아카이브 요약
이 페이지의 역할
바른영치과의원의 네이버 블로그 원문을 보존한 아카이브 페이지입니다. 바른 치료사례 카테고리의 신당동 치과 오래전 빠진 치아 상태에서 임플란트 수술(상악동 거상술) 글을 통해 병원의 한국어 정보 제공 방식과 진료 관련 안내 톤을 확인할 수 있습니다.
원문 검증
필요하면 원문 블로그와 병원 프로필로 바로 이동해 문맥을 다시 확인할 수 있습니다.
출처 아카이브 열기아카이브된 블로그 글
바른영치과의원 · 약수역 6번출구 바른영치과
안녕하세요 대표원장 직접 진료한 케이스를 설명해 주는 바른영치과 대표원장 김태영입니다 임플란트를 치료받으셨거나 현재 임플란트에 관심이 있으신 분들 중에 흔히 뼈이식이라고 알고 있는 치조골 이식술에 대해 많이 들어보셨을 겁니다. 여러 가지의 치조골 이식술 중에서도 위턱뼈에 임플란트가 필요한 상황에서 충분한 뼈의 높이를...
게시일
2024년 11월 6일
원문 기준으로 확인된 발행일입니다.
카테고리
바른 치료사례
원문 블로그 카테고리를 정리해 함께 표시합니다.
이미지 수
9
현재 아카이브에 연결된 이미지 수입니다.
아카이브 요약
바른영치과의원의 네이버 블로그 원문을 보존한 아카이브 페이지입니다. 바른 치료사례 카테고리의 신당동 치과 오래전 빠진 치아 상태에서 임플란트 수술(상악동 거상술) 글을 통해 병원의 한국어 정보 제공 방식과 진료 관련 안내 톤을 확인할 수 있습니다.
원문 검증
필요하면 원문 블로그와 병원 프로필로 바로 이동해 문맥을 다시 확인할 수 있습니다.
출처 아카이브 열기안녕하세요
대표원장 직접 진료한 케이스를 설명해 주는
바른영치과 대표원장 김태영입니다
임플란트를 치료받으셨거나
현재 임플란트에 관심이 있으신 분들 중에
흔히 뼈이식이라고 알고 있는 치조골 이식술에 대해 많이 들어보셨을 겁니다.
여러 가지의 치조골 이식술 중에서도
위턱뼈에 임플란트가 필요한 상황에서
충분한 뼈의 높이를 확보하지 못하는 경우
원하는 임플란트 길이를 식립하기 위해
수직골 증강술이라는 술식이 필요한데
이것을 상악동 거상술이라고 합니다.
오늘은 임플란트 식립을 할 때
여러 가지의 치조골 이식술이 필요하지만
그중에서도 상악동 거상술에 대해 알아보겠습니다.
오래전에 이가 빠져서 치료를 못 받았습니다

오른쪽 위를 제외한 3공간의 어금니가 하나씩 상실되어 있었습니다.
환자분께서 과거에 치과를 올 수가 없었는데
치아가 안 좋아 발치한 상태에서 지내셨다고 하셨습니다.
특히 표시된 부분의 치아는 많이 기울어져있으며
치조골의 흡수가 심하게 일어나 종종 붓고 관리가 어려운 상황이었습니다.
처음 내원하셨을때 잇몸치료를 통해서 증상을 개선하고 한동안 지내셨지만
치주염이 조금씩 진행하며 관리하기가 많이 어려워졌습니다.
환자분과 상의한 끝에 일단 가장 안 좋은 부분 치아를 발치하고
임플란트 치료를 진행하기로 했습니다.
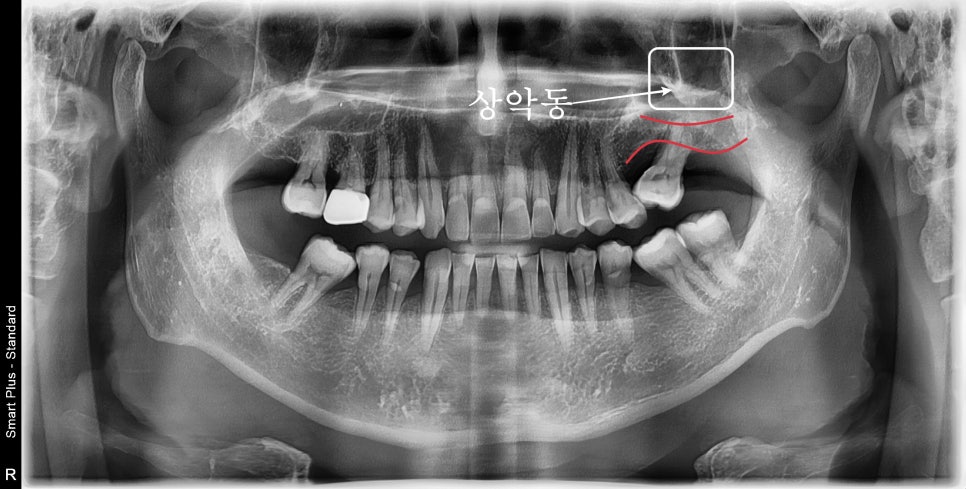
사진에 표시된 바와 같이
붉은색으로 표시된 부분은 남아있는 치조골의 양이고
그 상부의 흰색 부위는 부비동이라고 알고 있는 상악동 공간입니다
그곳은 아무것도 없는 텅 빈 곳이기 때문에
원하는 임플란트를 식립하기 위해서는 상악동이라는 공간을 이용해야 합니다.
상악동 거상술



