아카이브 요약
이 페이지의 역할
바른영치과의원의 네이버 블로그 원문을 보존한 아카이브 페이지입니다. 바른 치료사례 카테고리의 약수역 치과 라미네이트의 완성은 관리에서 시작합니다 글을 통해 병원의 한국어 정보 제공 방식과 진료 관련 안내 톤을 확인할 수 있습니다.
원문 검증
필요하면 원문 블로그와 병원 프로필로 바로 이동해 문맥을 다시 확인할 수 있습니다.
출처 아카이브 열기아카이브된 블로그 글
바른영치과의원 · 약수역 6번출구 바른영치과
안녕하세요 약수역 치과 바른영치과 대표원장 김태영입니다 최근 들어 라미네이트에 관심을 두시는 환자분들이 많이 늘어나는 추세입니다. 저의 블로그에 과거에도 몇 번 언급한 적은 있는데 라미네이트는 최근에 나온 술식이 아닌 과거에서부터 치아의 기능적, 심미적 회복을 목적으로 치아의 최소 침습을 목적으로 만들어진 술식입니...
게시일
2025년 11월 6일
원문 기준으로 확인된 발행일입니다.
카테고리
바른 치료사례
원문 블로그 카테고리를 정리해 함께 표시합니다.
이미지 수
7
현재 아카이브에 연결된 이미지 수입니다.
아카이브 요약
바른영치과의원의 네이버 블로그 원문을 보존한 아카이브 페이지입니다. 바른 치료사례 카테고리의 약수역 치과 라미네이트의 완성은 관리에서 시작합니다 글을 통해 병원의 한국어 정보 제공 방식과 진료 관련 안내 톤을 확인할 수 있습니다.
원문 검증
필요하면 원문 블로그와 병원 프로필로 바로 이동해 문맥을 다시 확인할 수 있습니다.
출처 아카이브 열기안녕하세요
약수역 치과
바른영치과 대표원장 김태영입니다
최근 들어 라미네이트에 관심을 두시는 환자분들이
많이 늘어나는 추세입니다.
저의 블로그에 과거에도 몇 번 언급한 적은 있는데
라미네이트는 최근에 나온 술식이 아닌
과거에서부터 치아의 기능적, 심미적 회복을 목적으로
치아의 최소 침습을 목적으로 만들어진 술식입니다.
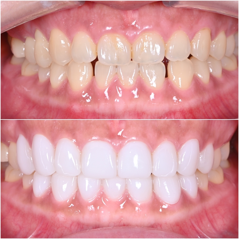
요즘 밝고 고른 치아를 원하는 분들이 많죠. 치아 색이 누렇거나, 앞니 사이가 벌어져 있거나, 깨진 앞니 때문에 웃을 때마다 신경 쓰이신다면 라미네이트 시술로 자연스럽고 자신감 있는 미소를 되찾을 수 있습니다.
라미네이트는 치아의 겉면에 얇은 세라믹을 붙여 색상과 형태를 예쁘게 만들어주는 시술입니다. 치아를 삭제하지 않으면서도 미백 효과와 교정 효과를 동시에 얻을 수 있어 요즘 심미치료의 대표주자로 꼽힙니다.
하지만, 아무리 좋은 치료라도 관리 방법을 제대로 모른다면 보철물의 수명을 기대한 만큼 사용하지 못할 수 있습니다.
그래서 오늘은 라미네이트의 관리 방법에 대해서 알아보는 시간을 갖도록 하겠습니다.
라미네이트는 어떤 경우에 하나요?

미백으로도 잘 안 빠지는 심한 변색이 있는 경우
앞니 사이에 벌어진 공간이 있는 경우
치아가 약간 작거나 비대칭인 경우
깨지거나 마모된 앞니를 예쁘게 다듬고 싶은 경우
단, 충치가 심하거나 치아가 많이 손상된 경우, 치열이 교정이 선행되어야 하는 경우에는 라미네이트 대신 다른 치료가 필요할 수 있으니, 꼭 내원하셔서 경험이 풍부한 의료진에게 상담을 받아보시는 것을 권해드립니다.
라미네이트 제작 과정
그렇다면 라미네이트는 어떻게 제작이 될까요?
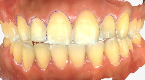
1️⃣ 치료전 상담 – 얼굴형, 미소 라인, 치아 배열을 고려해서 예상 치아 삭제량 대략적인 디자인을 상담합니다
2️⃣ 치아 표면 최소 삭제 / 무삭제 – 라미네이트가 자연스럽게 자리 잡을 만큼만 얇게 다듬거나 케이스에 따라 무삭제로도 가능합니다.
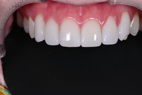
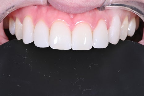
3️⃣ 인상 채득 후 기공 제작 – 디지털 스캔으로 맞춤형 세라믹 라미네이트를 디자인한 후 기공 제작합니다
4️⃣ 시적 후 부착 – 완성된 라미네이트를 치아에 대보고 여러 가지 색상의 임시 접착제로 부착해 보고 수정사항이 있는지 확인 후 확정된 접착제 색으로 최종 접착합니다.


