루시드치과의원 LUCID Dental Clinic ルシード歯科 露西得牙科医院 LUCINATE ルシネート
임플란트 후 주의사항 , 이것만은 꼭 지키세요! - 논현역 루시드 치과
루시드치과의원 서울특별시 강남구 논현로111길 3 상가 101, 102A, 대로변 1층 혹시 제목을 보고 들어오신 여러분 중, 수술을 앞두고 계신 분이 있나요? 오늘 논현역 루시드 치과 에서 여러분께 도움이 되고 싶은 마음에 관련된 증례를 하나 준비해 봤습니다! 더불어 임플란트 후 주의사항 에 관해 자세히 설명해...
루시드치과의원 서울특별시 강남구 논현로111길 3 상가 101, 102A, 대로변 1층
혹시 제목을 보고 들어오신 여러분 중,
수술을 앞두고 계신 분이 있나요?
오늘 논현역 루시드 치과 에서
여러분께 도움이 되고 싶은 마음에
관련된 증례를 하나 준비해 봤습니다!
더불어 임플란트 후 주의사항 에 관해
자세히 설명해 드리려고 하는데요.
우선 어떤 진료인지
정확히 짚고 넘어가야겠죠?

이 치료는 상실된 치아를 대체하여
저작, 발음, 연하 기능을 수행할 수 있도록
치조골에 픽스처(Fixture)를 식립하고
인공치를 만드는 수술을 얘기합니다.
각자 가지고 있는 구강 환경에 따라
1회 혹은 2회로 나뉘어 진행되는데요.
간혹, 뼈가 부족한 경우
골이식을 병행하여
시행하기도 합니다.
이제 오늘의 사례를
한번 소개해 볼까 하는데요.
현재 어떤 문제점이 있고, 계획은 어떻게 수립할지
구강 검진을 시행하여 알아보도록 하겠습니다.
"어금니가 없어서 식사가 힘들어요.
남은 치아까지 흔들리거나 패여서
예쁘지도 않고... 해결할 수 있을까요?"
어느 날, 한 환자께서 위와 같은 고민으로
논현역 루시드 치과 에 방문하셨습니다.
심미성을 중요시하는 앞니와는 다르게
어금니는 저작 기능을 위주로 하고 있는데요.
이런 저작 기능을 잃은 채
힘들게 식사하신다고 하셔서
걱정되는 마음에 얼른
구강 검진을 시행해 봤습니다.
지금 보실 건 파노라마 방사선 사진인데요.
파노라마 사진으로 전체 구강과 함께
염증 감염 여부까지 파악할 수 있어
구강 검진 때 필수로 진행하고 있습니다.

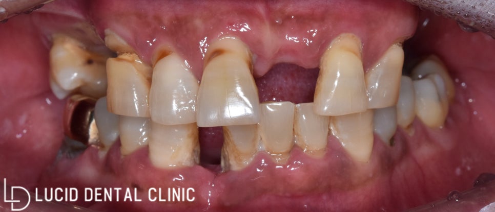
사진을 보자마자 군데군데
비어있는 곳이 많이 보이고 있는데요.
발거하고 제때 처치 받지 않아
대합치에 정출이 발생했습니다.
그뿐만 아니라
비어있는 곳을 향하여
치아 이동이 진행되었는데요.

치조골이 꽤 소실되었고,
충치까지 발생하였기 때문에
빠른 조치가 필요했습니다.
논현역 치과 임플란트 치료 계획
논현역 치과 는 환자께
문제가 되는 곳을 발거하고
픽스처를 심는 방법을
권유해 드렸는데요.
만약, 진행하게 되면
현재 가지고 계신 골의 양이 부족하여
골이식을 병행해야 된다고 알려드렸습니다.
환자께서 계속 고민하는 듯했으나,
불편함을 빠르게 개선하고 싶다는 말과 함께
논현역 치과 가 말씀드린 치료 계획에 동의하셨습니다.
이제 정밀한 치료 계획을 수립해 볼까요?
우선 자연치를 최대한 보존하는 것을 중점으로
문제가 되고 있는 치아만 모두 발거하고,
픽스처를 즉시 식립하기로 했는데요.
최대한 부기와 통증을 줄여주고,
정밀하고 안정된 수술이 가능하도록
컴퓨터 분석 프로그램을 이용하기로 했습니다.
논현역 치과 임플란트 치료 과정
여기서 바로 진행하면
이차 감염이 발생할 수 있는데요.
혹시 모를 감염을 막아줄 수 있도록
스케일링을 꼼꼼히 시행하였습니다.
마취를 시작으로 본격적인
치료 과정을 진행해 봤는데요.
치아 발거 후 필요한 곳에
골이식을 시행하였습니다.
치아 뿌리 방향대로 접근하여
상악동을 들어 올린 후,
인공 뼈 재료를 채워 넣었는데요.
골이식을 마치자마자
컴퓨터 분석 자료를 토대로
빠르게 픽스처를 식립하였습니다.

