루시드치과의원 LUCID Dental Clinic ルシード歯科 露西得牙科医院 LUCINATE ルシネート
시리고 벌어진 앞니, 해결할 수 있는 방법은? 신논현역 치과 라미네이트 시술
루시드치과의원 서울특별시 강남구 논현로111길 3 상가 101, 102A, 대로변 1층 루시드 치과 한 눈에 보기👀 의료진 소개 오시는 길 및 진료시간 안내 루시드의 특별함 루시드의 스케일링 루시드의 임플란트 루시드치... blog.naver.com 안녕하십니까. 환자의 고민에 귀 기울이고 건강한 치료를 진행해 드리...
루시드치과의원 서울특별시 강남구 논현로111길 3 상가 101, 102A, 대로변 1층
루시드 치과 한 눈에 보기👀 의료진 소개 오시는 길 및 진료시간 안내 루시드의 특별함 루시드의 스케일링 루시드의 임플란트 루시드치...
blog.naver.com
안녕하십니까.
환자의 고민에 귀 기울이고
건강한 치료를 진행해 드리는
신논현역 루시드 치과 입니다.
항상 만족감을 드리기 위해
심미 보철을 신경 쓰는 만큼,
지인 소개로 신논현역 치과 를
찾아오는 빈도가 점차 늘고 있습니다.
참으로 감사한 일이죠. ㅎㅎ
오늘 신논현역 치과 에서 준비한 사례는
벌어진 앞니로 고민을 토로하신 여성분을
라미네이트 로 예쁘게 개선해 드렸는데요.
과연 어떤 과정으로
환한 미소를 되찾게 되었는지
저와 함께 알아보도록 합시다.
환자는 30대 초반의 젊은 나이로,
대화를 이어갈 때 입술을 자주 가리며
소극적인 행동이 습관이라고 하셨는데요.
학창 시절부터 앞니 틈이
벌어져 있어 가리고 싶은 마음에
생긴 버릇이라고 말씀하셨습니다.
당시에는 학업에 집중하고
부모님의 동의가 필요했던 만큼,
당장 치료하기엔 어려움이
있었다고 토로하셨는데요.
직장을 갖고 일상이 안정화되자
불현듯 콤플렉스였던 벌어진 앞니를
개선하고 싶다는 생각이
들었다고 하셨습니다.

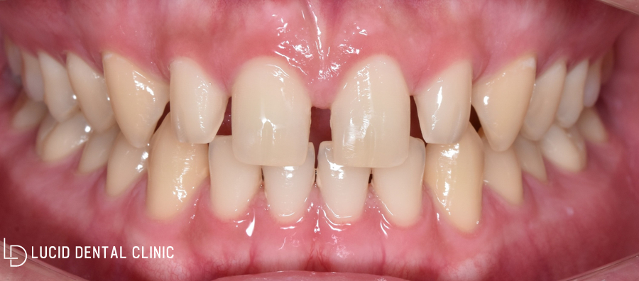
치아 사이가 크게 벌어진 앞면의 모습
검진을 진행한 결과,
치아 자체에 우식이나
잇몸 염증이 있지 않기 때문에
최소 삭제량으로 심미적 회복이 가능한
라미네이트를 진행하기로 하였습니다.
만약 병소가 관찰되었다면
전체적인 치면 보호를 위해
크라운을 받아야 했을 것입니다.

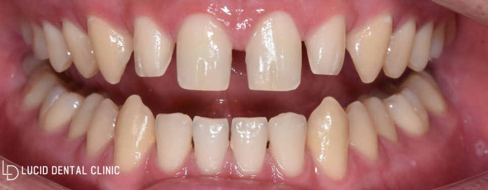
최소한의 모양 삭제와 라미네이트 제작
처음 심미 보철이 유행할 시기엔
전체적으로 치아를 덮어씌우는 크라운과
큰 차이의 치면 삭제량을 보이지 않았습니다.
하지만 신논현역 치과 에선
있는 그대로의 자연치를 최대한
보존하고자 끊임없이 연구한 결과,
지금처럼 치아 모양을 다듬을 때
최소 프렙으로 유지력을 만들게 되었습니다.
사진과 같이 절단연 가운데로
약간 패여 있는 홈이 보이시나요?
접촉면을 늘려주며
쉽게 미끄러지지 않도록
라미네이트 를 더욱 오래
부착할 수 있는 세심한 설계입니다.

