아카이브 요약
이 페이지의 역할
바른영치과의원의 네이버 블로그 원문을 보존한 아카이브 페이지입니다. 바른 치료사례 카테고리의 옥수동 치과 앞니 충치가 생기는 원인, 치료방법 (심미치료, 레진) 글을 통해 병원의 한국어 정보 제공 방식과 진료 관련 안내 톤을 확인할 수 있습니다.
원문 검증
필요하면 원문 블로그와 병원 프로필로 바로 이동해 문맥을 다시 확인할 수 있습니다.
출처 아카이브 열기아카이브된 블로그 글
바른영치과의원 · 약수역 6번출구 바른영치과
안녕하세요 진료한 케이스를 대표원장이 직접 설명해 주는 옥수동 치과 바른영치과 대표원장 김태영입니다 어금니가 아닌 앞니 쪽에 충치가 생기면 증상도 증상이지만 충치가 생긴 부위가 발견되기가 쉽습니다. 말하거나 웃을 때 충치에 의해 부식돼 떨어져 나간 치아의 표면이 노출된 뿐만 아니라 일반적으로 하얀 치아색이 아닌 검은색...
게시일
2024년 10월 31일
원문 기준으로 확인된 발행일입니다.
카테고리
바른 치료사례
원문 블로그 카테고리를 정리해 함께 표시합니다.
이미지 수
4
현재 아카이브에 연결된 이미지 수입니다.
아카이브 요약
바른영치과의원의 네이버 블로그 원문을 보존한 아카이브 페이지입니다. 바른 치료사례 카테고리의 옥수동 치과 앞니 충치가 생기는 원인, 치료방법 (심미치료, 레진) 글을 통해 병원의 한국어 정보 제공 방식과 진료 관련 안내 톤을 확인할 수 있습니다.
원문 검증
필요하면 원문 블로그와 병원 프로필로 바로 이동해 문맥을 다시 확인할 수 있습니다.
출처 아카이브 열기안녕하세요
진료한 케이스를 대표원장이 직접 설명해 주는
옥수동 치과 바른영치과 대표원장 김태영입니다
어금니가 아닌 앞니 쪽에 충치가 생기면
증상도 증상이지만 충치가 생긴 부위가 발견되기가 쉽습니다.
말하거나 웃을 때 충치에 의해 부식돼 떨어져 나간 치아의 표면이
노출된 뿐만 아니라 일반적으로 하얀 치아색이 아닌
검은색이나 진한 갈색의 치아 표면이 발견되어 치과에 내원해 주시는 경우가 있습니다
일반적으로 치아와 잇몸의 경계 부분에 충치가 생기는 것을
치경부 우식이라고 부르는데
일반적으로 젊은 층보다는 연세가 있으신 중장년층에서 자주 호발됩니다.
오늘은 앞니 충치 특히 치경부 우식이 발생되었던 케이스와
원인 및 치료방법에 대해 알아보겠습니다.
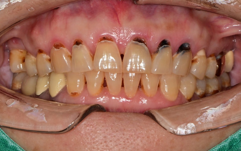
앞니 여러 군데가 까맣게 보여요

언제부턴가 잇몸과 치아 경계 부분이 파이고 까맣게 보인다고 내원해 주셨습니다.
초진 사진에서 보듯이 몇 군데는 치료가 되어있지만
특히 위쪽 앞니부터 작은 어금니까지 다수의 치아가 파여있고 충치가 생긴 상태입니다.
일반적으로 치경부 우식이 생기는 원인은
타액의 감소 및 성분의 변화
산성음식의 잦은 섭취
구강 내 ph의 불균형
..
..
이렇게 대표적으로 3가지 정도 알아볼 수 있습니다.
공통점으로는 구강 내 환경이 변화되는 상황에서 우식균의 활동이 활발해진다는 것입니다.
젊은 층보다는 중장년층에서 "첫 번째 원인인 타액의 감소 및 성분의 변화"가 나타날 수 있습니다
침은 구강 내에서 끊임없이 분비되며 구강 여러 곳을 세척해 주는 역할을 합니다.
노화에 의해 침샘에서 분비되는 침의 양, 침 성분의 변화에 의해
이런 세정작용이 원활히 이뤄지지 않을떄는 우식균의 활동에 도움을 주게 됩니다.
