루시드치과의원 LUCID Dental Clinic ルシード歯科 露西得牙科医院 LUCINATE ルシネート
논현동 치과 치아 상실 후 어금니 임플란트 수술 어렵지 않게 잘 심어드렸습니다!
루시드치과의원 서울특별시 강남구 논현로111길 3 상가 101, 102A, 대로변 1층 안녕하십니까, 논현동 루시드 치과 박현민 대표원장입니다. 삶에 있어 치아는 평생 사용해야될 신체 부위 중에 하나로 없어지게 되면 일상 속에서 많은 것들이 큰 불편함으로 다가오게 되는데요. 그래서 항상 의료진들은 구강 관리는 청결...
루시드치과의원 서울특별시 강남구 논현로111길 3 상가 101, 102A, 대로변 1층
안녕하십니까,
논현동 루시드 치과
박현민 대표원장입니다.
삶에 있어 치아는 평생 사용해야될
신체 부위 중에 하나로
없어지게 되면 일상 속에서 많은 것들이
큰 불편함으로 다가오게 되는데요.
그래서 항상 의료진들은
구강 관리는 청결히 잘 이루셔야 된다고
그렇게 말씀드리고 있죠?
유전 영향을 타고 나셨다면,
남들보다 조금 덜 케어해도
크게 문제될 것은 없습니다만,
그럴 경우는 극히 드문 케이스이므로
가급적이면 꼼꼼히 관리를 이루는게 좋습니다.
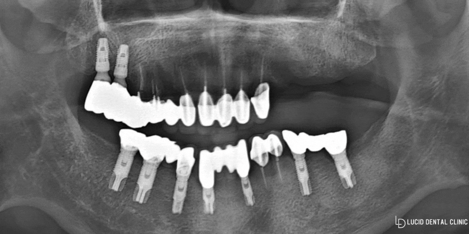
오늘 보여드릴 사례는 왼쪽 윗 어금니 상실로
임플란트 수술 상담을 받으러 오셨습니다.
C.C.

논현동 치과 첫 내원 당시
엑스레이 촬영을 통하여
구강 내 상태를 정확히 진단했습니다.
왼쪽 어금니를 모두 상실한 것을
확인할 수 있었으며,
임플란트 수술 받는데는
큰 지장이 없었습니다.
게다가 따로 신체 질환도 없었으며
뼈 또한 소실없이 어느 정도
갖추고 있었기 때문에
큰 무리없이 진행할 수 있다는
진단을 내렸습니다.
그런데 구강 내를 살펴보니
임플란트를 꽤 여러 군데 심었으며,
다른 치아들은 이미 신경치료를
모두 받은 것을 확인할 수 있었습니다.
원래 구강 건강이 그리 좋지 않았던 터라
병원을 좀 자주 들렸다고 말씀하셨습니다.
그래서 이번에는 서울로 오셔서
큰 병원에서 수술을 받아야겠다 싶어서
저희 논현동 루시드 치과 에 찾아오시게 되었죠.
결과

크게 수술 과정에 있어
걸릴만한 것이 없었기에
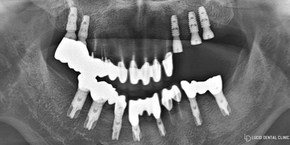
깔끔히 픽스처 3개를 잘 심을 수 있었습니다.
다만, 임플란트 수술 후
잇몸뼈와 골결합이 이뤄지는 기간 및 크라운 제작을
기다리는 기간을 가지게 되었는데요.
그럼 이런 상태로 집을 가야 되는지?
라는 질문에 그 위로 임시 보철을 씌워드릴 것이니
크게 걱정하실 필요없다는 답변을 드릴 수 있습니다.
이것은 위아래 교합이 맞는지
확인을 위하는 용도로 사용되며,
개인에 맞는 맞춤 형태로 진행할 수 있도록
조정하는 기간으로 보면 되겠습니다.
환자분께서는 이전에 겪어보셨기에
크게 개의치 않는 듯한 표정이셨습니다.
그래도 혹시나 모를 상황이 나타날 수 있어
논현동 치과 의료진은 유의해야될 사항을
하나씩 꼼꼼히 알려드리면서
추후에 다시 뵙기로 하였습니다.
꼼꼼하게 잘 되었네요. ^^
예전에 받았던 곳보다
훨씬 더 깔끔히 잘해주신 것 같습니다.
임플란트 수술이야 몇 번 겪어봐서
크게 걱정은 안됩니다만,
이왕 심는 김에 오래 사용할 수 있으면
더할 나위없이 좋겠네요.
일단은 임시 보철을 쓰고 있기는 한데
크게 불편한 점은 없었어요.
아직 조심해줘야 될 단계니까
뭘 먹을때 조심스럽긴 합니다.
이제는 좀 더 편히 밥 먹고 싶긴 하니
얼른 크라운이 제작되었으면 좋겠네요. ㅎㅎ
한 번씩 논현동 치과 에 정기검진을 받으러 오셔서
뼈와 잘 붙고 있는지 확인을 했는데,
꼼꼼히 케어를 잘해주셔서 그런지
뼈와 잘 붙고 있는 것을 볼 수 있었습니다.
곧 있으면 제작이 끝나기에
다음 내원때 크라운을 시적해드리기로 했습니다.
이렇게 해당 어금니 임플란트 수술은
어느 정도 끝을 달려가고 있습니다.
끝날때까지 끝난 것은 아니기에
환자분께서 꾸준히 케어를 잘해주셔서
크라운 시적까지 잘 끝마쳤으면 합니다.
물론 심는 것으로 끝이 아닌 것은
여러분들께서도 잘 알고 있으시죠?
치아를 잃고 임플란트를 심었을때,
감각 자체가 느껴지질 않아
구강 내 어떤 문제가 생겼을때
알아차리기 쉽지 않습니다.
결국 주위염이라는 부작용이 발생했을 경우,
다른 이들에도 영향을 끼치게 되어
발치 및 재수술을 받게 될 수 있으니
청결히 그리고 꼼꼼하게 케어해주셔야 됩니다.
그럼 오래도록 잘 사용할 수 있길 바라며
오늘 글은 끝마치도록 하겠습니다.
긴 글을 읽어주셔서 감사합니다.
다음에도 좋은 증례로 찾아뵙겠습니다.
논현동 루시드 치과
박현민 대표원장이었습니다.
신논현역 치과 심한 어금니 충치 및 잔존치근 발치 후 임플란트 수술 증례 안녕하십니까, 신논현역 루시드 치과 박현민 대표원장입니다. 치아가 많이 썩고 제 기능을 할 수 없게 되었...
blog.naver.com
언주역 치과 임플란트 부작용 피할 수 있는 관리법을 알아야 되겠죠? 반갑습니다. 언주역 루시드 치과 입니다. 아마 연령이 높은 어르신들께서는 임플란트 수술을 거의 받지 않...
blog.naver.com
Explore More
Keep Browsing This Clinic's Korean Content Trail.
Return to the source archive for more posts, or move back to the clinic profile to compare the rest of the clinic's public channels.