루시드치과의원 LUCID Dental Clinic ルシード歯科 露西得牙科医院 LUCINATE ルシネート
"치아가 하나도 없을 땐 어떤 치료를 받아야 될까?" - 언주역 치과 전체 임플란트 시술 과정
루시드 치과 한 눈에 보기👀 의료진 소개 오시는 길 및 진료시간 안내 루시드의 특별함 루시드의 스케일링 루시드의 임플란트 루시드치... blog.naver.com 루시드치과의원 서울특별시 강남구 논현로111길 3 상가 101, 102A, 대로변 1층 안녕하십니까, 여러분. 언주역 루시드 치과 대표원장 박현민이라고 합...
루시드 치과 한 눈에 보기👀 의료진 소개 오시는 길 및 진료시간 안내 루시드의 특별함 루시드의 스케일링 루시드의 임플란트 루시드치...
blog.naver.com
루시드치과의원 서울특별시 강남구 논현로111길 3 상가 101, 102A, 대로변 1층
안녕하십니까, 여러분.
언주역 루시드 치과
대표원장 박현민이라고 합니다.
벌써 9월이 시작되었네요.
여러분 모두 행복한 달 되길 바라며,
이번 달도 잘 부탁드립니다 :)
오늘은 상악(위턱)
치아가 하나도 없어서
일상생활에 큰 고통을 겪고 계셨던
환자 이야기를 들려드릴까 하는데요.
다른 곳에서 임플란트 시술 을 한 번 받았으나
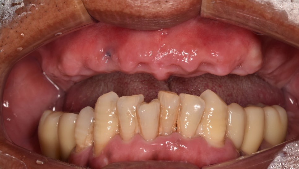
치은(잇몸) 밖에서 다 보이는 상태였습니다.
환자께서 심미적으로 좋지 않은 것 같다며
전체 임플란트 시술 을 원하셨는데요.
과연 언주역 치과 에서 어떻게 해결해 드렸는지
지금부터 그 과정에 관해 설명해 드리겠습니다.
"하나 원래 있던 거는
보기 안 좋으니까 그냥 빼고,
전체 임플란트 시술 받고 싶어요."
환자께서 위와 같은 주소를 말씀하실 때
불편함을 조금 느끼고 계신 것 같았는데요.
서둘러 구강 검진을 시행한 결과,
위턱 치아가 전부 발치되어 있었습니다.

그뿐만 아니라 환자께서 말씀하셨던
픽스처가 외부로 보이고 있었는데요.

하악(아래턱) 치아를 살펴보니
이미 임플란트 시술 을 받으셨는데요.
이와 달리 앞니는
아무런 처치를 받지 않아
정출과 치석이 발생하여
교합에 방해를 주고 있었습니다.
생각보다 심각한 구강 환경에 놀라
급히 환자와 함께 의논하는 시간을 가졌는데요.
환자께서 주소로 말씀하셨던 것처럼
전체 임플란트 시술 을 원하셨습니다.
따라서 언주역 치과 는 환자의 요구대로
전체 임플란트 시술 을 진행하되,
픽스처를 제대로 고정할 골이 부족하니
상악동 골 이식술을 시행하기로 했습니다.
언주역 치과 는 곧바로
조금 더 안전하고 정밀한
식립이 이뤄질 수 있도록
계획 수립에 들어갔는데요.
환자께서 나이가 어느 정도 있으셔서
안전을 특히 유의해야 했습니다.

따라서 언주역 치과 에서 시행하는
3D 디지털 분석 프로그램으로
미리 모의 식립을 진행하여
가이드를 만들기로 했는데요.
이 디지털 분석 프로그램 가이드를 이용하면
계획된 위치에 픽스처를 즉시 식립할 수 있습니다.
또한 즉시 식립과 최소한의 절개로 진행되기 때문에
부기와 통증이 덜하다는 장점을 가지고 있는데요..
이제 언주역 치과 와 함께
전체 임플란트 시술 을 진행하러 가볼까요?
먼저 간단하게 스케일링을 시행하여
혹시 모를 이차 감염을 예방하고,
환자께서 통증을 덜 느끼도록
마취를 놓아드렸습니다.
우선 이 전에 심어져 있던
픽스처부터 제거했는데요.
기존 보철을 제거하자마자
새로운 픽스처를 식립하기 위해
상악동 골 이식을 진행하였습니다.


측방 접근법 / 치조정 접근법
이 수술은 이식할 골의
양이 적으면 치조정 접근법,
많으면 측방 접근법으로
나눠서 시행하고 있는데요.
이번 환자의 경우 이식할 골의 양이 적어
치조정 접근법으로 진행하게 되었습니다.
곧바로 치은을 최소한으로 절개하고
상악동에 조심스럽게 접근하였는데요.
그 후, 상악동을 들어 올려
골 이식을 충분히 진행하고
제작한 가이드를 이용하여
즉시 식립을 마쳤습니다.

말로만 들으면 간단할 수 있지만,
실제론 그렇게 간단한 과정이 아닌데요.
자칫 잘못하다간 상악동염이나,
천공이 나타날 수 있어 조심해야 됩니다.
이제 치은과 치조골이 무사히 회복될 수 있도록
어느 정도 회복 시간을 지내야 되는데요.
개인마다 가지고 있는
구강 환경에 따라 다르지만
평균적으로 위턱은 3~4개월 정도,
아래턱은 2~3개월 정도가 소요됩니다.
회복 기간을 보내는 동안엔
저작이 원활하게 이뤄질 수 있도록
임시 보철을 제작해 드리니
걱정하지 않으셔도 됩니다.
현재 환자께선 아직 회복 중이라
보철을 올리지 않은 상태인데요.
조금 더 시간이 지나고,
온전히 회복된 모습을 보이면
최종 보철을 위에 올려
마무리할 예정입니다.
최종 보철을 체결하게 되면
다시 여러분께 보여드리러 올게요.
오늘 사례 소개는 여기서 마칠게요.
더 좋은 사례를 발견하게 되면
다음 게시글로 다시 돌아올게요,
지금까지 언주역 루시드 치과 였습니다.
감사합니다 :)
루시드치과의원 서울특별시 강남구 논현로111길 3 상가 101, 102A, 대로변 1층
루시드치과의원 논현동 역삼동 임플란트, 라미네이트, 치아교정, 투명교정 치과
역삼동 임플란트 수술은 어떻게 하는 걸까? 루시드 치과에서 설명해 드리겠습니다! 역삼동 루시드 치과 박현민 대표원장입니다! 오늘은 임플란트 수술법에 대해 자세히 설명해 드리려고 하는...
blog.naver.com
언주역 루시드 치과 - 임플란트의 구조, 장점,보철 후 관리에 관해 알려드리겠습니다 안녕하십니까 언주역 루시드 치과 대표원장 박현민 입니다 임플란트가 만 65세 어르신부터는 평생 2개는 건...
blog.naver.com
Explore More
Keep Browsing This Clinic's Korean Content Trail.
Return to the source archive for more posts, or move back to the clinic profile to compare the rest of the clinic's public channels.