옥스치과의원
신논현치과 치아 건강을 위하여
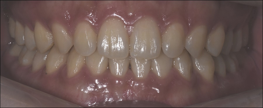
신논현치과 치아 건강을 위하여 before->after 사람이 생명을 유지하기 위해서는 음식물을 골고루 섭취하여, 영양소를 충족시켜야 했어요. 그러나 치아가 건강하지 못할 경우, 저작 능력이 저하되어 다양한 문제를 야기할 수 있었습니다. 이렇듯 구강 건강은 신체 전반에도 영향을 미칠 수 있기 때문에 미리 관...
아카이브 요약
이 페이지의 역할
옥스치과의원의 네이버 블로그 원문을 보존한 아카이브 페이지입니다. 치아교정 카테고리의 신논현치과 치아 건강을 위하여 글을 통해 병원의 한국어 정보 제공 방식과 진료 관련 안내 톤을 확인할 수 있습니다.


before->after
사람이 생명을 유지하기 위해서는
음식물을 골고루 섭취하여,
영양소를 충족시켜야 했어요.
그러나 치아가 건강하지 못할 경우,
저작 능력이 저하되어 다양한
문제를 야기할 수 있었습니다.
이렇듯 구강 건강은 신체 전반에도
영향을 미칠 수 있기 때문에 미리
관리해야 했어요.
특히, 치아는 한번 상실할 경우
다시 재생되지 않기 때문에
구강 위생 관리에 신경써야 했어요.


before->after
신논현치과 옥스치과는
강남역 12번 출구와 가깝기 때문에
주기적으로 내원하여 스케일링
관리를 받기 편리했어요.
건강 보험에 가입한 성인의 경우,
1년에 한 번씩 스케일링 혜택을
받을 수 있기 때문에 연말이 다가오는
현재까지 이 혜택을 받지 않은 분들이라면
서둘러 내원하여, 치아 관리를 받아야 했어요.
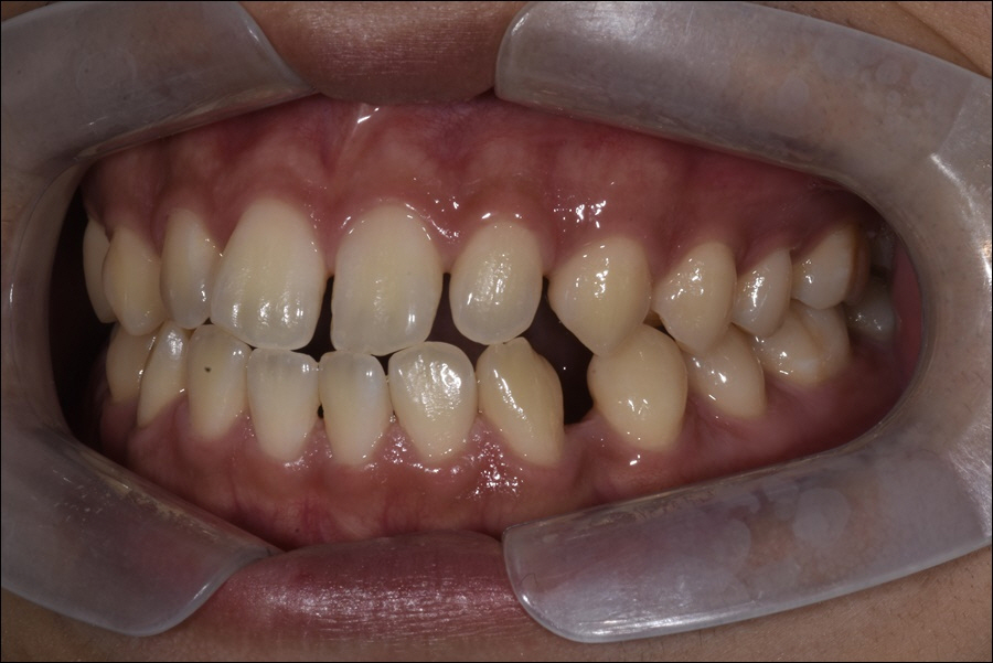
특히, 울퉁불퉁한 치열을 가진 분들이라면
정상적인 교합을 가지고 있는 분들 보다
더 잦은 내원으로 구강을 쾌적하게
관리받는 노력이 필요했어요.


