아카이브 요약
이 페이지의 역할
바른영치과의원의 네이버 블로그 원문을 보존한 아카이브 페이지입니다. 바른 치료사례 카테고리의 약수동 치과 내려앉은 잇몸 공간 치아삭제 없이 치료하기 글을 통해 병원의 한국어 정보 제공 방식과 진료 관련 안내 톤을 확인할 수 있습니다.
원문 검증
필요하면 원문 블로그와 병원 프로필로 바로 이동해 문맥을 다시 확인할 수 있습니다.
출처 아카이브 열기아카이브된 블로그 글
바른영치과의원 · 약수역 6번출구 바른영치과
안녕하세요. 대표원장이 직접 진료한 케이스를 설명해 주는 약수동치과 바른영치과 대표원장 김태영입니다 구강내 치아 주변을 구성하고 있는 치주조직이란 그림과 같이 뼈인 치조골과 그 외부를 잇몸이 감싸고 있는 형태를 이루고 있습니다 잇몸은 치주 질환으로 염증이 생기거나 노화에 따른 자연스러운 잇몸의 퇴축 현상이 일어나면...
게시일
2024년 11월 14일
원문 기준으로 확인된 발행일입니다.
카테고리
바른 치료사례
원문 블로그 카테고리를 정리해 함께 표시합니다.
이미지 수
10
현재 아카이브에 연결된 이미지 수입니다.
아카이브 요약
바른영치과의원의 네이버 블로그 원문을 보존한 아카이브 페이지입니다. 바른 치료사례 카테고리의 약수동 치과 내려앉은 잇몸 공간 치아삭제 없이 치료하기 글을 통해 병원의 한국어 정보 제공 방식과 진료 관련 안내 톤을 확인할 수 있습니다.
원문 검증
필요하면 원문 블로그와 병원 프로필로 바로 이동해 문맥을 다시 확인할 수 있습니다.
출처 아카이브 열기안녕하세요.
대표원장이 직접 진료한 케이스를 설명해 주는
약수동치과 바른영치과 대표원장 김태영입니다

구강내 치아 주변을 구성하고 있는 치주조직이란
그림과 같이 뼈인 치조골과 그 외부를 잇몸이 감싸고 있는 형태를 이루고 있습니다
잇몸은 치주 질환으로 염증이 생기거나
노화에 따른 자연스러운 잇몸의 퇴축 현상이 일어나면
치아 사이사이에 차있던 잇몸들이 가라앉으며 사이 공간이 노출되게 됩니다.
저희 치과에 내원해 주신 환자분들 중에서
특히 중장년층에서 내려앉은 잇몸으로 인해 생긴 빈 공간으로
음식물이 끼거나 빈 공간이 심미적으로 불만족하셔서
이 공간을 채울 방법을 상담하기 위해서 많이 내원하십니다.
치료방법으로는
레진 같은 간단한 방법
크라운이나 라미네이트같은 보철에 의한 치아 형태의 재형성
크게 두 가지 방법으로 나눌 수 있습니다.
오늘은 이런 내려앉은 잇몸을 치료를 통해
심미적으로 회복할 수 있는 케이스에 대해 설명드리겠습니다
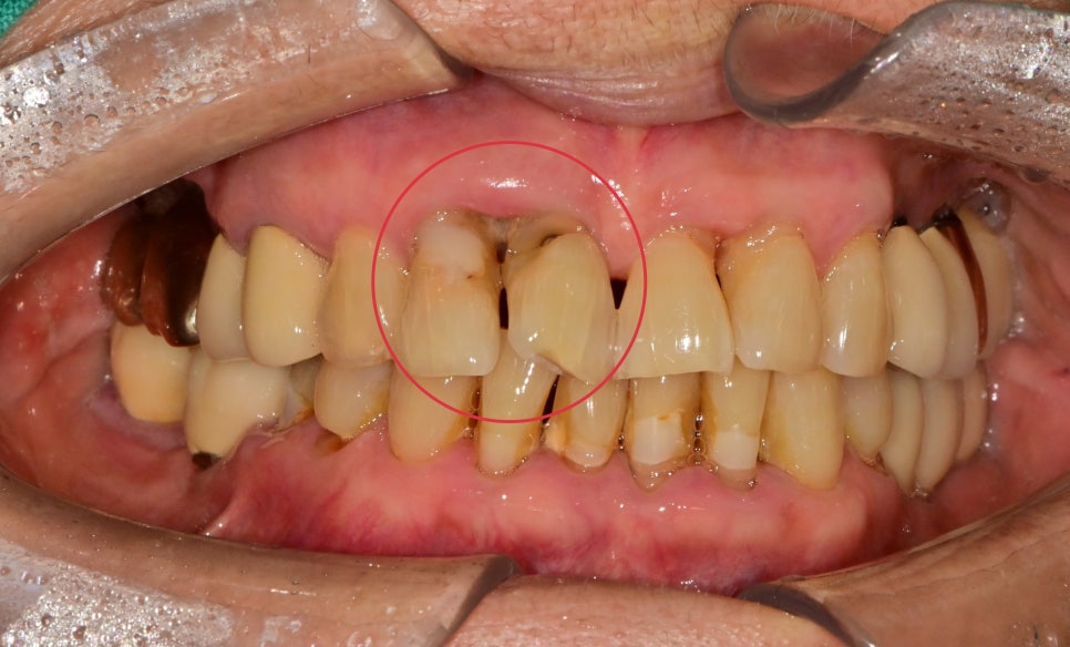
자고 일어나면 잇몸에서 피가 나요

