아카이브 요약
이 페이지의 역할
바른영치과의원의 네이버 블로그 원문을 보존한 아카이브 페이지입니다. 바른 치료사례 카테고리의 서울중구치과치료 신경치료받은 치아 크라운이 필요한가요? 글을 통해 병원의 한국어 정보 제공 방식과 진료 관련 안내 톤을 확인할 수 있습니다.
원문 검증
필요하면 원문 블로그와 병원 프로필로 바로 이동해 문맥을 다시 확인할 수 있습니다.
출처 아카이브 열기아카이브된 블로그 글
바른영치과의원 · 약수역 6번출구 바른영치과
안녕하세요 대표원장이 직접 진료한 케이스를 소개해 주는 서울중구 바른영치과 대표원장 김태영입니다 치아에 충치가 생기면 그에 맞는 치료를 해야 합니다. 오랜만에 검진을 오셔서 충치치료가 필요한 부분을 설명을 드릴 때 간혹 치아 신경까지 충치가 진행된 경우 불가피하게 신경치료가 필요할 때가 있습니다. 종종 환자분들께서는...
게시일
2025년 1월 8일
원문 기준으로 확인된 발행일입니다.
카테고리
바른 치료사례
원문 블로그 카테고리를 정리해 함께 표시합니다.
이미지 수
5
현재 아카이브에 연결된 이미지 수입니다.
아카이브 요약
바른영치과의원의 네이버 블로그 원문을 보존한 아카이브 페이지입니다. 바른 치료사례 카테고리의 서울중구치과치료 신경치료받은 치아 크라운이 필요한가요? 글을 통해 병원의 한국어 정보 제공 방식과 진료 관련 안내 톤을 확인할 수 있습니다.
원문 검증
필요하면 원문 블로그와 병원 프로필로 바로 이동해 문맥을 다시 확인할 수 있습니다.
출처 아카이브 열기안녕하세요
대표원장이 직접 진료한 케이스를 소개해 주는
서울중구 바른영치과 대표원장 김태영입니다
치아에 충치가 생기면 그에 맞는 치료를 해야 합니다.
오랜만에 검진을 오셔서 충치치료가 필요한 부분을 설명을 드릴 때
간혹 치아 신경까지 충치가 진행된 경우
불가피하게 신경치료가 필요할 때가 있습니다.
종종 환자분들께서는 통증이나 자각증상이 없었는데 충치가 이렇게 크게 번질 수 있는지에 대해 궁금해하십니다.
보통 충치에 의한 통증은 충치에 의해 깨진 치아 외부로 온도자극이나 신경에 염증이 생긴 경우 통증이 생깁니다.
하지만 천천히 안쪽에서 충치가 생긴 경우 증상이 안 나타나거나 자각하지 못할 정도로 미미한 경우 못 느끼시는 경우가 있습니다.
충치가 신경까지 진행된 경우 신경치료라고 알려져 있는 근관치료가 필요합니다.
치료 후 보철치료까지 진행이 되는데
앞니의 경우는 경우에 따라 근관치료 후 보철치료 없이 심미적으로 마무리만 하는 경우가 있는데
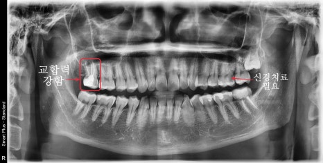
이는 교합력이 강하지 않거나 보철을 하기에 공간이 애매한 경우입니다.
어금니 부분의 경우는 저작기능을 주로 담당하기 때문에
교합력이 강해 가능하다면 보철치료를 해주는 것이 좋습니다.
제가 환자분들께 자주 비유해서 말씀드리는 표현은
근관치료를 하게 되면 치아 내부의 신경이 제거가 되어 생활력이 상실됩니다.
그렇게 되면 치아는 죽은 나무와 같이 내부가 푸석푸석해지게 되어 외부 교합력을 버티지 못하게 됩니다.
교합 간섭이 반복적으로 일어나거나 교합력이 강한 후방부의 치아는 파절에 취약해지게 됩니다.
예전에 신경치료된 치아가 깨졌어요


