아카이브 요약
이 페이지의 역할
바른영치과의원의 네이버 블로그 원문을 보존한 아카이브 페이지입니다. 바른 치료사례 카테고리의 신당역 임플란트 풍치, 심한 치주염인 경우 치과에서 치료 순서 글을 통해 병원의 한국어 정보 제공 방식과 진료 관련 안내 톤을 확인할 수 있습니다.
원문 검증
필요하면 원문 블로그와 병원 프로필로 바로 이동해 문맥을 다시 확인할 수 있습니다.
출처 아카이브 열기아카이브된 블로그 글
바른영치과의원 · 약수역 6번출구 바른영치과
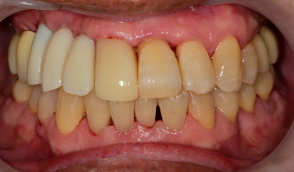
안녕하세요 대표원장이 직접 진료한 케이스를 설명해 주는 신당역치과 바른영치과 대표원장 김태영입니다. 우리가 흔히 알고 있는 풍치 즉, 치주염을 오랫동안 앓고 계신 환자분들께서는 이제 더 이상 치료로 호전되지 않아 치과에 내원하시는 경우가 있으신데 이런 경우는 이미 잇몸은 염증으로 많이 부어있고 치주조직에 지지를 못 받...
게시일
2024년 12월 9일
원문 기준으로 확인된 발행일입니다.
카테고리
바른 치료사례
원문 블로그 카테고리를 정리해 함께 표시합니다.
이미지 수
10
현재 아카이브에 연결된 이미지 수입니다.
아카이브 요약
바른영치과의원의 네이버 블로그 원문을 보존한 아카이브 페이지입니다. 바른 치료사례 카테고리의 신당역 임플란트 풍치, 심한 치주염인 경우 치과에서 치료 순서 글을 통해 병원의 한국어 정보 제공 방식과 진료 관련 안내 톤을 확인할 수 있습니다.
원문 검증
필요하면 원문 블로그와 병원 프로필로 바로 이동해 문맥을 다시 확인할 수 있습니다.
출처 아카이브 열기안녕하세요
대표원장이 직접 진료한 케이스를 설명해 주는
신당역치과 바른영치과 대표원장 김태영입니다.
우리가 흔히 알고 있는 풍치
즉, 치주염을 오랫동안 앓고 계신 환자분들께서는
이제 더 이상 치료로 호전되지 않아 치과에 내원하시는 경우가 있으신데
이런 경우는 이미 잇몸은 염증으로 많이 부어있고
치주조직에 지지를 못 받는 치아들은 많이 흔들리는 상태입니다.
치주 질환은 소리 없이 찾아오기 때문에
그만큼 평소에 잇몸치료를 통해 유지관리하는 것이 매우 중요합니다.
오늘은 치아 흔들림으로 내원해 주신 환자분 중에
지방에서 내원해 주신 환자분의 케이스를 소개해 드리겠습니다.
치아가 흔들리고 잇몸이 아파요

지방에 거주 중인 환자분이신데
치료를 위해 내원해 주셨습니다.
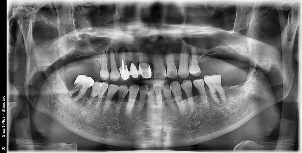
전반적으로 봤을 때 위턱뼈의 어금니 다수가 빠진 상태이고
남아있는 몇몇의 치아 주변에서 염증소견이 보입니다
아래쪽은 괜찮으신데 위쪽 치아가 흔들리고 잇몸이 부어있어서
임플란트 치료에 대해 설명을 원하셨습니다.
치아가 흔들리는 원인

