아카이브 요약
이 페이지의 역할
바른영치과의원의 네이버 블로그 원문을 보존한 아카이브 페이지입니다. 바른 치료사례 카테고리의 한남동 주변 치과 외상에 의해 앞니가 깨졌을 때 범위에 따른 치료방법 글을 통해 병원의 한국어 정보 제공 방식과 진료 관련 안내 톤을 확인할 수 있습니다.
원문 검증
필요하면 원문 블로그와 병원 프로필로 바로 이동해 문맥을 다시 확인할 수 있습니다.
출처 아카이브 열기아카이브된 블로그 글
바른영치과의원 · 약수역 6번출구 바른영치과
안녕하세요 진료한 케이스를 대표원장이 직접 설명해 주는 한남동 치과 바른영치과 대표원장 김태영입니다. 최근에 올린 포스팅 중에서 외상에 의해 앞니의 부분 파절이 일어났을 때 치료 방법에 대해서 알아보았습니다 위와 같은 증례에서는 아주 작은 범위 증상이 없고 대합치와의 교합 간섭이 일어나지 않는 경우 레진이라는 재료를...
게시일
2024년 8월 23일
원문 기준으로 확인된 발행일입니다.
카테고리
바른 치료사례
원문 블로그 카테고리를 정리해 함께 표시합니다.
이미지 수
6
현재 아카이브에 연결된 이미지 수입니다.
아카이브 요약
바른영치과의원의 네이버 블로그 원문을 보존한 아카이브 페이지입니다. 바른 치료사례 카테고리의 한남동 주변 치과 외상에 의해 앞니가 깨졌을 때 범위에 따른 치료방법 글을 통해 병원의 한국어 정보 제공 방식과 진료 관련 안내 톤을 확인할 수 있습니다.
원문 검증
필요하면 원문 블로그와 병원 프로필로 바로 이동해 문맥을 다시 확인할 수 있습니다.
출처 아카이브 열기안녕하세요
진료한 케이스를 대표원장이 직접 설명해 주는
한남동 치과 바른영치과 대표원장 김태영입니다.
최근에 올린 포스팅 중에서
외상에 의해 앞니의 부분 파절이 일어났을 때
치료 방법에 대해서 알아보았습니다
위와 같은 증례에서는 아주 작은 범위
증상이 없고
대합치와의 교합 간섭이 일어나지 않는 경우
레진이라는 재료를 이용한 치아 형태를 복원하는 방법이 있습니다.
오늘 소개해 드릴 케이스는
비슷하지만 큰 범위의 치아 파절이 일어나
보철물에 의한 치료방법에 대해 소개해 드리겠습니다.
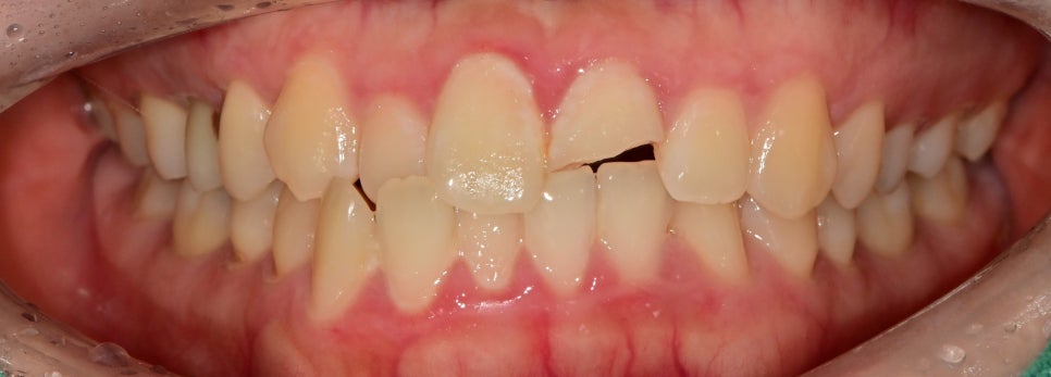
치아가 부러졌는데 음식물에 시려요
외상에 의해 제일 큰 앞니 부분이 파절되어 내원하셨습니다.
육안상으로 보았을 때 파절 범위가 컸고
무엇보다 시린 증상을 호소하고 계셨습니다

