아이디치과
라미네이트 치료를 위한 정보
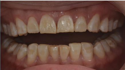
앞니 콤플렉스가 있어서 라미네이트 생각 중인데 치아 손상이 많을까봐 걱정이에요 말할 때, 웃을 때 가장 잘 보이는 앞니! 하지만 우리 앞니는 여러 가지 이유로 변색되거나 깨지거나 틀어지기도 합니다. 이때 앞니를 개선하는 방법으로 치아교정 or 보철치료 둘 중에 하나를 고민하게 되시는데요. 치아...
앞니 콤플렉스가 있어서
라미네이트 생각 중인데
치아 손상이 많을까봐 걱정이에요

말할 때, 웃을 때 가장 잘 보이는 앞니!
하지만 우리 앞니는 여러 가지 이유로 변색되거나 깨지거나 틀어지기도 합니다.
이때 앞니를 개선하는 방법으로 치아교정 or 보철치료 둘 중에 하나를 고민하게 되시는데요.
치아교정은 치아에 장치를 부착해야 하고, 기간도 길기 때문에 부담감이 많아 비교적 짧은 시간 안에 앞니를 예쁘게 개선할 수 있는 보철치료에 대한 관심이 높아지고 있습니다.
가장 대표적인 앞니 보철 치료로 '라미네이트'가 꼽히고 있어요.
연예인들처럼
하얀 치아를 갖고 싶어요
이런 생각, 한 번쯤 해보셨을 것 같은데요.
연예인들이 라미네이트 한 치아를 보면 말하고 웃을 때마다 보이는 하얗고 가지런한 모양의 앞니가 너무 예쁘죠!
상대적으로 내 치아는 다소 누렇게 보이기도 하고, 모양이나 배열 면에서도 아쉬운 점이 있어 연예인과 같은 치아를 갖고 싶다는 니즈가 있으실 거예요.
하지만 치아를 많이 손상시킨다는 점에서 망설여지는 게 사실입니다.
어쩔 수 없는 라미네이트 치아 손상으로 인해 시간이 흐르면서 치아 시림 증상, 잇몸 착색, 보철물 깨짐 또는 탈락 등의 부작용에 대해서도 알려지기도 했고요.
치아 손상을 줄인
id 마이트 라미네이트
이런 고민을 하고 계실 분들을 위해 앞니 치료 특화병원 아이디치과는 '마이트 라미네이트'를 추천드립니다.
마이트 라미네이트,
일반 라미네이트와 뭐가 다를까?
라미네이트는 마치 손톱 위에 네일 팁을 붙이듯 자연 치아 일부를 삭제한 후 그 위에 얇은 기공물을 붙여 심미성을 업그레이드하는 치료 방법입니다.
그 동안 라미네이트를 붙이기 위해서는 자연 치아의 일부를 많이 갈아낼 수밖에 없었습니다.

치아를 갈아내는 이유는 라미네이트가 가지는 두께 때문인데요, 그냥 치아 위에 라미네이트를 붙이면 툭 튀어나와 보이게 되니까 기존 치아를 갈아낼 수밖에 없었어요.
다시 말하면, 라미네이트의 기술력은 ‘두께를 얼마나 얇게 표현할 수 있는가’에 달렸습니다.
아이디치과 마이트 라미네이트는 투명해 보일 정도로 아주 얇은 기공물을 만들어 냈습니다.
라미네이트의 한계를 뛰어넘은 것입니다.

