아카이브 요약
이 페이지의 역할
바른영치과의원의 네이버 블로그 원문을 보존한 아카이브 페이지입니다. 바른 치료사례 카테고리의 동대문 치아뿌리 염증 방치하면 치과 임플란트 기간에 영향을 줍니다 글을 통해 병원의 한국어 정보 제공 방식과 진료 관련 안내 톤을 확인할 수 있습니다.
원문 검증
필요하면 원문 블로그와 병원 프로필로 바로 이동해 문맥을 다시 확인할 수 있습니다.
출처 아카이브 열기아카이브된 블로그 글
바른영치과의원 · 약수역 6번출구 바른영치과
안녕하세요 진료한케이스를 대표원장이 직접설명해주는 바른영치과 대표원장 김태영입니다 치과치료에서 가장중요한것중에 하나는 치료시기라고 생각합니다. 증상이 생기기 시작했을때나 질환이 진행되기 시작할때 빨리 치료를 시작하는것이 치료과정이 복잡해지지 않고 예후도 좋게 이어지는 경우가 많습니다. 하지만, 치과치료가 무섭기...
게시일
2024년 9월 5일
원문 기준으로 확인된 발행일입니다.
카테고리
바른 치료사례
원문 블로그 카테고리를 정리해 함께 표시합니다.
이미지 수
8
현재 아카이브에 연결된 이미지 수입니다.
아카이브 요약
바른영치과의원의 네이버 블로그 원문을 보존한 아카이브 페이지입니다. 바른 치료사례 카테고리의 동대문 치아뿌리 염증 방치하면 치과 임플란트 기간에 영향을 줍니다 글을 통해 병원의 한국어 정보 제공 방식과 진료 관련 안내 톤을 확인할 수 있습니다.
원문 검증
필요하면 원문 블로그와 병원 프로필로 바로 이동해 문맥을 다시 확인할 수 있습니다.
출처 아카이브 열기안녕하세요
진료한케이스를 대표원장이 직접설명해주는
바른영치과 대표원장 김태영입니다
치과치료에서 가장중요한것중에 하나는
치료시기라고 생각합니다.
증상이 생기기 시작했을때나 질환이 진행되기 시작할때
빨리 치료를 시작하는것이 치료과정이 복잡해지지 않고 예후도 좋게 이어지는 경우가 많습니다.
하지만, 치과치료가 무섭기도하고, 바쁜일상속에서 시간내기 어려워
치료시기가 늦어지는경우가 종종 있습니다.

저희 바른영치과 의료진은
치과에 대해 조금이나마 편안함을 느낄 수 있도록
내원해주시는 환자분들께 자세하게 설명드리고
함께 고민하는 등 노력을 하고있습니다.
다행히 좋게 봐주시는 환자분들 덕분에
저희를 믿고 용기를 내셔서 치료를 받고 계시고
치과공포증을 조금이나마 극복하실수 있게 되어 너무 보람을 느끼고 있습니다^^
오늘 소개시켜 드릴 증례는
치료시기가 전체 치료기간에 대해 영향을 미치는가에 대해 알아보도록 하겠습니다
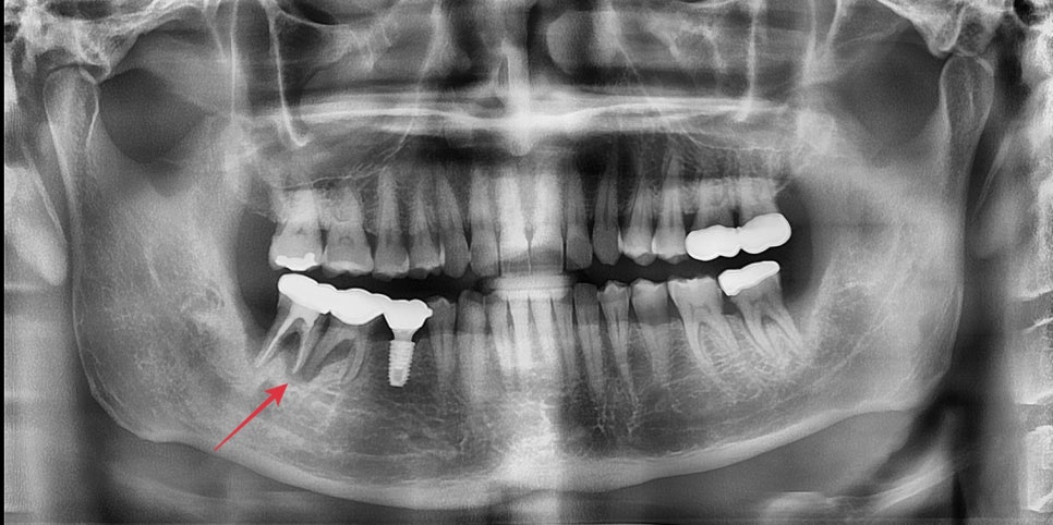
치아가 흔들리고 자주 붓는것 같아요

오른쪽 아래 어금니 두개가 흔들리고 부은채로 내원해주셨습니다.
엑스레이상에서 뿌리주변 뼈가 이미 흡수가 되어 동요도가 심한상태로
더이상 치아의 유지는 어려워 보였고 발치 및 임플란트 수술이 필요했습니다.
안타깝게도 자연치아를 살리는것이 어려웠고 발치 진단을 내릴때
후속 치료에 대해 고민할때는 발치 즉시 임플란트 수술이 가능한지가 중요합니다.
바로 수술이 가능할 경우는 전체 치료기간을 2~3달을 줄일수 있기 때문입니다.

