루시드치과의원 LUCID Dental Clinic ルシード歯科 露西得牙科医院 LUCINATE ルシネート
"누렇고 삐뚤어진 치아, 해결하려면?" 논현동 치과 라미네이트 로 쉽게 개선할 수 있습니다!
반갑습니다, 여러분! 최근, 라미네이트 시술 또한 변화하면서 최소 삭제로 진행되는 곳이 늘고 있는데요. 논현동 치과 또한, cerec 밀링기를 통해 최소 삭제 라미네이트 시술을 시행하며 최대한 많은 양의 자연치를 보존하기 위해 노력하고 있습니다. 게다가 논현동 치과 에선 하루 만에 모든 제작을 완료할 수 있...
반갑습니다, 여러분!
최근, 라미네이트 시술 또한 변화하면서
최소 삭제로 진행되는 곳이 늘고 있는데요.
논현동 치과 또한, cerec 밀링기를 통해
최소 삭제 라미네이트 시술을 시행하며
최대한 많은 양의 자연치를
보존하기 위해 노력하고 있습니다.
게다가 논현동 치과 에선 하루 만에
모든 제작을 완료할 수 있기 때문에
단기간으로 치료를 받아볼 수 있는데요.
오늘은 이처럼 단기간에
문제를 개선해 드린 사례를
소개해 드리려고 합니다.
주소부터 같이 볼까요?
"제 앞니가 전체적으로 누런데
하나가 유독 크고, 대칭이 안 맞아서
꽤 신경 쓰이더라고요."
환자께서 크기 부조화와
색조를 개선하고 싶다며
논현동 치과 에 방문하셨는데요.
치료 방법을 결정하기 전에,
먼저 구강 검진을 시행해 봤습니다.

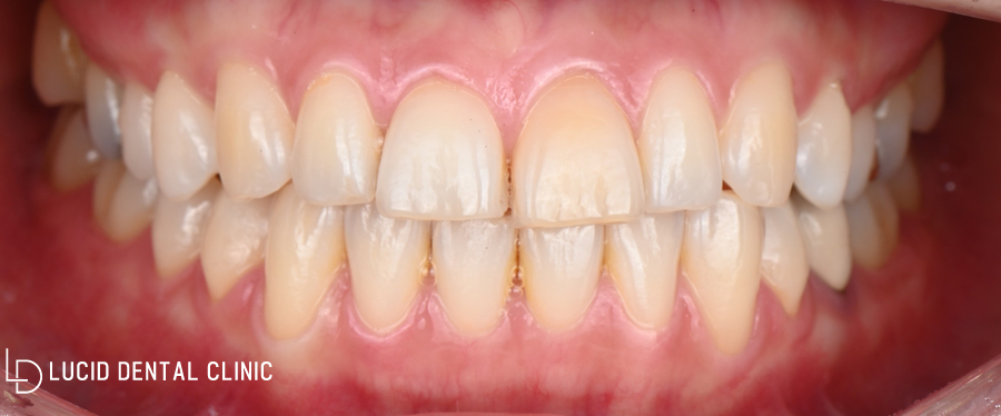
구강 정면 사진을 바라봤을 때
환자께서 주소로 말씀하셨던 것처럼
크기 부조화가 일어나고 있었는데요.
크기가 비정상적으로 거대하여
교합에 영향을 주고 있진 않아
기능적으로 문제는 없었습니다.
그러나, 눈에 잘 들어오는 위치에 있어
심미적으로 불편함을 일으킬 수 있는데요.
검진을 마치고, 환자와 함께
치료 계획을 의논해 봤습니다.
크기 부조화와 치아 색조를
한 번에 개선하기 위해
받을 수 있는 치료로는
크라운, 라미네이트 가 있는데요.
크라운 수복을 받게 되면
보철이 들어갈 공간을 마련하기 위해
일정량의 치아 삭제가 필요합니다.
그렇게 되면 자연치
보존량이 줄어들기 때문에
적합하지 않다고 판단하였는데요.
따라서 논현동 치과 는 환자께
라미네이트 시술을 권유해 드렸습니다.
환자께서도 위와 같은 내용에 동의한다며
라미네이트 시술 을 받기로 결정했어요.
소요 시간은 단 하루 정도 걸리기 때문에
내원 당일, 바로 시술을 진행하기로 했는데요.
처음에 말씀드렸던 것처럼 치아 표면을
최소 삭제하여 보철을 씌울 계획입니다.
우선, 청결한 환경에서 시작해야 되니
스케일링부터 꼼꼼하게 진행했는데요.
쌓인 치석과 치태를 제거한 다음,
치아 표면을 예쁘게 다듬어 드렸습니다.
