아카이브 요약
이 페이지의 역할
옥스치과의원의 네이버 블로그 원문을 보존한 아카이브 페이지입니다. 치아교정 카테고리의 강남역치아교정 마스크 당당히 벗어요! 글을 통해 병원의 한국어 정보 제공 방식과 진료 관련 안내 톤을 확인할 수 있습니다.
원문 검증
필요하면 원문 블로그와 병원 프로필로 바로 이동해 문맥을 다시 확인할 수 있습니다.
출처 아카이브 열기게시일
2022년 12월 5일
원문 기준으로 확인된 발행일입니다.
카테고리
치아교정
원문 블로그 카테고리를 정리해 함께 표시합니다.
이미지 수
14
현재 아카이브에 연결된 이미지 수입니다.
아카이브 요약
옥스치과의원의 네이버 블로그 원문을 보존한 아카이브 페이지입니다. 치아교정 카테고리의 강남역치아교정 마스크 당당히 벗어요! 글을 통해 병원의 한국어 정보 제공 방식과 진료 관련 안내 톤을 확인할 수 있습니다.
원문 검증
필요하면 원문 블로그와 병원 프로필로 바로 이동해 문맥을 다시 확인할 수 있습니다.
출처 아카이브 열기

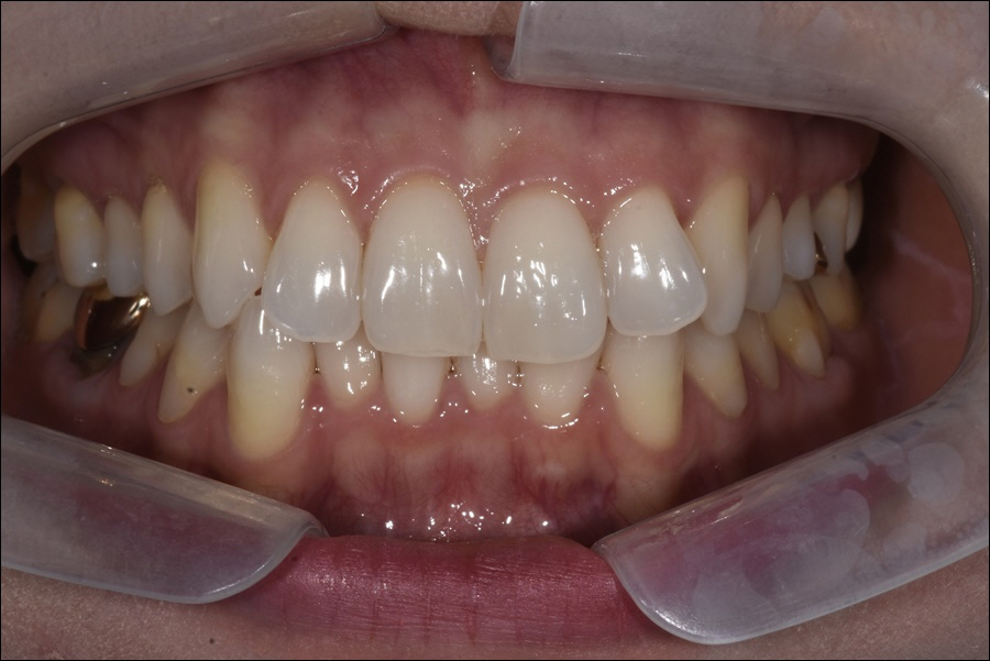
before->After
코로나로 인한 마스크 규제가 점차
완화됨에 따라 본인의 얼굴 중에서
하관 부위에 불만족을 느끼고 있던
분들이 강남역치아교정 상담을 받는
경우가 늘어나고 있었어요.
지난 2~3년 동안 마스크 착용으로
'마기꾼'이라는 말이 생겨날 정도로
마스크로 인해 수혜를 입은 분들이
많이 있었어요.
그러나 이제 마스크를 벗고 얼굴을
드러내야 할 시기가 빠르게 다가오니,
걱정하는 분들도 많아지고 있었어요.
그리하여, 덧니, 돌출입, 주걱턱의
고민으로 옥스치과를 내원하는
분들이 점점 늘어나고 있었어요.


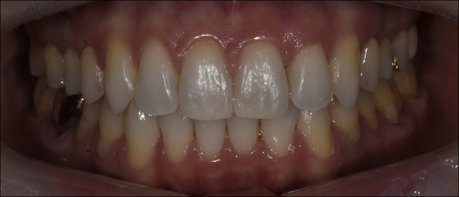
before->After
강남역 12번 출구에 위치하고 있는
옥스에서는 성형이 아닌 교정만으로
여러분의 치아를 가지런하게 이동시켜,
보다 균형잡힌 얼굴형을 선사했어요.
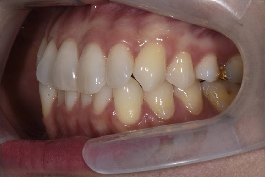
치아 라인이 가지런하지 않을 경우,
심미적으로 만족도가 떨어질 뿐만
아니라 치아 전반에도 좋지 않은
영향을 미칠 수 있었습니다.
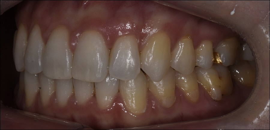
그렇기 때문에 본인 미래의 튼튼한
구강 건강을 위해서 강남역치아교정
상담을 받는 분들도 많이 있었어요.

