아카이브 요약
이 페이지의 역할
바른영치과의원의 네이버 블로그 원문을 보존한 아카이브 페이지입니다. 바른 치료사례 카테고리의 장충동 주변 치과 오래된 충치, 빠진 치아 부위 치료 방법 글을 통해 병원의 한국어 정보 제공 방식과 진료 관련 안내 톤을 확인할 수 있습니다.
원문 검증
필요하면 원문 블로그와 병원 프로필로 바로 이동해 문맥을 다시 확인할 수 있습니다.
출처 아카이브 열기아카이브된 블로그 글
바른영치과의원 · 약수역 6번출구 바른영치과
안녕하세요 대표원장이 직접 진료한 케이스를 설명해 주는 장충동 바른영치과 대표원장 김태영입니다 치과는 항상 아프기 전까지는 방문하기 두려운 곳입니다 과거에 어떤 이유에서든 발치된 치아 치아가 한두 개 없다고 해서 일상생활에 불편감은 없기 때문에 바쁜 일상 속에서 치과에 방문한다는 것은 쉽지 않습니다. 또한, 천천히...
게시일
2024년 11월 27일
원문 기준으로 확인된 발행일입니다.
카테고리
바른 치료사례
원문 블로그 카테고리를 정리해 함께 표시합니다.
이미지 수
8
현재 아카이브에 연결된 이미지 수입니다.
아카이브 요약
바른영치과의원의 네이버 블로그 원문을 보존한 아카이브 페이지입니다. 바른 치료사례 카테고리의 장충동 주변 치과 오래된 충치, 빠진 치아 부위 치료 방법 글을 통해 병원의 한국어 정보 제공 방식과 진료 관련 안내 톤을 확인할 수 있습니다.
원문 검증
필요하면 원문 블로그와 병원 프로필로 바로 이동해 문맥을 다시 확인할 수 있습니다.
출처 아카이브 열기안녕하세요
대표원장이 직접 진료한 케이스를 설명해 주는
장충동 바른영치과 대표원장 김태영입니다
치과는 항상 아프기 전까지는 방문하기 두려운 곳입니다
과거에 어떤 이유에서든 발치된 치아
치아가 한두 개 없다고 해서 일상생활에 불편감은 없기 때문에
바쁜 일상 속에서 치과에 방문한다는 것은 쉽지 않습니다.
또한, 천천히 진행되는 충치들은 깊은 충치여도
자각증상이 없는 경우도 있고
약해진 치아가 깨져서 충치가 생긴 것을 알아차리시는 분들이 계십니다.
이러한 계기로 치과를 내원해 주셨을 때
그동안 미뤄왔던 치료 계획들을 설명을 듣게 되는데
다수의 치아에 치료가 필요하게 되는데
한 번에 모든 치아를 치료할 수 없기 때문에
치료 기간이 길어질 수밖에 없습니다.
오늘은 한 환자분에서 여러 가지 케이스가 있었기 때문에
장기간의 치료 기간에 속하는 케이스를 함께 보도록 하겠습니다
과거에 치료했던 치아가 부러지고, 빠지고 충치치료를 하고 싶어요



근처 직장에 다니시는 환자분이셨습니다
그동안 시간 내기가 어려워 내원을 미루고 계셨다가
이번에 치아가 빠지면서 치료 결심을 해주고 내원해 주셨습니다
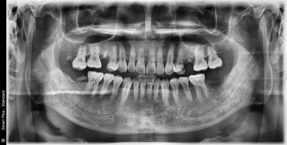
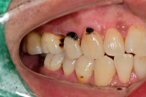
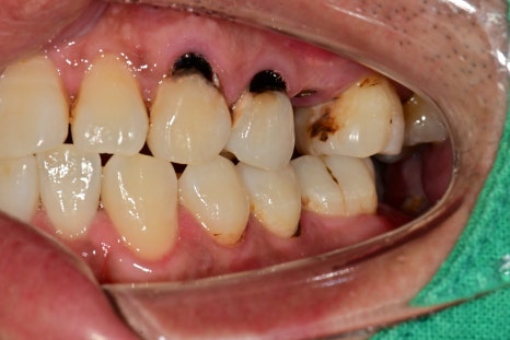
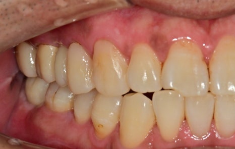
엑스레이, 구강 내 사진을 보게 되면 여러 종류의 치료가 필요한 부위들이 보입니다
충치로 인한 심미적인 부분, 치아 상실 부위, 대합 치아가 없다 보니 아래로 내려온 치아,
깊은 충치로 인한 신경치료가 필요한 치아까지
좌우 다수의 치아에서 치료가 필요했습니다.
퇴근 후 야간진료시간만 가능하셨기 때문에 내원 횟수, 시간을 잘 분배를 해보았습니다

