아카이브 요약
이 페이지의 역할
바른영치과의원의 네이버 블로그 원문을 보존한 아카이브 페이지입니다. 바른 치료사례 카테고리의 버티고개역 치과 앞니 외상에 따른 치료방법( 넘어져서 치아가 부러졌어요) 글을 통해 병원의 한국어 정보 제공 방식과 진료 관련 안내 톤을 확인할 수 있습니다.
원문 검증
필요하면 원문 블로그와 병원 프로필로 바로 이동해 문맥을 다시 확인할 수 있습니다.
출처 아카이브 열기아카이브된 블로그 글
바른영치과의원 · 약수역 6번출구 바른영치과
버티고개역 치과 앞니 외상 부러짐 안녕하세요. 대표원장이 직접 진료한 케이스를 설명해 주는 버티고개 바른영치과 대표원장 김태영입니다. 요즘같이 갑자기 추워지는 겨울철에는 추위 때문에 몸을 웅크리고 다닐 수밖에 없는 것 같습니다. 얼어붙은 바닥 때문에 보행 시에도 미끄러워서 빙판길 사고를 조심해야 합니다. 최근 겨울철...
게시일
2024년 12월 26일
원문 기준으로 확인된 발행일입니다.
카테고리
바른 치료사례
원문 블로그 카테고리를 정리해 함께 표시합니다.
이미지 수
8
현재 아카이브에 연결된 이미지 수입니다.
아카이브 요약
바른영치과의원의 네이버 블로그 원문을 보존한 아카이브 페이지입니다. 바른 치료사례 카테고리의 버티고개역 치과 앞니 외상에 따른 치료방법( 넘어져서 치아가 부러졌어요) 글을 통해 병원의 한국어 정보 제공 방식과 진료 관련 안내 톤을 확인할 수 있습니다.
원문 검증
필요하면 원문 블로그와 병원 프로필로 바로 이동해 문맥을 다시 확인할 수 있습니다.
출처 아카이브 열기버티고개역 치과 앞니 외상 부러짐
안녕하세요.
대표원장이 직접 진료한 케이스를 설명해 주는
버티고개 바른영치과 대표원장 김태영입니다.
요즘같이 갑자기 추워지는 겨울철에는
추위 때문에 몸을 웅크리고 다닐 수밖에 없는 것 같습니다.
얼어붙은 바닥 때문에 보행 시에도 미끄러워서 빙판길 사고를 조심해야 합니다.
최근 겨울철 추운 탓인지 외상 환자분들이 내원하십니다.
추운 날씨 탓에 주머니에 손을 넣고 미끄러지시면서 제대로 방어하지 못하고
팔이나 안면 외상에 취약합니다.
우리가 앞으로 넘어질 때 안면 부분에서 가장 취약한 곳은 치아입니다.
아무리 단단한 강도를 갖은 치아라도
넘어지는 외상에 의해 파절이 생기며
주변 입술, 연조직에도 상처를 입히는 경우가 종종 발생합니다.
치아의 외상에는 정도에 따라 여러 가지로 분류할 수 있습니다


출처 : 국가건강정보포털
외상 정도에 따라 치아가 파절되는 양상이 다르며 치아의 파절뿐만 아니라 치아의 흔들림, 위치 변화, 완전 탈락 같은 여러 가지 증상이 발생할 수 있습니다.
오늘은 넘어졌을 때 치아의 외상 정도에 따른 치료방법에 대해 말씀드리겠습니다.
치아 동요 없는 치아파절만 일어난 경우


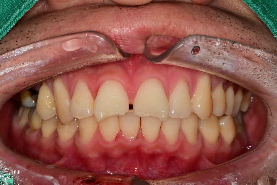
첫 번째 환자분은 넘어지시면서 아랫입술의 상처를 동반한 정중앙의 정중치의 파절로 내원하셨습니다.
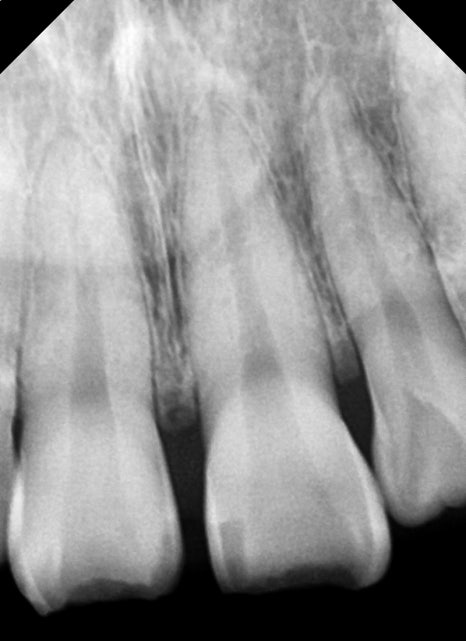
치아에 충격이 전해졌기 때문에 미세한 통증은 있었지만 엑스레이상에서 파절선이나 동요도는 보이지 않았습니다.
하지만 치아의 신경에 염증이 생겨 느리게 신경의 괴사가 일어나는 경우가 있지만 그것은 2~4주정도 지켜봐야 하며 간혹 더 늦게 나타나는 경우가 있습니다.
증상을 지켜보는 동안 깨진부위를 채우기 위해 레진 치료를 선행하였습니다.

