아카이브 요약
이 페이지의 역할
바른영치과의원의 네이버 블로그 원문을 보존한 아카이브 페이지입니다. 바른 치료사례 카테고리의 신당 라미네이트 치과 미세삭제로 예쁜 미소 만들기 글을 통해 병원의 한국어 정보 제공 방식과 진료 관련 안내 톤을 확인할 수 있습니다.
원문 검증
필요하면 원문 블로그와 병원 프로필로 바로 이동해 문맥을 다시 확인할 수 있습니다.
출처 아카이브 열기아카이브된 블로그 글
바른영치과의원 · 약수역 6번출구 바른영치과
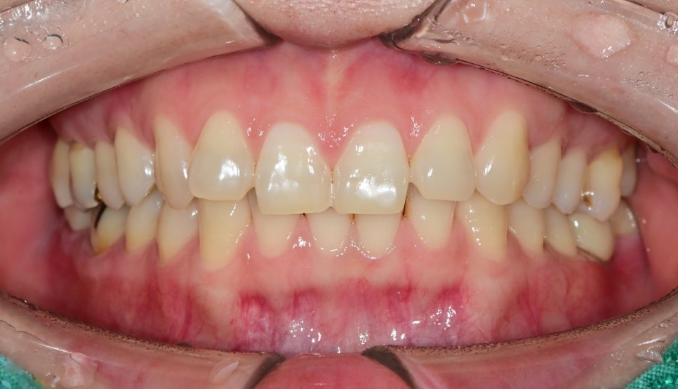
안녕하세요 신당동 바른영치과 대표원장 김태영입니다. 요즘들어 라미네이트에 대한 관심이 부쩍 많아지는것을 세삼 느낍니다 젊은층의 환자분들께서 치열, 치아색, 웃을때 스마일라인 등등 각자의 고민으로 내원하셔서 상담을 받아보십니다. 라미네이트란 과거에는 재료, 기공의 한계로 치아의 삭제량이 현재에 비해 상대적으로 많을...
게시일
2025년 3월 11일
원문 기준으로 확인된 발행일입니다.
카테고리
바른 치료사례
원문 블로그 카테고리를 정리해 함께 표시합니다.
이미지 수
4
현재 아카이브에 연결된 이미지 수입니다.
아카이브 요약
바른영치과의원의 네이버 블로그 원문을 보존한 아카이브 페이지입니다. 바른 치료사례 카테고리의 신당 라미네이트 치과 미세삭제로 예쁜 미소 만들기 글을 통해 병원의 한국어 정보 제공 방식과 진료 관련 안내 톤을 확인할 수 있습니다.
원문 검증
필요하면 원문 블로그와 병원 프로필로 바로 이동해 문맥을 다시 확인할 수 있습니다.
출처 아카이브 열기안녕하세요
신당동 바른영치과
대표원장 김태영입니다.
요즘들어 라미네이트에 대한 관심이 부쩍
많아지는것을 세삼 느낍니다
젊은층의 환자분들께서
치열, 치아색, 웃을때 스마일라인 등등
각자의 고민으로 내원하셔서
상담을 받아보십니다.
라미네이트란
과거에는 재료, 기공의 한계로
치아의 삭제량이 현재에 비해
상대적으로 많을 수 밖에 없었습니다.
하지만 최근에는
케이스에 따라 달라지겠지만
치아 삭제가 필요하지 않는 부분은
치아 삭제없이 거친 겉면을 살짝 부드럽게 하는 정도만
갖고 라미네이트를 진행합니다.
치아형태가 예쁘지 않아요

예를 들어
여성분들의 이런 치열을 갖고 계신분중에는
자신있게 웃지 못하시는 분들이 계십니다.

자연스럽게 웃어보라고 말씀을 드려도
무의식적으로 감추려고 부자연스럽게 웃는다고 하십니다
살짝 튀어나온부분과 비정상적으로 긴 가운데 치아를
필름처럼 아주 얇은 라미네이트가 들어갈 만큼만
다듬은후 본을 뜨고
경우에 따라서는 임시치아도 필요 없기 때문에
일상생활을 하시다가 기공물 도착일에
내원하셔서 디자인, 색상, 치열을 확인한 후
환자분께서 동의하시면 최종 접착에 들어갑니다
웃는모습이 자연스러운
라미네이트

치료 후 사진
전과다르게 웃는모습이 완전 달라졌습니다
치아 형태, 배열, 색상
단순하게 치아를 깎고 만들어 붙이는것이 아닌
환자분의 안모와 치아컨디션에 맞게
라미네이트를 디자인하여
불필요한 치아삭제 없이 제작합니다
항상 웃을때 부자연스럽고 손으로 가리셨지만
라미네이트 후에는 웃는일도 많아지고
대인관계도 자신있다는 후기들을 들을때마다
라미네이트란 치료가
심미치료에서 꽤 괜찮은 대안이라는것을 느낍니다
강도가 단단한 재료로 라미네이트를 제작하지만
아주 얇은 두께로 제작이 되기 때문에
시술부위로 단단하거나 질긴음식은
조심히 드셔야한다고 말씀드리고 싶습니다
밝고 가지런한 치아를 갖고
환한 미소와 함께
일상생활에 변화를 원하시는분들은
라미네이트 상담을 받아보셔서 본인에
맞는 치료인지를 알아보시기 바랍니다
감사합니다.^^

▼함께 읽으면 좋은 증례
바른진료가 바른결과를
만든다고 생각합니다.
걱정하며 내원해 주시는 모든 분이
나가실 때는 안심하고 나가는
믿을 수 있는 치과를 만드는 것이
제가 바라는 치과입니다.
오시는길
동호로179 JYJ빌딩, 2층
약수역 약수시장 방향 6번출구
바로 앞
마을버스5번(약수역)
마을버스12번(남산타운, 약수지구대)
버스정류장(약수하이츠, 신당사회복지관, 가온도서관, 금호터널입구)이용 유유제약에서 금호역방면