루시드치과의원 LUCID Dental Clinic ルシード歯科 露西得牙科医院 LUCINATE ルシネート
"누렇고 삐뚤삐뚤한 내 치아, 해결 방법은?" 역삼역 치과 추천 라미네이트 시술 과정 소개
루시드치과의원 서울특별시 강남구 논현로111길 3 상가 101, 102A, 대로변 1층 루시드 치과 한 눈에 보기👀 의료진 소개 오시는 길 및 진료시간 안내 루시드의 특별함 루시드의 스케일링 루시드의 임플란트 루시드치... blog.naver.com 안녕하십니까, 여러분. 다들 추석 연휴 잘 보내셨나요? 보통 추...
루시드치과의원 서울특별시 강남구 논현로111길 3 상가 101, 102A, 대로변 1층
루시드 치과 한 눈에 보기👀 의료진 소개 오시는 길 및 진료시간 안내 루시드의 특별함 루시드의 스케일링 루시드의 임플란트 루시드치...
blog.naver.com
안녕하십니까, 여러분.
다들 추석 연휴 잘 보내셨나요?
보통 추석이면 잡채나 갈비 등등
맛있는 음식을 즐겨 먹곤 하는데요.
특히 커피나 콜라 같은 음식을 자주 섭취하다 보면
치아 변색이 일어날 수 있다는 점, 알고 계시는가요?
게다가 얼음처럼 딱딱하거나 질긴 음식은
치아 파절이 생길 수 있어 주의해야 됩니다.
오늘은 이와 관련하여 변색과 함께
파절된 치아를 라미네이트 시술 로
말끔하게 바꾼 사례를 말씀드리려고 해요.
어떤 과정으로 진행되었는지,
지금부터 저와 함께 보시죠!
"여기 앞니가 좀 누런 것 같아서요.
아주 살짝 부러진 부분도 있어서
같이 개선하고 싶어서 찾아왔어요."
역삼역 치과 추천
환자께서 치아 파절과
변색을 개선하고 싶다며
큰 마음 먹고 내원하셨는데요.
우선 전체적인 구강 검진을 시행하여
정확한 원인을 진단해 봤습니다 :)

역삼역 치과 추천
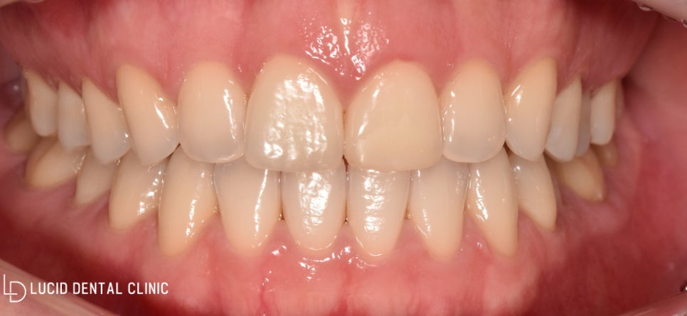
구강을 정면에서 바라본 사진입니다.

역삼역 치과 추천
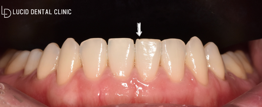
여기 표시된 곳을 자세히 보면 위, 아래
조금씩 파절된 부분을 볼 수 있는데요.

