아카이브 요약
이 페이지의 역할
바른영치과의원의 네이버 블로그 원문을 보존한 아카이브 페이지입니다. 바른 치료사례 카테고리의 약수역치과 전체임플란트 진행과정 (상악동 거상술) 글을 통해 병원의 한국어 정보 제공 방식과 진료 관련 안내 톤을 확인할 수 있습니다.
원문 검증
필요하면 원문 블로그와 병원 프로필로 바로 이동해 문맥을 다시 확인할 수 있습니다.
출처 아카이브 열기아카이브된 블로그 글
바른영치과의원 · Naver Blog
약수역치과 전체임플란트 진행과정 안녕하세요 진료한 케이스를 대표원장이 직접 설명해 주는 약수역치과 바른영치과 대표원장 김태영입니다. 블로그를 통해 주기적으로 진료 케이스를 올리며 다양한 궁금증에 대해 설명해 드리려고 노력하고 있습니다. 감사하게도 환자분 중에 저희 블로그를 읽으시고 방문해 주시는 분들이 계십니다....
게시일
2024년 7월 16일
원문 기준으로 확인된 발행일입니다.
카테고리
바른 치료사례
원문 블로그 카테고리를 정리해 함께 표시합니다.
이미지 수
7
현재 아카이브에 연결된 이미지 수입니다.
아카이브 요약
바른영치과의원의 네이버 블로그 원문을 보존한 아카이브 페이지입니다. 바른 치료사례 카테고리의 약수역치과 전체임플란트 진행과정 (상악동 거상술) 글을 통해 병원의 한국어 정보 제공 방식과 진료 관련 안내 톤을 확인할 수 있습니다.
원문 검증
필요하면 원문 블로그와 병원 프로필로 바로 이동해 문맥을 다시 확인할 수 있습니다.
출처 아카이브 열기약수역치과 전체임플란트 진행과정
안녕하세요
진료한 케이스를 대표원장이 직접 설명해 주는
약수역치과 바른영치과 대표원장 김태영입니다.

블로그를 통해 주기적으로 진료 케이스를 올리며
다양한 궁금증에 대해 설명해 드리려고 노력하고 있습니다.
감사하게도 환자분 중에 저희 블로그를 읽으시고 방문해 주시는 분들이 계십니다.
그럴 때마다 임상일기에 대해 보람을 느끼며 더욱 자주 글을 써야지 하지만
현실적으로는 쉽지가 않습니다^^;
대신 블로그에 소개되는 진료뿐만 아니라 방문해 주시는 모든 환자분들께
진료 중간중간 꼼꼼하게 사진도 찍어가며 환자분께 단계 단계 설명드리려고 노력하고 있습니다.^^
오늘은 장기간 치아상실과 치주염으로 인한 발치의 케이스시
위아래 전체 임플란트 치료에 대해 설명을 드리도록 하겠습니다.
치아가 전체적으로 안 좋고 흔들립니다

처음 내원해 주셨을 때 엑스레이 사진입니다.
과거에 턱 관련 수술도 받으신 흔적이 보이고
다수의 치아가 빠진 상태로 오랜 시간이 지나셨으며,
기존 치아들 주변도 치주염에 의해 동요도가 발생되었고 발치가 불가피해 보였습니다.
위턱뼈같은경우 치아가 상실된 기간이 길어 노란색으로 표시된 부위의 잔존뼈의 양이 너무 작았습니다.
수술을 위해서는 상악동 거상술이라고 하는 상악동 부위에 뼈를 만들는 수술이 필요해 보였습니다.

초진 구내 사진입니다.
다수의 상실치아와 치주염에 의해 치아 뿌리가 모두 노출되어 발치가 불가피한 상황이었습니다.
지금 상태에서 바로 임플란트가 가능한가요??
네, 가능합니다.
발치와 동시에 다수의 임플란트 식립은 뼈이식 부위와 잇몸에 대해 세밀하게 조작을 할 필요가 있습니다.
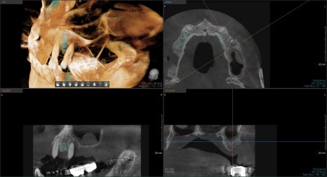
물론 수술 전 3D CT를 통해 정확한 진단이 우선시 되어야 합니다.