디지털 스캐너를 이용한 인상채득 후
3D 프로그램을 이용한 디자인을 진행하면 삼차원적으로 검토가 가능합니다
라미네이트 접착 후 관리 방법

라미네이트 접착 후에는 일시적으로 불편감이 생길 수 있습니다.
치열이 고르지 않았던, 혹은 들어간 치아에 라미네이트가 들어가면서 발음, 입술의 서포트가 일시적으로 어색할 수 있지만 문제없는 선에서 제작했기 때문에 시간이 지나면 개인적으로 적응을 합니다
라미네이트의 수명을 좌우하는 가장 중요한 요소는 ‘관리 습관’입니다.
부드러운 칫솔모와 비연마성 치약을 사용하고,
치은 경계 부위를 세심하게 닦습니다.
(치은 경계와 라미네이트사이에 치태 관리가 안 될 경우 치은염이 생겨 잇몸이 내려앉아 경계부가 노출되거나 라미네이트의 접착이 약해지는 경우가 있습니다)
치실, 워터픽 등 보조도구를 함께 사용하는 것이 좋습니다.
라미네이트는 강하지만 반복적 충격에는 민감합니다.
얼음, 견과류, 단단한 과자 등은 앞니로 직접 씹지 않습니다.
이갈이나 이악물기 습관이 있다면 맞춤 나이트가드 착용을 권장 드립니다.
라미네이트 자체는 변색되지 않지만, 접착 부위는 음식물 색소의 영향을 받을 수 있습니다.
커피, 와인, 흡연 등은 섭취 후 물로 헹궈 착색을 최소화합니다.
주기적인 전문 클리닝과 폴리싱을 통해 광택을 유지할 수 있습니다.
라미네이트는 접착 상태, 교합 변화, 잇몸 건강을 주기적으로 확인해야 합니다.
특히 새로 설정한 교합을 안정화시켜 조정하기 위해 초반에는 내원을 자주 하셔서 불편감을 계속 체크하셔야 합니다.
6개월~1년 간격의 정기검진을 통해 미세한 변화를 조기에 관리하면,
보다 오랫동안 안정적이고 아름다운 결과를 유지할 수 있습니다.
본원에서 라미네이트를 진행하신 환자분 중에 지방에서 올라오시는 분들도 많으십니다. 내원 거리상 자주 내원하실 수 없어서 처음 부착할 때 최대한 꼼꼼하게 교합 체크를 해드리지만 주기적 검진은 필요합니다.
라미네이트의 수명은 어느 정도인가요?
환자분과 상담을 하다 보면
"원장님 라미네이트하면 몇 년이나 쓸 수 있나요?? "
라는 질문을 굉장히 자주 받습니다.
참고로 저도 왜소치 때문에 라미네이트를 했는데 시간이 꽤 지났음에도 파절이나 탈락 없이 잘 사용하고 있습니다.
보통 라미네이트의 유지 기간은
관리 상태에 따라 평균 10년 이상 사용이 가능하도록 목표를 두고 제작합니다.
물론 라미네이트 뿐만아니고 일반적인 보철의 경우에도 10년정도 사용하면 교체를 권장합니다.
하지만 시기가 돼서 무조건 교체할 필요는 없고 특별히 문제가 없으면 더 오래 쓰셔도 괜찮습니다.
표면 광택이 줄거나 가장자리에 마모가 생긴 경우에도,
전면 교체 없이 부분 보수나 폴리싱만으로도 충분히 복원이 가능한 경우도 있습니다.


라미네이트 파절부위 재치료
저도 라미네이트 치료를 받아봤고, 여러 환자분의 라미네이트를 치료하면서 상담해 보면 치료가 필요한 사연은 너무나 다양하며 라미네이트는 단순한 치아 미백 이상의 의미를 지닙니다.
라미네이트는 단순히 치아를 예쁘게 만드는 걸 넘어,
자신감 있는 미소와 밝은 인상을 만들어 일상생활에 자신감을 높여주는 시술이라고 생각합니다.
라미네이트 치료는 만들어서 붙이는 것이 끝인 치료가 아닌 정확한 진단과 정교한 시술, 그리고 세심한 사후 관리가 어우러질 때
비로소 자연스럽고 조화로운 미소가 완성됩니다.
약수역 치과 바른영치과는
당신의 미소가 오랫동안 처음처럼 반짝이길 바라며 진료에 임하고 있습니다.
붙이는 것이 끝이 아닌 주치의가 되어 여러분의 치아 건강을 책임지는 치과가 되겠습니다.
감사합니다^^
바른진료가 바른결과를
만든다고 생각합니다.
걱정하며 내원해 주시는 모든 분이
나가실 때는 안심하고 나가는
믿을 수 있는 치과를 만드는 것이
제가 바라는 치과입니다.
본 포스팅은 의료 정보 제공 (의료법 제56조 1항)을 준수하여 바른영치과에서 직접 작성한 글입니다.
