아카이브 요약
이 페이지의 역할
바른영치과의원의 네이버 블로그 원문을 보존한 아카이브 페이지입니다. 바른 치료사례 카테고리의 약수역 치과 오래된 앞니 크라운 재보철치료시 주의할 사항 글을 통해 병원의 한국어 정보 제공 방식과 진료 관련 안내 톤을 확인할 수 있습니다.
원문 검증
필요하면 원문 블로그와 병원 프로필로 바로 이동해 문맥을 다시 확인할 수 있습니다.
출처 아카이브 열기아카이브된 블로그 글
바른영치과의원 · Naver Blog
약수역 치과 오래된 앞니 크라운 재보철치료시 주의할 사항 안녕하세요 진료한 케이스를 대표원장이 직접 설명해주는 약수역 치과 바른영치과 대표원장 김태영입니다 저희 치과에 앞니 심미보철을 목적으로 내원해주시는 환자분들의 비중이 많은 편입니다. 심미보철은 치과의사의 판단도 중요하지만 환자분들의 니즈를 잘 파악하는 것도...
게시일
2024년 7월 25일
원문 기준으로 확인된 발행일입니다.
카테고리
바른 치료사례
원문 블로그 카테고리를 정리해 함께 표시합니다.
이미지 수
8
현재 아카이브에 연결된 이미지 수입니다.
아카이브 요약
바른영치과의원의 네이버 블로그 원문을 보존한 아카이브 페이지입니다. 바른 치료사례 카테고리의 약수역 치과 오래된 앞니 크라운 재보철치료시 주의할 사항 글을 통해 병원의 한국어 정보 제공 방식과 진료 관련 안내 톤을 확인할 수 있습니다.
원문 검증
필요하면 원문 블로그와 병원 프로필로 바로 이동해 문맥을 다시 확인할 수 있습니다.
출처 아카이브 열기안녕하세요
진료한 케이스를 대표원장이 직접 설명해주는
약수역 치과 바른영치과 대표원장 김태영입니다
저희 치과에 앞니 심미보철을 목적으로 내원해주시는
환자분들의 비중이 많은 편입니다.
심미보철은 치과의사의 판단도 중요하지만 환자분들의 니즈를 잘 파악하는 것도 중요하다고 생각합니다.
저는 상담, 설명하는 시간이 긴 편이라고 생각합니다
그래서 저희는 특히 심미보철을 진행하는 경우 환자분과 대화를 많이 해서 그것을 통해 많은 정보를 얻고
보철물 디자인 시 참고를 합니다.
그래서 환자분들은 저와 상담 시간이 길어지게 되는 것 같습니다^^
우리 몸이 노화현상에 의해 주름이 생기는 것처럼
잇몸은 시간이 지남에 따라 흡수되어 잇몸이 가라앉게 됩니다.
치아에 크라운이라고 하는 보철치료를 하게 되면 처음에는 굉장히 자연스럽고 심미적이지만
시간이 지남에 따라 잇몸이 수축되어 치아와 보철물의 경계 부분이 노출되어 웃을 때나 말할 때 심미적으로 신경이 쓰이게 됩니다.
학회에서 일반적으로 보철물의 수명은 8~10년 정도이며 주기적으로 교체를 하여 내부 상태도 평가하시기를 권유하지만
현실적으로 모든 보철물을 시기 때마다 교체할 순 없기 때문에
오래된 크라운의 충치가 의심되거나 관리가 어려운 곳은 교체하는 것을 권유 드립니다.
시간이 오래 지난 보철물 내부에도 오염이 생길 수 있기 때문입니다.
어금니 부분이 아닌 특히 앞니 부분은 오래된 크라운 심미적으로 재치료 하는 경우가 자주 있습니다.
오늘은 바른영치과가 어떻게 치료하는지 앞니 치료 시 어떤 점을 주의해야 하는지에 대해 설명드리겠습니다.
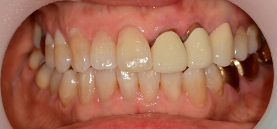
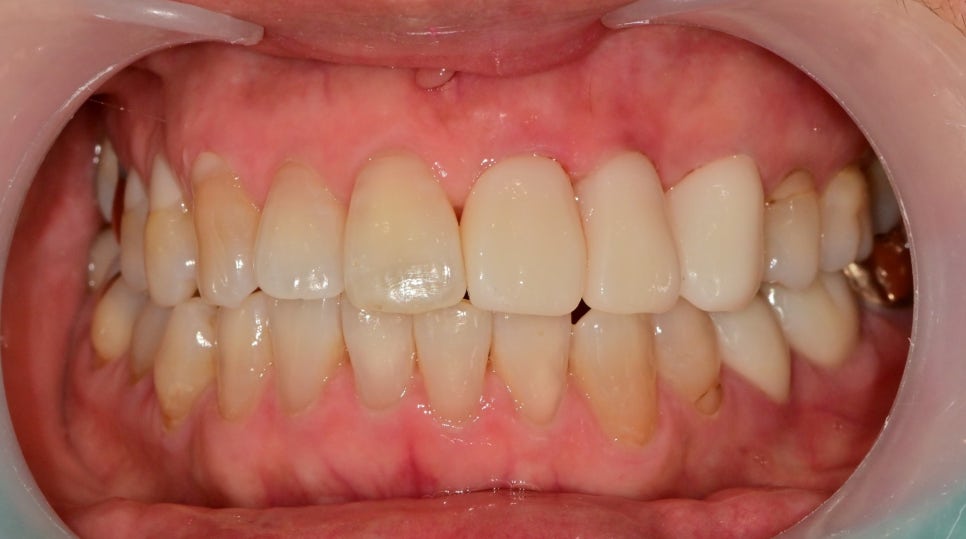
앞니 과거에 씌운 것 교체하고 싶어요