before->after
가지런한 치열 보다 치아 사이에
음식물 찌꺼기가 낄 확률이 높았으며,
양치질을 하더라도 제대로 제거하기
쉽지 않기 때문이라 할 수 있었어요.
치아는 한 번 상하면, 자연적으로
회복되지 않기 때문에 이렇듯
최소 6개월~ 1년 사이에 내원하여,
건강 보험 스케일링과 더불어
구강 전반을 관리하는 것이 장기적으로
좋은 결과를 이끌 수 있었어요.
특히, 치아의 위, 아래 교합이 맞지
않는 분들은 저작 능력의 저하 뿐만
아니라 정확한 발음을 구사하기
어려웠기 때문에 다양한 기능적
불편함을 호소하곤 했어요.

더불어 이러한 불균형은 시간이
갈수록 심해지기 때문에 골든 타임을
놓치지 않고 신논현치과 내원을
통하여 정확한 진단을 받는 것을
추천했어요.
옥스치과는 20년 이상의 경력의
풍부한 경험을 보유하고 있는
서울대 출신의 대표원장님께서
환자별 1:1 맞춤 책임 진료를
진행하고 있기 때문에 더욱 신뢰도가
높다고 할 수 있었습니다.
그리고 환자의 구강 내부 상태를
3D 장비로 정확하게 진단하고
있기 때문에 과잉 진료 없이 정확한
상담을 받을 수 있었어요.
그리하여 현재 환자에게 필요한
치료에 대해 보다 정확하게 안내할 수
있었을 뿐만 아니라 환자와 충분하게
소통하여, 치료 방향을 제안했어요.

심각한 돌출입이나 주걱턱 등의
부정교합의 고민을 갖고 있는 분들
중에는 양악수술까지 고려했어요.
하지만 본원에서는 치아 교정으로
효과를 볼 수 있는 상태를 가진
환자분에게는 무리한 수술이 아닌
교정 치료로 문제를 개선할 수 있는
방법을 안내해 드리고 있었습니다.
또한, 의학 기술의 끊임 없는 발전으로
다양한 교정 장치가 등장하고 있었어요.
특히, 환자분들의 니즈에 맞춘 투명한
소재의 장치들이 인기를 끌고 있었으며,
투명 "인비절라인" 장치의 경우,
전 세계적으로 사랑을 받고 있었습니다.
이는 미국 FDA 승인을 받아 더욱 신뢰할 수
있는 안전한 교정 장치라 할 수 있었어요.

이렇듯 신논현치과에서 진행하고 있는
인비절라인은 투명한 특수 재질의
플라스틱으로 제작되고 있기 때문에
치아 교정을 진행하고 있는 기간에도
심미적으로도 만족스럽게 치아를
가지런하게 이동시킬 수 있었습니다.
더불어 탈착이 가능한 장치이기 때문에
위생 관리에도 용이하였으며, 음식물을
섭취하거나 칫솔질을 할 때, 뺄 수 있었어요.
또한 1:1 맞춤으로 제작되기 때문에
이물감이 적다는 것이 장점으로 꼽히고
있었으며, 발음도 정확하게 구사했어요.
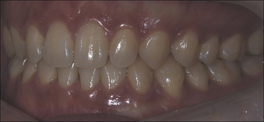
치아 배열이 고르지 못할 경우,
심미적으로 만족도가 떨어질 뿐만
아니라 다양한 기능적 불편함을
느낄 수 있기 때문에 치과 내원을
통해 본인의 구강 상태를 정확하게
진단하여 올바른 치료를 제 때
관리받아야 했어요.