3D CT를 찍어 진단을 더 디테일하게 진행했습니다.
위턱뼈의 경우 양쪽의 상악동 거상술이라는 방법으로 부족한 뼈의 양을 만들어주었고,
아래턱뼈의 경우는 치조골 이식술을 통해 흡수된 볼륨을 회복시켜주는 치료를 했습니다.
해당 케이스의 경우 광범위한 뼈이식과 임플란트의 초기고정력이 약했기 때문에
즉시 임시치아를 할 순 없었고 불편하지만 임시틀니 상태로 지낼 수밖에 없었습니다.
뼈이식과 동시에 임플란트 수술 후 임시틀니 사용

현재 뼈 상태에 맞게 위치와 개수를 정하여 수술을 끝낸 사진입니다.
어금니의 기준점이 없어져 엑스레이의 상이 왜곡되어 나타나 보이지만
의도된 위치에 잘 식립이 되어있음을 확인했습니다.
당장의 저작활동은 임시틀니 때문에 원활한 식사는 어려우셨겠지만
다행히 환자분께서 잘 참고 도와주셨기 때문에 원하는 임플란트의 고정값을 얻을 수 있었습니다.
최종 보철물까지의 완성

원하는 임플란트의 고정값을 얻은 후 최종 보철이 완성되었습니다.
과거에 얇았던 잔존골이 노란색으로 표시된 것처럼 두껍게 뼈가 형성된 것을 볼 수 있습니다.
미소를 지을 때 생기는 스마일 라인도 치료 전보다 훨씬 자연스러운 모습이 되었습니다.
초반에는 턱관절이 안정화가 되지 않아 자주 내원하셔서 체크를 받으셨지만
2년이 지난 최근까지도 임플란트 주위염이라든지 큰 문제점 없이 잘 사용하고 계십니다.
과거의 불편한 틀니 사용에 비해 전체임플란트 수술은 결과는 굉장히 드라마틱하게 보입니다.
좋은 결과를 위해서는 이런 장기간의 치료에 대해 환자분의 결심도 물론 필요합니다.
수술 후 임플란트 고정 기간, 저작활동의 적응 기간 동안 시간이 필요한 것은 맞지만
환자분들의 만족도는 굉장히 높은 편이기 때문에 아주 좋은 치료 대안입니다.
오늘은 #약수역치과 광범위한 뼈이식을 동반한 전체임플란트 수술에 대해 알아보았는데요.
오늘 사례와 비슷한 고민을 갖고 계신 분들이거나
막막함과 두려움 때문에 내원을 주저하고 계시다면
내원해 주시면 자세히 설명드리도록 하겠습니다.
궁금하신 점이 해소되었기를 바라면서 다음에 다른 케이스로 찾아뵙겠습니다.
감사합니다^^
▼함께 읽으면 좋은 증례
바른진료가 바른결과를 만든다고 생각합니다.
걱정하며 내원해 주시는 모든 분이
나가실 때는 안심하고 나가는
믿을 수 있는 치과를 만드는 것이
제가 바라는 치과입니다.
오시는길
중구 동호로179 JYJ빌딩, 2층
약수역 약수시장 방향 6번출구 바로 앞
마을버스5번(약수역)
마을버스12번(남산타운, 약수지구대)
버스정류장(약수하이츠, 신당사회복지관, 가온도
관, 금호터널입구)이용 유유제약에서 금호역방면
본 포스팅은 의료 정보 제공 및 병원 광고를 목적(의료법 제56조 1항)을 준수하여 바른영치과에서 직접 작성한 글입니다.