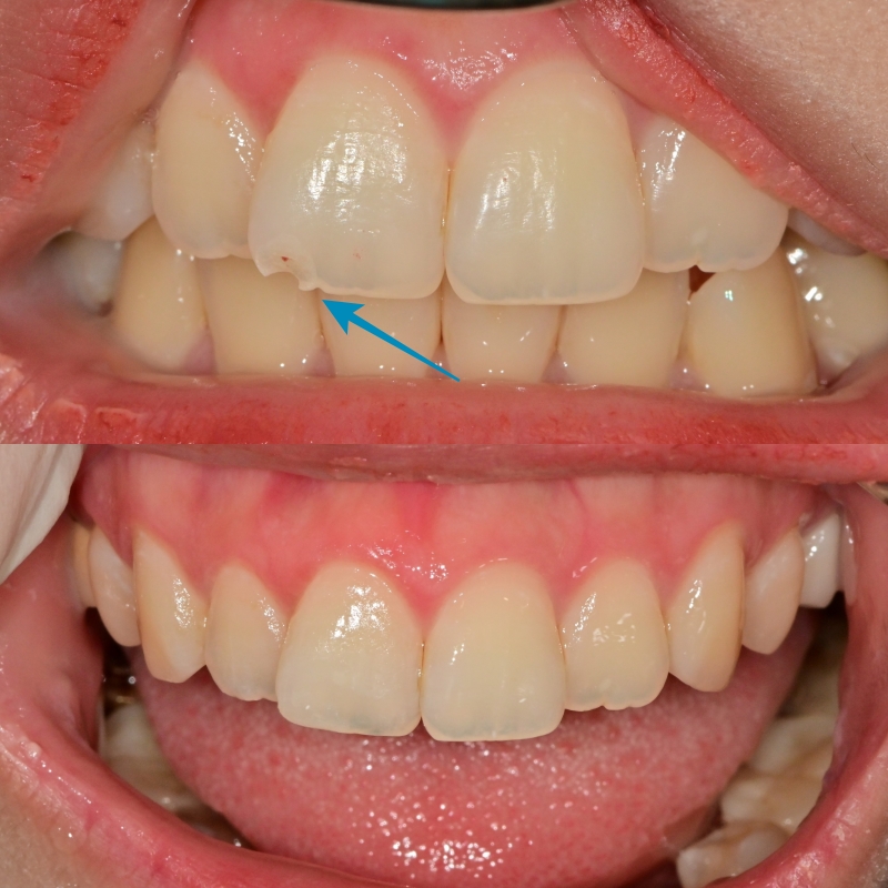
밥 먹다가 앞니가 살짝 깨졌어요

식사하시다가 앞니가 살짝 깨지셔서 오셨습니다.
날카로운 부분만 다듬어서 지내셔도 되는 상황이었지만
환자분께서는 깨진 부위가 심미적으로 보기 좋지 않으셔서 형태를 회복하시기를 원하셨습니다.
파절 부위가 치아 끝부분에 너무 작아도 잘 떨어지기 때문에
최대한 넓은 치면에 레진이 유지될 수 있도록 접착에 신경을 썼습니다.
형태를 잡은 이후에도 반대편 치아와 교합 간섭이 일어나는 부분을 조정을 해야만 탈락 없이 오래 유지할 수 있습니다.
앞니의 부분 파절의 치료에는 파절 범위에 따라 치료방법이 달라질 수 있습니다.
파절 범위가 매우 넓어 신경이 노출되거나 주변 치아에 금이 간 경우는
치아를 고정하고 신경 치료 및 크라운치료가 필요합니다.
위와 같은 케이스는 신경이 그대로 노출되어 있고
환자분께서 통증을 호소하고 있는 상황이라 레진으로 간단 수복은 어려운 상황이었습니다.
앞니 부분 치료는 기능의 회복도 물론 중요하지만
치아의 형태가 주는 심미적인 요소도 많이 중요하기 때문에
앞니 치료 같은 경우는 시간도 많이 걸리고 고려해야 할 사항도 많아집니다.
오늘은 #동대입구치과 앞니가 부분적으로 파절되었을 때 치아 삭제 없이 레진으로만 치료했던 케이스에 대해 알아보았는데요.
단순하게 파절 범위로 치료 계획을 세우는 것보다 환자의 증상과 검진을 통한 진단이
예지성있는 치료로 이어질 수 있기 때문에
비슷한 고민을 가지신 분들은 내원 시 자세히 설명드리도록 하겠습니다.
궁금하신 점이 해소되었기를 바라면서 다음 증례로 찾아뵙겠습니다.
감사합니다^^
▼함께 읽으면 좋은 증례
바른진료가 바른결과를 만든다고 생각합니다.
걱정하며 내원해 주시는 모든 분이
나가실 때는 안심하고 나가는
믿을 수 있는 치과를 만드는 것이
제가 바라는 치과입니다.
오시는길
중구 동호로179 JYJ빌딩, 2층
약수역 약수시장 방향 6번출구 바로 앞
마을버스5번(약수역)
마을버스12번(남산타운, 약수지구대)
버스정류장(약수하이츠, 신당사회복지관, 가온도
관, 금호터널입구)이용 유유제약에서 금호역방면
본 포스팅은 의료 정보 제공 및 병원 광고를 목적(의료법 제56조 1항)을 준수하여 바른영치과에서 직접 작성한 글입니다.