치아가 흔들리는 원인을 먼저 설명을 하자면
우선 어금니의 상실을 말할 수 있습니다
큰 어금니는 교합력을 지지하는데 큰 역할을 하기 때문에
상실되면 나머지 앞쪽의 작은 어금니, 앞니에
강한 교합력이 가해질 수밖에 없습니다.
그로 인해 필요 이상의 힘이 가해지면 약해진 치아는
뿌리 주변의 염증으로 치아가 흔들리게 됩니다.
이미 뼈 주변 염증으로 안 좋은 치아들은 발치를 하고 치료 계획을 수립했습니다.
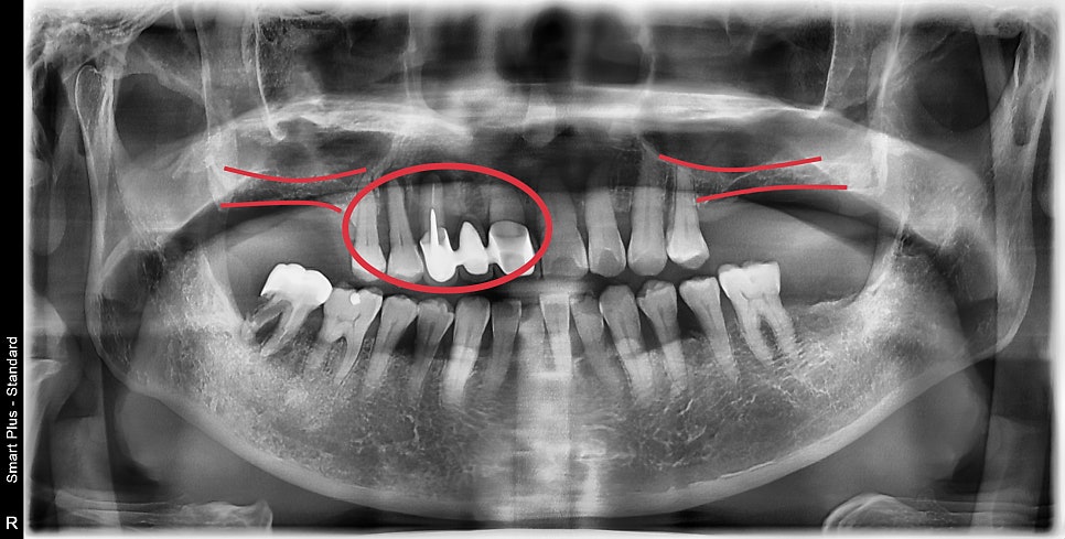
앞니 쪽 브릿지 부분을 만져봤을 때 브릿지를 지탱하는
2개의 앞니가 모두 흔들리고 있었지만
가장 앞쪽의 대문니는 동요도가 심하지 않기도 했고 어금니가 완성이 되면
흔들림이 잡힐 것으로 예상을 했기 때문에 하나라도
덜 빼고 치료하는 방향으로 했습니다.

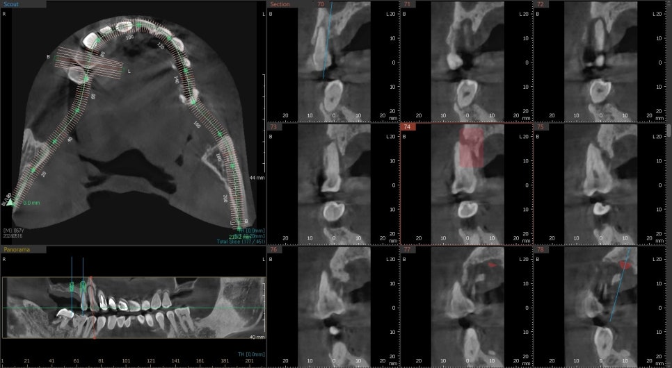
3D CT를 찍은 진단 결과입니다
어금니 쪽의 뼈의 두께가 너무 얇아 임플란트 수술을 위해서는
부비동이라고 알고 있는 상악동 공간에 임플란트 지지 공간을 만들어줘야 합니다.
이것이 상악동 거상술이라는 추가적인 술식이 필요한 이유입니다.

중간쪽 가장 심한 치주염이 진행된 치아 부분입니다.
빨갛게 표시된 부분이 뼈가 있어야 수술이 가능하지만
뼈이식을 동반하더라도 즉시 수술은 불가능한 상태였습니다.
지방에서 시간 내기가 쉽지 않으시지만
안전하고 튼튼하게 수술하기 위해 2단계로 나눠서 수술하기로 결정했습니다.
1차 수술

사진에 표시된 부분은 광범위한 염증으로 인해 즉시 임플란트 수술은 어려웠고
나중을 위해 뼈이식을 먼저 한 후 나중에 수술하는 계획을 세웠습니다.
앞서 상악동 거상술이라는 술식으로 양쪽 어금니에 들어갈 임플란트 부분의 공간을 확보했습니다.

사진과 같이 수직적으로 접근하여 필요한 양만큼 치조골 이식술을 시행했습니다
지방에서 올라오시기 때문에 한번 치과에 오셨을 때 확실하게 치료를 해야 했습니다
수술 후 약 4달이 지난 시점
어금니의 임플란트의 고정이 향상되고 치아가 하나둘씩 들어가며
흔들리던 앞니도 발치 없이 사용할 수 있게 되었습니다.
2차 수술
처음 수술했던 임플란트들은 뼈와 고정력이 높아져 임시치아부터 사용했습니다.
그와 동시에 염증이 너무 깊어 수술하지 못한 곳을 오랜만에 오신 김에 수술하기로 했습니다


