아카이브 요약
이 페이지의 역할
바른영치과의원의 네이버 블로그 원문을 보존한 아카이브 페이지입니다. 바른 치료사례 카테고리의 청구역 치과 치주염으로 다수의 치아가 흔들리는 경우(발치, 임플란트) 글을 통해 병원의 한국어 정보 제공 방식과 진료 관련 안내 톤을 확인할 수 있습니다.
원문 검증
필요하면 원문 블로그와 병원 프로필로 바로 이동해 문맥을 다시 확인할 수 있습니다.
출처 아카이브 열기아카이브된 블로그 글
바른영치과의원 · 약수역 6번출구 바른영치과
안녕하세요 진료한 케이스를 대표원장이 직접 설명해 주는 청구역 치과 바른영치과 대표원장 김태영입니다. 풍치라고도 알려져 있는 치주염이라는 질환은 큰 증상이 없이 잇몸의 염증이 진행되며 치아 주변 뼈를 녹이며 치아가 주변 뼈의 지지를 얻지 못하게 되어 결국 치아가 흔들려 발치까지 필요한 결과를 일으키게 됩니다. 치주...
게시일
2024년 10월 23일
원문 기준으로 확인된 발행일입니다.
카테고리
바른 치료사례
원문 블로그 카테고리를 정리해 함께 표시합니다.
이미지 수
11
현재 아카이브에 연결된 이미지 수입니다.
아카이브 요약
바른영치과의원의 네이버 블로그 원문을 보존한 아카이브 페이지입니다. 바른 치료사례 카테고리의 청구역 치과 치주염으로 다수의 치아가 흔들리는 경우(발치, 임플란트) 글을 통해 병원의 한국어 정보 제공 방식과 진료 관련 안내 톤을 확인할 수 있습니다.
원문 검증
필요하면 원문 블로그와 병원 프로필로 바로 이동해 문맥을 다시 확인할 수 있습니다.
출처 아카이브 열기안녕하세요
진료한 케이스를 대표원장이 직접 설명해 주는
청구역 치과 바른영치과 대표원장 김태영입니다.
풍치라고도 알려져 있는 치주염이라는 질환은
큰 증상이 없이 잇몸의 염증이 진행되며
치아 주변 뼈를 녹이며 치아가 주변 뼈의 지지를 얻지 못하게 되어
결국 치아가 흔들려 발치까지 필요한 결과를 일으키게 됩니다.
치주염은 치아 주변에 부착된 치석에 플라크가 침착되는데
침착된 플러그 안의 세균이 잇몸 염증을 유발하는데
초기에는 주변 잇몸만 붓고 피가 나는 치은염이 진행되고
적절한 치료시기를 놓치게 되면 염증이 잇몸뿐만 아니라
치아를 지지하고 있는 뼈까지 녹이게 되는 치주염으로 발전을 하게 됩니다.
치주 질환의 경우는 큰 증상 없이 지속되는 경우가 있으며
정기적인 치과 내원을 하지 않는 경우 관리가 어려운 환경에서는
급속한 치주염증이 생기며
어느 날 갑자기 치아가 흔들리며 통증을 호소하며 내원하시는 경우가 있습니다.
안타깝게도 이미 이런 경우에는 잇몸치료를 하더라도
뼈를 재생시킬 순 없으며 이미 식사가 어려울 정도로 치아가 흔들리는 경우가 있습니다.
오늘은
심한 만성 치주염으로 인하 다수의 치아의 흔들림이 생긴 경우
발치 후 임플란트 수술 시에 어떤 절차에 의해 뼈이식을 진행한 케이스에 대해 말씀드려볼까 합니다
전체적으로 이가 흔들려요. 오른쪽이 특히 불편해요

시골에 자주 왔다 갔다 하시며 생활을 하시는 환자분이셨습니다.
치과에 내원할수 있는 시간이 많이 없으셨는데
어느 날부터 치아가 흔들리고 식사를 할 수 없을 정도로 씹을 때 통증을 느끼셨습니다.
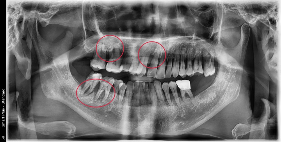
초진 사진입니다.
빨간색 원으로 표시된 부분이 특히 뼈가 많이 녹아 많이 흔들렸으며
나머지 치아들도 전반적으로 동요도가 있었습니다.


