아카이브 요약
이 페이지의 역할
바른영치과의원의 네이버 블로그 원문을 보존한 아카이브 페이지입니다. 바른 치료사례 카테고리의 청구동 치과 앞니 라미네이트를 하는 이유 글을 통해 병원의 한국어 정보 제공 방식과 진료 관련 안내 톤을 확인할 수 있습니다.
원문 검증
필요하면 원문 블로그와 병원 프로필로 바로 이동해 문맥을 다시 확인할 수 있습니다.
출처 아카이브 열기아카이브된 블로그 글
바른영치과의원 · Naver Blog
청구동 치과 앞니 라미네이트를 하는 이유 안녕하세요. 진료한 케이스를 대표원장이 직접 설명해 주는 청구동치과 바른영치과 대표원장 김태영입니다. 최근 들어 심미적 관심도가 많아지면서 라미네이트에 대해 관심을 많이 갖고 계시는 환자분들이 계십니다. 일반적으로 라미네이트가 필요한 케이스는 왜소치같이 태생적으로 치아가 너...
게시일
2024년 7월 9일
원문 기준으로 확인된 발행일입니다.
카테고리
바른 치료사례
원문 블로그 카테고리를 정리해 함께 표시합니다.
이미지 수
9
현재 아카이브에 연결된 이미지 수입니다.
아카이브 요약
바른영치과의원의 네이버 블로그 원문을 보존한 아카이브 페이지입니다. 바른 치료사례 카테고리의 청구동 치과 앞니 라미네이트를 하는 이유 글을 통해 병원의 한국어 정보 제공 방식과 진료 관련 안내 톤을 확인할 수 있습니다.
원문 검증
필요하면 원문 블로그와 병원 프로필로 바로 이동해 문맥을 다시 확인할 수 있습니다.
출처 아카이브 열기안녕하세요.
진료한 케이스를 대표원장이 직접 설명해 주는
청구동치과 바른영치과 대표원장 김태영입니다.
최근 들어 심미적 관심도가 많아지면서
라미네이트에 대해 관심을 많이 갖고 계시는 환자분들이 계십니다.
일반적으로 라미네이트가 필요한 케이스는
왜소치같이 태생적으로 치아가 너무 작게 맹출되었거나 악궁 공간에 비해 치아의 크기가 상대적으로 작아
치아 사이의 공간을 메우는 치료 방법으로 치료를 했습니다.


사진과 같이 치아가 작고, 일반적인 치아 형태가 아닌 경우
치아삭제를 많이 하지 않고 빈 공간을 회복할 수 있는 치료 방법입니다.
최근에는 빈 공간에 대한 치료뿐만 아니라 전반적인 치아 형태의 조화 또는 치열을 미세하게 교정을 원하는 경우
라미네이트가 많이 사용되고 있습니다.
최근 라미네이트 치료 케이스에 대해서 소개해드리겠습니다.
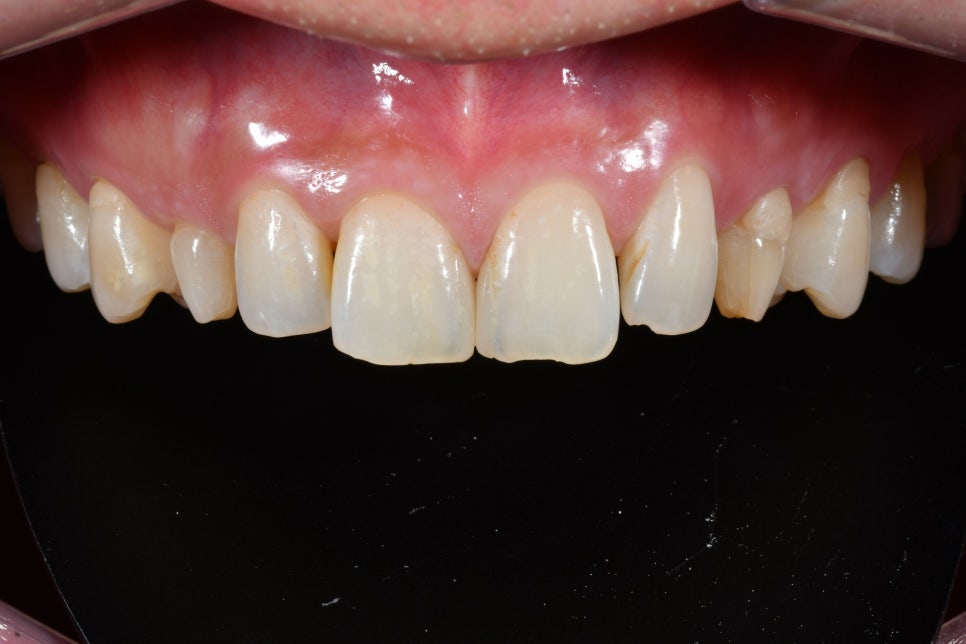
치아 사이 공간이 벌어지고, 치아가 작아요

