아카이브 요약
이 페이지의 역할
바른영치과의원의 네이버 블로그 원문을 보존한 아카이브 페이지입니다. 바른 치료사례 카테고리의 신당동주변치과 치아가 오랜 시간 없을 경우 주변 치아에 미치는 영향 글을 통해 병원의 한국어 정보 제공 방식과 진료 관련 안내 톤을 확인할 수 있습니다.
원문 검증
필요하면 원문 블로그와 병원 프로필로 바로 이동해 문맥을 다시 확인할 수 있습니다.
출처 아카이브 열기아카이브된 블로그 글
바른영치과의원 · Naver Blog
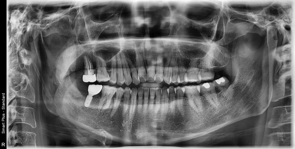
신당동 주변 치과 치아가 오랜 시간 없을 경우 주변 치아에 미치는 영향 안녕하세요 진료한 케이스를 대표원장이 직접 설명해 주는 신당동치과 바른영치과 대표원장 김태영입니다. 임플란트 치료에 대해 떠올리면 마취도 아플 것 같고, 막연한 두려움 때문에 흔쾌히 치료 결정을 내리기 어렵습니다. 그래서 발치된 지 오랜 시간이...
게시일
2024년 8월 2일
원문 기준으로 확인된 발행일입니다.
카테고리
바른 치료사례
원문 블로그 카테고리를 정리해 함께 표시합니다.
이미지 수
3
현재 아카이브에 연결된 이미지 수입니다.
아카이브 요약
바른영치과의원의 네이버 블로그 원문을 보존한 아카이브 페이지입니다. 바른 치료사례 카테고리의 신당동주변치과 치아가 오랜 시간 없을 경우 주변 치아에 미치는 영향 글을 통해 병원의 한국어 정보 제공 방식과 진료 관련 안내 톤을 확인할 수 있습니다.
원문 검증
필요하면 원문 블로그와 병원 프로필로 바로 이동해 문맥을 다시 확인할 수 있습니다.
출처 아카이브 열기신당동 주변 치과 치아가 오랜 시간 없을 경우 주변 치아에 미치는 영향
안녕하세요
진료한 케이스를 대표원장이 직접 설명해 주는
신당동치과 바른영치과 대표원장 김태영입니다.
임플란트 치료에 대해 떠올리면
마취도 아플 것 같고, 막연한 두려움 때문에
흔쾌히 치료 결정을 내리기 어렵습니다.
그래서 발치된 지 오랜 시간이 지난 상태에서 내원하시는 환자분들이 계십니다.
임플란트 해야 하는데 무서워서 치과에 못 왔어요

과거에 치아머리 부분이 부러졌을 때 치료 없이
뿌리만 남은 상태로 오랜 시간 지난 케이스입니다.
최후방 어금니 한 개가 상실되었는데
발치하고 임플란트 설명을 들으시고 두려움에 치료를 미루셨다고 하셨습니다.
사진에서 보듯이 지지해 주는 아래 치아가 상실되었기 때문에
시간이 지남에 따라 대합 되는 치아가 밑으로 정출되었습니다.
치아의 높이가 계단처럼 되어있습니다.
정출되는 양이 적고, 공간이 충분한 경우는 해당 치아를 건드리지 않고 임플란트만 진행하지만
위 환자분 같은 경우는 임플란트가 들어갈 공간 자체가 나오지 않을 만큼
치아가 정출되었기 때문에 의도적으로 크라운 치료가 필요한 케이스입니다.
마취가 두려우신 분을 위한 안 아픈 바른영치과의 마취 시스템

표면마취제 / 무통마취기
치과 치료에 대해서 가장 두려운 것은
아무래도 마취가 아닌가 싶습니다.
입안에서 기구들이 움직이고 치료하는데
통증이 발생하면 그만큼 치료에 대해 두려움을 가질 수밖에 없다고 생각합니다.
사실 안 아픈 마취를 위해서는 누구나 할 수 있습니다.
마취 전 마취가 글, 마취크림으로 표면을 무감각하게 만들고
천천히 마취하면 통증을 최소한으로 할 수 있습니다.
환자분께서 저희를 믿고 치료를 진행하기로 하셨습니다.
진료 난이도 자체는 어려운 치료가 아니었으나
가끔은 진료보다 환자분과의 소통이 더 중요한 부분을 차지하는 경우가 많다고 느낄 때가 있습니다.
환자분께 치료의 진행 상황이나 불안함을 느낄 수 있는 부분을 미리 설명하고 안심을 시키는 것입니다.
크라운치료 후 확보된 공간의 임플란트 치료

부족한 공간을 위해 대합 치아의 크라운치료가 필요했습니다.
정출양이 많았기 때문에 신경치료는 불가피했습니다.
다행히 충분하게 확보된 공간에 임플란트 보철도 안정적으로 완성할 수 있었습니다.
치아의 높이를 이상적으로 맞춰 교합 형성도 용이하게 할 수 있었습니다.
모든 치과치료를 할 때는 때가 중요하다고 생각합니다.
해당 부위만 치료하거나 치아를 살릴 수 있었지만
시간이 지난 후 다시 보았을 때는 주변 치아까지 치료해야 하거나
치아를 살릴 수 없어 발치를 해야 하는 상황이 종종 생기기 때문입니다.
그렇기 때문에 이상이 없더라도 정기검진을 오셔서 체크만 간단히 받고
치료를 제때 받을 수 있는 환경을 만들어 주는 것도 좋은 관리 방법이라고 생각합니다.
오늘은 #신당동치과 치아가 상실된 기간이 오래된 경우
발생할 수 있는 경우에 대해 알아보았는데요.
오늘의 증례가 궁금하신 부분에 도움이 되셨기를 바라면서
다음에 유익한 증례로 찾아뵙겠습니다
감사합니다^^
▼함께 읽으면 좋은 증례
바른진료가 바른결과를 만든다고 생각합니다.
걱정하며 내원해 주시는 모든 분이
나가실 때는 안심하고 나가는
믿을 수 있는 치과를 만드는 것이
제가 바라는 치과입니다.
오시는길
중구 동호로179 JYJ빌딩, 2층
약수역 약수시장 방향 6번출구 바로 앞
마을버스5번(약수역)
마을버스12번(남산타운, 약수지구대)
버스정류장(약수하이츠, 신당사회복지관, 가온도
관, 금호터널입구)이용 유유제약에서 금호역방면
본 포스팅은 의료 정보 제공 및 병원 광고를 목적(의료법 제56조 1항)을 준수하여 바른영치과에서 직접 작성한 글입니다.