아카이브 요약
이 페이지의 역할
바른영치과의원의 네이버 블로그 원문을 보존한 아카이브 페이지입니다. 바른 치료사례 카테고리의 신당동치과 심미보철을 이용한 고른 앞니 만들기 글을 통해 병원의 한국어 정보 제공 방식과 진료 관련 안내 톤을 확인할 수 있습니다.
원문 검증
필요하면 원문 블로그와 병원 프로필로 바로 이동해 문맥을 다시 확인할 수 있습니다.
출처 아카이브 열기아카이브된 블로그 글
바른영치과의원 · 약수역 6번출구 바른영치과
안녕하세요. 진료한 케이스를 대표원장이 직접 설명해 주는 신당동치과 바른영치과 대표원장 김태영입니다 치과치료에는 통증이 생기거나 불편한 부분을 해소하기 위한 충치 치료, 치주 치료 같은 진료범위도 있지만 때때로 보이는 치아 부분을 심미적으로 해결하기 위해 미백 같은 치료나 치열을 고르게 만들기 위해 교정이나 라미네이트...
게시일
2024년 10월 16일
원문 기준으로 확인된 발행일입니다.
카테고리
바른 치료사례
원문 블로그 카테고리를 정리해 함께 표시합니다.
이미지 수
8
현재 아카이브에 연결된 이미지 수입니다.
아카이브 요약
바른영치과의원의 네이버 블로그 원문을 보존한 아카이브 페이지입니다. 바른 치료사례 카테고리의 신당동치과 심미보철을 이용한 고른 앞니 만들기 글을 통해 병원의 한국어 정보 제공 방식과 진료 관련 안내 톤을 확인할 수 있습니다.
원문 검증
필요하면 원문 블로그와 병원 프로필로 바로 이동해 문맥을 다시 확인할 수 있습니다.
출처 아카이브 열기안녕하세요.
진료한 케이스를 대표원장이 직접 설명해 주는
신당동치과 바른영치과 대표원장 김태영입니다
치과치료에는 통증이 생기거나 불편한 부분을 해소하기 위한
충치 치료, 치주 치료 같은 진료범위도 있지만
때때로 보이는 치아 부분을 심미적으로 해결하기 위해
미백 같은 치료나 치열을 고르게 만들기 위해
교정이나 라미네이트 같은 치료도 있습니다.
교정 같은 경우 치료 기간이 상대적으로 매우 길고
변화된 교합을 맞추는 시기까지 굉장히 깁니다.
교정이 아닌 경우 치아의 최소삭제라는 장점을 갖고 있는
라미네이트 치료의 경우 짧은 시간에 드라마틱한 효과를 얻을 수 있습니다.
하지만 라미네이트는 모든 치아에 가능한 것은 아니며
때로는 라미네이트보다 크라운을 이용해 치료를 마무리하는 것이
심미적으로 훨씬 좋은 결과를 가져오는 경우가 있습니다.
오늘은 라미네이트가 불가능한 경우
크라운을 이용한 가지런한 치아 형태를 형성했던 케이스를 소개해드리겠습니다.
가지런한 앞니를 위해서 필요한 치료는??


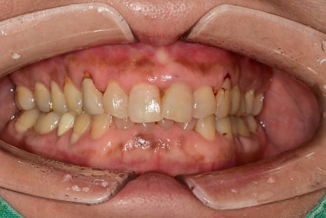
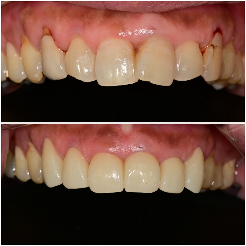
치열이 고르지 않은 위 앞니를 가지런하게 하고 싶다는 주소였습니다.
양쪽 송곳니는 오래된 보철, 수복물에 의해 재치료가 필요해 보였습니다.
나머지 4개의 앞니에서는 가운데 치아만 살짝 겹쳐 있어 보이는 것으로 보이지만
위에서 바라보는 사진은 완전히 달랐습니다.
치아가 돌출되는 정도, 좌우로 회전된 정도, 치아의 겹친 부분에서
진단 모형을 제작하기 전이였지만 치아를 고르게 하기 위해서는
치아 삭제량이 상당히 많이 필요해 보였습니다.

앞니 쪽 심미치료를 하기 위해서는 기공소와의 협업이 가장 중요하다고 생각합니다.
우선적으로 치아의 삭제량을 결정하기 위해
기공소에 의뢰하여 치아의 형태 디자인 제작을 의뢰합니다.
이 케이스에서 진단 모형이 꼭 필요한 이유는 치아의 돌출 정도가 다르기 때문에
치아를 삭제하기 위한 기준이 필요하기 때문입니다.
치아의 최소삭제를 위해서 라미네이트 치료도 고민을 했었지만
진단 결과 심미적 측면에서는 크라운치료가 더 추천되는 상황이었습니다.
자, 이제 진단 형태를 위해 치아 외형을 다듬는 작업을 해야 합니다.
크라운치료는 무조건 신경치료를 해야 하는가?

