아카이브 요약
이 페이지의 역할
바른영치과의원의 네이버 블로그 원문을 보존한 아카이브 페이지입니다. 바른 치료사례 카테고리의 약수역 치과 벌어진 앞니, 금간앞니(크랙) 레진을 이용한 치료 글을 통해 병원의 한국어 정보 제공 방식과 진료 관련 안내 톤을 확인할 수 있습니다.
원문 검증
필요하면 원문 블로그와 병원 프로필로 바로 이동해 문맥을 다시 확인할 수 있습니다.
출처 아카이브 열기아카이브된 블로그 글
바른영치과의원 · 약수역 6번출구 바른영치과
안녕하세요. 대표원장이 직접 진료한 케이스를 설명해 주는 약수역치과 바른영치과 대표원장 김태영입니다. 치아가 벌어지는 이유는 여러 가지가 있습니다. 악궁에 비해 치아 크기가 작은 경우 교정 후 복원력에 의한 치아 이동 치주가 약해짐에 따라 치아가 전방 돌출 요즘에는 심미적인 요구도가 높아짐에 따라 라미네이트같은 보철물...
게시일
2025년 1월 24일
원문 기준으로 확인된 발행일입니다.
카테고리
바른 치료사례
원문 블로그 카테고리를 정리해 함께 표시합니다.
이미지 수
5
현재 아카이브에 연결된 이미지 수입니다.
아카이브 요약
바른영치과의원의 네이버 블로그 원문을 보존한 아카이브 페이지입니다. 바른 치료사례 카테고리의 약수역 치과 벌어진 앞니, 금간앞니(크랙) 레진을 이용한 치료 글을 통해 병원의 한국어 정보 제공 방식과 진료 관련 안내 톤을 확인할 수 있습니다.
원문 검증
필요하면 원문 블로그와 병원 프로필로 바로 이동해 문맥을 다시 확인할 수 있습니다.
출처 아카이브 열기안녕하세요.
대표원장이 직접 진료한 케이스를 설명해 주는
약수역치과 바른영치과 대표원장 김태영입니다.
치아가 벌어지는 이유는 여러 가지가 있습니다.
악궁에 비해 치아 크기가 작은 경우
교정 후 복원력에 의한 치아 이동
치주가 약해짐에 따라 치아가 전방 돌출
요즘에는 심미적인 요구도가 높아짐에 따라
라미네이트같은 보철물에 의해 공간을 채워주는 것
뿐만 아니라 색상, 형태까지 심미적으로 치료하는 방법이 있습니다.
하지만,
라미네이트같은 보철물은 단순하게 공간만 채워주는 것이 아니라 형태, 색상까지 고려해야 하기 때문에
다수의 치아를 치료해야 합니다.
그렇기 때문에 다수의 치아를 치료하는 라미네이트 치료 전에 몇몇 환자분께서는 레진치료로 먼저 벌어진 공간만 회복한 후 치아 형태를 평가하는 시뮬레이션 단계를 거쳐 향후 라미네이트 치료를 진행하기도 합니다.
약해진 치주에 의한 치아 벌어짐

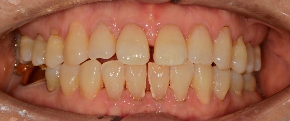
초진 사진입니다.
60대의 어머님이셨는데
원래 치아가 살짝 벌어지셨지만
시간이 지남에 따라 치주가 약해져
치아 공간이 더 벌어졌다고 하셨습니다.
벌어진 공간으로 치태관리는 쉽지 않아
치석도 쌓여있는 것이 관찰되었습니다.
환자분께서는 다른 치아의 형태는 괜찮고
가운데 벌어짐 틈만 회복하는 것을 원하셨기 때문에
레진을 이용한 벌어진 공간을 채우는 치료를 했습니다.

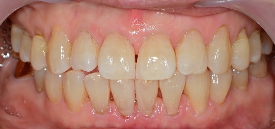
위아래 공간을 채운 후 사진입니다.
당연히 치아 삭제는 전혀 없었고,
레진을 이용한 빈 공간을 채웠습니다.
사실 환자분께서는
아래 공간은 위 공간에 비해 작게 벌어져서
치료를 고민하셨지만 치료 후
채워진 치아 사진을 보고 굉장히 만족하셨고
나중에 치아 형태나 색상을 변화시킬수 있는
전체적인 라미네이트에 대해서도
적극적으로 고민해 보시겠다고 하셨습니다.
작은 공간이지만
앞니 같은 경우는 치료 전후가 드라마틱 하게 달라지며
무의식적으로 웃는 모습까지 변화시켜 줍니다.
치아가 벌어져있었기 때문에 내려앉았던 잇몸은
시간이 지나며 빈 공간으로 채워 올라올 것이고
추후 체크를 통해 치아 색상이나 형태를 수정할 필요가 있습니다.
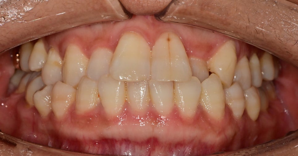
크랙라인이 생긴 앞니 치료