역삼역 치과 추천

역삼역 치과 추천
더불어 전체적으로 누렇게
변한 느낌을 내고 있었으나,
기능적으로 문제되고 있는
부분은 발견되지 않았습니다.
그러나 환자께서 개선하고 싶다는 의지를 보이셔서
곧바로 치료 계획을 함께 수립해 봤습니다 :)
전체적인 치아 색조와
약간의 파절을 개선하기 위해선
라미네이트 시술 혹은 크라운
치료 등을 권유해 드리는 편인데요.
최대한 많은 양의 자연치를 보존하길 원하셔서
앞니 라미네이트 시술 로 진행하기로 했습니다.
라미네이트 시술 을 권유해 드리는 경우는
크게 3가지 정도로 분류할 수 있는데요.
-
변색으로 인한 심미적인 불편함
-
벌어진 앞니 사이 혹은 손상된 경우
-
불규칙한 배열 혹은 크기 부조화
이렇게 반드시 기능적인 부분이 아니더라도
심미적인 불편이 발생하면 권해 드리고 있어요.
게다가 본원에서 시행하는 라미네이트 시술 은
치아 표면을 굉장히 얇게 깎아서 제작하고 있는데요.
표면 약 0.1 ~ 0.2mm 정도만 깎은 다음,
보철을 얇게 제작하여 부착하고 있습니다.
따라서 최대한 많은 양의 자연치 보존이 가능하고,
단기간에 심미적인 고민을 해결할 수 있는데요.
자연치와 유사한 세라믹 소재로 인해
우수한 심미성을 자랑하기도 합니다.
환자께도 위와 같은 장점과 과정을 설명해 드리고,
내원 당일 바로 치료를 진행하기로 했습니다.
스케일링으로 구강 환경부터
깨끗하게 만들어 준 다음,
아까 전에 말씀드린 것처럼 표면
약 0.1~ 0.2mm 정도 제거하게 됩니다.
그다음, 더욱 완성도
높은 보철 제작을 위해
인상 채득 과정을 시행하여
구강 전체를 본뜨게 되는데요.
이 과정을 통해 조직이나 배열 등을
조금 더 정밀하게 파악할 수 있어
좋은 결과가 나올 수 있습니다.
보철 제작은 오랜 시간이 걸리지 않고,
약 하루만 있어도 충분한데요.
하루 뒤 제작된 보철을 부착하고
연마(polishing) 과정을 진행했습니다.
교합 높이까지 점검하고 조정하면
계획한 라미네이트 시술은 종료되는데요.
최종 마무리 후 모습을 보겠습니다.


역삼역 치과 추천
환자께서 기존에 갖고 계신 자연치보다
밝은 색조, 그리고 조금 둥그런 모양으로
개선하길 원하셔서 최대한 반영해 봤는데요.

역삼역 치과 추천
마무리 후 달라진 구강 모습을 보며
결과에 크게 만족한다고 말씀하셨습니다 :)
보통 보철 수명은 약 8년에서 12년 정도로
다른 치료보다 긴 편에 속하고 있는데요.
치료 후 사후 관리를 어떻게 하냐에 따라
수명이 증가하거나, 단축될 수 있습니다.
최대한 좋은 상태로 오랫동안 사용하기 위해선
꾸준히 상태를 점검받고, 관리하는 것이 좋습니다.
더불어 전문가 손길을 병행하면서 관리한다면
수명 증가에 큰 도움이 되니 유의하길 바랍니다.
이렇게 제가 오늘 준비한
라미네이트 시술 사례는
여기서 마무리됐는데요.
남들보다 누렇고, 조금 삐뚤어져서
심미적인 불편함이 느껴지신다면
주저하지 말고 빠르게 내원하셔서
점검 한번 받아보길 바랍니다!
저는 더 좋은 사례를 찾아서
다음 게시글로 인사드릴게요.
읽어주신 여러분 모두
감사드립니다 :)
루시드치과의원 서울특별시 강남구 논현로111길 3 상가 101, 102A, 대로변 1층
시리고 벌어진 앞니, 해결할 수 있는 방법은? 신논현역 치과 라미네이트 시술 안녕하십니까. 환자의 고민에 귀 기울이고 건강한 치료를 진행해 드리는 신논현역 루시드 치과 입니다. 항...
blog.naver.com
루시드의 라미네이트 🌷 🌷예뻐지기 위해 하는 라미네이트, 그런데 소중한 내 치아를 일부 깎아내고 해야 된다는 사실 알고 계셨...
blog.naver.com
루시드 치과 한 눈에 보기👀 의료진 소개 오시는 길 및 진료시간 안내 루시드의 특별함 루시드의 스케일링 루시드의 임플란트 루시드치...
blog.naver.com
Explore More
Keep Browsing This Clinic's Korean Content Trail.
Return to the source archive for more posts, or move back to the clinic profile to compare the rest of the clinic's public channels.