아카이브 요약
이 페이지의 역할
바른영치과의원의 네이버 블로그 원문을 보존한 아카이브 페이지입니다. 바른 치료사례 카테고리의 금호동 치과 신경치료된 치아 주변 염증 방치하면 안 되는 이유(발치후 임플란트) 글을 통해 병원의 한국어 정보 제공 방식과 진료 관련 안내 톤을 확인할 수 있습니다.
원문 검증
필요하면 원문 블로그와 병원 프로필로 바로 이동해 문맥을 다시 확인할 수 있습니다.
출처 아카이브 열기아카이브된 블로그 글
바른영치과의원 · 약수역 6번출구 바른영치과
안녕하세요. 대표원장이 직접 진료한 케이스를 소개해 주는 금호동 치과 바른영치과 대표원장 김태영입니다 오래전에 신경치료받은 치아들을 오래 사용하게 되면 종종 신경치료된 뿌리 쪽에서 염증이 생겨 치아 주변 뼈를 녹이거나 그로 인해 치아의 동요도가 생기는 경우가 있습니다. 흔히 우리가 아는 신경치료 즉, 근관치료를 받...
게시일
2025년 1월 3일
원문 기준으로 확인된 발행일입니다.
카테고리
바른 치료사례
원문 블로그 카테고리를 정리해 함께 표시합니다.
이미지 수
10
현재 아카이브에 연결된 이미지 수입니다.
아카이브 요약
바른영치과의원의 네이버 블로그 원문을 보존한 아카이브 페이지입니다. 바른 치료사례 카테고리의 금호동 치과 신경치료된 치아 주변 염증 방치하면 안 되는 이유(발치후 임플란트) 글을 통해 병원의 한국어 정보 제공 방식과 진료 관련 안내 톤을 확인할 수 있습니다.
원문 검증
필요하면 원문 블로그와 병원 프로필로 바로 이동해 문맥을 다시 확인할 수 있습니다.
출처 아카이브 열기안녕하세요.
대표원장이 직접 진료한 케이스를 소개해 주는
금호동 치과 바른영치과 대표원장 김태영입니다
오래전에 신경치료받은 치아들을 오래 사용하게 되면
종종 신경치료된 뿌리 쪽에서 염증이 생겨 치아
주변 뼈를 녹이거나 그로 인해 치아의
동요도가 생기는 경우가 있습니다.
흔히 우리가 아는 신경치료
즉, 근관치료를 받게 되면
고유감각을 제외한 온도자극이나 통증에 반응을 느끼지 못합니다.
그렇기 때문에 치주질환이나 충치가 오래 진행되지 않고서야
증상을 알아차리지 못하는 경우가 대부분입니다
치아 주변 뼈가 흡수되어 발거를 해야 할 때
첫 번째 치료 선택지는 임플란트가 해당되는데
이때 임플란트를 식립하고자 하는
주변 뼈가 흡수가 됐을 때 치조골 이식술을
같이 동반을 해줘야 합니다.
오늘은 비슷한 두 가지 케이스에 대해 알아보겠습니다.
오래전부터 치통이 있었는데 무서워서 못 왔어요

다수의 어금니가 상실된 상태이시고
치주염에 의한 다수의 치아가 흔들리지만
치과 치료에 두려움이 있어서 약을 드시며
버티시다가 도저히 통증이 조절이 안돼 내원해 주셨습니다.
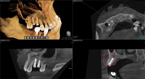
사진에 표시된 부분이 과거에 신경치료가 되어있었고
주변으로 염증이 생겨 치아를 지지해 주는 뼈가 흡수되어
치아 동요도가 관찰되었습니다.
진단 결과 발치가 필요했으나
환자분께서 치과치료에 대한 두려움이 있으셔서
최대한 통증 조절하며 치료하기로 했습니다
마취크림, 무통마취기를 이용하여 최대한
통증 없이 마취 후 치료를 시작했습니다

발치 후 임플란트 즉시 식립을 해야 하지만
화살표로 표시된 부분이 염증으로 인해 흡수되어
임플란트를 식립하더라도 주변 뼈가 없어
노출이 될 수밖에 없는 상태였습니다.

발치 후 해당 공간의 잇몸을 절개하여 수술을 하면
수술 시 시야 확보에는 도움이 될 수 있으나
치조골 이식술(뼈이식)을 했을 때
뼈이식재의 수술 부위에 고정력이 약해질뿐더러
기존 남아있는 치조골의 흡수가 일어날 수 있어
최대한 뼈이식 성공률을 높이기 위해
잇몸 절개 없이 수술을 했습니다