오랜만에 치과에 정기검진을 오신 저희 기존 환자분이십니다.
과거에 저희 치과에서 어금니지만 보철을 재치료를 하시고 만족스러워하셨던 기억이 있었는데
이번에는 앞니 쪽의 씌운것이 보기가 안 좋으시다며 교체를 원하셨습니다.
사진만 보더라도 오래된 크라운의 경계 부위가 노출되어 있고 치아의 내면도 어둡게 보이는
2차 충치가 의심된 상태였습니다.
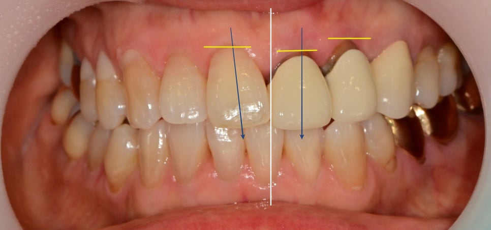
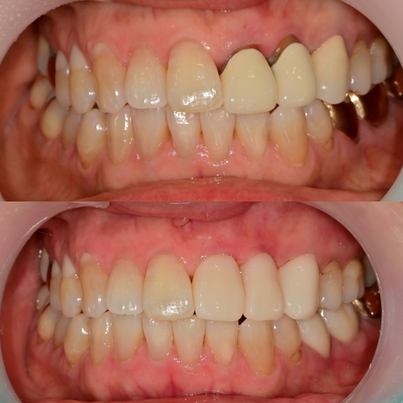
치료를 들어가기 전에 앞니 보철은 계획을 세우기 전 고려해야 할 사항들이 있습니다.

흰색 정중선을 그었을 때 양쪽에 대칭되어 있는 치아의 각도를 보면(파란색)
기존 치아와 크라운 한 치아의 치축, 즉 치아가 맹출 된 각도가 다르다는 것을 볼 수 있습니다.
또한, 노란색으로 표시된 잇몸 라인이 다 제각각이기 때문에 이런 잇몸 라인을 재형성해 줄 필요가 있습니다.
심미적 요소를 고려했을 때는 치아의 대칭적인 형태를 위해 치축이 틀어진 치아까지의 치료를 하면 좋지만
환자분께서는 기존 크라운만 치료하시길 원하셔서 기존 크라운 3개에 대한 재치료를 시작했습니다.
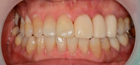
임시치아를 이용한 잇몸 높이 성형


