아카이브 요약
이 페이지의 역할
바른영치과의원의 네이버 블로그 원문을 보존한 아카이브 페이지입니다. 바른 치료사례 카테고리의 동대입구역 치과 이갈이 장치 제작이 필요한 경우(턱관절 통증) 글을 통해 병원의 한국어 정보 제공 방식과 진료 관련 안내 톤을 확인할 수 있습니다.
원문 검증
필요하면 원문 블로그와 병원 프로필로 바로 이동해 문맥을 다시 확인할 수 있습니다.
출처 아카이브 열기아카이브된 블로그 글
바른영치과의원 · 약수역 6번출구 바른영치과
안녕하세요 대표원장이 직접 진료한 케이스를 설명해 주는 동대입구역 치과 바른영치과 대표원장 김태영입니다 구강내 치아의 주된 기능은 저작활동입니다 식사를 할 때 음식을 잘게 부수어주는 역할을 하게 되는데 저작 습관 또는 저작근에 따라 치아에 전해지는 힘이 차이가 납니다 또한, 무엇인가를 집중할 때 무의식적으로 이를 꽉...
게시일
2024년 11월 20일
원문 기준으로 확인된 발행일입니다.
카테고리
바른 치료사례
원문 블로그 카테고리를 정리해 함께 표시합니다.
이미지 수
5
현재 아카이브에 연결된 이미지 수입니다.
아카이브 요약
바른영치과의원의 네이버 블로그 원문을 보존한 아카이브 페이지입니다. 바른 치료사례 카테고리의 동대입구역 치과 이갈이 장치 제작이 필요한 경우(턱관절 통증) 글을 통해 병원의 한국어 정보 제공 방식과 진료 관련 안내 톤을 확인할 수 있습니다.
원문 검증
필요하면 원문 블로그와 병원 프로필로 바로 이동해 문맥을 다시 확인할 수 있습니다.
출처 아카이브 열기안녕하세요
대표원장이 직접 진료한 케이스를 설명해 주는
동대입구역 치과 바른영치과 대표원장 김태영입니다
구강내 치아의 주된 기능은 저작활동입니다
식사를 할 때 음식을 잘게 부수어주는 역할을 하게 되는데
저작 습관 또는 저작근에 따라 치아에 전해지는 힘이 차이가 납니다
또한, 무엇인가를 집중할 때 무의식적으로 이를 꽉 물거나 이를 가는 습관이 있다면
치아에 과한 힘이 전해져 마모가 일어나게 됩니다.
이런 치아마모를 예방하기 위해서는
적절한 치료와 저작 습관, 습관 교정을 통해 어느 정도 예방을 할 수 있습니다
이갈이 장치는 효과가 있나요?
잠을 자는 동안 저작근과 치아는 휴식을 가져야 하지만
이갈이 습관이 있으신 분들은 잠드는 동안에도
저작근의 과긴장, 치아건강에 안 좋은 영향을 미칩니다.
이런 습관은 의식적으로 알고 고칠 수는 없기 때문에
이갈이 장치는 두꺼운 플라스틱으로 제작이 되어
치아에 착용을 하게 되면 치아끼리 직접 닿지 않게 보호막 역할을 하게 되며
이갈이를 통해 턱관절에 전해지는 부담을 분산시켜 수면의 질 향상에도 도움이 됩니다.
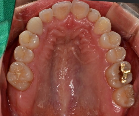
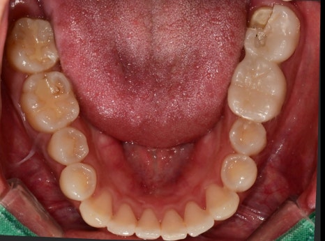
이갈이로 인한 보철물 파절과 치아 마모