가운데 대문니에 수직적인 크랙 라인이 관찰됩니다.
환자분은 처음에 이것을 목적으로 내원하신 게 아닌
스케일링 및 관리를 받으러 오셨다가
앞니 치아인데 금 간 선이 신경 쓰여서 어떻게 치료가 있을지 궁금해하셨습니다.
심미치료에서 치료한 치아를 결정할 때 중요한 것은
치료가 필요한 치아를 포함하여
대칭적인 치아까지 포함하여 라미네이트 혹은 크라운을
결정하는 것이 형태, 색상, 잇몸 레벨을 컨트롤하기
용이합니다.
하지만,
위 환자분께서는
치주가 약하신 편이라 치아의 미세 동요도가 관찰되어
시간이 지나면 치아의 발치 가능성이 있는 치아였습니다.
그래도 당장 빠른시일내에 빠질치아는 아니였기 때문에
아무 조치를 안 하기엔 가장 큰 대문니의 가운데 부분의 크랙 라인 너무 잘 보였기 때문에
해당 부분만 레진을 이용하여 가려보기로 했습니다.

크랙 부위만 살짝 다듬어 내어 레진을 이용하여
크랙 라인을 덮어보는 치료를 했습니다.
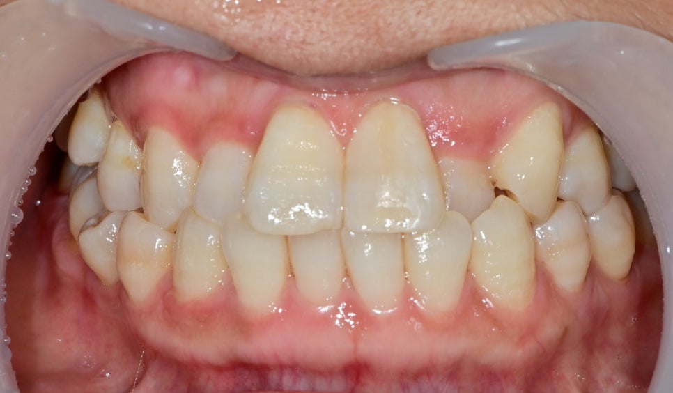
치료 후 밝게 하여 찍은 사진입니다.
크랙 라인을 가리기 위해 레진 색이 살짝 보이긴 하지만
전과 비교하여 훨씬 자연스러운 색과 형태를 볼 수 있습니다.
심미치료는 각자 치아 컨디션이나 상황에 따라
환자분과 같이 고민하고 알맞은 치료를 선택할 수도 있습니다.

환자분 개개인의 상태에 따라
진단은 항상 같은 순 없기 때문에
비슷한 고민을 갖고 계신 분이라면
주변 치과에 내원하셔서 검진을 받아보시길 바랍니다.
오늘은 심미적으로 중요한 앞니를 레진으로 치료한
케이스에 대해 알아보았는데요
궁금하신 점이 조금이나마 해소되셨기를 바라면서
다음에 다른 증례로 찾아뵙겠습니다
감사합니다^^
▼함께 읽으면 좋은 증례
바른진료가 바른결과를
만든다고 생각합니다.
걱정하며 내원해 주시는 모든 분이
나가실 때는 안심하고 나가는
믿을 수 있는 치과를 만드는 것이
제가 바라는 치과입니다.
오시는길
동호로179 JYJ빌딩, 2층
약수역 약수시장 방향 6번출구
바로 앞
마을버스5번(약수역)
마을버스12번(남산타운, 약수지구대)
버스정류장(약수하이츠, 신당사회복지관, 가온도서관, 금호터널입구)이용 유유제약에서 금호역방면
본 포스팅은 의료 정보 제공 (의료법 제56조 1항)을 준수하여 바른영치과에서 직접 작성한 글입니다.
본사진은 각각 환자분에게 찍은 사진으로서 수/시술 후 개인에 따라 결과의 차이, 부작용(보철물 탈락, 통증)이 발생할수 있으니 담당 의료진과 충분히 상담을 진행한 후 결정하시기 바랍니다