이식재가 충분히 굳어지기를 기다린 후
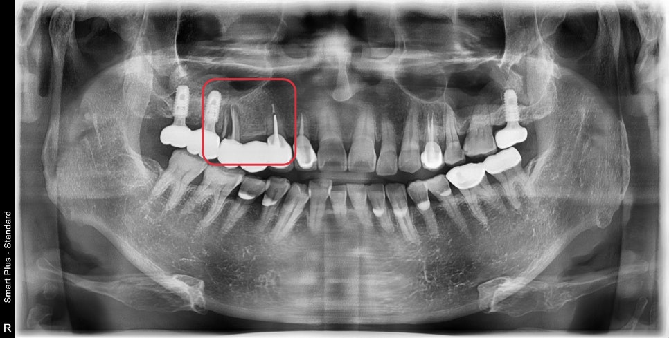
보철까지 완성한 사진입니다.
다행히 수술 약 4개월 후 3D CT에서
임플란트 주변으로 흰색으로 보이는 뼈가 생성된 것을 확인할 수 있었습니다.
현재 1년이 지난 전체 사진에서도 특별한 문제는 없어 보입니다.
임플란트 수술 후 다른 환자분보다 조금 더 기다렸지만
잘 따라와 주셔서 좋은 결과가 있었습니다.
환자분께서도 겁냈던 것보다 치료도 받을만하시다며
진작 치과에 와서 관리를 받아볼걸이라며 아쉬워 하셨습니다.
그래도 치과 공포증을 극복하셔서 반대편도 치료를 진행하시기로 했습니다
현재는 아픈부위가 해결되고 일정이 바쁘시다 보니 반대편 치료 시기가 미뤄지고 있는 상황입니다^^;
과거에 신경치료된 치아가
흔들리고 염증이 생겼어요
다음 두 번째 환자분의 사진입니다


첫 번째 환자분과 비슷한 케이스입니다.
이번에는 신경치료된 치아를 이용하여 브릿지 치료를 하셨습니다.
주변에 저작력이 강한 임플란트가 있고
평소 저작력이 강한분이시다 보니
임플란트 앞 치아의 뿌리가 부러져서 안쪽으로 염증이 생겼습니다.
구내 사진에서는 해당 치아의 잇몸 쪽에 염증이 생겼다 없어졌다 하는 상태였습니다.

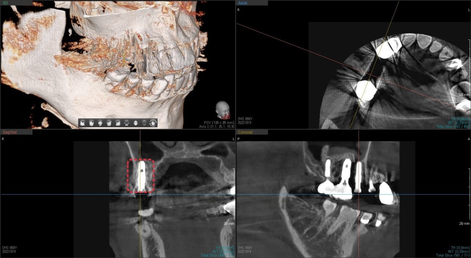
역시 초진 3D CT에서 치아를 감싸는 한쪽 벽을 이루는 뼈가 흡수되어
치아 뿌리가 노출된 상태에서 이 역시 발치 후 즉시 임플란트 식립 시
기존 잇몸을 차폐막으로 이용하여 치조골 이식술을 동반했습니다.

수술 후 4달 후 사진입니다.
임플란트 주변에 흰색 뼈가 생성된 것을 볼 수 있었습니다.
뼈와 임플란트의 고정성 평가에서도 좋은 수치를 나타내 보철치료까지 마무리했습니다.

최근 내원하셨을때 사진입니다.
브릿지치아 중 앞 치아는 발치 없이 재보철하여 보존하였고
뒤에 2개의 공간에 임플란트를 식립했습니다.
이 환자분 같은 경우 2년이 지난 현재까지
정기검진을 오시며 잘 사용하고 계십니다.
신경치료된 치아는
크랙 or 뿌리 염증에 취약
신경치료를 하게 되면
치아 뿌리 내의 생활력이 없어지며
재오염에 취약, 파절 저항성이 약해집니다.
모든 치아가 신경치료 후 이와 같은 증상이 생기는 것은 아니지만
평소 저작습관, 각 치아의 교합 상태에 의해 달라질 수 있습니다.
임플란트 수술이 잘되어
단단한 뼈를 회복시켜줬다고 할지라도
임플란트 유지관리를 통해 임플란트 주위염을 예방, 관리를 해서 건강한 구강건강관리를 해야 할 것입니다.
오늘은 신경치료된 치아에 발생할 수 있는 증상에 대해 설명드렸습니다.
이와 비슷한 증상을 겪고 계시거나 불편한 증상이 있으신 분들은
가까운 치과에 내원하시어 검진을 받아보시는 것을 권유 드립니다.
감사합니다^^
▼함께 읽으면 좋은 증례
바른진료가 바른결과를 만든다고 생각합니다.
걱정하며 내원해 주시는 모든 분이
나가실 때는 안심하고 나가는
믿을 수 있는 치과를 만드는 것이
제가 바라는 치과입니다.
오시는길
동호로179 JYJ빌딩, 2층
약수역 약수시장 방향 6번출구 바로 앞
마을버스5번(약수역)
마을버스12번(남산타운, 약수지구대)
버스정류장(약수하이츠, 신당사회복지관, 가온도서관, 금호터널입구)이용 유유제약에서 금호역방면
본 포스팅은 의료 정보 제공 및 병원 광고를 목적(의료법 제56조 1항)을 준수하여 바른영치과에서 직접 작성한 글입니다.
본사진은 각각 환자분에게 찍은 사진으로서 수/시술 후 개인에 따라 결과의 차이, 부작용(보철물 탈락, 통증)이 발생할수 있으니 담당 의료진과 충분히 상담을 진행한 후 결정하시기 바랍니다