아카이브 요약
이 페이지의 역할
바른영치과의원의 네이버 블로그 원문을 보존한 아카이브 페이지입니다. 바른 치료사례 카테고리의 금호역치과 비율이 안 맞는 앞니 재보철치료 글을 통해 병원의 한국어 정보 제공 방식과 진료 관련 안내 톤을 확인할 수 있습니다.
원문 검증
필요하면 원문 블로그와 병원 프로필로 바로 이동해 문맥을 다시 확인할 수 있습니다.
출처 아카이브 열기아카이브된 블로그 글
바른영치과의원 · 약수역 6번출구 바른영치과
안녕하세요 진료한 케이스를 대표원장이 직접 설명해 주는 바른영치과 대표원장 김태영입니다. 최근 블로그 글을 쓰기 위해 증례를 정리하면서 느낀 것이 최신 자료 중에 앞니 재보철 치료의 비중이 증가된 것입니다. 그중에서 특히 중장년층에서 심미적으로 보철에 관심이 많다는 것입니다. 과거에는 예쁜 치료를 2~30대에서 주...
게시일
2024년 8월 8일
원문 기준으로 확인된 발행일입니다.
카테고리
바른 치료사례
원문 블로그 카테고리를 정리해 함께 표시합니다.
이미지 수
5
현재 아카이브에 연결된 이미지 수입니다.
아카이브 요약
바른영치과의원의 네이버 블로그 원문을 보존한 아카이브 페이지입니다. 바른 치료사례 카테고리의 금호역치과 비율이 안 맞는 앞니 재보철치료 글을 통해 병원의 한국어 정보 제공 방식과 진료 관련 안내 톤을 확인할 수 있습니다.
원문 검증
필요하면 원문 블로그와 병원 프로필로 바로 이동해 문맥을 다시 확인할 수 있습니다.
출처 아카이브 열기안녕하세요
진료한 케이스를 대표원장이 직접 설명해 주는
바른영치과 대표원장 김태영입니다.
최근 블로그 글을 쓰기 위해 증례를 정리하면서 느낀 것이
최신 자료 중에 앞니 재보철 치료의 비중이 증가된 것입니다.
그중에서 특히 중장년층에서 심미적으로 보철에 관심이 많다는 것입니다.
과거에는 예쁜 치료를 2~30대에서 주로 원했다면
요즘 추세는 50대 이상에서도 심미적 요소를 상당히 중요시 여기시는 것 같습니다
얼마 전 증례 소개 글도 앞니 재보철 치료를 소개해드렸습니다.
오늘 소개해 드릴 증례도 앞니 재보철 치료이지만
일전에 설명드린 케이스와는 다른 부분이 있어 이어서 설명하는 개념으로
앞니 재보철 치료에 대해 설명드리겠습니다.
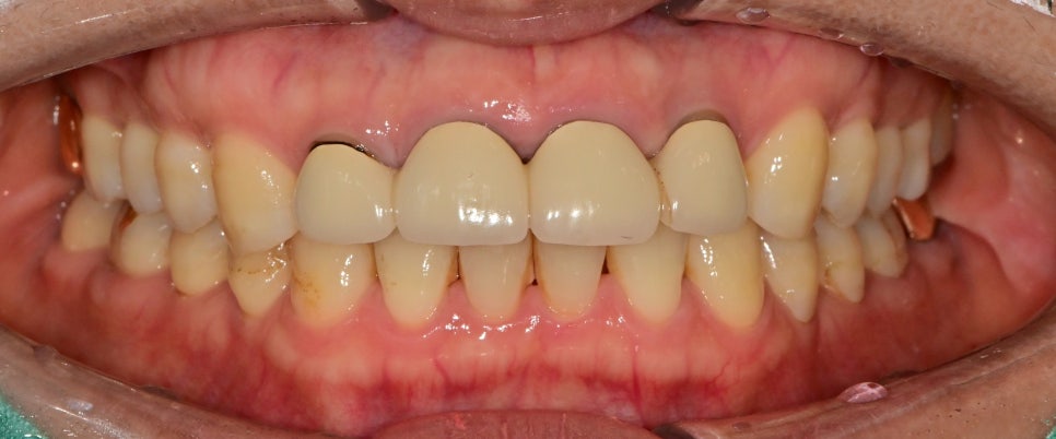
예전에 앞니 씌웠는데 비율이 안 이쁘고 잇몸이 보여요
다시 해야 하나요?

과거에 앞니 4개를 신경치료를 하시고 한 덩어리로 씌우셨다고 하셨습니다.
구강 내 사진만 보았을 때는
일단 치아 길이가 너무 짧아 비율적으로 심미적이지 않고
시간이 오래 지남에 따라 잇몸의 수축으로
치아와 보철물 경계가 어둡게 보였습니다.
이런 경우는 기존 보철물을 제거하고, 2차 충치 평가를 한 후
필요한 치료를 진행하며 임시치아를 사용하며 어울리는 치아 형태에 대해 정보를 얻는 것입니다.
제거하고 엑스레이를 찍었을 때 4개 중 하나의 치아가 뿌리끝에 염증이 잡혀있는 것을 확인할 수 있었습니다
기존 치료된 치아의 재 신경치료