송곳니가 작고 치아 사이가 벌어져서 가지런해 보이지 않고 심미적으로 치료가 필요해 보이는 상태입니다.
송곳니는 왜소치상태로 일반적 치아 크기보다 작기 때문에 주변 공간이 생겨 치아 사이가 벌어진 상태였습니다.
치아 사이의 공간과 작은 송곳니를 보았을 때는 6개의 치아를 동시에 치료해야 전반적인 밸런스가 맞을 것으로 보였는데
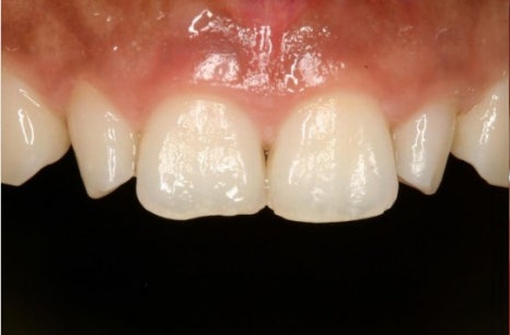
일단 제일 잘 보이는 가운데 치아 사이 공간만 회복하기를 바라셨습니다.

가운데 큰 앞니 부분만 치료가 된 상태입니다.
해당치아는 공간이 충분했기 때문에 치아삭제 없는 무삭제 라미네이트가 가능했기 때문에 치아 삭제 없이 치료가 완료되었습니다.
치료 전의 비해 큰 공간이 채워졌기 때문에 만족해하셨고, 다른 치아는 추후 고려해 보겠다고 하셨습니다.
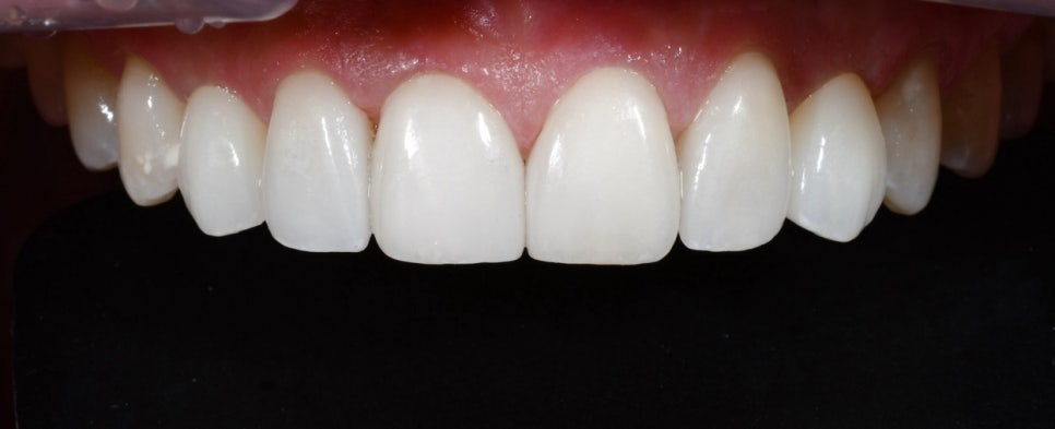
다른 치아 공간의 라미네이트 치료 시작

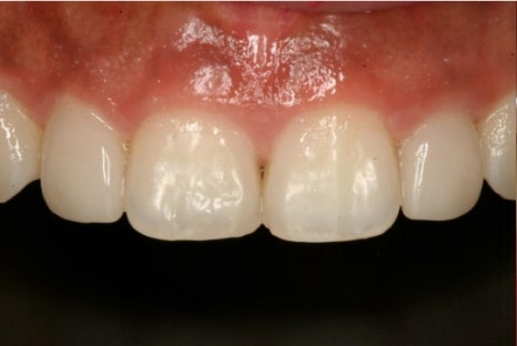
2년이 넘는 시간 동안 파절 없이 잘 지내고 계셨습니다.
다시 이사진을 보여드리는 이유는 주변 송곳니까지 다시 라미네이트를 하고 싶다고 하셨기 때문입니다.
처음에는 가장 불편한 부분이 해소되며 만족해하셨지만 시간이 지남에 따라 작은 송곳니와 벌어진 치아 공간, 치아가 깨진것들이 눈에 계속 들어오셨다고 합니다.

