루시드치과의원 LUCID Dental Clinic ルシード歯科 露西得牙科医院 LUCINATE ルシネート
까맣게 변색된 치아, 강남역 치과 에서 라미네이트 로 해결 가능합니다!
혹시 여러분 중에서 치아가 너무 어둡거나, 대칭이 맞지 않아 안 예쁘다 생각하는 분, 계시는가요? 오늘은 이런 생각을 가지고 계신 여러분께 도움이 될 만한 사례 하나를 가지고 왔어요. 바로, 루시네이트 입니다! 루시네이트 는 기존 심미 보철과는 조금 다르게 진행되고 있는데요. 무삭제 또는 표면의 약 0....
혹시 여러분 중에서
치아가 너무 어둡거나,
대칭이 맞지 않아 안 예쁘다
생각하는 분, 계시는가요?
오늘은 이런 생각을 가지고 계신
여러분께 도움이 될 만한
사례 하나를 가지고 왔어요.
바로, 루시네이트 입니다!
루시네이트 는 기존 심미 보철과는
조금 다르게 진행되고 있는데요.
무삭제 또는 표면의 약 0.1mm
두께만 다듬는 작업을 거친 뒤
제작된 보철을 위에 올려
이상적인 형태로 만들어 드리고 있습니다.
자연치와 유사한 색으로 제작하고
치아 삭제량도 적어 자연치 보존이 가능하죠.
이번에 소개해 드릴 사례는
어떤 과정으로 해결해 드렸는지
지금부터 함께 알아볼까요?
"치아가 너무 까맣고,
대칭도 안 맞아요."
어느 날, 위와 같은 주소를 가지고
저희 강남역 루시드 치과 에 오셨습니다.
우선 구강 내 사진을 찍어서 확인해 볼까요?

검게 착색이 일어남 / 잇몸 배열 비대칭
환자께서 말씀하신 것처럼
어둡게 변색이 일어났네요.

정면 사진
이런 경우는 변색을 일으킬 수 있는
커피와 콜라 등의 음식 과다 섭취로
종종 나타날 수 있습니다.
또는 잦은 흡연으로 인해서
발생할 수 있는데요.
강남역 루시드 치과 에선
이럴 경우, 전문가 미백 혹은
루시네이트 (라미네이트) 를
권유해 드리고 있습니다.
검진 후, 강남역 치과 는 곧바로
치료 계획을 자세히 세우기 위해
의논하는 시간을 함께 가져 봤는데요.
전문가 미백과 루시네이트 (라미네이트)
장, 단점을 각각 설명해 드리고
환자께서 직접 선택할 수 있도록 했습니다.
의논 결과, 환자께서는 전치부(앞니 쪽)
모두 루시네이트 (라미네이트) 를
진행하길 원하셨습니다.
강남역 루시드 치과 는
곧바로 계획을 세워 봤는데요.
대칭을 맞추기 위한 잇몸성형을 동반하여
루시네이트 (라미네이트) 를 받기로 결정했습니다.
당일 바로 처치받기로 하셔서
스케일링부터 차근차근 진행했는데요.
강남역 루시드 치과 에선
잇몸성형을 '보비'라고 부르는 장비를
사용하여 시행하고 있습니다.
보비로 빠르게 잇몸절제술을 진행하고,
표면을 0.1mm 정도만 다듬어 줬습니다 :)
이제 분석된 계획에 맞춰 제작하기 위해
인상 체득을 시행했는데요.
치아 형태와 모양, 배열
환자가 원하는 색을 조정하여
제작하도록 했습니다.
제작은 약 하루 정도로
그리 오랜 시간이 걸리진 않는데요.
인상 체득 후 하루가 지나고
제작이 완료되어 장착하기로 했습니다.
최종 접착 전, 환자께
마지막 컨펌을 받고 진행했습니다.
환자는 전치부 전체,
총 12개의 보철을 받으셨는데요.
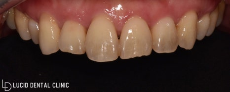
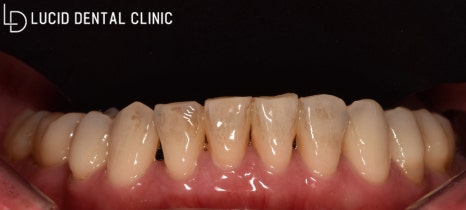
치료가 끝나고 찍은 최종 사진입니다.

라미네이트 후 치아 전체 모습


상악 치료 전 / 후


하악 치료 전 / 후
비대칭이던 치은 높이가 같아졌고,
심했던 변색은 모두 사라졌네요 ㅎㅎ

라미네이트 후 정면 사진
환자께서 계속 거울을 보고
웃으며 만족해하셨는데요.
관리만 꾸준히 잘하면
보철 수명이 그만큼 길어지니
정기적으로 강남역 치과에
방문하셔서 검진받기로 약속했습니다.
자연치뿐만 아니라 보철에도
변색이 일어날 수 있다는 점,
다들 알고 계실까요?
그러니 아까 말씀드린 것처럼
과도한 흡연을 자제하고,
변색이 일어나기 쉬운
음식 섭취를 줄이길 바랍니다.
위 사례처럼 치아가 너무 어둡거나,
대칭이 맞지 않아 고민이라면
강남역 치과 에 방문하셔서
상담 한 번 받아보는 건 어떨까요?
잇몸성형 및 루시네이트 사례 소개는
여기서 마무리하겠습니다.
모두 구강 관리 열심히 하셔서
깨끗하고 빛나는 치아 가지길 바랍니다!
지금까지 읽어주신 여러분께
진심으로 감사드립니다.
그럼, 다음 글에서 만나요 :)
루시드치과의원 서울특별시 강남구 논현로111길 3 상가 101, 102A, 대로변 1층
역삼역 루시네이트 와 잇몸성형으로 자신감을 되찾은 이야기 안녕하세요! 역삼역 루시드치과 대표원장 박현민이라고 합니다. 요즘 들어 치아가 아닌 다른 문제로 치과를...
blog.naver.com
Explore More
Keep Browsing This Clinic's Korean Content Trail.
Return to the source archive for more posts, or move back to the clinic profile to compare the rest of the clinic's public channels.