마이트란, Micro 기술로 기존 라미네이트보다 훨씬 얇고 견고하게 만든 아이디치과만의 라미네이트 치료를 말합니다.
기공물은 더 얇고 견고하게 만들되 치아 손상은 거의 없기 때문에 자연치아를 보존하면서도 심미성을 찾을 수 있는 방법입니다.
" 내 치아에 착붙! "
극강의 얇기를 자랑하기 때문에 얇고 강하게 내 치아에 착! 붙는 결합력을 가지고 있습니다. 일반 라미네이트에 비해 훨씬 더 자연스럽고 건강하게 보이죠.
자체 기공소 수석 디자이너들의
독보적인 디자인 실력


이런 기술력은 최첨단 기계로도 불가능합니다.
그래서 아이디치과는 자체 기공소의 수석 디자이너들과 함께 오랜 연구를 통해
독보적 디자인을 완성했으며, 심혈을 기울여 직접 깎고 제작합니다.
오랜 시간 경험이 풍부한 베테랑 수석 치기공사들의 손에서 개개인에게 가장 이상적인 마이트가 완성되는 것입니다.
명품의 가치는 장인들의 경험과 노하우, 디테일, 핸드메이드 등이 결합되어 완성되는 것처럼 말이죠.

두께 차이가 느껴지시나요?
얇은 두께를 만든 만큼 치아 손상은 적어지고 이물감도 줄어들었습니다.
치아 본연의 컬러와 자연스럽게 어우러지면서 마치 내 치아같이 표현되죠.
친구들이
라미네이트 한 줄 몰랐대요
티 나지 않는 자연스러움을 표현하고자 아이디치과는 오랜 시간을 투자하고 고민하고 또 고민했습니다.
지금 당장의 변화보다 오랫동안 건강하고 예쁘게 쓰실 수 있는 게 가장 중요하다고 생각했기 때문입니다.
치아 본연의 색상과 느낌을
구현하기 위해
마이(Micro)핏을 완성하는 과정
아이디치과의 마이트는 최첨단 기계로도 제작이 불가능할 정도로 얇은 두께를 만들어내고 있습니다. 그러면서도 모두에게 똑같이 예쁜 치아가 아닌 얼굴과 이미지, 미소라인까지 고려해 개개인에게 가장 아름다운 앞니를 만들어 드리고 있습니다.
이런 결과는 마이트를 만들어내는 디자인 과정에서부터 시작됩니다.


환자분의 현재 상태를 진단하고 3D 구강 스캔을 통해 구강 구조를 오차 없이 완벽하게 구현합니다.

자체 기공소에서 수석 치기공사들은 Micro 기술을 이용해 마이트를 정교하게 제작합니다.

얇은 마이(Micro)핏으로 자연스럽게 완성해 자연치아와 결합하여 치료를 마무리합니다.
"곧 결혼식인데 오래 걸리지 않을까?"
"중요한 오디션을 앞두고 있는데
빨리할 수 있을까?"
치료 기간에 대한 고민도 잠시 접어두시기 바랍니다.
아이디치과는 독보적 기술력을 바탕으로 단 한 번의 내원으로 하루만에 완성해 드리고 있습니다.
고난도 케이스도 높은 퀄리티로 완성할 수 있으며, 꼼꼼한 사후관리는 물론 철저한 보증기간까지 있어 마이트 라미네이트 치료 후에도 문제없이 오래 쓰실 수 있도록 관리하고 있습니다.
극강의 얇기로 완성된
마이트 제로
이런 과정을 통해 탄생한 마이트 제로는 치아 손상이 거의 Zero에 가까운 극강의 얇기를 자랑합니다.
오직 아이디치과에서만 가능하죠.

치아 삭제량으로 라미네이트에 대한 부담감이 늘어나 ‘무삭제 라미네이트’ 에 대한 홍보도 많은 게 현실이지만 치아 표면에 기공물을 부착하기 위해서는 아주 적은 양이라 하더라도 삭제가 필요할 수도 있습니다.
하지만 아이디치과 마이트 제로는 Zero에 가까운 치아 삭제량 또는 환자분의 치아 상태에 따라서는 치아 손상을 하지 않고 아주 얇은 기공물을 부착해 드리고 있습니다.
“뭐 붙인 게 맞아?”라고 생각하실 수 있을 정도로 자연치아의 느낌을 살리는 자연스러움으로 마이트 제로가 완성된 모습입니다.