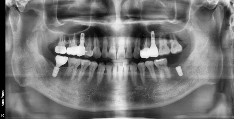
일단 가장 오래 걸리는 임플란트 먼저 수술을 했습니다.
아쉽게도 한 부위는 발치한지 얼마 안 되었기 때문에
바로 수술이 불가능하였고 추후에 뼈가 회복되고 진행하기로 했습니다.
표시된 부분은 신경치료가 진행되었습니다.
충치가 깊은 치아도 있었고 대합 치아의 부재로 인한
치아가 너무 많이 내려가 있어 신경치료+보철치료를 하지 않으면
치아의 높이를 맞출 수가 없었습니다.
신경치료는 여러 번 내원이 필요한 치료였기 때문에
보철치료까지 완성될 때쯤은 임플란트의 고정력이 좋아질 시기와 비슷하여
비슷한 시기에 보철치료까지 완성할 수 있었습니다.

신경치료와 보철치료가 완료될 때쯤
남아있던 한 부위 임플란트를 수술할 수 있었습니다.
아직은 뼈가 무른 상태였기 때문에 이것 또한
기다리며 나머지 충치치료를 진행했습니다.



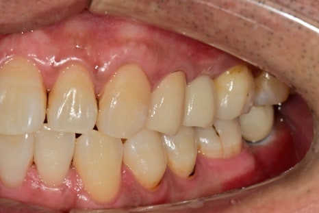
앞니 쪽의 새까맣던 충치 부위도 치아색에 맞춰서 레진 치료까지 마무리되었습니다
범위가 너무 넓으면 크라운치료가 필요한 경우가 있지만
레진으로도 충분히 치료가 가능해 보였기 때문에
최대한 치아색에 맞춰서 치료를 했습니다.
사진으로 요약해서 볼 때는 짧게 느껴지지만
기다리는 시간까지 하면 치료 기간은 반년 정도 걸렸습니다.
야간진료 내에서 내원 횟수를 조절하다 보니
시간적 여유가 많으신 편은 아니었는데
치료를 잘 따라와 주셔서 좋은 결과가 나오지 않았나 싶습니다
치과치료는 다른 과들의 치료에 비해
내원 횟수도 많고
치료 기간 자체도 길게 보기 때문에
환자분들은 지루해하고 내원이 중단되는 경우도 있습니다.
하지만 결과를 보면 심미, 기능적 측면에서 완벽하게 개선된 것을 보면
치료받으시는 분들도 그동안 내원하셨던것을 잘했다고 말씀해주시는것을 보면
보람도 느끼곤 합니다^^
장충동 주변 치과
치과 진료는 때를 놓치게 되면
나중에 치료해야 할 횟수와 범위가 커지게 되기 때문에
증상이 없더라도 치료가 필요한 경우라면
빨리 치료하시는 게 치아를 보존적으로 치료하는 측면에서도 중요합니다
2024년 첫눈이 왔습니다.
연말, 연초 많은 모임들이 있지만
시간을 내셔서 정기점검을 받으시면서
즐거운 연말을 보내시기를 바라겠습니다
감사합니다^^
▼함께 읽으면 좋은 증례
바른진료가 바른결과를 만든다고 생각합니다.
걱정하며 내원해 주시는 모든 분이
나가실 때는 안심하고 나가는
믿을 수 있는 치과를 만드는 것이
제가 바라는 치과입니다.
오시는길
동호로179 JYJ빌딩, 2층
약수역 약수시장 방향 6번출구 바로 앞
마을버스5번(약수역)
마을버스12번(남산타운, 약수지구대)
버스정류장(약수하이츠, 신당사회복지관, 가온도서관, 금호터널입구)이용 유유제약에서 금호역방면
본 포스팅은 의료 정보 제공 및 병원 광고를 목적(의료법 제56조 1항)을 준수하여 바른영치과에서 직접 작성한 글입니다.
본사진은 동일한 환자분에게 찍은 사진으로서 환자마다 치료방법 및 다른 부작용(통증, 보철물탈락)이 발생할수 있습니다