치아 사이 벌어짐은 원래 벌어진 치아였지만 깨진 부분을 치료하면서 같이 공간까지 치료했습니다.
첫날 급한 처치만 우선적으로 했기 때문에 신경의 괴사나 추후 통증은 체크하기로 했으며 비교적 간단하게 치료가 마무리되었습니다.
추후 치아 형태를 복원하기 위해 라미네이트나 크라운 같은 보철이 필요할 수도 있지만
현재 레진으로도 충분히 지낼 수 있기 때문에 체크 시 좀 더 심미적으로 다듬는 과정을 통해 지내시기로 했습니다.
치아 흔들림, 치아 신경의 충격으로 인한 괴사


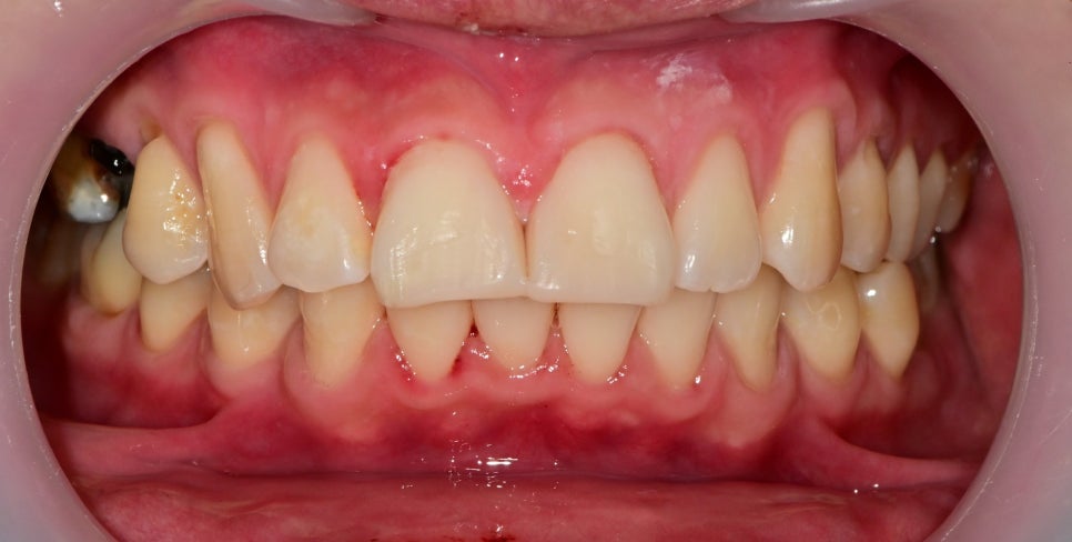
두 번째 환자분께서도 비슷한 증상으로 내원하셨습니다.
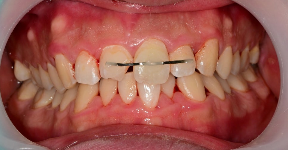
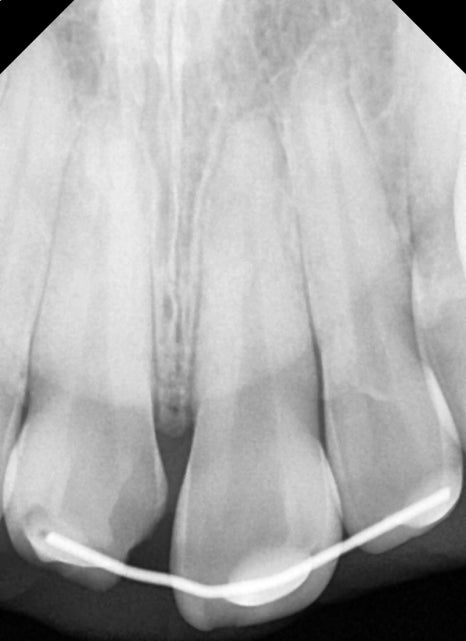
첫 번째 환자분과 다르게 이분은 치아의 동요도도 관찰되었기 때문에 사진처럼 치아를 고정할 수 있는 임시 치간 고정술을 진행했습니다.
흔들리는 치아는 정도에 따라 고정 장치의 유지 기간이 좀 다를 수 있지만 일반적으로 2~4주 이상은 권하고 있지 않습니다.
엑스레이 내에서 추가적인 치아 파절의 흔적은 보이지 않아 치아의 흔들림을 고정시킨 후 치아 파절 부위나 치아 신경의 생활력을 평가하기 위해 2주 후 체크를 해봤습니다.

