루시드치과의원 LUCID Dental Clinic ルシード歯科 露西得牙科医院 LUCINATE ルシネート
논현동 치과 무삭제 라미네이트 부작용을 줄이려면 어떻게 시술 받아야 될까요?
루시드치과의원 서울특별시 강남구 논현로111길 3 상가 101, 102A, 대로변 1층 반갑습니다. 논현동 루시드 치과 입니다. 치아 변색 및 착색, 깨짐으로 인한 심미 치료를 받아야 되는 경우에 어떤 진료를 받아야 되나 그런 고민을 하실 겁니다. 확실히 정해진 것은 없으며, 상황에 따라 선택을 달리할 수 있습니다...
루시드치과의원 서울특별시 강남구 논현로111길 3 상가 101, 102A, 대로변 1층
반갑습니다.
논현동 루시드 치과 입니다.
치아 변색 및 착색, 깨짐으로 인한
심미 치료를 받아야 되는 경우에
어떤 진료를 받아야 되나
그런 고민을 하실 겁니다.
확실히 정해진 것은 없으며,
상황에 따라 선택을 달리할 수 있습니다.
색이 누렇게 변해버린 것은
미백 또는 라미네이트 시술을
선택할 수 있는데요.
둘의 차이는 극명합니다.
미백은 약품을 통하여
내부에 있는 침착물을 제거하는 것이며,
라미네이트는 이를 깎아낸 뒤
그 위에 보철을 붙이는 시술이죠.
문제는 이를 삭제해야된다든 점에 있어
다들 거부반응을 나타냅니다.
그래서 의료 기술이 발전하여
나타난게 무삭제라는 방식인데요.
이것은 거의 최소 삭제를 이룬 뒤,
보철을 부착하기에
치아를 보존하며 치료하는데
좋은 방식이라 말씀드릴 수 있습니다.
그러나 술자의 기술에 따라
삭제량이 달라질 수 있어
꼼꼼히 알아보는게 좋은데요.
오늘 이와 관련된 내용을 살펴보며
부작용을 줄여줄 수 있는 방법을 살펴보겠습니다.
무삭제 라미네이트 필요한 조건?
우선 첫 번째로 치아 크기가 작아야 되는 겁니다.
원래 컸는데도 보철을 씌웠다가
오히려 더 커질 수 있기 때문에
크기는 조그마한 것이 좋습니다.
특히 앞니가 커져버리면
토끼 이빨처럼 보여질 수 있기에
논현동 치과 에서는 이가 작은 것이 좋다고
말씀드릴 수 있겠습니다.
두 번째는 돌출되지 않아야 됩니다.
이가 앞으로 또는 옆으로 툭 튀어나와있는데,
무삭제 라미네이트로 진행을 한다?
그럼 더욱 도드라져 보이게
만드는 것과 마찬가지죠.
세 번째는 치열이 가지런해야 되는거죠.
치열이 가지런하지 않으면,
교정 치료를 받는 것이 더욱 좋습니다.
그만큼 삭제해야될 양이 늘어나기에
오히려 많은 양을 깎아내야 될 수 있습니다.
이런 3가지를 고려하여 논현동 치과 에서는
해당 시술을 받을 수 있는지 여부를 확인합니다.
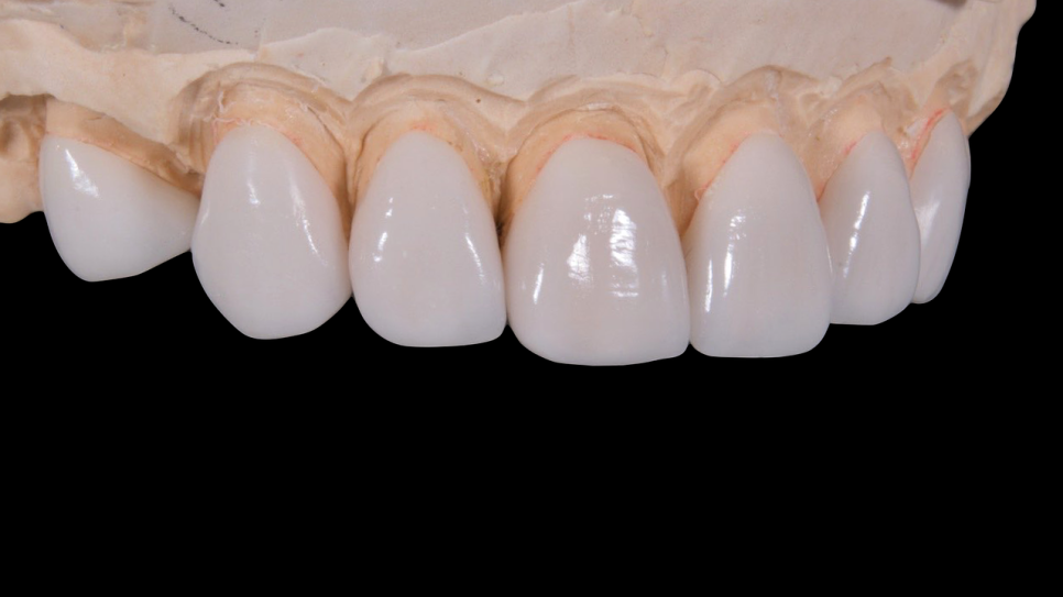
무삭제 라미네이트 과정?
우선 논현동 치과 의료진과
엑스레이 촬영 및 구강 검사를 진행합니다.
시술을 받을 수 있는지 조건을 파악한 뒤,
몇 개를 얼마나 깎아내는게 좋으며
보철은 어떻게 제작하여 붙여주는 것이 좋은지
전반적 계획을 수립해나갑니다.
그 후, 인상채득을 하여
모형을 본뜬 다음에
새롭게 만들어줄 모양을 디자인합니다.