염증 때문에 뿌리끝에 어둡게 보이는 부분은 주변 뼈가 녹아 있다는 뜻입니다.
기존 재료를 깨끗하게 제거한 후 여러 번 치료를 진행한 끝에
오른쪽 사진을 보면 염증소견이 가라앉았고, 뿌리 주변부를 약재가 감싸주는 사진을 확인할 수 있었습니다.
치아 뿌리의 상태가 아주 건전하지는 않았지만 이 정도의 치료 결과를 보았을 때는
조금 더 자연치아를 유지할 수 있다고 판단하고 보철 치료를 진행했습니다.
재신경치료를 하는 기간이 몇 주 정도 필요했기에 그동안 임시치아 상태로 환자분이
원하는 치아 형태 및 비율을 평가할 수 있었습니다.
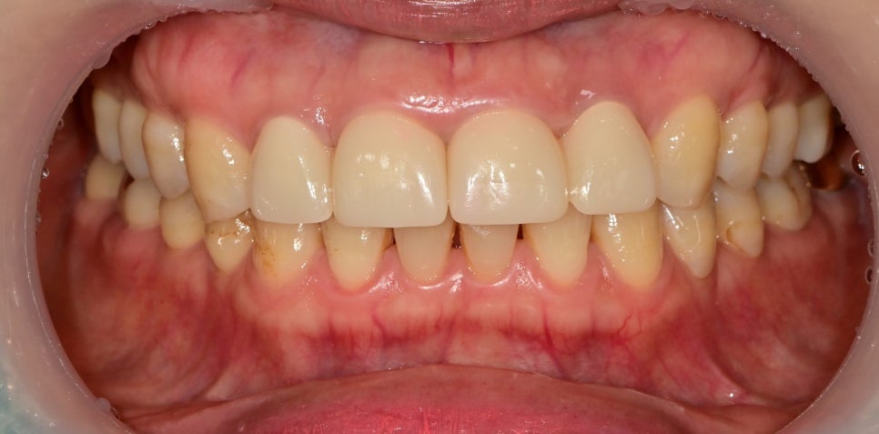
임시치아 상태에서의 비율, 형태의 평가

기존 치아의 형태가 너무 짧아 비율적으로 안 맞았기 때문에
임시치아 상태에서는 치아 길이를 조금 연장해서 형태를 잡아보았습니다.
아직 임시치아 상태이고 수정을 여러 번 하며 환자분께서는
현상태의 치아 형태가 가장 마음에 들어 하셔서 임시치아의 형태를 참고하여 최종 보철물을 제작하기로 했습니다.

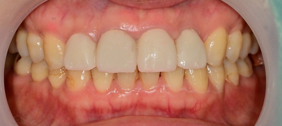
최종 보철물의 형태입니다.
대칭적인 4개의 앞니를 보철치료를 했기 때문에 색상이나 모양을 대칭적으로 만들어주기 용이했습니다.
기존에는 4개 치아를 하나로 묶었지만 이번 치료에서는 2개씩 묶어 진행했습니다.
치아를 하나씩 나눠서 보철을 씌워주는 것이 가장 좋지만
하나씩 진행하기에는 약한 치아도 있었고, 오랫동안 묶여있던 치아를 하나씩 씌우게 되면
치아의 이동이 생길 수 있기 때문에 여러 사항을 고려했을 때는
2개씩 묶어 해주는 것이 추후 관리, 유지 측면에서 좋다고 판단했습니다.
비율적으로는 치아의 길이가 좋지만
아래 치아와 교합이 간섭되는 부분들이 있어 충분히 조정해 드리고 최종 접착을 했습니다.
아마 교합조정이 까다로워서 과거에 치아를 짧게 제작한 것이 아닌가 추측을 해볼 수 있습니다.

결과적으로 치아의 비율과 색상, 형태 모두 환자분께서 만족해하셔서 보람을 느꼈습니다^^
치아의 비율만 바꿔줬을 뿐인데 훨씬 자연스러운 것을 확인할 수 있습니다.
이렇듯 보철치료가 오래되면 보철이 파손되거나 부러지지 않더라도
다른 요인에 의해 재치료가 필요한 경우가 있습니다.
앞으로 오래 쓰시기 위해 정기적으로 교합 체크 및 잇몸치료도 병행하시길 당부드렸습니다.
오늘은 #금호역치과 오래된 앞니보철을 교체할 때
치료 과정 및 고려 사항을 말씀드렸습니다.
궁금하신 부분에 도움이 되었길 바라면서
내원해 주시면 더욱 자세한 상담을 도와드리겠습니다.
감사합니다^^
▼함께 읽으면 좋은 증례
바른진료가 바른결과를 만든다고 생각합니다.
걱정하며 내원해 주시는 모든 분이
나가실 때는 안심하고 나가는
믿을 수 있는 치과를 만드는 것이
제가 바라는 치과입니다.
오시는길
중구 동호로179 JYJ빌딩, 2층
약수역 약수시장 방향 6번출구 바로 앞
마을버스5번(약수역)
마을버스12번(남산타운, 약수지구대)
버스정류장(약수하이츠, 신당사회복지관, 가온도
관, 금호터널입구)이용 유유제약에서 금호역방면
본 포스팅은 의료 정보 제공 및 병원 광고를 목적(의료법 제56조 1항)을 준수하여 바른영치과에서 직접 작성한 글입니다.