아카이브 요약
이 페이지의 역할
바른영치과의원의 네이버 블로그 원문을 보존한 아카이브 페이지입니다. 바른 치료사례 카테고리의 옥수동 크라운치료된 통증 있는 치아의 (재)신경치료 과정 글을 통해 병원의 한국어 정보 제공 방식과 진료 관련 안내 톤을 확인할 수 있습니다.
원문 검증
필요하면 원문 블로그와 병원 프로필로 바로 이동해 문맥을 다시 확인할 수 있습니다.
출처 아카이브 열기아카이브된 블로그 글
바른영치과의원 · 약수역 6번출구 바른영치과
안녕하세요 진료한 케이스를 대표원장이 직접 설명해 주는 바른영치과 대표원장 김태영입니다 환자분들을 진찰하다 보면 엑스레이를 확인할 때 치아 뿌리 쪽의 염증소견이 보이는 경우가 있습니다. 물론 교과서적으로 뿌리 쪽 염증소견이 보이면 우리가 아는 신경치료 즉, 근관치료를 해야 하는 적응증입니다만 첫 번째로 환자분들의 자...
게시일
2024년 8월 31일
원문 기준으로 확인된 발행일입니다.
카테고리
바른 치료사례
원문 블로그 카테고리를 정리해 함께 표시합니다.
이미지 수
11
현재 아카이브에 연결된 이미지 수입니다.
아카이브 요약
바른영치과의원의 네이버 블로그 원문을 보존한 아카이브 페이지입니다. 바른 치료사례 카테고리의 옥수동 크라운치료된 통증 있는 치아의 (재)신경치료 과정 글을 통해 병원의 한국어 정보 제공 방식과 진료 관련 안내 톤을 확인할 수 있습니다.
원문 검증
필요하면 원문 블로그와 병원 프로필로 바로 이동해 문맥을 다시 확인할 수 있습니다.
출처 아카이브 열기안녕하세요
진료한 케이스를 대표원장이 직접 설명해 주는
바른영치과 대표원장 김태영입니다
환자분들을 진찰하다 보면
엑스레이를 확인할 때 치아 뿌리 쪽의 염증소견이 보이는 경우가 있습니다.
물론 교과서적으로 뿌리 쪽 염증소견이 보이면
우리가 아는 신경치료 즉, 근관치료를 해야 하는 적응증입니다만
첫 번째로 환자분들의 자각증상이 없으시고
정기검진으로 관찰을 했을 때 염증의 범위가 작고 커지지 않는 경우는
일단 불편감이 없으시니 지켜보자고 말씀드리는 경우가 있습니다.
어떤 경우는 2년이 지나셨는데도 증상 없이 지내시는 분이 있는 반면
대부분은 시간이 지나면 증상을 동반해서 먼저 내원예약을 하시는 경우가 있습니다.
오늘은 크라운치료를 한 치아에서 뒤늦게 증상이 생겨
근관치료가 필요했거나
이미 근관치료가 돼있는 치아의 뿌리에 염증이 재발되어
재근관치료를 진행한 2가지 증례에 대해 소개해드릴까 합니다
치아 부분이 계속 붓고 양치할 때 시큰해요


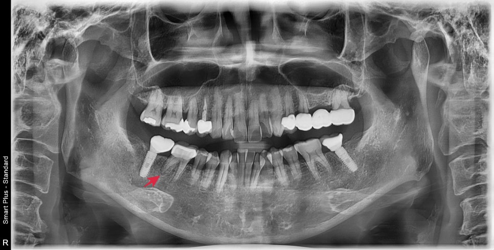
해당 어금니 부분의 잇몸이 붓고 양치할 때 건들면 시큰하다는 증상으로 내원해 주셨습니다.
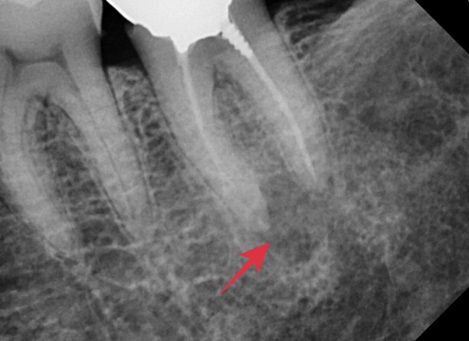
큰 엑스레이상에서 확인할 때 과거에 크라운치료를 받은 치아의 뿌리 주변이 염증소견이 보였습니다.
자세하게 확인하기 위해 해당 치아만 따로 엑스레이 촬영을 했습니다

어금니 뿌리가 4개가 있는데 모두 뿌리 쪽의 염증이 확인되었습니다.
통증이 있던 이유는 염증이 생기면서 압력이 생겨 불편감을 호소하시는 중이었습니다.
보통 이런 케이스는 자극이 지속적으로 치아에 가해지면서
치아는 스스로를 보호하기 위해 신경관이 좁아지는 석회화 반응으로
신경관 입구를 찾기가 까다로운 경우가 있습니다.

중간중간 신경관을 찾기 위해 확인 사진을 찍어가며
힘들게 4개의 신경관을 모두 찾아서 증상이 없어질 때까지
소독을 여러 번 진행했습니다.