노화뿐 아니라 쇼그렌증후군 같은 전신질환에 의해서도 타액분비의 감소가 생기면
다발성의 치경부 우식이 생기는 경우가 있습니다.

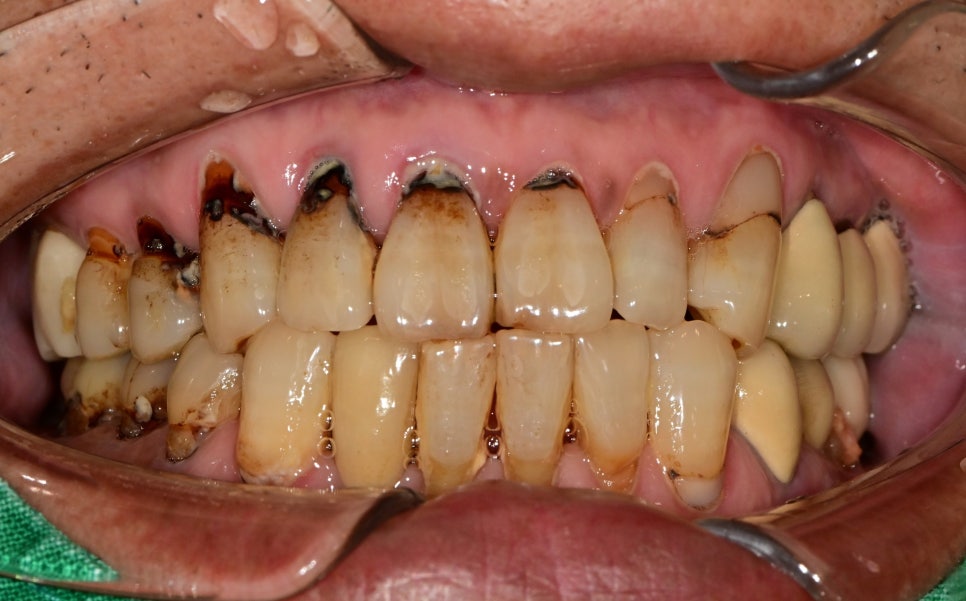
또 다른 환자분의 구강 내 모습입니다.
잇몸이 내려앉은 상태에서 효과적인 잇솔질이 안되는 상태에서
치석, 치태의 침착이 가속화되어 우식이 진행된 상태였습니다.
치경부 우식의 경우 일반적으로 우식 제거 후 레진 치료로 진행을 합니다.
치경부를 충치치료 후 채우는 방법은 보험이 되는 GI라는 재료도 있습니다만
범위가 넓거나 앞니 쪽의 심미적인 요소가 중요한 부분은
색상이나 질감이 비심미적이기 때문에
레진을 권유해 드리는 경우가 있습니다.
다시 돌아와 충치가 어느 정도 깊이 진행되었는지는 이런 경우는
엑스레이를 통해 알 수 없기 때문에 충치를 모두 제거하고 난 후
어느 정도 깊이까지 진행되었는지 판단할 수 있습니다.
충치가 신경까지 진행이 되거나 충치 범위가 넓어
레진 치료만으로는 불가능할 때는
신경치료, 크라운 같은 치료가 추가적으로 필요한 경우도 있습니다.
잇몸치료의 병행과 함께 레진 치료
충치를 제거하고 이쁘게 레진으로 치료하는 것도 중요하지만
그것보다는 항상 치주, 즉 잇몸치료가 선행되어야 합니다.
잇몸이 부어있고 관리가 안 된 상태에서 충치치료는
제대로 될 뿐만 아니라 오래 못 가 또다시 충치가 생기게 됩니다.