뒤쪽 면은 전혀 건드리지 않고
기공물을 덮어 줄 앞쪽만
예쁘게 다듬은 모습입니다.
철저히 멸균한 핸드피스와
다이아몬드 버를 사용하여
절삭 후 모양을 만들었습니다.
삭제량을 줄이긴 했지만
환자의 민감도에 따라
시린 반응을 계속해서
느끼실 수 있는데요.
일시적인 현상이지만
불편함이 크다면 엔도 후,
크라운으로 치료 계획을
변경할 가능성이 있음을
사전에 안내해 드렸습니다.
충분한 설명과 함께
주변을 감싸는 잇몸 라인과
자연스럽게 기능할 수 있도록
구강 전체를 인상 채득하여
라미네이트 를 제작하였는데요.
다행히 환자는 기공물 제작까지
붙여 드린 임시 치아 상태에서
따로 통증이나 민감한 반응을
느끼지 못했다고 하셨습니다.
라미네이트 는 전치부 여러 개를
한 번에 제작하는 경우가 많아,
환자의 요구에 맞춰 제작할 경우
색상을 밝게 제작할 수 있습니다.
이는 치아 미백을
지속해서 받는 것과 같은
느낌을 줄 수 있는데요.
오히려 균일한 명도와 채도로
수복할 수 있어 만족감이 높습니다.

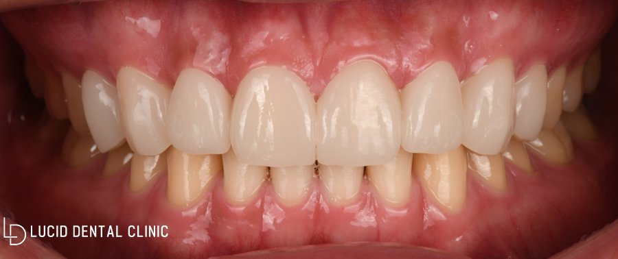
투명한 광택이 살아 있는 앞니 모습
사진과 같이 자연스러운 색상으로
한층 밝아진 전치부가 보이시나요?
눈에 잘 보이는 위쪽 앞니인 만큼
화사하고 깨끗한 느낌을 줄 수 있습니다.
기공물을 제작할 때 흔히
발생할 수 있는 실수가
두 가지 정도 있는데요.
첫 째로, 주변과 조화롭지 못한
모양과 색상이 있습니다.
이와 함께 또 다른 한 가지는
잇몸 라인과 다르게 만들어
보철 틈새가 생기거나
깊게 눌리는 현상이 있는데요.
신논현역 치과 에서는 정밀하게
인상 채득하여 기공 의뢰하는 만큼,
치은이 눌려 하얗게 변하거나
제대로 보호되지 못하는 불편감 없이
매끈하게 결착해 드리고 있습니다. :)

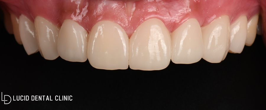
단단한 접착제로 붙인 뒤 살펴보니
정말 예쁘게 마무리되어 뿌듯했는데요.
라미네이트 는
투명한 광택과 함께
심미성을 강조한 만큼
조심히 관리해야 됩니다.
건강한 양치질과 치실을 사용하여
미세한 틈으로 충치가 생기지 않게 신경 쓰고,
앞니로 무언가 뜯거나 베어 무는 행동을
가급적 줄이는 것이 좋습니다.
지속해서 힘이 닿게 되면
시간이 지나며 금이 가거나
깨질 가능성이 있기 때문인데요.
꾸준히 내원하여 구강 검진하고
치아 사용을 조심해 주신다면
충분한 수명과 함께
깨끗한 유지가 가능할 것입니다.
만약, 이와 같은 문제로 고민하고 있다면
신논현역 치과 와 함께 의논하길 바랍니다.
지금까지 환자의 니즈를 파악하고
예쁘고 깨끗한 미소를 선물해 드린
신논현역 루시드 치과 였습니다.
더 좋은 사례와 함께
다음 게시글에서 만나요. :)
루시드치과의원 서울특별시 강남구 논현로111길 3 상가 101, 102A, 대로변 1층
"삐뚤어진 치아 고민, 어떻게 해결하지?" 차병원사거리 치과 앞니 라미네이트 치료 사례 반갑습니다, 여러분! 차병원사거리 루시드 치과 대표원장 박현민입니다 :) 수제로 만들어 뒤가 비쳐보일 정...
blog.naver.com
"누렇고 삐뚤어진 치아, 해결하려면?" 논현동 치과 라미네이트 로 쉽게 개선할 수 있습니다! 반갑습니다, 여러분! 최근, 라미네이트 시술 또한 변화하면서 최소 삭제로 진행되는 곳이 늘고 있는데요. ...
blog.naver.com
루시드의 라미네이트 🌷 🌷예뻐지기 위해 하는 라미네이트, 그런데 소중한 내 치아를 일부 깎아내고 해야 된다는 사실 알고 계셨...
blog.naver.com
루시드 치과 한 눈에 보기👀 의료진 소개 오시는 길 및 진료시간 안내 루시드의 특별함 루시드의 스케일링 루시드의 임플란트 루시드치...
blog.naver.com
Explore More
Keep Browsing This Clinic's Korean Content Trail.
Return to the source archive for more posts, or move back to the clinic profile to compare the rest of the clinic's public channels.