아이디치과
잇몸필러 치아 사이 빈 공간이 신경 쓰일 때
그전까지 크게 의식하지 못하다가 얼마 전 스케일링을 오랜만에 했는데 치아 사이 빈 공간이 유독 눈에 띄더라고요 잇몸필러 안 받고 놔두면 계속 악순환일까요? 안녕하세요, 아이디치과 대표원장 이양구입니다. 많은 분이 교정, 혹은 크라운, 라미네이트 등 다양한 치아 치료를 위해 치과에 내원하시게 되면 평소 여러...
그전까지 크게 의식하지 못하다가
얼마 전 스케일링을 오랜만에 했는데
치아 사이 빈 공간이 유독 눈에 띄더라고요
잇몸필러 안 받고 놔두면 계속 악순환일까요?
안녕하세요, 아이디치과 대표원장 이양구입니다.
많은 분이 교정, 혹은 크라운, 라미네이트 등
다양한 치아 치료를 위해 치과에 내원하시게 되면
평소 여러 가지로 궁금했던 부분에 대해서도
자연스럽게 여쭤보시는 경우가 굉장히 많으실 텐데요.

그중에서 특히, 많은 분께서 궁금해하시는 부분이 있다면
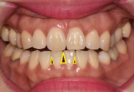
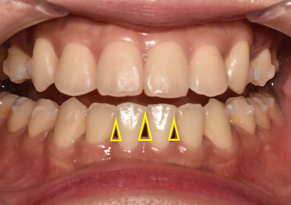
치아 사이사이에 존재하는 빈 공간,
치과 용어로는 흔히 ‘블랙 트라이앵글’이라고 부르는 현상에 대한 것입니다.
실제 환자분들 입장에서의 블랙 트라이앵글 현상은
심미적으로 보기 좋지 않다는 이유에서 고민이 되는 일이 많은데요.
그래서 오히려 치아 심미상 단지 보기 좋지 않다는 이유만으로
잇몸필러 치료를 받아도 되는 건지, 많이 우려하시기도 합니다.

하지만 블랙 트라이앵글 현상을 지속 방치하게 되면,
여러 치아 문제로 이어질 수 있기 때문에 역시나 주의는 필요한데요.
오늘 저희 아이디치과에서 치아 사이 빈 공간을 뜻하는
블랙 트라이앵글 현상에 대해, 잇몸필러와 함께
더욱 자세히 알려드리도록 하겠습니다.

블랙 트라이앵글 방치하는 순간,
발생할 수 있는 치아 문제는?
가장 첫 번째로, 블랙 트라이앵글 현상이 이미 보이는 치아라면
우선적으로 심미적인 문제가 대두될 수 있는데요.
치아 사이사이 잇몸으로 채워지지 못한 여러 빈 공간은
흔히 노안이나 불균형한 인상을 심을 수 있어,
대외적으로 다양한 불편함을 느끼게 됩니다.
실제로 당장 우리 치아는 많은 사람들과 대화하는 것부터
미소를 짓거나 크게 웃을 때만 해도
먼저 뚜렷하게 드러나는 신체 부위 중 하나이기 때문에
관련해서 잇몸필러를 찾는 분들도 적지 않은데요.
어떻게 보면 치아는 기능적인 부분 외에
심미적인 요소에서도 큰 역할을 하고 있는 것은 분명하기에
이 이유만으로도 충분히 잇몸필러는 필요한 치료가 될 수 있습니다.

다음 두 번째 문제로는 위생 문제를 예로 들 수 있는데요.
잇몸이 미처 채워지지 않아 발생한 빈 공간에는
그만큼 또, 작은 음식물 잔사가 더 쉽게 자주 끼이게 됩니다.
따라서 블랙 트라이앵글이 있는 치아는
이와 같은 현상이 없는 치아에 비해
치주 질환에 취약해집니다.
꾸준히 양치질을 잘해서 관리한다고 하더라도,
블랙 트라이앵글 부위는 오히려 공간이 너무 넓어
칫솔질이나 치실로도 닿기 어려운
사각지대인 경우가 굉장히 많아 구조상 한계로 인해
흔히 치은염, 치주염과 같은 잇몸 염증이 발생할 위험도 높은 것이죠.
결국 이어지는 염증으로 치조골까지 흡수되는 단계에 이르면
이는 인접 치아까지 뻗어나가 악순환을 초래할 수도 있습니다.

