루시드치과의원 LUCID Dental Clinic ルシード歯科 露西得牙科医院 LUCINATE ルシネート
내 치아에 하얀 반점이? 교정 후 생긴 화이트 스팟 치아 탈회, 학동역 치과 에서 라미네이트 로 해결해 드렸습니다.
루시드치과의원 서울특별시 강남구 논현로111길 3 상가 101, 102A, 대로변 1층 어느 날, 교정이 끝나고 문득 거울을 보니 하얀 반점이 생겼다며 상담 목적으로 찾아온 환자가 계십니다. 치아에 생긴 하얀 반점, 이걸 '화이트 스팟'혹은 '치아 탈회'라고 부르는데요. 교정 장치 부착했을 때 그 사이로 구강 관리...
루시드치과의원 서울특별시 강남구 논현로111길 3 상가 101, 102A, 대로변 1층
어느 날, 교정이 끝나고
문득 거울을 보니 하얀 반점이 생겼다며
상담 목적으로 찾아온 환자가 계십니다.
치아에 생긴 하얀 반점,
이걸 '화이트 스팟'혹은
'치아 탈회'라고 부르는데요.
교정 장치 부착했을 때 그 사이로
구강 관리가 제대로 이뤄지지 않으면
나타날 수 있는 증상입니다.
가끔 교정을 받지 않았는데도
초기 우식증으로 발생하는 경우가 있는데요.
이런 경우는 치약, 음식물 등이
표면에 달라붙거나,
구강 관리가 부족할 때
발생하기도 합니다.
오늘 여러분과 함께 얘기할 사례도
교정 후 생긴 화이트 스팟으로 인해
치료 상담을 목적으로 방문하셨는데요.
학동역 루시드 치과 에선
어떤 과정으로 이 문제점을
해결해 드렸을까요?
지금부터 그 과정을 여러분과 같이
세세하게 알아보겠습니다!
구강 검진
"선생님, 제가 교정을 받았는데
끝나고 보니까 이런 하얀 점이 생겼어요.
어떻게 해결할 수 있을까요?"
위와 같은 주소와 함께 찾아오셨습니다.
우선 치료 계획을 세우려면
정확한 검진이 필요하겠죠?
구강 내 사진을 촬영하여
검진을 시작해 봤는데요.

여기 환자가 말씀하셨던
화이트 스팟(치아 탈회)이 있습니다.
심지어 군데군데 많은 곳에
광범위하게 생긴 모습인데요.
그런데 저는 사진을 보고
화이트 스팟뿐만이 아닌,
다른 점도 함께 발견했습니다.
여러분도 보이시나요?
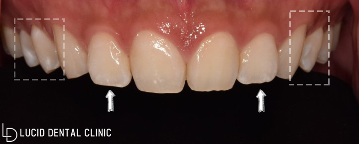
구강에 일직선을 쭉 그려
정중선을 맞춰 보면 알 수 있는데요.

바로 중절치 좌, 우 비대칭인 모습을
가지고 있었다는 것입니다.
여기 표시된 곳을 보면
좌측이 우측보다 크기가 조금 크죠?
보통 어금니는 심미 기능보다
저작 기능을 많이 보기 때문에
크게 신경 쓰지 않는 경향이 있는데요.
그러나 어금니와는 달리 앞니는
눈에 먼저 보이는 위치에 있어
심미성을 중요시하고 있습니다.
어떻게 보면 조금 사소할 수 있지만,
누군가에겐 큰 단점이 될 수 있죠.
학동역 치과 는 이 점에 대해
혹시 알고 있었는지 여쭤봤는데요.
안 그래도 거울 볼 때마다 신경 쓰여서
상담 때 말할 생각이었다고 하셨습니다.
그렇다면 바로 상담을 진행해 봐야겠죠?
치료 계획 상담
학동역 루시드 치과 는 검진을 끝내고
환자와 함께 의논해 봤는데요.
현재 화이트 스팟이 나타난 곳도 많고,
범위도 넓어 레진으로 시행하기엔
비효율적이라고 판단이 들었습니다.
그뿐만 아니라 좌, 우 대칭이
맞지 않는 중절치도
함께 개선하길 원하셨기 때문에
더 신중한 판단이 필요했는데요.
고민 끝에 학동역 루시드 치과 는
화이트 스팟과 중절치를 개선할 수 있는
라미네이트 를 권해 드렸습니다.
환자께서 흔쾌히 계획에 동의하며
조금 더 밝고, 동글동글한 모양으로
받고 싶다는 의사를 비추셨는데요.
최대한 니즈를 맞춰
치료 계획을 수립하였습니다.
학동역 치과 라미네이트 는
무삭제 또는 표면 약 0.1mm를 다듬어
최대한 자연치를 보존하며 진행하고 있는데요.
치료 시간은 단 하루밖에 걸리지 않아
금방 일상으로 복귀하여 생활할 수 있습니다.
환자께서 빠르게 진행하길 원하셔서
라미네이트 주의사항 및 안내를 마치고
내원 당일 바로 치료를 시작했습니다.
루시드치과의원 논현동 역삼동 임플란트, 라미네이트, 치아교정, 투명교정 치과
라미네이트 치료 시작
먼저 간단하게 스케일링을 진행하고
마취제를 도포하였는데요.
방금 말씀드린 것처럼 부착을 위해
표면 0.1mm 정도 다듬어
모양을 만들어 줬습니다.
그다음 환자와 함께 색조를 조정하고
라미네이트 제작에 들어갔는데요.
하루 뒤, 제작이 완료되어
바로 구강에 장착했습니다.
그 후 교합을 점검한 다음,
치료를 마무리하였는데요.
라미네이트 치료 종료

전, 후 비교를 위해
종료된 모습을 찍어 봤습니다.
이전보다 좌, 우 대칭이 잘 맞아졌고
동시에 심미성도 많이 올라갔죠?
치료 계획 때 말씀드렸던 것처럼
환자께서 가지고 계신 치아 색보다
더 밝고 동글동글한 모양을 원하셔서
니즈에 맞게 제작해 봤어요 :)
가시 전에 환자께서 거울을 보곤
무척 마음에 든다고 기뻐하셔서
저 또한 만족했답니다 ㅎㅎ
구강 관리를 열심히 할수록
보철 수명 또한 길어지는데요.
양치질과 관리를 열심히 하여
오래 사용했음 좋겠다는 말과 함께
라미네이트 상태 점검을 위해
정기 검진을 꼭 받으라 당부드렸습니다.
라미네이트 후 주의사항에 대해
말씀드리고 종결하였는데요.
여러분도 이 내용을 알면 좋을 것 같아
링크를 첨부해 드리겠습니다!
루시드치과의원 논현동 역삼동 임플란트, 라미네이트, 치아교정, 투명교정 치과
학동역 치과 라미네이트
사례 소개는 여기서 마칠게요.
지금까지 학동역
루시드 치과 였습니다.
긴 글 읽어주셔서 감사합니다 :)
관련하여 문의하실 내용은
본원으로 연락 주세요!
루시드치과의원 논현동 역삼동 임플란트, 라미네이트, 치아교정, 투명교정 치과
루시드치과의원 서울특별시 강남구 논현로111길 3 상가 101, 102A, 대로변 1층
Explore More
Keep Browsing This Clinic's Korean Content Trail.
Return to the source archive for more posts, or move back to the clinic profile to compare the rest of the clinic's public channels.