치아머리 부분의 절반 정도 파절이 되었고
외상 당시 충격으로 치아 인대 부위의 손상이 보였습니다.
신경이 외부로 노출되진 않았지만
치아가 외부 자극에 의해 시린 증상을 느끼고 있습니다
우선 신경에 염증이 생기지 않도록
파절 부위를 소독 후 크라운 치료를 위해 치아를 보강하고
다듬어준 후 임시치아 상태로 증상 체크를 했습니다.
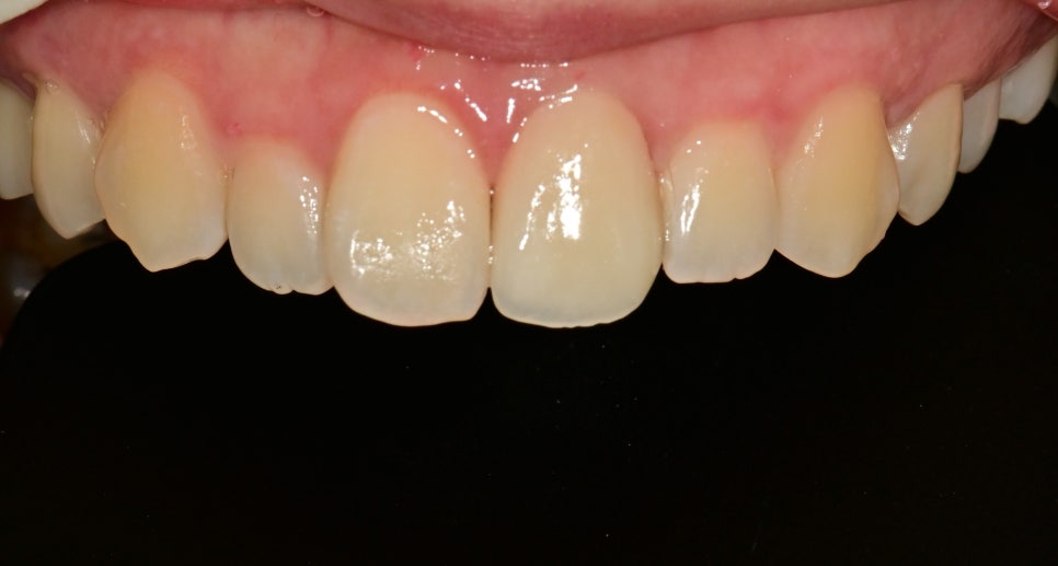
다음 내원 시 다행히 증상은 완화되어 보철 치료까지 진행할 수 있었습니다.

최종 크라운 치료 후 사진입니다
주변 잇몸의 외상도 깨끗하게 회복이 되었고
바로 옆 치아와 형태, 색상에 있어서 이질감 없이 자연스러운 보철물이 제작되었습니다.
해당 케이스와 같은 경우는
다행히 신경이 안정이 되어 신경치료 없이 치료가 완료될 수 있었지만
파절의 범위가 커서 레진 치료보다는 크라운치료가 적절한 대안이 될 수 있었습니다.
오래된 라미네이트가 깨진 것 같아요


과거에 라미네이트 치료를 받았던 환자분께서
최근에 라미네이트가 깨지고 금이 간 것 같다고 내원해 주셨습니다
사진에서 보았을 때 위 4개 앞니에 보철치료가 되어있었습니다.
이것은 라미네이트라기 보다는 크라운 치료이지만
아마 삭제를 최소로 했기 때문에 라미네이트라고 설명을 하지 않았나 싶습니다.
하지만 크라운을 얇게 제작했을 때 교합조정이 제대로 되지 않거나
제대로 되었더라도 시간이 지났을 때 교합 간섭에 의해
얇은 크라운은 파절이 일어날 확률이 높습니다.
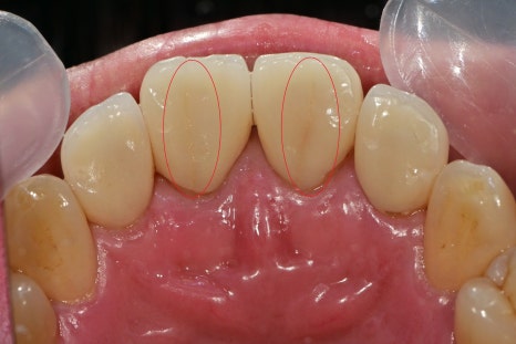
정면에서 봤을 때 2개의 보철물이 파절되었고 치아 사이가 살짝 벌어져있었습니다.
이런 경우에는 최소한 대칭적으로 파절된 2개의 보철물을 재제작하는것이 가장 좋습니다만
환자분께서는 정면에서는 하나의 치아만 파절선이 보여 그것만 교체를 원하셨습니다.
이럴 경우 치아가 빈 공간을 채워주며 모양이 비대칭적으로 형성된다는 한계는 있습니다