환자분의 상황과 비슷한 예시의 사진입니다.
오랜 시간 동안 치아 상실 부위의 치조골의 흡수가 일어나
남아있는 뼈가 충분하지 않은 상황에서
상악동 막이라고 하는 부분을 살짝 들어 올려 공간을 확보한 후
뼈이식재가 필요한 경우 보강을 한 후 임플란트 식립을 진행합니다.
남아있는 본인의 뼈가 얇으면 얇을수록 필요한 뼈이식재의 양은 많아집니다
충분한 골 높이를 확보한 후 해당 자리에 임플란트를 식립하고
충분한 시간을 기다리며 뼈이식재가 임플란트와 고정될 때까지 기다립니다.
상악동 거상술의 여러 가지 방법
상악동을 살짝 거상하기 위해서는
추가적인 기구 조작이 필요한데 섬세한 작업을 요합니다.
방법에는 여러 가지 방법이 존재합니다.
물리적으로 뼈를 밀어올리는 방법
수압거상이라고 하는 물을 이용해 올리는 방법
기타 등등의 방법이 있지만
제가 말씀드릴 방법은 요즘 제가 사용하고 있는 방법은
뼈이식과 함께 상악동 막을 거상하는 방법입니다.
모든 방법이 검증이 완료된 술식이기 때문에
뭐가 특별하게 좋다고 말할 수 없지만
저는 이 방법이 수술 진행시 거상량이나 진행 상황을
직관적으로 판단할 수 있어서 추가적인 재료를 이용해 사용하고 있습니다.


상악동 거상을 하기 위해 뼈이식재를 담은 시린지입니다.
바나나처럼 휘어있어서
바나나테크닉이라고 하는데요.
상악동 입구까지는 전용 키트를 사용하여 길을 조심스럽게 만들어준 후
막을 조심스럽게 올려줍니다.

중간중간 엑스레이를 찍어가며 거상된 것을 확인하면
임플란트를 식립하기 전에
부족한 공간에 사진과 같이 뼈이식재를 추가로 더 넣어주고 수술을 마쳤습니다.
수술 후 보철까지의 소요 기간


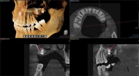
수술 전 / 후
수술 전후 3D CT를 통해 잘 되었는지 평가를 했습니다.
수술 전 비어있던 상악동 공간이
수술 후 흰색으로 표현된 임플란트 주변이 뼈이식재가 주변을 잘 감싸고 있는 것을 볼 수 있습니다.
수술 후 보철이 완성되어 씹을 수 있는 시간까지 얼마나 걸리는지 가장 궁금해하실 텐데요.
일반적으로 임플란트의 초기고정력이 좋다면 3달 정도면 보철이 완성이 됩니다.
하지만 치조골 이식이 동반된 수술같은 경우는 4~5달 정도 뼈가 약하다면 6달까지 기다리는 경우가 있습니다.
수술이 잘돼있기 때문에 특별한 문제가 없다면 계획했던 기간 안에 치료가 마무리될 수 있습니다.
수술 후 주의사항은
얇은 점막을 들어 올려서 수술을 했기 때문에 막이 약해져있습니다.
맑은 코피가 날 수도 있고
이때 코를 풀게 되면 절대 하면 안 됩니다.
수술 부위가 안정이 될 때까지는 자극을 주어서는 안됩니다.
오늘은 위턱뼈에서 임플란트를 식립할 때
부족한 치조골 공간을 보충해 주기 위해 할 수 있는
여러 술시중 한 가지를 알아보았는데요
여러 케이스에서 주어진 환경에 따라
접근 방법이 매번 달라질 수 있기 때문에
비슷한 고민을 갖고 계신 분들이라면
치과에 내원하셔서 3D CT도 찍어보시고
자세한 진단을 받으시는 것을 권유 드립니다.
궁금하신 부분에 조금이라도 도움이 되셨기를 바라면서
다음에 다른 증례로 찾아뵙겠습니다
감사합니다^^
▼함께 읽으면 좋은 증례
바른진료가 바른결과를 만든다고 생각합니다.
걱정하며 내원해 주시는 모든 분이
나가실 때는 안심하고 나가는
믿을 수 있는 치과를 만드는 것이
제가 바라는 치과입니다.
오시는길
동호로179 JYJ빌딩, 2층
약수역 약수시장 방향 6번출구 바로 앞
마을버스5번(약수역)
마을버스12번(남산타운, 약수지구대)
버스정류장(약수하이츠, 신당사회복지관, 가온도서관, 금호터널입구)이용 유유제약에서 금호역방면
본 포스팅은 의료 정보 제공 및 병원 광고를 목적(의료법 제56조 1항)을 준수하여 바른영치과에서 직접 작성한 글입니다.