루시드치과의원 LUCID Dental Clinic ルシード歯科 露西得牙科医院 LUCINATE ルシネート
"얼룩덜룩 누런 내 치아, 예쁘게 바꾸고 싶다면?" 누런 변색 원인 / 앞니 라미네이트 후기 논현동 치과 추천 - 최소 삭제 루시네이트
루시드치과의원 서울특별시 강남구 논현로111길 3 상가 101, 102A, 대로변 1층 안녕하십니까, 여러분! 그동안 잘 지내셨나요? 계속해서 기술이 발전하는 만큼, 라미네이트 또한 새롭게 변화하며 더 이상 많은 양의 치아를 삭제하지 않아도 높은 심미성을 자랑하는 보철 수복이 가능한데요. 그래서 오늘 최소 삭제...
루시드치과의원 서울특별시 강남구 논현로111길 3 상가 101, 102A, 대로변 1층
안녕하십니까, 여러분!
그동안 잘 지내셨나요?
계속해서 기술이 발전하는 만큼,
라미네이트 또한 새롭게 변화하며
더 이상 많은 양의 치아를 삭제하지 않아도
높은 심미성을 자랑하는 보철 수복이 가능한데요.
그래서 오늘 최소 삭제를
동반한 라미네이트 시술로
얼룩덜룩 누런 앞니를 개선한
사례를 소개해 드리겠습니다.
그럼, 주소부터 함께 알아볼까요!
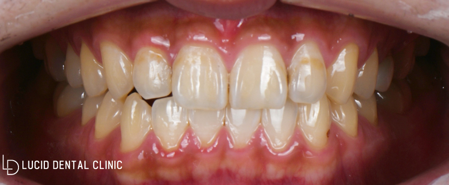
"여기 위에 앞니가 너무 누렇고,
얼룩덜룩한 것 같아서 고민이에요."
논현동 치과 추천
환자께선 심미적인 요소를 원인으로
고민 끝에 방문하게 되었다는데요.
정밀한 판단을 위해
구강 사진을 촬영하여
상태를 진단해 봤습니다.

논현동 치과 추천
사진을 봤을 때 전체적으로
전치부 착색이 심한 상태였는데요.

논현동 치과 추천
이렇게 누런 착색을 일으키는 원인으로는
-
커피, 콜라 등의 음식 섭취
-
잦은 흡연 - 니코틴 착색
-
두꺼운 상아질 - 치아 구조
이렇게 총 3가지로 분류하고 있습니다,
1번, 2번은 생활 습관에 의한 것으로
환자 자신의 의지가 굉장히 중요한데요.
더는 치아 착색이
진행되지 않길 원한다면,
커피, 콜라 등 쉽게 일으키는 음식 섭취나
흡연을 최대한 줄이는 것이 좋습니다.
3번은 치아 구조를 통해 나타나게 되는 것으로
상아질을 감싸고 있는 법랑질 두께가 얇아지고,
상아질의 두께가 법랑질보다 두꺼울수록
자연치는 노란빛을 띠게 됩니다.
혹은 나이가 들면서 법랑질이 닳아
노란 변색을 일으키기도 하는데요.
이는 자연스러운 현상이기 때문에
습관의 개선보단, 내원하셔서
치료를 받는 것이 좋습니다.
누런 치아 변색, 해결할 수 있는 방법은?
논현동 치과 추천
위와 같은 문제를 해결하기 위해선
범위에 따라 크라운, 라미네이트,
레진 등의 시술을 받을 수 있는데요.
환자와 함께 의논한 결과,
최대한 많은 양의 자연치를 보존하기 위해
라미네이트 시술을 받기로 결정했습니다.
루시드만의 노하우를 듬뿍 담은
루시네이트는 최소 삭제를 통해
표면 약 0.1~0.2mm를 제거하여
많은 자연치 보존이 가능한데요.
라미네이트 제작 또한 하루면 충분하기 때문에
최단기간에 문제를 해결할 수 있습니다.
시술 과정, 이렇게 진행됩니다!
논현동 치과 추천
곧장 스케일링을 시행하며
당일 치료를 준비해 봤는데요.
전용 기구를 이용해 치아 표면
약 0.1~0.2mm만 제거한 뒤
인상 채득을 시행했습니다.
인상 채득은 구강 전체를 본뜨는 과정으로,
조금 더 세밀한 작업을 가능하게 하는데요.
이후 Shade guide를
이용하여 색조 조정을 마친 뒤,
라미네이트 보철 제작에 들어갔습니다.
말씀드렸던 것처럼 제작 기간은
하루밖에 소요되지 않아 금방
치료를 마무리할 수 있었는데요.
제작된 보철을 구강 위에 접착하여
교합의 높이를 점검한 다음,
표면을 매끄럽게 다듬어 주기만 하면
모든 라미네이트 시술 과정이 종료됩니다.

논현동 치과 추천

논현동 치과 추천
생각보다 간단한 과정으로
짧은 시간안에 마무리되었죠?
루시드만의 노하우를 가득 담은
최소 삭제 루시네이트를 통하여
자연치와 유사한 색조, 그리고
자연스러운 모양을 제작하여
간단한 과정에 비해 완성도 높은
결과를 만들어 낼 수 있었는데요.
환자 또한 결과에 크게 만족해 하며
계속해서 내원하며 점검받기로 약속했습니다.
보철은 관리하면 할수록
수명이 더 높아진다는 점,
다들 알고 있을 것이라 믿습니다.
더불어 전문가 관리를 병행하면서
점검받으면 더 오래 사용할 수 있겠죠?
이 점 잊지 마시고 꾸준히 내원하셔서
구강 환경을 점검받으시길 바랍니다.
오늘 사례와 비슷한 고민을 하고 계신 분,
정말 많이 계신 걸로 알고 있는데요.
이 글을 통해 조금이라도
도움이 되었길 바랍니다.
글은 여기서 이만 마칠게요.
지금까지 읽어주신 분께
진심으로 감사드립니다 :)
루시드치과의원 서울특별시 강남구 논현로111길 3 상가 101, 102A, 대로변 1층
루시드치과의원 논현동 역삼동 임플란트, 라미네이트, 치아교정, 투명교정 치과
시리고 벌어진 앞니, 해결할 수 있는 방법은? 신논현역 치과 라미네이트 시술 안녕하십니까. 환자의 고민에 귀 기울이고 건강한 치료를 진행해 드리는 신논현역 루시드 치과 입니다. 항...
blog.naver.com
루시드 치과 한 눈에 보기👀 의료진 소개 오시는 길 및 진료시간 안내 루시드의 특별함 루시드의 스케일링 루시드의 임플란트 루시드치...
blog.naver.com
루시드의 라미네이트 🌷 🌷예뻐지기 위해 하는 라미네이트, 그런데 소중한 내 치아를 일부 깎아내고 해야 된다는 사실 알고 계셨...
blog.naver.com
Explore More
Keep Browsing This Clinic's Korean Content Trail.
Return to the source archive for more posts, or move back to the clinic profile to compare the rest of the clinic's public channels.