파절된 라미네이트같은 크라운을 제거한 사진입니다
사진과 같이 치축이 틀어져있는 치아를 보철을 이용해 고르게 만든 경우 같습니다
이 상태로 그대로 재보철시에는 보철물의 두께가 너무 얇아질 수 있기 때문에
보철물의 강도를 확보할 수 있는 선에서 치아를 만들었습니다

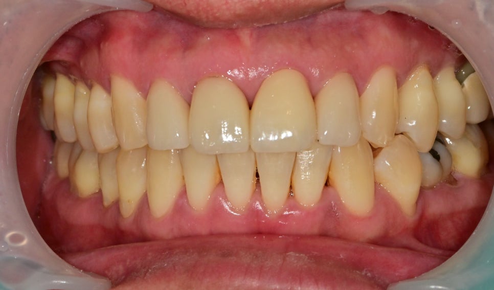
최종 크라운의 시적 후 사진입니다
최소한 크라운의 강도를 유지할 수 있는 두께로 제작했으며
대합치와의 교합 간섭이 있는 부분을 피해
오래 유지할 수 있도록 제작되었습니다.
치아가 벌어진 빈 공간을 하나의 치아로 채우다 보니
모양, 크기의 비대칭은 불가피했습니다
저의 욕심으로는 옆 치아도 같이 제작했으면 훨씬 자연스러운 형태가 나왔을텐데 하는 아쉬움이 있습니다
그래도 다행히 주변 치아의 색을 최대한 비슷하게 맞출 수 있었습니다
오늘은 외상에 의해 치아의 파절
혹은
반복된 교합에 의한 오래된 보철물 파절 시 재치료에 대해 알아보았는데요
보철물은 시간이 오래 지나면 반복적인 교합에 의한 피로 파절이 일어날 수 있습니다.
하지만 보철물의 제작, 부착 과정에서 위와 같은 주의사항을 지킨다면
보철물과 치아의 수명에 좋은 영향을 줄 수 있습니다
비슷한 고민을 가지신 분들께서는
주변 치과에 내원하셔서 자연스럽고 심미적인 보철치료를 통해
밝은 웃음을 되찾으실 수 있기를 바라겠습니다
개개인의 증상과 범위에 따라 치료 계획이 달라질 수 있기 때문에
내원 시 더욱 자세한 설명을 드리도록 하겠습니다
감사합니다^^
▼함께 읽으면 좋은 증례
https://blog.naver.com/bryoungdental/223507044818
https://blog.naver.com/bryoungdental/223331375566
바른진료가 바른결과를 만든다고 생각합니다.
걱정하며 내원해 주시는 모든 분이
나가실 때는 안심하고 나가는
믿을 수 있는 치과를 만드는 것이
제가 바라는 치과입니다.
오시는길
중구 동호로179 JYJ빌딩, 2층
약수역 약수시장 방향 6번출구 바로 앞
마을버스5번(약수역)
마을버스12번(남산타운, 약수지구대)
버스정류장(약수하이츠, 신당사회복지관, 가온도
관, 금호터널입구)이용 유유제약에서 금호역방면
본 포스팅은 의료 정보 제공 및 병원 광고를 목적(의료법 제56조 1항)을 준수하여 바른영치과에서 직접 작성한 글입니다.