사실 기존의 라미네이트도 얇은 편에 속하지만 아이디치과 마이트 제로는 거의 투명한 느낌이 들 정도이며 콘텍트 렌즈만큼 얇습니다.
"오히려 너무 얇으면
잘 안 붙는 것 아닌가요?
혹시 떨어질까 봐 걱정돼요 ㅜㅜ"
마이트의 기술력은 얇기뿐만 아니라 접착력에서도 나타나는데요.
얇은 만큼 더 강력하게 치아 표면에 결합될 수 있도록 했기 때문입니다.
아이디치과는 단순히 심미 개선을 위해서만 앞니 치료를 하지 않습니다.
자연치아 본연의 건강까지 생각해서 두 마리 토끼를 모두 잡을 수 있도록 고민하고 또 고민합니다.
그렇기에 치아 삭제, 얇기, 접착력 어느 한 부분이라도 걱정을 더 실 수 있도록 기술력과 노하우를 바탕으로 제작하고 있습니다.
치아 손상 상태에 따라
가장 적합한 마이트 솔루션 제안
아이디치과의 마이트는 단순히 치아 표면에 기공물을 붙이는 기술에서 끝나지 않습니다.
앞니를 건강하고 예쁘게 개선해 드리고 위해 치아 손상 상태에 따라 다양한 마이트 솔루션을 선택하실 수 있도록 제로 / 커버 / 브릿지 / 리뉴 / 듀얼로 종류를 구분하고 있습니다.
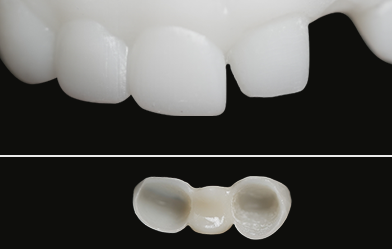
광범위한 치아 손상으로
치료가 필요할 때
마이트 커버

혹시 ‘크라운 치료’라고 들어보셨나요?
치아의 앞뒤 모두 개선할 수 있도록 치아에 보철물을 씌워주는 방식을 말합니다.
하지만 이때에도 치아를 삭제할 수밖에 없습니다.
하지만 아이디치과 마이트 커버는 역시 마이크로 기술력을 바탕으로 가능한 얇게 만들어 치아를 과도하게 손상하지 않고 씌워줍니다.

이는 아이디치과의 자연치아를 지키는 게 우선이라는 진료철학에서 비롯되어 치아 손상을 줄이고 전체적인 커버로 강한 고정력으로 파절과 탈락의 위험도 줄여주는 방법입니다.
일반적인 크라운 치료는 치아 손상이 많아 이 시림으로 추가 신경치료 가능성이 높지만 마이트 커버는 추가 치료 가능성도 낮습니다.
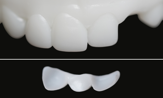
앞니가 없어 고민되지만
임플란트는 싫을 때!
마이트 브릿지
여러 가지 이유로 앞니를 상실한 분들도 계시는데요.
이럴 때면 보통 ‘임플란트’를 먼저 떠올리게 됩니다. 치아 상실한 자리에 가장 적합한 치료이기도 하죠.
하지만 임플란트의 비용과 기간이 부담스러운 경우 치아가 상실한 자리 옆에 있는
멀쩡한 치아를 깎아서 브릿지로 연결하는 치료를 하는데 이 또한 자연치아를 손상하는 방법이라 망설이는 분들이 많습니다.