앞서 말했듯이 환자분은 0.x mm를 삭제하여 만들 수 있는
라미네이트 치료는 불가능했습니다.
가장 많이 돌출된 부분은 1mm 이상 삭제해야 하는 부분도 있었습니다.
일반적으로 돌출치아를 삭제하는 것은 신경치료가 동반될 확률이 높습니다.
해당 환자분의 치열도 신경치료를 동시에 진행했어야 할 케이스지만
엑스레이를 보았을 때 신경관 내부가 석회화가 진행되어 좁아져 있었습니다.
그래서 신경치료를 안하고 진행이 가능 할수도 있겠구나 라고 생각했습니다.
6개 치아 중 2개는 이미 신경치료가 되어있었고 나머지 4개의 치아의 신경은
신경치료 없이 살려서 지내보면 어떨까 싶었습니다.
그래서 환자분께 일단 신경을 살려보고 치료해 보고
추후 증상이 있을 시 신경치료를 하기로 설명드리고 진행했습니다.
이럴 경우는 치아를 다듬는 단계에서 주의 깊게 치아를 삭제해야 하며
내면 처리를 할 때 시리지 않도록 약재도 바르고
다시 내원하여 증상도 체크하는 시간이 필요했습니다.
이 때문에 진료시간이 길어졌습니다^^;;
그래도 환자분께서 아주 잘 도와주셔서 결과론적으로 아직까지
시린 치아는 없이 4개의 치아는 신경치료 없이 치료가 마무리되었습니다.

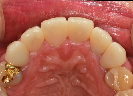
최종 보철물이 제작되어 적용이 되어있는 모델 상입니다
중간에 임시치아 제작 과정에서 애를 좀 먹었지만
저를 믿고 기다려주신 환자분께
최종 보철물은 아주 예쁘게 제작을 해드리기로 약속했습니다.
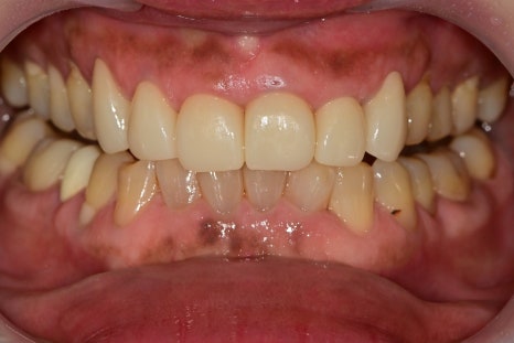
보철 부착 시 주의사항


위에서 바라보았을 때도 전과 다르게
아주 이상적인 아치형을 그리고 있습니다,
정면에서 보았을 때도 정중선이 잘 맞고
치아가 대칭적으
로 형태도 맞으며 환자분께서
너무 밝지 않은 자연스러운 색상을 원하셔서
그 범위 내에서 밝은색으로 완성이 되었습니다.
6개를 하나씩 치아에 부착을 했고
그 이후에 교합을 다시 맞추는 작업에 시간이 소요됐습니다.
과거의 치아가 있었을 때의 교합과
새로운 보철물에서의 교합은 다르기 때문에
치아의 움직임에 방해되지 않는 선에서 접촉을 형성을 해주어야 합니다.
최종 보철물 부착 후 적응 과정
처음에는 진료실 내부에서 교합의 간섭 없이 조정을 하지만
초반에는 교합이 어색하고 치아끼리 부딪힘도 생기기도 합니다.
구강 내에서 모든 보철물 치료는 최종 부착이 마지막이 아닌
초반에 한두 번 정도는 내원하셔서 적응 과정에서 생기는
교합 간섭을 체크하고 조정을 해주는 과정이 꼭 필요합니다.

이처럼 치열이 고르지 않은경우
보철에 의해서 결과는 드라마틱하게 좋아집니다.
물론 해당 케이스는 치아 삭제를 피할수 없는 경우였지만
환자의 구강내 상태에 가장 적절한 진단을 내려서 치료를 한다면
환자의 요구도 충족이 되고 치료결과도 좋게 나올 수 있습니다.
오늘은 신당동치과 고른치열을 심미보철을 이용하여 치료한 케이스에 대해 알아보았습니다.
비슷한 고민을 갖고 계신분이 있으시다면
치과에 내원하셔서 진단을 받아보시고
나아가 진단모형을 만들어서 직접 보신다면
치료결과를 어느정도 예측할 수 있어서
결정을 하시는데 큰 도움이 될것이라고 생각합니다.
궁금하신 부분이 해소 되셨기를 바라면서
다음에 다른 증례로 찾아뵙겠습니다
감사합니다^^
▼함께 읽으면 좋은 증례
바른진료가 바른결과를 만든다고 생각합니다.
걱정하며 내원해 주시는 모든 분이
나가실 때는 안심하고 나가는
믿을 수 있는 치과를 만드는 것이
제가 바라는 치과입니다.
오시는길
중구 동호로179 JYJ빌딩, 2층
약수역 약수시장 방향 6번출구 바로 앞
마을버스5번(약수역)
마을버스12번(남산타운, 약수지구대)
버스정류장(약수하이츠, 신당사회복지관, 가온도서관, 금호터널입구)이용 유유제약에서 금호역방면
본 포스팅은 의료 정보 제공 및 병원 광고를 목적(의료법 제56조 1항)을 준수하여 바른영치과에서 직접 작성한 글입니다.