출처 : Pixabay
이후에 제작 완료가 이루어졌다면,
최소 삭제를 해준 뒤에
보철을 붙이거나 임시 치아를 붙여줍니다.
케이스에 따라 하루만에 끝낼 수 있거나
그러지 못한 것이 있습니다.
그 후, 잇몸 라인을 체크하여
조정을 이룬 뒤 최종으로 만들어진 것을
붙여주는 것으로 논현동 치과 에서
무삭제 라미네이트 시술을 끝마칩니다.
주의사항
마지막으로 치료가 잘 끝났다면,
오래 유지될 수 있도록
조심해야될 사항을 알려드리겠습니다.
우선 보철이 잘 부착될 수 있도록
음식 섭취를 조심하셔야 됩니다.
딱딱한 종류를 먹을 경우
깨질 가능성이 높아지며,
끈적거리며 잘 달라붙는 종류는
보철 탈락으로 이어질 수 있기에
조심하는게 좋다고 말씀드립니다.
또한, 커피나 콜라, 홍차, 녹차 등
변색을 일으킬 수 있는 것들도
되도록 먹지 않는게 좋죠.
그리고 손톱을 물어뜯는 행동을
하지 않는게 좋습니다.
아마 습관성으로 하고 있는 경우가 있으실텐데,
그러다가 탈락하여 재내원하셨던 사례가 있었기에
논현동 치과 에서는 이런 습관을 가지고 있을때
되도록 신경써줄 것을 당부드리고 있습니다.

출처 : Pixabay
물론 청결한 관리는 잊지 않으셨을 것이라 봅니다.
청결한 구강은 튼튼한 치아와 잇몸으로 이어지는
지름길이라 말씀드릴 수 있죠.
그러니 꼭 양치질을 제때 잘하며
치실 및 치간 칫솔로 더욱 깔끔히 해주신다면,
큰 문제없이 오래도록 보존이 가능합니다.
오늘 무삭제 라미네이트와 관련된 내용을
소개해드렸는데요.
혹여 이외에 더 궁금하거나 질문하실 사항이 있다면,
언제든 논현동 루시드 치과 에 연락 바랍니다.
감사합니다.
언주역 치과 치아미백 대신 라미네이트 시술로 더욱 깔끔하고 하얗게 만들 수 있다? 안녕하십니까, 언주역 루시드 치과 박현민 대표원장입니다. 요즘에는 많은 분들께서 외모에 관심을 많이 갖...
blog.naver.com
치아미백 잘 하는 강남역 치과 , 변색, 주의사항에 대해 알려드리는 글 만나서 반갑습니다 강남역 루시드 치과 입니다 치아는 먹을때, 말할 때 사용하면서 영양섭취도 하고 말할 ...
blog.naver.com

© grndezyns, 출처 Unsplash
Explore More
Keep Browsing This Clinic's Korean Content Trail.
Return to the source archive for more posts, or move back to the clinic profile to compare the rest of the clinic's public channels.