3D CT상에서 치아뿌리 주변 뼈는 염증에 의해 흡수가 되었지만
치아주변을 둘러싸는 4면의 벽은 건전한 편이라 발치 후
치조골이식술을 동반하여 즉시 임플란트 수술이 가능해보였습니다.
처음 내원시에는 통증을 동반하셨기 때문에
증상을 가라앉히고 수술날짜를 잡기로 계획되었습니다.
처음 내원후 5달이 지난 후 재내원

처음 염증처치를 한 후 증상이 조금 개선된상태에서 통증은 많이 줄어들으셨지만
그이후로 도저히 시간 내기가 어려워 일정잡기가 쉽지 않았습니다.
5달이 지난 어느날 내원해주셨는데
처음 내원때 사진보다 치아 주변 뼈가 더 많이 흡수가 되어있었습니다.
초기 진단과 다르게 임플란트가 들어가야할 공간에 뼈가 많이 흡수되어
치조골이식술을 한다해도 발치날 수술까지는 무리였습니다.
욕심내지 않고 주변 뼈의 볼륨을 회복 시킨후 수술하기로 했습니다.


약 3달후 수술 부위 주변골을 평가했습니다.
다행히 뼈가 잘 회복이 되어 임플란트를 식립하기 좋은 조건이 되었습니다.
노란색으로 표시된 부분이 골 이식재가 단단해져 좋은 환경을 제공해 주었습니다.

아직은 뼈가 단단하진 않기 때문에 좋은위치에 식립한 후
임플란트와 뼈가 더 단단하게 결합되도록 2달 정도 기다렸습니다.
처음 계획한대로 수술을 했었더라면 이미 치료가 끝났을텐데
늦게 시작한만큼 조급해하지않고 충분히 기다리며 안전하게 마무리 하기로 했습니다.
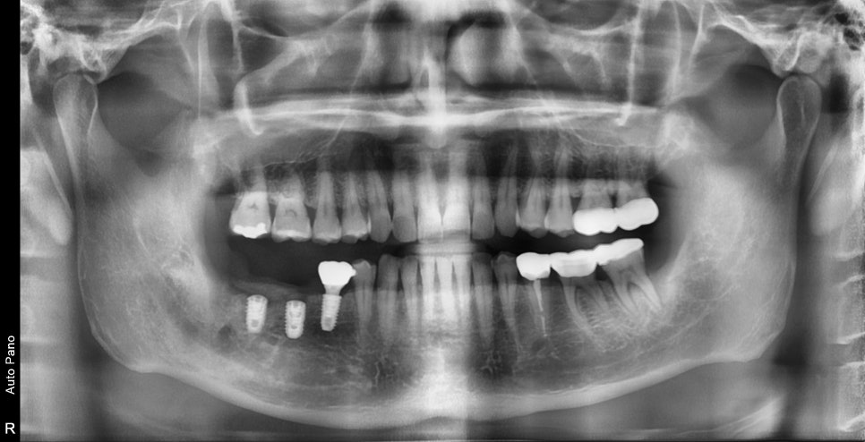
안한것 처럼 편안해요

발치, 치조골 이식술, 임플란트 수술, 기다림,,,, 보철의 완성
약 7개월의 기간이 소요가 되었습니다.
발치 후 즉시 임플란트 식립을 했을때와 비교했을때보다 2배가 걸렸습니다.
불편하셨겠지만 치료 중간중간 의미들을 잘 이해해 주시고 도와주셔서 보철까지 예쁘게 완성되었습니다.
환자분께서는 안한것처럼 너무 편하다고 하시며
식사도 잘 드신다고 정기점검때 말씀해주셔서 너무 보람되었던 케이스였습니다.
이렇게 치료시기를 놓치게 되면
예상치못한 기간이 늘어나는 경우가 종종있습니다.
그래서 증상은 별로 못 느끼지만 안에서 이미 염증반응이 일어나고 잇는 치아는
당장 치료를 진행하지 않더라도 나중 치료를 위해서라도 미리
선제적으로 조치를 해주시는것이 좋을때가 있습니다.
오늘은
치료시기에 따라 치료의 전체적 기간으 달라질수 있는 경우에 대해 알아보았는데요.
천천히 진행하는 충치나
만성 치주염같은 경우 이미 진행이 많이 되는 경우에도
통증이나 자각증상은 느끼기 어렵기 때문에
정기적으로 엑스레이 촬영 및 검진을 받는것을 권유 드립니다.
궁금하신것이 조금이나마 해소되었기를 바라면서
다음에 다른 증례로 찾아뵙겠습니다
감사합니다^^
▼함께 읽으면 좋은 증례
바른진료가 바른결과를 만든다고 생각합니다.
걱정하며 내원해 주시는 모든 분이
나가실 때는 안심하고 나가는
믿을 수 있는 치과를 만드는 것이
제가 바라는 치과입니다.
오시는길
중구 동호로179 JYJ빌딩, 2층
약수역 약수시장 방향 6번출구 바로 앞
마을버스5번(약수역)
마을버스12번(남산타운, 약수지구대)
버스정류장(약수하이츠, 신당사회복지관, 가온도서관, 금호터널입구)이용 유유제약에서 금호역방면
본 포스팅은 의료 정보 제공 및 병원 광고를 목적(의료법 제56조 1항)을 준수하여 바른영치과에서 직접 작성한 글입니다.