픽스처 내부로 외부 물질이 들어오는 걸
어버트먼트를 체결하여 막아 줄 건데요.
어버트먼트는 최종 보철을 올릴 때
적당한 치은 형태를 만들고,
최종 보철과 매끄럽게 연결되도록
도와주기 때문에 체결하고 있습니다.
픽스처를 식립하면서
치은과 치조골에 영향이 갔을 테니
어느 정도 회복될 수 있도록
기다리는 시간을 가지기로 했는데요.
환자는 상, 하악 전체를 시행했기 때문에
회복 기간이 조금 길 것으로 판단됩니다.
회복 기간동안 임시 보철을 사용하면서
구강 점검을 받으러 오셔야 되는데요.
임플란트 후 주의사항 몇 가지에 관해
설명해 드리며 지키라고 말씀드렸습니다.
여러분께도 임플란트 후 주의사항
몇 가지를 공유해 드리니,
참고하여 지켜주길 바랍니다 :)
임플란트 후 주의사항
- 딱딱하거나 질긴 음식 자제하기
식립 후 임시 보철을 사용하면서
딱딱하거나 질긴 음식을 자주 섭취하면
보철이 빠지거나, 파절될 가능성이 있습니다.
만약, 위와 같은 상황을 겪게 된다면
즉시 본원으로 내원하길 바랍니다.
임플란트 후 주의사항
- 술과 담배는 자제하기
끝나고 술을 먹어도 되냐고
여쭤보는 환자가 정말 많은데요 ㅎㅎ
높은 혈압과 빠른 혈액 공급으로 인해
해당 부위에 출혈이 다시 나타날 수 있습니다.
그 때문에 논현역 치과 에선 최소 2~3일 정도는
음주를 최대한 자제하라고 말씀드리고 있어요 :)
임플란트 후 주의사항
- 마취가 풀릴 때까지 기다리기
간혹, 마취가 다 풀리지 않은 상태로 식사하고
통증이 느껴진다며 내원하는 환자가 계시는데요.
이렇게 마취가 풀리지 않은 채로 식사하면
감각이 다 돌아오지 않아 볼을 계속 저작하여
결국, 해당 부위에 상처가 나타날 수 있습니다.
우리 모두 아픈 건 싫으니
반드시 마취가 모두 풀릴 때까지
기다린 다음, 식사하길 바랄게요 ㅎㅎ
환자께선 치은과 치조골이
충분히 회복되지 않아
논현역 치과 에서 계속 점검받으며
회복을 기다리고 있는 상황이었는데요.
시간이 지나고 최종 보철을 올리게 되면,
다시 여러분께 소개해 드리도록 하겠습니다.
이렇게 제가 준비한 증례
소개는 모두 끝났는데요.
알려드린 임플란트 후 주의사항,
잊지 말고 지키시길 바랍니다!
저는 이만 인사드리고,
더 좋은 증례와 함께
여러분을 다시 찾아뵐게요.
지금까지 논현역 루시드 치과 였습니다.
다음 게시글에서 다시 만나요 :)
루시드치과의원 서울특별시 강남구 논현로111길 3 상가 101, 102A, 대로변 1층
언주역 치과 에선 ㅇㅇㅇㅇ 활성화 임플란트 치료 로 진행하여 빠른 골 유착이 가능합니다! 반갑습니다, 여러분. 언주역 루시드 치과 박현민 대표원장입니다! 오늘 여러분과 함께 얘기할 주제는 바로,...
blog.naver.com
루시드 치과 한 눈에 보기👀 의료진 소개 오시는 길 및 진료시간 안내 루시드의 특별함 루시드의 스케일링 루시드의 임플란트 루시드치...
blog.naver.com
루시드의 임플란트 🦷 임플란트는 제 2의 치아로 불리는 만큼 자연치처럼 편안하고 튼튼해야됩니다. 그러기 위해서 재료에서 부터...
blog.naver.com
Explore More
Keep Browsing This Clinic's Korean Content Trail.
Return to the source archive for more posts, or move back to the clinic profile to compare the rest of the clinic's public channels.