아이디치과 마이트 브릿지는 이런 고민들을 해결해 줄 수 있는 가장 적합한 치료입니다.
-
앞니가 없는 게 예쁘지 않아 신경 쓰일 때
-
치아가 하나 없어 발음이 새서 이상하고 불편할 때
-
임플란트를 하기엔 시간도, 돈도 부담일 때
-
크라운 브릿지의 치아 손상이 걱정될 때

일반 크라운 브릿지

아이디치과 마이트 브릿지
마이트 브릿지는 일반 크라운 브릿지에 비해 불필요한 치아 손상을 하지 않습니다.
그러면서 마이트의 장점은 고스란히 가져왔기 때문에 치아 상실 부위도 건강하게 회복할 수 있습니다.
마음에 안드는 예전 보철물,
리뉴얼 해주는
마이트 리뉴
혹시 이미 과거에 보철물을 하셨나요?
하지만 시간이 흐르면서 치아 손상도 생기고 오래된 보철물이 변색되거나 깨져서 맘에 들지 않으셨나요?
완벽한 재시술이 필요한 지금! 아이디치과 마이트 리뉴를 제안합니다.
-
만족스럽지 않은 치아 색상
-
보철물 파절
-
보철물 탈락
-
잇몸 염증
마이트 리뉴를 찾아주시는 가장 흔한 이유입니다. 오래 써서 생긴 문제일 수도 있지만 처음 치료부터 제대로 이루어지지 않아 생긴 문제일 수도 있습니다.
이런 과정에서 환자분들은 병원에 대한 신뢰도 잃게 되면서 재치료에 대한 고민은 더욱더 깊어집니다.
하지만 아이디치과는 독보적인 Micro 기술력을 이용해 단순한 보철물 교체를 넘어 원인에 따라 내부부터 꼼꼼하게 살려 치아의 건강을 복구하는 데 초점을 맞춥니다. 즉, ‘치아 회복 솔루션’의 개념으로 치료를 하고 있는 것이죠.
치아교정과 라미네이트로
가장 이상적인 앞니를 만드는
마이트 듀얼
아이디치과는 19년간 한자리를 지키며 치아교정에 집중하며 예쁘고 건강한 앞니 회복 솔루션을 이어오고 있는 병원입니다.
오랜 경험을 바탕으로 한 치아교정에 극강의 얇기를 자랑하는 마이트 기술력이 더해져 가장 이상적인 앞니를 만들어주는 마이트 듀얼 솔루션도 진행하고 있습니다.
그야말로 치아교정과 라미네이트의 완벽 콜라보라고 할 수 있죠.

치아 배열과 모양을 모두 개선하고 싶거나, 교정 중 생긴 충치가 보기 싫은 경우, 치아교정만으로 앞니를 개선하기에는 비용과 기간이 부담스러울 때 추천하는 방식입니다.
아이디병원에서 상표권 출원까지 받은 ‘밀착 교정’으로 교정과 전문의의 섬세하고 디테일한 교정 치료로 치열을 가지런하게 만든 후 모양, 색상, 충치, 왜소치 등을 개선해 결점 없는 앞니가 될 수 있도록 하고 있습니다.
가장 예쁜 앞니를 위한 선택,
아이디치과

치아 건강은 뒤로한 채 심미 목적만을 위한 앞니 보철치료로 인해 여러 가지 부작용이 생기는 경우도 많이 접하게 되는 요즘.
아이디치과는
과잉 진료, 박리다매 진료를
지양합니다.
각 분야의 의료진이 협진을 통해 완벽하고 건강한 치아 만들기를 목표로 달려가고 있는 곳입니다.
단순히 예쁘고 하얀 앞니가 아닌, 건강하게 예쁜 앞니를 만들기 위해 오늘도 아이디치과의 전 직원은 환자 개개인에 집중해 가장 적합한 솔루션을 제안하고, 성공적인 결과를 안겨드리고자 최선을 다하고 있습니다.
마이트는
오직 아이디치과에서만 가능합니다.
지금 바로 경험해 보세요. 감사합니다.

아이디치과의원 서울특별시 강남구 도산대로 142 아이디빌딩 3층

Explore More
Keep Browsing This Clinic's Korean Content Trail.
Return to the source archive for more posts, or move back to the clinic profile to compare the rest of the clinic's public channels.