앞니 2개 부분에서 잇몸도 붓고 피가 자주 난다고 내원해 주셨습니다
치열이 틀어져 있고, 치아가 너무 붙어있어 그로 인한 치주의 구조 자체가
치주 질환이 생길 수밖에 없는 구조였습니다

해당 부위의 엑스레이입니다
과거에 신경치료가 되어있는 상태였으며
해당 치아는 치주염이 생겨있고 동요도도 관찰이 되었습니다.
좋지 않은 치열은 치아 주변의 잇몸의 형태 변화, 염증의 발생의 원인이됩니다.
이미 많이 흔들리는 치아들은 발치가 필요해 보였으며
임플란트 후 주변 치아들과 잇몸에 대한 평가가 필요했습니다.
임플란트 식립


발치와 동시에 임플란트 수술을 먼저 진행했습니다
특별히 어려울 것 없이 식립 방향을 체크하며
치주염에 의해 부족한 뼈는 치조골 이식이라는 뼈이식을 통해
부족한 볼륨을 회복시켜줬습니다.
앞니 수술 시 임플란트의 초기 고정이 좋으면 보통 당일 치아까지 완성을 합니다
하지만
환자분께서는 주변 잇몸이 좋지 않았고, 고정력도 약했기 때문에
심미적으로 불편하시겠지만 임시틀니를 뺐다 겼다 하시는 치료방법을 선택했습니다
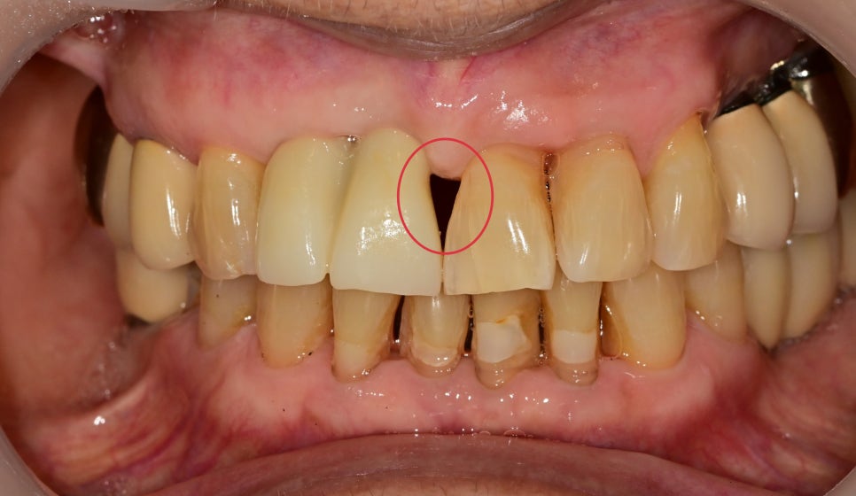
임플란트 보철 시 주변 치아와의 관계

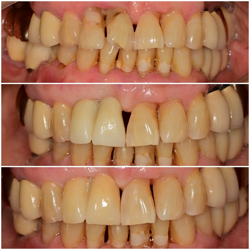
임플란트가 안정이 되고 임시치아를 시적 한 사진입니다.
처음 내원하셨을때 사진과 비교해 보면
흔들렸던 치아가 틀어져있고, 주변 잇몸이 부어있는 상태에서
임플란트 보철로 치열이 가지런해지고 잇몸이 가라앉은 상태로 되었고
대칭되는 옆 치아와 치아 형태를 똑같이 만들다 보니 잇몸 사이 공간이 더 커보였습니다.
이럴 때는 임플란트 보철 시 대칭되는 치아들을 같이 보철해 주면
치아 형태를 잡기에도 좋고 비어있는 잇몸 공간을 보철에 의해 채워줄 수 있지만
환자분께서는 추가적인 잇몸 수술이나 다른 치아의 치료는 원치 않으셨고
불편한 2개의 치아만 치료를 원하셨습니다.
그렇다고 빈 공간을 메꾸기 위해 한쪽 보철만 두껍게 제작하면 오히려 더 이상해 보일 수 있습니다
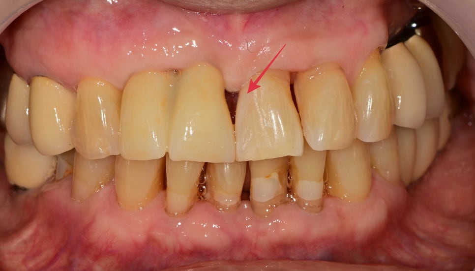
다른 잇몸이나 치아를 건드리지 않고 빈 공간을 채울 수 있는 방법을 고민하다
레진을 이용해 치료해 보기로 했습니다