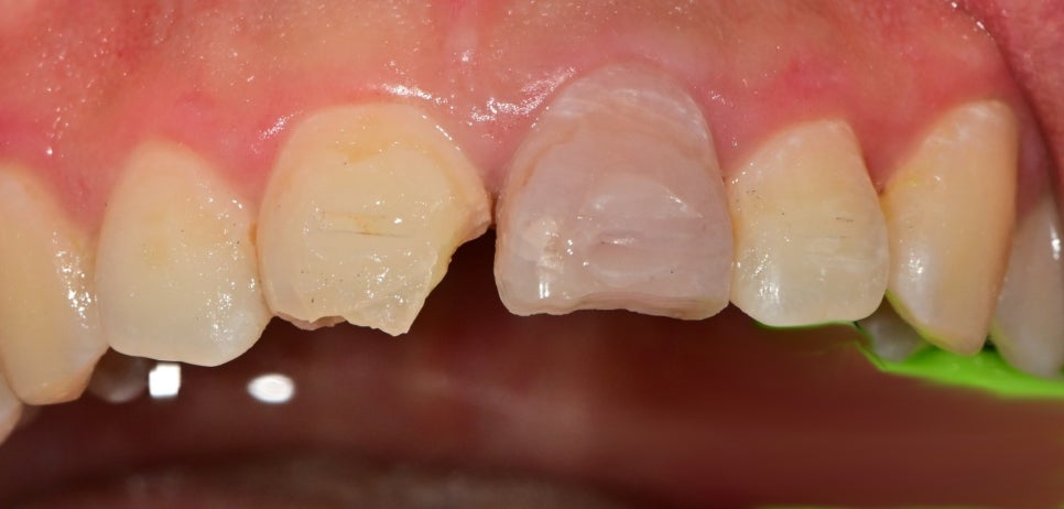
2주 후 체크를 했습니다.
고정 장치를 제거하고 치료 중간에 사진이긴 합니다만
치아의 흔들림은 이제 잡혔지만
가운데 고정했던 치아의 색이 어둡게 변한 것을 볼 수 있습니다.
일반적으로 치아의 신경 즉, 치수 괴사가 일어나게 되면 치아가 어두워집니다.
이것은 이미 생활력을 잃었기 때문에 해당치아는 신경치료 후 크라운치료를 결정했습니다. 그 옆의 치아 또한 파절편에 컸고 주변 금이 가있는 치아파절편들이 많지만 신경의 생활력은 살아있어서 신경치료 없이 크라운치료로 마무리하기로 했습니다.
이렇게 치아의 외상 정도, 파절이 되지 않았더라도 치수의 생활력이 상실되는 등
상황에 따라 치료방법이 달라질 수 있습니다.
오늘 케이스를 언급하지는 않았지만 만약 넘어지면서 치아가 빠지는 경우가 있다면 식염수에 치아를 보관하여 최대한 빨리 주변 치과로 내원하시는것이 좋습니다.
치아의 외상의 치료는 초기 진단 및 치료가 가장 중요하기 때문에 다치셨을 당시에 치과에 내원하셔서 처치를 받으시는 것을 권해드립니다.
버티고개역 치과 오늘은 치아 외상 정도에 따른 치료방법에 대해 알아보았는데요
빙판길 사고가 잦은 요즘 같은 겨울철 안전에 유의하시길 바라겠습니다.
궁금하신 부분들이 해소되셨기를 바라면서
다음에 다른 증례로 찾아뵙겠습니다
감사합니다^^
▼함께 읽으면 좋은 증례
바른진료가 바른결과를 만든다고 생각합니다.
걱정하며 내원해 주시는 모든 분이
나가실 때는 안심하고 나가는
믿을 수 있는 치과를 만드는 것이
제가 바라는 치과입니다.
오시는길
동호로179 JYJ빌딩, 2층
약수역 약수시장 방향 6번출구 바로 앞
마을버스5번(약수역)
마을버스12번(남산타운, 약수지구대)
버스정류장(약수하이츠, 신당사회복지관, 가온도서관, 금호터널입구)이용 유유제약에서 금호역방면
본 포스팅은 의료 정보 제공 및 병원 광고를 목적(의료법 제56조 1항)을 준수하여 바른영치과에서 직접 작성한 글입니다.
본사진은 각각 환자분에게 찍은 사진으로서 수/시술 후 개인에 따라 결과의 차이, 부작용(보철물 탈락, 통증)이 발생할수 있으니 담당 의료진과 충분히 상담을 진행한 후 결정하시기 바랍니다