루시드치과의원 LUCID Dental Clinic ルシード歯科 露西得牙科医院 LUCINATE ルシネート
"어금니가 다 흔들려요!" 논현동 치과 틀니 대신 전체 임플란트 수술 을 진행한 이유는?
루시드치과의원 논현동 역삼동 임플란트, 라미네이트, 치아교정, 투명교정 치과 www.teethlucid.com 루시드치과의원 서울특별시 강남구 논현로111길 3 상가 101, 102A, 대로변 1층 안녕하십니까, 여러분. 오늘은 전체 임플란트 수술 과정을 여러분께 소개해 드리려고 하는데요. 만약 전체 임플란트 수술...
루시드치과의원 논현동 역삼동 임플란트, 라미네이트, 치아교정, 투명교정 치과
루시드치과의원 서울특별시 강남구 논현로111길 3 상가 101, 102A, 대로변 1층
안녕하십니까, 여러분.
오늘은 전체 임플란트 수술 과정을
여러분께 소개해 드리려고 하는데요.
만약 전체 임플란트 수술 을
고민하고 계신 분이 있다면
오늘, 이 글이 많은 도움이 되길 바랍니다.
전체 임플란트 수술?

다수의 치아를 상실했거나,
1~2개만 남아있는 무치악일 경우
상실된 자연치 기능과 심미성을
되찾아 드리는 치료 방법 중 하나인데요.
여기서 만약, 자연치를
상실하고 그대로 방치하면
치조골이 흡수되거나
구강 구조가 무너질 수 있는데요.
그뿐만 아니라 치열의 변형이 나타나거나,
저작력이 약화하여 소화 기능이 저하될 수 있습니다.
이런 여러 문제점을 미리 예방하기 위해서
최대한 빠른 시일 내에 처치 받는 것이 좋습니다.
이제 오늘의 사례 소개를
한 번 진행해 볼까요?
이번 환자는 어금니가 모두 흔들린다는
주소와 함께 논현동 치과 에 내원하셨는데요.
그뿐만 아니라 교합 높이가 맞지 않다는 이유로
식사에 큰 불편함을 느끼고 계셨습니다.
논현동 치과 는 걱정되는 마음에
서둘러 구강 검진을 진행해 봤는데요.
검진을 진행하면서 촬영한 사진을
함께 보면서 설명해 드리겠습니다.

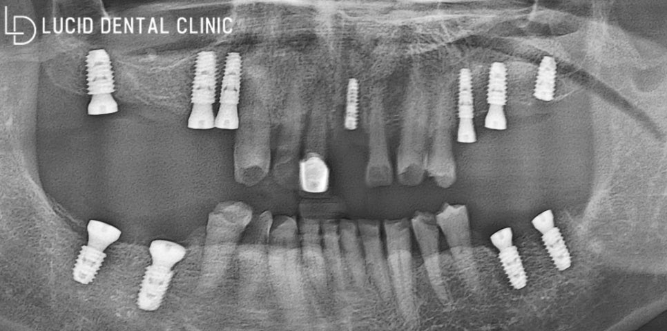
구강 정면 사진

위 사진은 파노라마 방사선 엑스레이로,
구강 모습을 확인할 수 있는데요.
현재 보이는 문제점이 꽤 많아
하나씩 나열해 가며 알려드리겠습니다.
- 치관 소실
여기 표시된 어금니를 잘 보면
충치로 인해 치관이 소실되고 있었는데요.
그뿐만 아니라 근접치까지
우식증이 심한 모습을 보이고 있어
빠른 조치가 필요한 상황이었습니다.
- 비어있는 치아
게다가 중간중간 계속 비어있는
치아 또한 많이 보이고 있는데요.
아까 말씀드린 것처럼
발치 후 오랜 시간 방치하여
치열 변형과 정출이 나타났습니다.
이렇게 되면 교합이 전혀 이루어지지 않아
저작에 큰 불편함을 느끼게 되는데요.
환자께서도 이 말에 공감하며
지친 모습을 보이셨습니다.
논현동 치과 에서 서둘러
이 문제를 해결해 드려야겠죠?
곧바로 환자와 함께 치료
계획을 논하기 시작했습니다.
이렇게 다수의 치아를
발치해야 될 경우엔
임플란트 수술 혹은
틀니를 권하고 있는데요.
만약, 틀니를 사용하게 되면
하악(아래턱) 어금니에 집중되는
저작력으로 인해 불편함을 느낄 수 있습니다.
이런 이유로 틀니를 사용하는 환자에게
하악 픽스처 식립을 권하기도 합니다.
이에 비해 임플란트 수술 은
강한 저작력을 사용할 수 있고,
사후 관리에 따라 장기 사용이
가능하다는 장점을 가지고 있는데요.
따라서 논현동 치과 는 환자께
전체 임플란트 수술 을 권해 드렸고,
동의를 얻어 곧바로 정밀 계획을 수립했습니다.
환자께서 어느 정도 연세가 있으셔서
무리가 가지 않도록 주의해야 했는데요.