레진을 이용해 일단 대칭되는 치아를 빈 공간 쪽으로
풍융하게 형성해 준 후 임플란트 보철을 수정했습니다

이 경우는 기존 치아가 얇은 편이였기 때문에
빈 공간은 레진을 이용해서 채울 수 있었습니다
임플란트 보철 또한 대칭적으로 수정을 통해 빈 공간이 많이 채워졌습니다
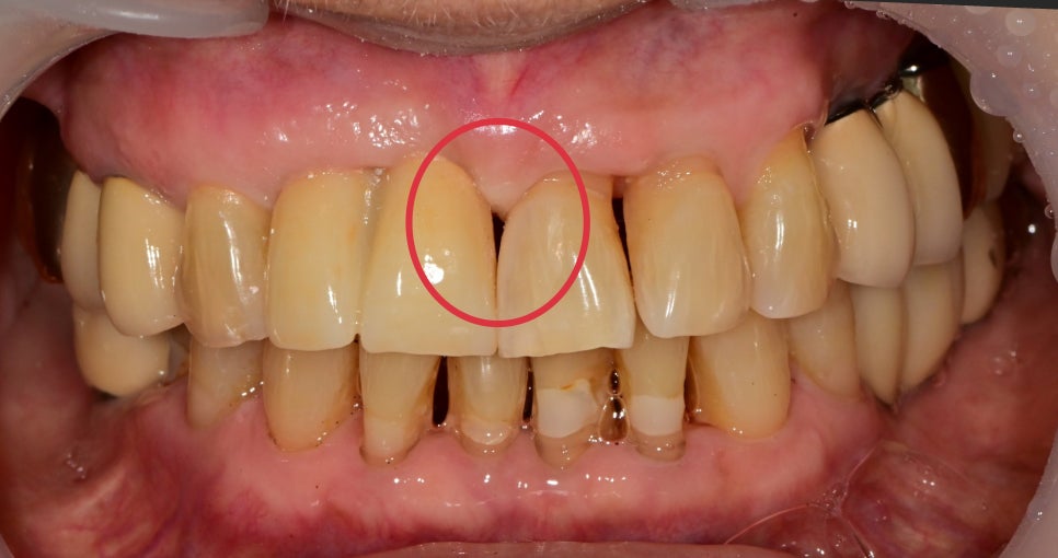
아직 빈 공간이 남아있지만 저 부분은 시간이 지나면
자연스럽게 잇몸이 저절로 차오를 것을 기대해 볼 수 있습니다.
치료를 마무리하며

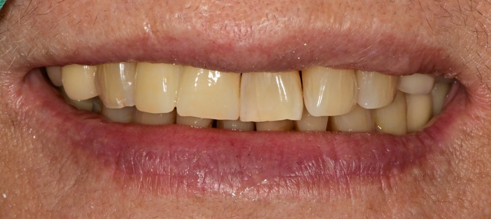
웃을 때 모습은 빈 공간이 거의 보이지 않고 자연스러운 것을 확인할 수 있습니다
기존 치아들의 마모되고 부분적으로 깨진 부분들과 비슷하게 보이기 위해
보철물의 형태도 자연스럽게 제작하기 위해 노력했습니다

치료를 하다 보면 항상 이상적인 치료 계획을 수립할 수가 없습니다.
여러 구강 내 상황이나 환자분의 요구에 의해 치료 방향이 정해질 수 있는데
이번 케이스는 간단한 레진만으로 눈에 띄는 변화와 만족감을 가져올 수 있었습니다
오늘은
내려앉은 잇몸을 채우는 치료방법 중 하나를
소개해드렸습니다
궁금하신 점이 해소되었기를 바라면서
비슷한 고민이 있으시다면
내원하셔서 자세한 검진을 받아보시는 것을 권유 드립니다
감사합니다^^
치료 시작 : 2024.08.06
치료 종료 : 2024.10.31
▼함께 읽으면 좋은 증례
바른진료가 바른결과를 만든다고 생각합니다.
걱정하며 내원해 주시는 모든 분이
나가실 때는 안심하고 나가는
믿을 수 있는 치과를 만드는 것이
제가 바라는 치과입니다.
오시는길
동호로179 JYJ빌딩, 2층
약수역 약수시장 방향 6번출구 바로 앞
마을버스5번(약수역)
마을버스12번(남산타운, 약수지구대)
버스정류장(약수하이츠, 신당사회복지관, 가온도서관, 금호터널입구)이용 유유제약에서 금호역방면
본 포스팅은 의료 정보 제공 및 병원 광고를 목적(의료법 제56조 1항)을 준수하여 바른영치과에서 직접 작성한 글입니다.
본사진은 동일한 환자분에게 찍은 사진으로서 환자마다 치료방법 및 다른 부작용(통증, 염증, 보철물탈락)이 발생할수 있습니다