초진 엑스레이, 구강 내 사진입니다
과거에 신경치료 완료 후 보철치료 없이 레진으로만 마무리된 케이스입니다.
시간이 지나 치아의 파절이 생기며 주변으로 2차 우식이 진행되고
안쪽으로는 미세한 크랙라인도 관찰되었습니다.
통증은 없으시지만 추가적인 파절을 막기 위해 기존 재료를 제거하고 다시 수복하여 보철치료를 진행하며
반대편 안쪽으로 진행된 충치에 의해 신경치료가 필요했습니다.

겉에서는 안쪽이 살짝 어둡게 보였지만
엑스레이상에서는 이미 신경까지 충치가 진행돼있었습니다
통법대로 근과 내부 세척하고 깨끗하게 충천까지 완료한 사진입니다.
신경치료 후 교합을 완벽하게 하고 잘 쓰면 크라운하는것보다 치아에 훨씬 좋다고 하는 의견들이 있는데
일단 신경치료를 하기 위해서는 치아 교합을 삭제해야 하기 때문에 보철 없는 상태에서
저작에 제대로 역할을 할 수 없을뿐더러
오랜 시간이 지난 치아들을 봤을 때 파절이 일어나는 치아의 경우가 대다수입니다.
충치가 깊지 않다면 신경치료를 안 하고
치아를 보존하는 것이 가장 좋겠지만
신경치료가 불가피하다면 보철치료까지 해야
좀 더 예지성이 좋은 치료라 생각합니다.
보철치료 후 교합조정


보철치료까지 완료된 사진입니다.
치료가 모두 종결된 후
초반에는 정기적으로 교합 체크를 진행했습니다.
후방부로 갈수록 치아 공간이 짧았고
교합이 긴밀하여 교합간섭을 없애고
다른 치아와 교합을 조화롭게 조정했습니다.
기존 치아의 파절이 생겼다는 것은
어느 특정 치아와 과교합이 일어난다는 뜻이기 때문에
정기적으로 교합은 계속 체크를 해줘야 장기간 동안 파절 없이 지내실 수 있을 것으로 기대됩니다.
모든 치아가 파절이 관찰된다 해서
모두 보철치료를 하지는 않지만
증상이나 상황에 따라 필요한 부분에 적절한 치료가 된다면
발치 없이 내치아를 최대한 보존할 수 있습니다.
#서울중구치과 #바른영치과
비슷한 증상을 갖고 계시거나
궁금한 부분이 있으신 분들은
가까운 치과에 내원하셔서 진단을 받아보시길 권유 드립니다.
궁금한 부분이 조금이나마 해소되셨기를 바라면서
다음에 다른 케이스로 찾아뵙겠습니다.
감사합니다^^
▼함께 읽으면 좋은 증례
바른진료가 바른결과를 만든다고 생각합니다.
걱정하며 내원해 주시는 모든 분이
나가실 때는 안심하고 나가는
믿을 수 있는 치과를 만드는 것이
제가 바라는 치과입니다.
오시는길
동호로179 JYJ빌딩, 2층
약수역 약수시장 방향 6번출구 바로 앞
마을버스5번(약수역)
마을버스12번(남산타운, 약수지구대)
버스정류장(약수하이츠, 신당사회복지관, 가온도서관, 금호터널입구)이용 유유제약에서 금호역방면
본 포스팅은 의료 정보 제공 및 병원 광고를 목적(의료법 제56조 1항)을 준수하여 바른영치과에서 직접 작성한 글입니다.
본사진은 각각 환자분에게 찍은 사진으로서 수/시술 후 개인에 따라 결과의 차이, 부작용(보철물 탈락, 통증)이 발생할수 있으니 담당 의료진과 충분히 상담을 진행한 후 결정하시기 바랍니다