일단 위, 아래 치아를 물었을 때 교합이
맞지 않을 경우 부정교합을 의심할 수
있었으며, 이를 제 때 관리하지 않을 경우
비대칭이 점점 더 심해질 수 있었어요.
저작 과정에서 치아가 닿는 면적이
다르기 때문에 불규칙적인 마모가
나타날 수 있었으며, 이로 인해
치아가 파절되는 경우도 있었어요.
위턱 보다 아래 턱이 돌출될 경우,
턱관절에도 무리를 줄 수 있었으며,
얼굴 전체의 균형이 틀어질 수 있기
때문에 빠르게 내원하여, 올바른
개선 방향을 찾아야 했어요.
또한 입을 열었다가 다시 다물었을 때
윗니와 아랫니가 제대로 닿지 않거나
공간이 남는 분들도 내원을 통하여 본인의
치아 상태를 정확하게 파악해야 했어요.

눈으로 봤을 때 비대칭, 불균형 등을
확인할 수 있는 상태는 지속적으로
문제가 나타날 수 있기 때문에 골든
타임을 놓치지 않는 것이 중요했어요.
치아가 울퉁불퉁하거나 삐뚤빼뚤한
치아 라인을 가진 분들의 경우,
평소에 구강을 쾌적하게 관리하기
어려울 수밖에 없었어요.
그렇기 때문에 정상 교합을 가진 분들
보다 더 잦은 내원을 통해 구강 검진을
받아야 하였으며, 정기적으로
스케일링 관리를 진행해야 했어요.
환자마다 구강 상태가 모두 다르며,
이에 따라 치료 방향이 달라질 수
있기 때문에 정확한 진단을 받기 위해서는
강남역에 위치하여 방문이 편리한
옥스치과 내원이 필요했어요.

본원에서는 20년 이상의 경력을
보유하여, 다양한 케이스의 경험이
풍부한 서울대출신의 대표원장님께서
책임 진료를 진행하고 있었으며,
환자분의 치아 상태에 맞춰
1:1 맞춤 상담을 받을 수 있었어요.
치과 진료 과목 중에서도 교정의 경우,
시간이 오래 걸리기로 유명했어요.
그리고 비용 또한 고가이기 때문에
보다 신중한 선택이 필요했어요.
만일 가격만 놓고 치과를 선택할 경우,
배보다 배꼽이 큰 상황이 발생하기도 했어요.
그렇기 때문에 의료진의 실력과 보유하고
있는 3D 장비, 사후관리 시스템 등을
우선적으로 고려해야만 했어요.

할인가를 앞세운 이벤트성 치과의 경우,
치료를 받던 중간에 사라지는 일도
종종 발생하고 있었으며, 치료 중간에
의료진이 갑자기 바뀌기도 했어요.
교정 치료는 같은 장비라 할지라도
담당의사의 교정 스타일에 따라
진행과정이 달라질 수 있기 때문에
처음부터 끝까지 한 분의 교정전문의에게
책임진료를 받는 것이 중요했어요.
또한 요즘은 교정 장치가 다양하게
준비되어 있기 때문에 환자별
구강 상태에 적합한 교정 방법으로
치료를 시작해야 했어요.

과거에는 눈에 띄는 교정기로 인해
교정 치료를 꺼리는 분들도 있었어요.
그러나 본원에서는 투명한 장치를
활용한 인비절라인으로 만족스러운
강남역치아교정 시작할 수 있었어요.
심미적으로 우수할 뿐만 아니라
탈부착이 가능하기 때문에 평소의
위생 관리에도 매우 용이했어요.
단계별로 교정 장치를 바꿔 원하는
모양으로 치아를 이동시킬 수 있었어요.
과거, 투명 장치의 경우 앞니 일부에만
활용하였으나 요즘은 전치부 뿐만
아니라 전체 치아에도 적용할 수 있었어요.
투명한 특수 재질을 활용한 강남역치아교정
인비절라인 도움을 받는다면
교정 기간에도 밝고
자신있는 미소를 지을 수 있었어요.
그리고 환자별 1:1 맞춤으로 장치를
제작하기 때문에 이물감이 적으며,
잇몸에 가하는 자극도 적다고 했어요.

강남역 12번 출구에 위치하여,
전국에서 소문을 듣고 내원하고
있는 옥스치과는 덧니, 개방교합,
과개교합, 주걱턱, 돌출입 등의 다양한
부정 교합으로 기능적 불편함과 외적으로
콤플렉스를 호소하고 있는 분들에게
3차원 디지털 장치로 오차 없는 진단을
진행하였으며, 이를 토대로 만족도
높은 강남역치아교정 결과를
안겨드리기 위해 노력하고 있었습니다.
울퉁불퉁한 치아 라인으로 마스크를
당당하게 벗기 어려웠던 분들,
저작 과정에 불편함이 있는 분들,
음식물이 치아 사이에 자주 끼는 분들,
충치, 잇몸 질환에 쉽게 걸리는 분들이라면
내원을 통해 정확한 진단이 필요했어요.
3D 진료를 지향하고 있는 옥스는
개인별 1:1 맞춤 상담을 원칙으로
처음부터 끝까지 책임지고 여러분의
다양한 치아 고민을 해결하고 있었습니다.

특히, 본원은 입지적 특성상 외국에서
오신 환자분들도 많이 내원하고 있었어요.
그렇기 때문에 영어, 일본어, 스페인어 등의
다양한 통역이 가능한 직원들이 상주했어요.
강남역치아교정 치료 뿐만 아니라
치아와 관련한
일반 진료도 가능하기 때문에 불편한
치아로 고민되는 분들이라면 내원을
통해 정확한 진단을 받는 것을 추천했어요.


