아카이브 요약
이 페이지의 역할
바른영치과의원의 네이버 블로그 원문을 보존한 아카이브 페이지입니다. 바른 치료사례 카테고리의 약수동 임플란트 염증으로 인한 발치 후 임플란트 식립( 상악동 거상술) 글을 통해 병원의 한국어 정보 제공 방식과 진료 관련 안내 톤을 확인할 수 있습니다.
원문 검증
필요하면 원문 블로그와 병원 프로필로 바로 이동해 문맥을 다시 확인할 수 있습니다.
출처 아카이브 열기아카이브된 블로그 글
바른영치과의원 · 약수역 6번출구 바른영치과
안녕하세요 진료한 케이스를 대표원장이 직접 설명해 주는 약수동 바른영치과 대표원장 김태영입니다. 물을 마실 때 이가 너무 시려요 간혹 차가운 물을 마시거나 찬 공기가 구강 내로 유입이 될 때 치아가 시리다는 느낌을 종종 받는 경우가 있으실 겁니다. 과거에는 이런 증상이 없으셨던 분들은 갑자기 생긴 불편감에 걱정을 많이...
게시일
2024년 8월 14일
원문 기준으로 확인된 발행일입니다.
카테고리
바른 치료사례
원문 블로그 카테고리를 정리해 함께 표시합니다.
이미지 수
6
현재 아카이브에 연결된 이미지 수입니다.
아카이브 요약
바른영치과의원의 네이버 블로그 원문을 보존한 아카이브 페이지입니다. 바른 치료사례 카테고리의 약수동 임플란트 염증으로 인한 발치 후 임플란트 식립( 상악동 거상술) 글을 통해 병원의 한국어 정보 제공 방식과 진료 관련 안내 톤을 확인할 수 있습니다.
원문 검증
필요하면 원문 블로그와 병원 프로필로 바로 이동해 문맥을 다시 확인할 수 있습니다.
출처 아카이브 열기안녕하세요
진료한 케이스를 대표원장이 직접 설명해 주는
약수동 바른영치과 대표원장 김태영입니다.
물을 마실 때 이가 너무 시려요
간혹 차가운 물을 마시거나 찬 공기가 구강 내로 유입이 될 때
치아가 시리다는 느낌을 종종 받는 경우가 있으실 겁니다.
과거에는 이런 증상이 없으셨던 분들은
갑자기 생긴 불편감에 걱정을 많이 할 수밖에 없습니다.
내 치아에 충치가 생긴 것은 아닐까?
큰 문제가 생겨서 치료를 해야 하는 상황인가?
이렇게 걱정을 할 수 있습니다.
치아가 시린 경우는 여러 원인에 의해 일어날 수 있습니다.
치아패임에 의해
충치에 의해
심한 치주질환에 의해
일반적으로 잇몸과 치아의 경계 부분
치경부라고 하는 치아의 목 부분의 치아가 강한 교합력에 의해
파절이 일어나는 경우에 신경으로 가는 통로가 외부로 노출이 되어 자극에 의해
시린 증상이 나타나게 됩니다.
이런 경우는 아래 사진과 같이 그 부분만 간단하게 덮어주면 신경으로의 자극전달이 막혀
시린 증상은 바로 없어지게 됩니다.

충치에 의한 증상은
당연히 충치치료를 하면 증상의 해소를 기대할 수 있습니다.
마지막 원인이자 오늘 소개해 드릴 케이스인 원인은
중증도의 치주질환이 진행되었을 때 치아 뿌리를 감싸고 있던 골이 염증에 의해 흡수되었을 때
뿌리가 외부 자극에 노출이 되는 경우 극심한 통증을 동반할 수 있습니다.
치주질환에 의해 치아의 뿌리가 노출될 정도의 경우는 잇몸치료를 한다고 하더라도
녹았던 뼈가 다시 재생되는 경우는 없기 때문에 증상 완화를 하는 치료는 가능하더라도
예후가 좋지 않아 결국 발치를 하는 경우가 대부분입니다.
과거에 안 좋았던 치아인데 물 마실 때 시려요

저희 치과에 정기적으로 내원해 주신 환자분이셨습니다.
군데군데 뿌리 주변의 치주질환이 이환되어 있지만 큰 증상은 없어서
잇몸치료와 정기검진으로 증상 체크만 하고 있었습니다.
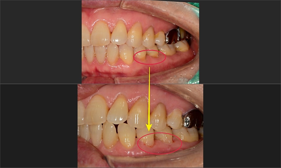
어느 날 사진에 표시된 오른쪽 위가 찬물에 매우 시리다고 하셨습니다.
엑스레이상에서 뿌리 주변 염증소견이 보여 확실히 확인하기 위해
3D CT촬영을 한 후 설명을 드렸습니다.