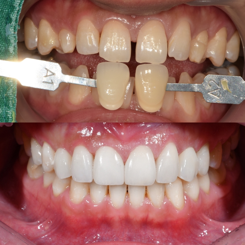
진단모형을 통해 라미네이트를 디자인했습니다.
너무 흰색은 원치 않으셨기 때문에 자연스러운 레벨에서 색상을 선택했고
6개의 치아의 공간 배분을 밸런스 있게 했기 때문에 그전 치아보다는 훨씬 자연스럽고 형태학적으로 완성도가 있어 보입니다.
물론 치료할 때도 치아가 작고, 공간이 충분하기 때문에 최소삭제를 통해 치아를 보존할 수 있었습니다.

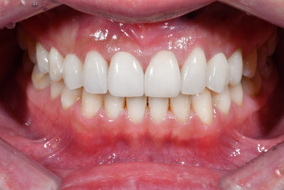
치아에 부착된 사진입니다.

가장 자연스러운 색상을 원하셨기 때문에 주변 치아 색상에 맞춰 최대한 자연스러운 밝은색을 제작하게 되었습니다.
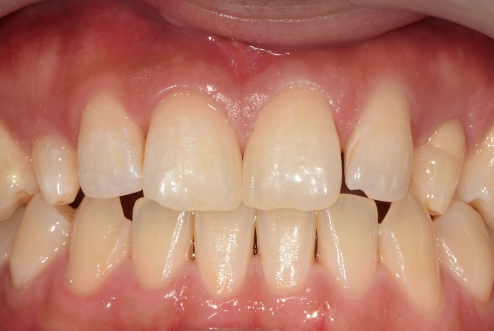
주변 치아와 아래 앞니는 치열에 문제는 없었기에 미백으로만 마무리한 상태입니다.
라미네이트는 언제 하는게 가장 좋은가요??

치아가 불규칙하게 배열이 되었을 때 모든 케이스를 라미네이트로 커버할 수는 없습니다.
우리가 원하는 가지런한 치아를 위해 돌출되어 있는 부분은 불가피하게 삭제를 할 수밖에 없습니다.
미세한 돌출은 최소삭제를 통해 라미네이트 치료가 가능하지만
그 외에는 교정치료가 선행되어야 하는 경우가 있습니다.
오늘 소개해 드린 증례와 같이
치아 크기 부조화에 의해 공간이 생기거나 치아 형태를 회복시켜주기 위해 라미네이트는 치아 삭제량도 적고 이상적인 치료 방법입니다.
치료전 사전진단 및 고려할 사항에 대해서 사전 상담이 꼭 필요하기 때문에 필요시 진단 모형도 제작하는 것이 필요합니다.
오늘은 #청구동치과 라미네이트 치료에 대해 알아보았는데요
라미네이트는 적용할수 있는 케이스에서 잘 활용한다면
드라마틱한 심미적 효과를 볼수 있는 진료중 하나라고 생각합니다.
앞니 공간이 생겨 고민이신분들은 내원하셔서 자세한 상담을 받아보시길 권유드립니다.
궁금하신 점이 해소되었기를 바라면서 다음 증례로 찾아뵙겠습니다
감사합니다^^
▼함께 읽으면 좋은 증례
바른진료가 바른결과를 만든다고 생각합니다.
걱정하며 내원해 주시는 모든 분이
나가실 때는 안심하고 나가는
믿을 수 있는 치과를 만드는 것이
제가 바라는 치과입니다.
오시는길
중구 동호로179 JYJ빌딩, 2층
약수역 약수시장 방향 6번출구 바로 앞
마을버스5번(약수역)
마을버스12번(남산타운, 약수지구대)
버스정류장(약수하이츠, 신당사회복지관, 가온도
관, 금호터널입구)이용 유유제약에서 금호역방면
본 포스팅은 의료 정보 제공 및 병원 광고를 목적(의료법 제56조 1항)을 준수하여 바른영치과에서 직접 작성한 글입니다.