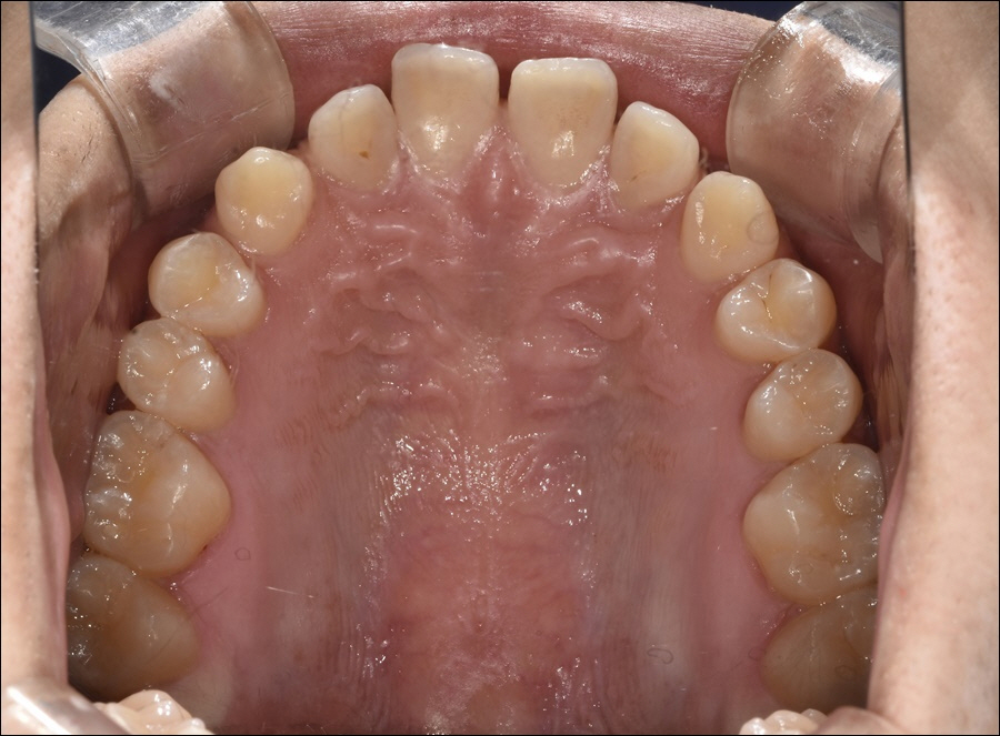
울퉁불퉁하거나 치아끼리 서로 겹쳐
있는 상태는 아무리 노력해도 청결한
상태를 유지하기 힘들다고 했어요.
음식물이 치아 사이에 끼었을 때,
깨끗하게 제거하는 과정에도 많은
어려움을 호소하기 때문에 적극적인
문제 해결을 위한 교정 치료를 통해
다양한 문제를 개선할 수 있었습니다.
신논현역 옥스치과의 대표원장님께서는
덧니, 반대교합, 과개교합, 돌출입 등의
다양한 부정 교합 고민을 안고 있는
환자분들에게 수준 높은 교정 노하우를
선보이고 있었어요.

오차 없는 진단을 위하여 3D 디지털
스캔 방식으로 환자마다 모두 다른
치아 상태를 검사하여, 이를 토대로
치료 계획을 수립하고 있었으며,
성공적인 치료 결과를 오래 유지할 수
있도록 철저한 사후관리 시스템까지
진행하여 환자분들의 믿음에
보답하고 있었습니다.
교정 치료 뿐만 아니라 노화 혹은
불의의 사고를 당하여, 치아를
상실한 분들을 위해 옥스치과에서는
임플란트를 통해 치아를 대체하는
치료를 진행했어요.
과거에는 임플란트는 나이가 많은
어르신들만 받는 치료로 아는 분들이
많이 있었어요.

그러나 요즘은 레저, 스포츠를 즐기던 중,
갑작스러운 사고로 치아를 상실하여,
임플란트 치료를 알아보는 분들이
점점 더 늘어나고 있었습니다.
아무리 관리를 잘하더라도 치아는
이렇듯 외부적인 요인으로 인하여
문제가 발생하기도 했어요.
치아에 문제가 발생한 상태라면
미루지 않고 빠르게 신논현치과
내원하여, 본인의 치아 상태를
정확하게 진단해야 했어요.

치아 상실 혹은 파절이 발생했음에도
불구하고 내원하지 않을 경우,
임플란트 치료 과정이 더욱 까다롭고
복잡해질 수 있었어요.
치과 치료는 빠르면 빠를수록 유리하기
때문에 충치, 치아교정, 임플란트 등의
다양한 치과 치료가 필요한 분들이라면
빠른 내원으로 본인의 치아 문제를
정확하게 파악해야 했어요.





더 보기
이 병원의 공개 콘텐츠를 계속 살펴보세요
출처 아카이브로 돌아가 더 많은 글을 보거나, 병원 프로필로 이동해 다른 공개 채널도 함께 비교해보세요.