최대한 빠르게, 통증 없이 식립할 수 있도록
디지털 분석 프로그램 가이드를 이용하기로 했습니다.
약속한 당일이 되고, 마취와 함께
본격적인 치료를 시작해 봤는데요.
먼저 문제가 되는 치아를 모두 발거하고,
소독과 세척을 반복해서 시행했습니다.
혹시 모를 감염이 발생하지 않도록
꼼꼼하게 시행하는 것이 중요합니다!
이제 아까 말씀드렸던
디지털 분석 가이드를
이용할 차례인데요.
미리 모의 식립을 진행하여
식립 위치를 파악할 수 있어
훨씬 안정되고 정밀하게
시행할 수 있다는 장점이 있죠.
곧바로 제작된 가이드를 이용하여
위치에 맞게 픽스처를 즉시 식립했는데요.
적당한 치은 형태를 만들어 줄 수 있도록
어버트먼트를 체결하며 마무리했습니다.

이대로 가면 식사하실 때 불편할 수 있으니
임시 치아를 만들어 씌워 드렸는데요.
이제 이 상태로 치은과 치조골이
온전히 회복되길 기다려야 됩니다.
치은과 치조골 상태가 충분히 좋아야지만
더 좋은 결과가 나올 수 있기 때문에
온전히 회복될 수 있도록
주의하길 부탁드립니다 :)
사람마다 가지고 있는 구강 환경에 따라
회복되는 시간이 모두 다른 편인데요.
현재 아직 회복되지 않아
임시 치아를 사용한 채로
회복 기간을 보내고 계십니다.
시간이 조금 더 지나 온전히 회복되면
그때 제작된 최종 보철을 올리게 되는데요.
그때가 되면 여러분께 보여드리기 위해
다시 찾아오도록 하겠습니다 :)
논현동 치과 는 환자께서
최대한 불편하지 않도록
끊임없이 방법을 연구하고,
적용해 드리고 있습니다.
혹시라도 전체 임플란트 수술 을 고민하고 계신다면
논현동 치과 에서 상담 한 번 받아보길 바랍니다.
글이 너무 길어졌네요 ㅎㅎ
저는 여기서 이만 인사드리고,
다음 게시글로 찾아뵙겠습니다.
지금까지 논현동 루시드 치과 였습니다.
끝까지 봐주신 분들 모두 감사드려요 :)
"치아가 하나도 없을 땐 어떤 치료를 받아야 될까?" - 언주역 치과 전체 임플란트 시술 과정 안녕하십니까, 여러분. 언주역 루시드 치과 대표원장 박현민이라고 합니다. 벌써 9월이 시작되었네요. 여러...
blog.naver.com
언주역 루시드 치과 - 임플란트의 구조, 장점,보철 후 관리에 관해 알려드리겠습니다 안녕하십니까 언주역 루시드 치과 대표원장 박현민 입니다 임플란트가 만 65세 어르신부터는 평생 2개는 건...
blog.naver.com
루시드치과의원 서울특별시 강남구 논현로111길 3 상가 101, 102A, 대로변 1층
역삼동 임플란트 수술은 어떻게 하는 걸까? 루시드 치과에서 설명해 드리겠습니다! 역삼동 루시드 치과 박현민 대표원장입니다! 오늘은 임플란트 수술법에 대해 자세히 설명해 드리려고 하는...
blog.naver.com
Explore More
Keep Browsing This Clinic's Korean Content Trail.
Return to the source archive for more posts, or move back to the clinic profile to compare the rest of the clinic's public channels.