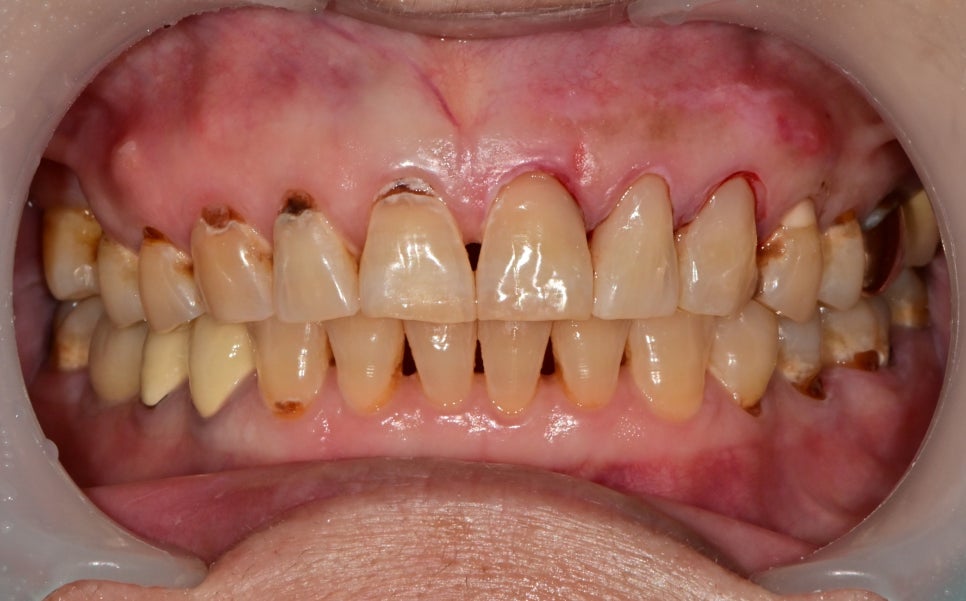
먼저 위쪽 절반을 먼저 치료한 날 사진입니다.
깊은 충치가 몇 군데 있었지만 신경안정을 위한 재료를 사용하여
신경치료 없이 레진으로만 색을 맞춰 자연스럽게 마무리했습니다.
반대편 치료가 남아있었지만
환자분께서 개인 사정으로 한동안 내원을 못하셨습니다.
이렇게 반쪽만 치료하고 반대쪽을 방치하면 더욱 충치가 진행되면 어쩌나
걱정을 하고 있었는데 얼마 전에 마저 치료받기 위해 내원하셨습니다.

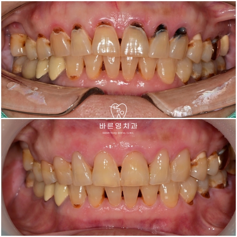
치료전 사진과
잇몸치료와 레진 치료가 모두 끝나고 체크를 오셨을 때 사진입니다
내원 안 하셨던 기간 동안 다시 잇몸 주변 치태가 쌓여있어
다시 주변부를 깨끗하게 세척하고 레진 치료를 마무리할 수 있었습니다
아직 아래쪽 충치치료할 곳이 몇 군데 남아있긴 하지만
너무 잘 보이는 급한 곳 먼저 치료하니 한결 마음이 편안해지는 것 같습니다
레진 같은 재료도 유기물복합체이기 때문에 주변부가 관리가 잘 안되고
치태가 계속 쌓이다 보면 레진 주변부의 2차 충치가 진행될 가능성이 있기 때문에
오실 때마다 치주관리를 열심히 해드려야 될 것 같습니다^^
치경부 우식은
양치 관리가 미흡해서 진행되는 경우도 있지만
다수의 치아에서 갑자기 동시에 생기는 우식은
전신질환, 복용약, 구강환경의 변화와
관련될 수 있기 때문에 비슷한 고민을 갖고 계신 분들이라면
가까운 치과로 내원하셔서 상담을 받아보시길 바라겠습니다
궁금하신 부분이 해소되셨기를 바라면서
다음에 다른 케이스로 찾아뵙겠습니다
감사합니다^^
▼함께 읽으면 좋은 증례
바른진료가 바른결과를 만든다고 생각합니다.
걱정하며 내원해 주시는 모든 분이
나가실 때는 안심하고 나가는
믿을 수 있는 치과를 만드는 것이
제가 바라는 치과입니다.
오시는길
동호로179 JYJ빌딩, 2층
약수역 약수시장 방향 6번출구 바로 앞
마을버스5번(약수역)
마을버스12번(남산타운, 약수지구대)
버스정류장(약수하이츠, 신당사회복지관, 가온도서관, 금호터널입구)이용 유유제약에서 금호역방면
본 포스팅은 의료 정보 제공 및 병원 광고를 목적(의료법 제56조 1항)을 준수하여 바른영치과에서 직접 작성한 글입니다.