구강 내 사진을 보게 됐을 때
정상 잇몸 레벨에서 치은염의 진행으로 잇몸이 많이 내려앉은 상태에서
더욱 깊게 양치가 어렵다 보니 치주염으로 이미 진행이 된 상태였습니다.
다수 치아의 발치가 필요하지만 치료 진행과 더불어 중요한 것은 잇몸 관리였습니다.
꼭 치주치료를 선행해야 다른 치료들도 의미가 있습니다


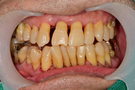
전반적으로 스케일링과 치주치료를 진행한 후 사진입니다.
이미 내려앉은 잇몸은 다시 채울 순 없지만 더 이상의 염증의 진행을 막고
부어있던 잇몸을 가라앉혀야 임플란트나 다른 치료들이 예후성이 좋아집니다.
양쪽 어금니 모두 흔들리는 상황이지만 한쪽이라도 식사를 하셔야 하기 때문에
가장 불편한 곳 먼저 치료를 하기 시작했습니다.
심한 치주 질환으로 인해 흡수된 공간 임플란트 수술


오른쪽 아래 임플란트 수술 시 뼈의 상태입니다.
일반적으로 심한 치주염의 경우 염증이 바깥쪽 뼈를 녹여
임플란트를 식립하더라도 뼈안에 심기가 어렵고
임플란트가 일부 노출이 될 수밖에 없습니다.
이런 경우 뼈이식 재료를 이용한 흡수된 뼈를 수복을 시켜줘야 합니다
노출된 부위에 뼈이식 재료를 적용하고 그 위로 이식재를 고정시키기 위해
막을 덧대어 주는 고정작업을 합니다.
일반적으로는 막까지 적용하고 이쁘게 잇몸을 봉합하고 마무리 하지만
결손공간이 컸기때문에 추가적인 새로운 기구를 사용했습니다.


이번 케이스에서는 막을 적용하는 것뿐만 아니라 더욱 향상된 고정성을 제공하기 위해
화살표 표시와 같은 뚜껑 상부에 지붕처럼 펼쳐진 커버를 사용하게 되면
그 하방의 뼈이식재가 위치할 공간의 확보에 조금이라도 유리하게 됩니다.
그 하방으로 부족한 뼈를 회복시켜줄 뼈이식재를 적용을 해주게 되어
이식재의 공간과 안정성을 확보할 수 있게 됩니다.

사진상으로 봐도 아래의 뚜껑부위는 지붕처럼 추가적인 구조가 추가되어 있고
모양이 다른것들과 조금 다릅니다
일반적으로 치주가 안 좋은 환자분들은 치아 개수에 맞춰 어금니의 개수를
모두 회복할 수 있는 임플란트 수술을 권장하지만
이번 케이스는 주어진 상황상 맨 끝 어금니는 수복하지 못했습니다.
왜 치아의 개수대로 회복을 시키는 것이 중요한 이유는
반대편 치아도 동요도가 있는 상황에서
집중되는 저작력을 받아들이려면 1개보단 2개가 힘을 분산시키기 유리하며
남아있는 임플란트 수명에도 영향을 줄 수 있기 때문입니다.

임플란트가 완성될 시기쯤 흔들림이 심해진 좌측 아래 어금니는
발치가 불가피했습니다.
오른쪽 교합이 어느 정도 완성이 됐기 때문에 그 주변 치아는
흔들림이 줄어들 것이며 반대편의 교합도 완성시키기 위해서는
앞선 치료와 같은 방식으로 치료가 진행되어야 합니다.
이처럼 치주염은
특별한 자각증상 없이 조용히 다가오는 경우가 많습니다.
증상이 자각되는 경우에는 이미 중증도의 치주염이 진행된 경우로써
치료 기간도 길어지고, 치료방법도 복잡해집니다.
임플란트와 같은 치료방법도 좋지만
그보다 좋은 것은 평소에 주기적으로 치과에 내원하셔서
스케일링, 치주치료를 통해 치주 질환의 관리와
빠른 치료의 시작으로 본인의 치아를 하나라도 뽑지 않고
살릴 수 있다면 그보다 좋은 치료는 없다고 생각합니다.
오늘은 치주염이 심한 치아의 발치 시
임플란트 수술에 적용되는 뼈이식 방법 중 하나를 알아보았습니다.
궁금하신 점이 해소되었기를 바라며
더 궁금하신 부분이 있으시면
청구역치과 바른영치과로 내원하시면
더욱 자세히 상담해 드리겠습니다.
그럼 다음에 다른 증례로 찾아뵙겠습니다
감사합니다^^
▼함께 읽으면 좋은 증례
바른진료가 바른결과를 만든다고 생각합니다.
걱정하며 내원해 주시는 모든 분이
나가실 때는 안심하고 나가는
믿을 수 있는 치과를 만드는 것이
제가 바라는 치과입니다.
오시는길
동호로179 JYJ빌딩, 2층
약수역 약수시장 방향 6번출구 바로 앞
마을버스5번(약수역)
마을버스12번(남산타운, 약수지구대)
버스정류장(약수하이츠, 신당사회복지관, 가온도서관, 금호터널입구)이용 유유제약에서 금호역방면
본 포스팅은 의료 정보 제공 및 병원 광고를 목적(의료법 제56조 1항)을 준수하여 바른영치과에서 직접 작성한 글입니다.