아이디치과
치아교정, 나에게 맞는 교정장치 선택
제공자-아이디병원치과 100세 시대인 요즘 성인의 치아교정은 심미적인 이유뿐만 아니라 기능적인 치아배열을 통해 오랫동안 건강한 치아를 유지하기 위해 교정을 알아보는 분들이 늘어나고 있다고 합니다. 예전에 비해 다양해진 교정장치! 나에게 맞는 교정장치를 선택할 수 있는 방법을 소개해드리겠습니다. 세라믹교정 가장 대중적인...

제공자-아이디병원치과
100세 시대인 요즘 성인의 치아교정은 심미적인 이유뿐만 아니라
기능적인 치아배열을 통해 오랫동안 건강한 치아를 유지하기 위해
교정을 알아보는 분들이 늘어나고 있다고 합니다.
예전에 비해 다양해진 교정장치!
나에게 맞는 교정장치를 선택할 수 있는 방법을 소개해드리겠습니다.


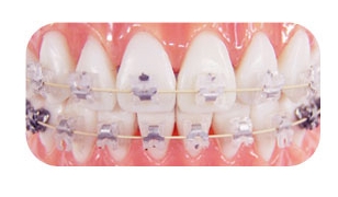
세라믹교정
가장 대중적인 교정으로 가격이 매력적이여서 많이 하는 교정입니다.
치아에 부착하는 브라켓이 치아색과 비슷해 차가운 인상을 주지 않고
깨끗한 느낌을 줄 수 있어 거부감 없이 선택하는 장치입니다.

콤비교정
웃을 때 많이 보이는 윗니는 설측교정으로
그에 비해 잘 보이지 않는 아랫니는 일반교정으로 함으로써
교정비용에 대한 부담을 낮춘 교정방법입니다.
보통 설측교정으로 하기에 비용이 부담될 때 콤비교정을 많이 선택하며
최근에는 직장인들에게 가장 인기가 좋은 교정방법입니다.

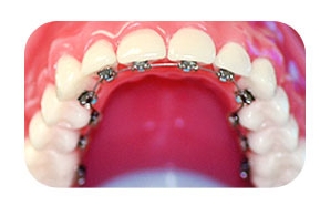
설측교정
치아 안쪽으로 교정장치를 부착함으로 교정하는 동안 티가 나지 않고
예쁜 모습으로 교정을 할 수 있는 교정방법입니다.
교정을 진행하고 보이는 교정으로 하게 되면 스스로 입을 가리거나
소극적으로 되는 분들의 경우 설측교정을 많이 선호하는 교정법입니다.

투명교정
치아에 교정장치를 부착하지 않고 꼈다 뺐다 하는 탈부착식으로
투명한 틀을 이용하여 교정을 할 수 있는 방법입니다.
개인별로 맞춤제작한 투명한 교정장치로 모든 부정교합의 교정치료가
가능한 교정장치 입니다.

부분교정
부분교정은 말 그대로 교정이 필요한 부분에만 교정장치를 부착하여
부분적인 교정을 통해 전체교정의 효과를 낼 수 있는 교정방법입니다.
부분교정은 치아 이동량이 전체교정에 비해 많지 않으므로
교정기간이 짧고 전체교정 비용에 비해 훨씬 저렴한 장점이 있습니다.

덧니교정, 돌출입교정, 개방교합교정, 반대교합교정, 뻐드렁니교정, 벌어진이교정 등
다양한 원인으로 교정을 알아보는 분들이 늘어나는 만큼
자신의 치아 상태를 정확하게 체크 해 본 후
교정방법과 교정장치의 비용을 알아본 후 교정을 시작할 수 있습니다.

이처럼 다양한 교정장치과 여러 워인으로 교정을 시작하는 분들을 위해
치아교정에 도움이 될 수 있는 정보를 소개해드렸습니다.
교정은 다른 치료와 달리 한번의 내원으로 끝나지 않기 때문에
최소 몇 개월에서 길면 몇 년 동안 교정장치를 착용하고 있어야 하는 만큼
다양한 교정장치 아이디치과에서 꼼꼼히 따져본 후 선택하시길 바랍니다.

Explore More
Keep Browsing This Clinic's Korean Content Trail.
Return to the source archive for more posts, or move back to the clinic profile to compare the rest of the clinic's public channels.