치아를 다듬고 잇몸 수술 없이 임시치아만으로 잇몸 높이를 조절했습니다.
일반적으로 만드는 임시치아로는 이런 잇몸성형을 만들어 낼 수 없으며
사진으로는 한 장으로 표현되지만
임시치아 상태에서 주기적으로 내원 시마다 여러 번의 수정을 통해
특히 잇몸과 만나는 부위의 볼륨을 조절하여
주변 치아와의 잇몸 레벨을 맞출 수 있었습니다.
최종 보철물 단계도 아니고 불완전한 임시치아 상태인데 이미 전보다 훨씬 좋아 보입니다.
사진상에선 표현되지 않지만 송곳니가 없고, 작은 어금니가 송곳니 역할을 하기 때문에
그에 참고하여 치아 형태를 제작했습니다.
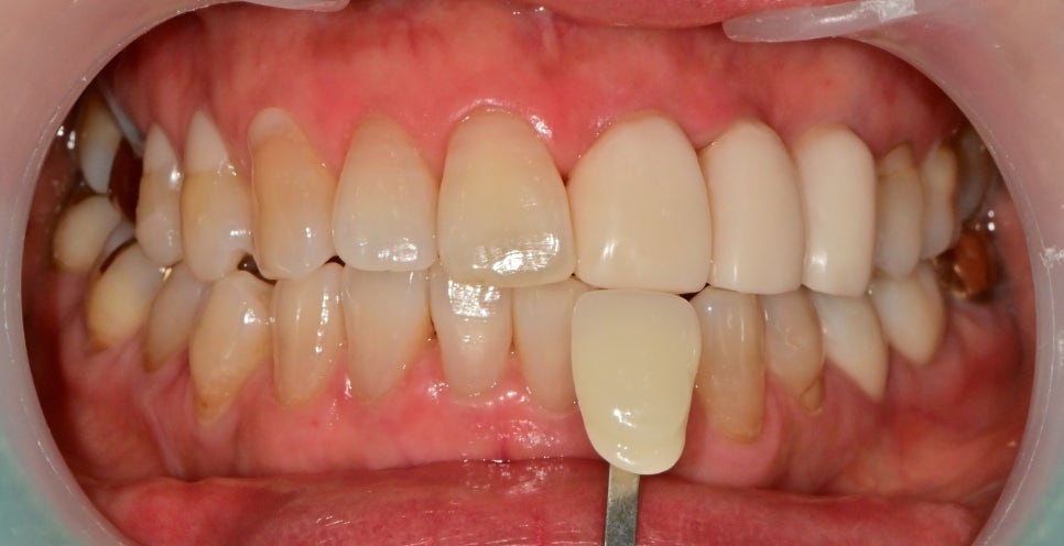
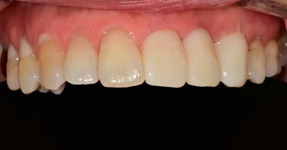
최종 보철물 제작 단계

임시치아 상태에서 잇몸 적응이 끝난 것을 확인하고
현재 잇몸 레벨에 맞게 제작하게 됩니다.
형태, 색상을 최대한 주변 치아와 비교하여 자연스럽게 제작합니다.


최종 사진입니다.
치축이 살짝 틀어진 치아도 치료했으면 훨씬 자연스러웠겠지만
이 정도의 재치료만으로도 전과 비교해 훨씬 자연스러운 것을 볼 수 있습니다.
다행히 환자분께서도 잇몸 레벨과 치아 형태, 색상 마음에 들어 하셨습니다.
이렇게 앞니 보철치료는 색상뿐만 아니라
형태, 잇몸, 주변 치아와의 조화로움을 통해 훨씬 심미적으로 치료할 수 있습니다.
그러기 위해서는 내원 횟수가 증가하고, 임시로 적응 기간이 필요합니다.
하지만 결과를 보았을 때는 환자분들께서 대부분 이해해 주시고 만족해하십니다.
우리가 잇몸의 흡수를 100% 막을 수는 없지만
잇몸의 노화현상으로 인해 생기는 부분은 충분히 치료는 가능하니
비슷한 고민이 있으신 분들이라면 내원하셔서 진단을 받아보시기를 추천드립니다.
오늘은 #약수역치과 오래된 앞니 보철 재치료에 대해 알아보았는데요
궁금하신 부분이 해소되었기를 바라면서
다음에 도움 될 증례를 갖고 인사드리겠습니다.
감사합니다^^

▼함께 읽으면 좋은 증례
바른진료가 바른결과를 만든다고 생각합니다.
걱정하며 내원해 주시는 모든 분이
나가실 때는 안심하고 나가는
믿을 수 있는 치과를 만드는 것이
제가 바라는 치과입니다.
오시는길
중구 동호로179 JYJ빌딩, 2층
약수역 약수시장 방향 6번출구 바로 앞
마을버스5번(약수역)
마을버스12번(남산타운, 약수지구대)
버스정류장(약수하이츠, 신당사회복지관, 가온도
관, 금호터널입구)이용 유유제약에서 금호역방면
본 포스팅은 의료 정보 제공 및 병원 광고를 목적(의료법 제56조 1항)을 준수하여 바른영치과에서 직접 작성한 글입니다.