왼쪽의 해당 공간입니다.
처음 1차 수술 때 발치와 주변에 처치를 했지만
기다림의 시간이 무색하게도 추가적인 치조골 이식이 필요했습니다.
다행히 기존의 환자분의 뼈는 회복이 되어 임플란트 수술과 동시에 추가 뼈이식을 시행했습니다.
수술 후 초기 고정도 나쁘지 않고
주변 임플란트들은 이미 어느 정도 고정력을 확보했기 때문에
환자분께서 너무 오랜 시간 동안 치아가 없이 생활을 하셔야 되는 것이 걸려
수술 후 바로 임시치아까지 완성을 했습니다

최종 보철물이 아니고 급하게 제작된 임시치아기 때문에
모양이나 색상이 투박하지만 최종 보철까지 시간 동안
어색함 없이 사용이 가능할 것입니다.
임시치아를 사용하는 이유는
빈 공간을 가리기 위함도 있지만
최종 보철물을 제작할 때 치아의 형태, 색상, 길이 등 수정사항을 통해
추후 보철물 제작에 반영하기 위해 사용하는 것도 이유입니다.
현재는 환자분께서 어금니가 없는 상태를 오랫동안 유지했기 때문에
턱관절의 적응 기간이라 가끔 서울을 방문하셔서 체크를 하고 있습니다.
몇 달 후 최근 수술한 임플란트의 고정력이 높아지면 최종 보철만 진행하면 됩니다.

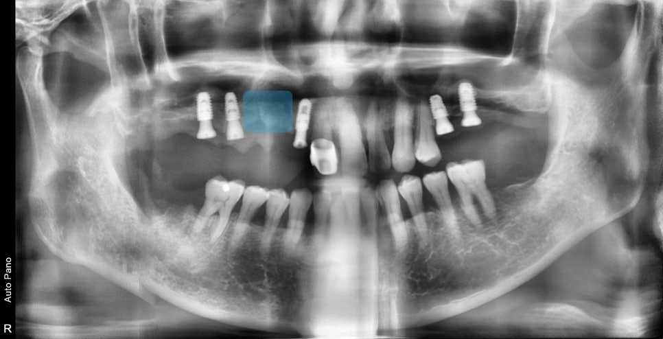
2차 수술 후 엑스레이 사진입니다.
최종 보철물까지 진행은 아직 안 되었지만
치주염이 심한 환자분들 중에서는
발치 당일 임플란트의 수술이 힘든 경우도 종종 있습니다.
웬만하면 마취된 당일에 수술까지 하는 것이 저나 환자분께 편하지만
무리한 진행보단 안정성을 택하는 것이 장기적인 관점에서는 훨씬 좋습니다
이 케이스는 나중에 보철이 완성되면 다시 설명하는 시간을 갖도록 하겠습니다^^
치주 질환을 치료하는 가장 좋고 효과적인 방법은
임플란트도 발치도 아닙니다
바로, 정기검진을 통한 관리입니다.
예방치료, 잇몸치료를 통해 치주염의 진행을 최대한 관리하고
기존 상태를 건강하게 유지하는 것이 최고의 치료라고 생각합니다
바쁜 한 해를 마무리하는 12월입니다.
바쁘시겠지만 잠시만 시간을 내어
검진 및 스케일링 관리를 받으신다면
건강한 구강건강을 유지할 수 있을 것입니다.
오늘은 치아 흔들림이 발치까지 이어졌을 때
치료방법, 치료 기간에 대해 알아보았습니다
신당역치과에서 비슷한 불편감이 있으신 분들은
주변 치과에 내원하셔서 검진을 받아보시는 것을 권유해 드립니다.
감사합니다^^
▼함께 읽으면 좋은 증례
바른진료가 바른결과를 만든다고 생각합니다.
걱정하며 내원해 주시는 모든 분이
나가실 때는 안심하고 나가는
믿을 수 있는 치과를 만드는 것이
제가 바라는 치과입니다.
오시는길
동호로179 JYJ빌딩, 2층
약수역 약수시장 방향 6번출구 바로 앞
마을버스5번(약수역)
마을버스12번(남산타운, 약수지구대)
버스정류장(약수하이츠, 신당사회복지관, 가온도서관, 금호터널입구)이용 유유제약에서 금호역방면
본 포스팅은 의료 정보 제공 및 병원 광고를 목적(의료법 제56조 1항)을 준수하여 바른영치과에서 직접 작성한 글입니다.
본사진은 동일한 환자분에게 찍은 사진으로서 수/시술 후 개인에 따라 결과의 차이, 부작용(보철물 탈락, 통증)이 발생할수 있으니 담당 의료진과 충분히 상담을 진행한 후 결정하시기 바랍니다