크기 부조화가 일어난 곳 말곤
약 0.1~ 0.2 mm 만 정돈하니
크게 걱정하실 부분은 없어요 :)
이제 보철을 제작하기 위해
두 가지 과정을 거치게 되는데요.
먼저 주변 조직과 배열 등을 파악하기 위해서
인상 채득(impression) 작업을 시행하게 됩니다.
그다음 환자와 함께
Shade guide 라는 도구로
색조 선택에 들어가는데요.
환자께서 조금 더 밝은색을 원하셔서
참고하여 제작해 드리기로 했습니다.
두 가지 과정을 거쳤다면 이제
치아 형태와 색조, 배열 등을 고려하여
맞춤형으로 제작에 들어가는데요.
논현동 치과 의 라미네이트 시술은
단 하루 만에 모든 작업이 끝나기 때문에
오래 기다리지 않아도 된다는 장점이 있습니다.
이제 완성된 보철을 구강에
접착하기만 하면 끝인데요.
전용 접착제를 이용하여 부착한 후,
교합 조정과 연마 작업만 거치면 됩니다.

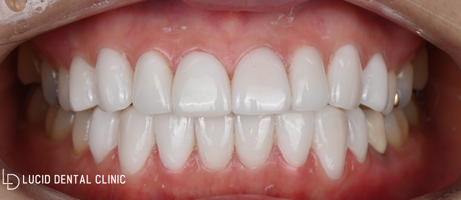
마무리 후 치아 모습이에요.
크기 부조화로 인해 심미적인
불편함을 유발하던 이전과는 달리,
훨씬 밝아진 색조와 함께
말끔하게 개선된 모습입니다.
끝나고 보철을 더 오래 사용할 수 있도록
관리법에 관해 간단히 설명해 드렸는데요.
아래와 같은 주의 사항을 잘 지킨다면
기존 수명보다 훨씬 오래 사용할 수 있습니다.
- 꾸준한 구강 관리
가정에서 칫솔질만으론
완벽한 관리가 어려운 편인데요.
이때, 꾸준히 내원하며 전문가 관리를 병행한다면
청결한 상태로 더욱 오래 사용할 수 있게 됩니다.
- 착색이 심한 음식 섭취 X
카레, 콜라, 커피 등의 음식은
착색을 쉽게 일으키는 제품인데요.
위와 같은 음식은 최대한 자제하며
착색을 방지하길 바랍니다.
- 딱딱한, 질긴 음식 섭취 x
위와 같은 음식을 자주 섭취하다 보면
보철이 파절되거나 금이 갈 수 있는데요.
끈적거리는 음식 또한
보철이 빠져나올 수 있어
항상 주의하셔야 됩니다.
- 금연
흡연으로 인해 발생하는
니코틴 착색 또한 많은 분들께
적지 않게 일어나고 있는 문제인데요.
이를 최대한 막아주기 위해
금연, 성공하길 바랍니다 :)
만약, 금연이 너무 어렵다면
횟수를 최대한 줄여주세요 ㅎㅎ
이렇게 제가 준비한 라미네이트 사례와
관리법 소개를 마무리하게 됐는데요.
이번 사례와 비슷한 고민을 가지고 계신다면
언제든 논현동 치과 로 연락 주길 바랍니다!
지금까지 논현동 루시드 치과
박현민 대표원장이었습니다.
감사합니다 :)
루시드치과의원 서울특별시 강남구 논현로111길 3 상가 101, 102A, 대로변 1층
"삐뚤어진 치아 고민, 어떻게 해결하지?" 차병원사거리 치과 앞니 라미네이트 치료 사례 반갑습니다, 여러분! 차병원사거리 루시드 치과 대표원장 박현민입니다 :) 수제로 만들어 뒤가 비쳐보일 정...
blog.naver.com
루시드의 라미네이트 🌷 🌷예뻐지기 위해 하는 라미네이트, 그런데 소중한 내 치아를 일부 깎아내고 해야 된다는 사실 알고 계셨...
blog.naver.com
루시드치과의 특별함✨ ✅ 루시드치과는 정밀한 진단과 확실한 결과를 약속드리는 치과입니다. 다년간의 경험을 가진 의료진들의 ...
blog.naver.com
루시드 치과 한 눈에 보기👀 의료진 소개 오시는 길 및 진료시간 안내 루시드의 특별함 루시드의 스케일링 루시드의 임플란트 루시드치...
blog.naver.com
루시드치과의원 논현동 역삼동 임플란트, 라미네이트, 치아교정, 투명교정 치과
Explore More
Keep Browsing This Clinic's Korean Content Trail.
Return to the source archive for more posts, or move back to the clinic profile to compare the rest of the clinic's public channels.