마지막 세 번째 문제는 약해진 지지력과 함께
치아 마모가 더 심해지면 간격이 훨씬 벌어지며
빈 공간이 더 커질 수도 있다는 것입니다.
치아는 옆 치아와 맞닿아 있어 서로 지지하며 치열을 유지하는데,
블랙트라이앵글이 있다면 아무래도 지지력이 약해질 수도 있습니다.
이런 공간이 생기는 이유는 노화로 인해 치주 질환이 생기고
자연스럽게 잇몸이 무너지면서 생기기도 하며
치아교정으로 치아 배열이 달라지면서 생기기도 합니다.
이렇게 생긴 치아 사이의 검은 구멍, 블랙 트라이앵글은
어떻게 해결할 수 있을까요?

아이디치과 잇몸필러
‘잇몸이드 필러’ 특징은?
저희 아이디치과 잇몸필러 ‘잇몸이드 필러’는
치아 사이를 채우지 못하고 내려앉은 잇몸에
히알루론산 성분의 필러를 직접 주입하여
잇몸 조직의 볼륨을 자연스럽게 채우는 방식으로 진행되고 있는데요.
여기에서 ‘히알루론산 성분’이란,
우리 인체에 자연적으로 존재하는 당류 성분으로
피부, 관절, 눈, 잇몸 등에 고농도로 분포되어 있는 점탄성 물질입니다.
이는 주로 우리 인체의 수분 유지를 돕고,
부위 조직을 완충하는 등 아주 중요한 역할을 하고 있죠.
따라서 인체 고유 성분과 동일하기 때문에
히알루론산 성분에 대한 면역 거부 반응은 거의 없다고 볼 수 있습니다.

더욱이, 아이디치과 잇몸이드 필러는
자연 치아 모양을 최대한 보존하면서
블랙트라이앵글 잇몸 공간만 자연스럽게 채우기 때문에
환자분 본연의 치아 라인과 인상은 해치지 않으면서
동시에 훨씬 건강한 심미로 보완해 드리고 있는데요.
또한 잇몸이드 필러를
보철 치료나 혹은 교정 치료와 병행할 수도 있어
이때 훨씬 더 심미적으로 시술 효과를 향상시킬 수 있습니다.
보다 이상적인 심미 치아를 위해 종합적으로 제공해 드리는 것이죠.

여기까지 치아 사이 빈 공간을 의미하는 ‘블랙 트라이앵글’에 대해,
아이디치과 잇몸필러 잇몸이드와 함께 자세히 알려드렸는데요.
잇몸이드 필러는 평균 10분 내외로 마무리되는 만큼
비교적 간단하면서 복잡하지 않은 시술 중 하나입니다.
따라서 환자분 필요에 의해 찾아보는 것도 좋지만,
어디까지나 잇몸 필러 또한, 치과 시술 중 하나이니
무엇보다 충분한 상담 후에 진행해 보시는 것을 권장해 드립니다.
덧붙여 오늘 알려드린 잇몸 필러 시술 자체는
어느 날 치아 사이에 까만 삼각형, 즉 빈 공간이 생긴 분들
또는 교정, 임플란트 이후 치간 잇몸이 줄어든 경우에
더욱이 필요한 도움을 적절히 받아보실 수 있으니,
보다 더 신중한 고민과 현명한 선택으로
자신감 넘치는 아름다운 미소 되찾아 보실 수 있기를 바랍니다.
감사합니다.



아이디치과의원 서울특별시 강남구 도산대로 142 아이디빌딩(2층~4층)




Previous image Next image
Explore More
Keep Browsing This Clinic's Korean Content Trail.
Return to the source archive for more posts, or move back to the clinic profile to compare the rest of the clinic's public channels.