치아 보철물의 파절과 치아 마모 때문에 내원해 주셨습니다
환자분께서는 기존 장치를 사용하고 계셨지만
제작이 오래된 장치는 많이 닳아 구멍이 났고
과거에 제작한 보철물이 파절되어 치료를 위해 내원하셨습니다.
과거부터 이갈이 장치를 사용하고 계셨기 때문에
치아의 마모는 보이지만 그 정도가 심하진 않았지만
기존 2개를 연결한 보철물 최후방 부위가 깨졌습니다
깨진 원인은 반복적인 강한 교합력때문도 있었지만
최후방치아의 크기가 작아 크라운의 두께도 얇게 제작이 될 수밖에 없었던 것 같습니다.
충분한 보철물의 두께를 확보하기 위해 추가적인 치료 후
재보철 치료를 진행하여 보철물의 두께를 확보할 수 있었습니다.
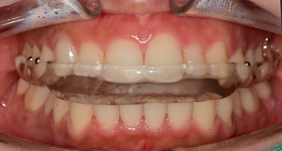
이갈이 장치는 위아래 치아에 견고하게 제작이 되어야 되기 때문에
정밀한 본을 떠서 제작을 하게 됩니다.
시중에 파는 기성제품을 사용해도 되나요?
단기간이나 급한 경우에 사용하는 경우는 어쩔 수 없지만
기성품 구매는 추천드리지 않습니다
시중에 파는 기성품은 말랑말랑한 재질이라 금방 닳는 경우가 있고
반대 치아와 교합도 맞는 것이 아니기 때문에 교합이 어긋날 수 있기 때문에
본인 치아에 맞는 장치를 제작하여 사용하기 시를 권유 드립니다.
맞춤형 이갈이 장치 제작 후 체크사항


정밀한 본을 떠서 제작한 장치입니다.
이갈이 장치를 제작하고 끼우면 끝이 아닌
진료실에서 마지막 단계가 남아있습니다.
그것은 이갈이 장치를 장착했을 때 양쪽이 균일하게 교합이 닿게 하고
이를 가는 동안 장치에 의해 교합의 간섭이 일어나지 않게 조정해 주는 것입니다.
사진에서 보듯이 장기간 이갈이를 하게 되면 플라스틱도 닳게 되기 때문에 두껍게 제작하는 것이 좋습니다

환자분께 장착한 사진입니다
양쪽 교합과 교합 간섭 부위를 조정했지만
시간이 지날수록 이갈이에 의해 장치도 변형되고 양측 교합점의 위치도
변하기 때문에 이갈이 장치는 정기적으로 내원해서 체크 받는 것이 좋습니다.
이런 장치를 사용한다고 이갈이가 줄어드는 것은 아닙니다.
앞서 설명드렸다시피 이갈이에 의해 치아와 근육에 미치는 영향을
완화시켜준다는 측면에서 장치 사용을 추천드리고
과긴장된 저작근에는 보톡스 치료를 같이 병행하게 되면
치료 전과 비교하여 이갈이로 인한 스트레스와 수면의 질은 향상될 것입니다.
이갈이에 대해 궁금하신 점이 있으셨던 분들에게
도움이 되는 글이었으면 좋겠습니다
밤마다 이갈이로 스트레스를 받고 계시다면
가까운 치과에 내원하셔서 검진을 받고 그에 맞는 치료 계획을 세우시기를 바랍니다
감사합니다^^
▼함께 읽으면 좋은 증례
바른진료가 바른결과를 만든다고 생각합니다.
걱정하며 내원해 주시는 모든 분이
나가실 때는 안심하고 나가는
믿을 수 있는 치과를 만드는 것이
제가 바라는 치과입니다.
오시는길
동호로179 JYJ빌딩, 2층
약수역 약수시장 방향 6번출구 바로 앞
마을버스5번(약수역)
마을버스12번(남산타운, 약수지구대)
버스정류장(약수하이츠, 신당사회복지관, 가온도서관, 금호터널입구)이용 유유제약에서 금호역방면
본 포스팅은 의료 정보 제공 및 병원 광고를 목적(의료법 제56조 1항)을 준수하여 바른영치과에서 직접 작성한 글입니다.