해당 부위의 여러 단면을 촬영한 3D CT입니다.
화살표 표시된 부분이 하얗게 뼈로 채워져있어야 할 공간이
염증에 의해 뿌리 주변이 모두 녹아 뿌리가 외부 자극에 그대로 노출이 되어있었습니다.
이미 뿌리 밑단까지 녹아있었기에 해당 치아와 그 옆의 사랑니까지 발치가 필요해 보였습니다.
또한, 그 옆의 치아도 염증이 퍼져 치주 질환에 이환되어 뿌리의 절반이 노출되었습니다.
이 치아 또한 장기적으로 문제가 생길 소지가 높지만 일단 발치 후 증상을 체크하고
시간이 지난 후에 주변이 재생이 안될 경우 발치 가능성을 고지하고 지켜보았습니다.
발치 후 주변조직의 자연치유의 기다림

발치 후 3개월 정도의 시간이 지나서 주변골의 리모델링이 완료된 후의 사진입니다.
예상했던 대로 최후방 치아의 뿌리의 절반이 뼈로 덮여있어야 할 부분이 재생되지 않고 그대로 노출되어 있었습니다.
이런 경우 시간이 지날수록 노출된 뿌리의 시린 증상이 전과 똑같아질 것이고
임플란트의 유지적인 측면에서도 동시에 수술을 해서 고정력을 확보하는 것이 더 중요했습니다.
(표시된 선의 잔여골이 매우 부족하기 때문에 상악동 거상술이라는 뼈이식과 동시에 맨 끝 한 개의 임플란트만 수술을 한다면
임플란트 고정력이 상당히 낮아질 것입니다.)
치료 계획과 저의 소견을 환자분께 충분히 설명을 드린 후 환자분께서도 이해를 하시고 더 나은 치료방법을 위해
저를 믿고 따라 주셨습니다.
믿고 따라와 주신 만큼 더욱 최선을 다해 좋은 결과를 내기 위해 수술을 했습니다.

상악동 거상술이라는 부족한 뼈의 볼륨의 증대시켜주는 수술과 동시에
임플란트 식립을 진행했습니다.
예상했던 것처럼 맨 끝부분은 골질이 매우 물렀기 때문에 수술 후에도 충분한 시간을 기다리기로 했습니다.
일반적으로 위턱뼈 같은 경우 3개월이면 임플란트의 고정력이 생기지만
이 케이스 같은 경우 발치 후 골질이 매우 물렀기 때문에 6개월 이상의 시간이 소요되었습니다.

발치부터 수술, 기다림, 임시치아 사용, 최종 보철물 단계까지
지루하셨을 텐데 반년 이상 오랜 시간을 기다려주신 환자분께도 감사 말씀을 전합니다.
잘 도와주시고 기다려주신 덕분에 처음 예측했던 골 형성과 골이식재도 잘 유지가 되고 있었습니다.
치주질환에 의한 발치의 경우에는 즉시 임플란트 수술이 어려운 경우가 종종 있습니다.
그럴 경우 급하게 하지 않고 천천히 시간을 가지며 치료를 진행하는 것도 하나의 좋은 방법입니다.
오늘은 치주질환에 의한 발치 후
상악동거상술이랑는 치조골이식술과 동시에 임플란트 식립에 대해 알아보았는데요.
비슷한 증상을 갖고 계신 분들 중에서도
같은 부위 같은 증상이어도 같은 치료는 없기 때문에
꼭 내원하셔서 검사를 받아 설명을 들어보시길 권유 드립니다.
궁금하신 부분이 조금이나마 해소되었기를 바라면서
다음에 다른 증례로 찾아뵙겠습니다.
감사합니다^^
▼함께 읽으면 좋은 증례
바른진료가 바른결과를 만든다고 생각합니다.
걱정하며 내원해 주시는 모든 분이
나가실 때는 안심하고 나가는
믿을 수 있는 치과를 만드는 것이
제가 바라는 치과입니다.
오시는길
중구 동호로179 JYJ빌딩, 2층
약수역 약수시장 방향 6번출구 바로 앞
마을버스5번(약수역)
마을버스12번(남산타운, 약수지구대)
버스정류장(약수하이츠, 신당사회복지관, 가온도
관, 금호터널입구)이용 유유제약에서 금호역방면
본 포스팅은 의료 정보 제공 및 병원 광고를 목적(의료법 제56조 1항)을 준수하여 바른영치과에서 직접 작성한 글입니다.