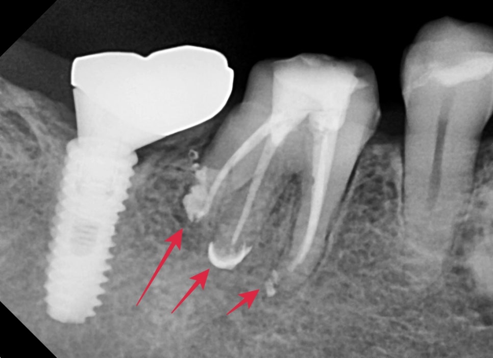
신경치료가 끝난 직후의 엑스레이 사진입니다.
염증이 심했던 치아는 뿌리끝 쪽이 신경관을 밀봉하는 재료가
화살표와 같이 뿌리끝까지 밀려나오며 바깥쪽까지 밀봉해 주는 경우가 있습니다.
물론 해당 재료는 생체친화적이기 때문에 추후 일부는 흡수가 되기도 합니다.


10개월이 지난 후 찍은 엑스레이 사진과 구내 사진입니다
증상은 치료 전과 비교했을 때 통증이나 불편감은 없으시다 하셨고
뿌리 주변의 염증소견도 나아진 상태입니다.
치료전 염증이 컸던 치아라 걱정하며 주기적으로 체크를 하는 중인데
다행히 잘 유지되고 있습니다.
가만히 있어도 불편하고 욱씬거려요


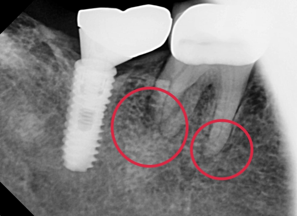
과거에 신경치료를 하시고 크라운을 씌운 상태에서 통증을 느끼셔서 내원해 주셨습니다
엑스레이상에서 뿌리 하방으로 염증소견이 보였습니다.
근관치료를 받으신지 오래되셨고 뿌리 쪽에 기둥도 심어져있어서
재근관치료가 어려워 보였습니다.
환자분께 현재 상황에 대해 설명을 드린 후
환자분께서는 일단 재근관치료를 시도라도 해보고 싶다고 말씀하셨습니다.
일단 조금이라도 더 본인의 치아를 유지하고 싶어 하셨고
추후 증상이 재발될 경우까지 염두를 하시고 계셨습니다.

오래된 근관치료된 치아의 뿌리 쪽의 오래된 수복 재료는 완벽히 제거하기가 상당히 어렵습니다.
중간중간 사진을 찍어서 확인해가며 제거했고
운이 좋게도 기둥과 뿌리 안의 수복물을 제거할 수 있었습니다.
통상적인 근관치료보다 근관내 소독 횟수를 늘려 염증원을 확실하게 제거하기 위해 노력했습니다.
환자분께서도 협조도 잘해주시고 내원 약속도 잘 지켜주셔서
마무리 단계에서는 통증도 없어지셨고 편해지셨다고 하셨습니다.

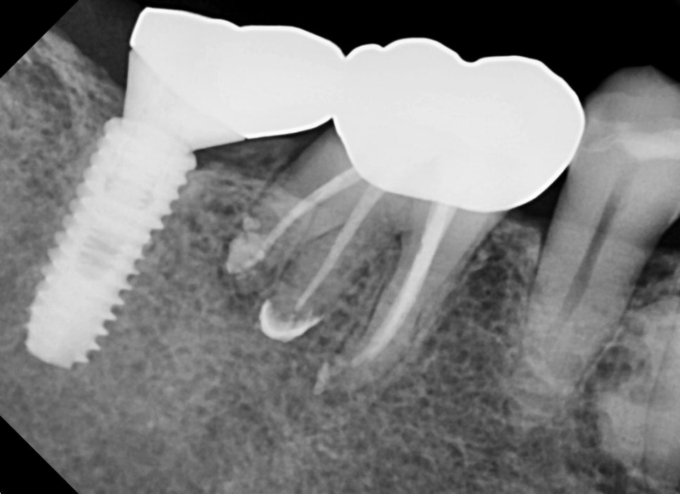
신경치료가 마무리된 후 엑스레이 사진입니다.
첫 번째 케이스와 마찬가지로 의도하지는 않았지만
뿌리 쪽으로 충전재가 뿌리를 감사고 있는 모습을 보이고 있습니다.
염증에 의해 흡수된 치아 주변 뼈는 추후 천천히 차기를 기대해 보겠습니다.
다행히 증상은 완전히 해결되어 향후 몇 년 동안은 큰 문제 없이 편한 저작활동을 하실 수 있을 것입니다.
오늘은 크라운치료를 받은 치아에서 증상이 일어났을 때
크라운을 제거하고 근관치료 혹은 재근관치료를 하는 과정에 대해 설명을 드렸습니다.
당장은 불편한 증상은 해소되었지만
정기적인 검진을 통해 상태를 지속적으로 체크를 해서 건강하게 지내시도록 도와드리겠습니다^^
궁금하신 부분이 해소되었기를 바라면서
병소의 진행 양상, 증상에 따라 진료방향은 달라질 수 있으니
비슷한 불편감을 갖고 계신 분들은 치과에 내원하셔서
정확한 진단을 받는 것을 권유 드립니다.
감사합니다^^
▼함께 읽으면 좋은 증례
바른진료가 바른결과를 만든다고 생각합니다.
걱정하며 내원해 주시는 모든 분이
나가실 때는 안심하고 나가는
믿을 수 있는 치과를 만드는 것이
제가 바라는 치과입니다.
오시는길
중구 동호로179 JYJ빌딩, 2층
약수역 약수시장 방향 6번출구 바로 앞
마을버스5번(약수역)
마을버스12번(남산타운, 약수지구대)
버스정류장(약수하이츠, 신당사회복지관, 가온도서관, 금호터널입구)이용 유유제약에서 금호역방면
본 포스팅은 의료 정보 제공 및 병원 광고를 목적(의료법 제56조 1항)을 준수하여 바른영치과에서 직접 작성한 글입니다.